首页/骨科小技巧/距骨嘴看过就不会忘,您误诊了吗?/
距骨嘴看过就不会忘,您误诊了吗?
2023-01-30 14:42:181239浏览
距骨嘴看过就不会忘,您误诊了吗?

平时有留意到距骨嘴吗?

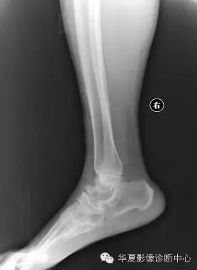
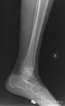
距骨嘴为距骨发育变异,常易被误诊为骨质增生及肿瘤。可引发一系列临床症状:不明原因的踝部“酸痛”,行走、站立常出现踝部酸胀感,时久甚之为主要症状。

主要体征:踝部软组织轻度肿胀、压痛,踝关节背屈、跖屈运动稍受限并症状有加重。可通过矫形外科治疗,切除后为正常骨性结构。

X线征象具有一定的特征性:

1、整个距骨形态呈“鸟头”状。

2、距骨颈短甚至消失。

3、“鸟头”具有一呈三角状向前突出的“鸟嘴”并具有正常的骨结构。

4、距骨头部与舟状骨关节接触面变小而呈圆弧性。

友情链接: