首页/骨科小技巧/椎体内有气体,下这样的诊断才专业!/
椎体内有气体,下这样的诊断才专业!
2023-01-31 12:05:191409浏览
椎体内有气体,下这样的诊断才专业!

颈腰椎CT片,看到椎骨里的气体密度影,你会考虑什么?相信很多同行朋友会有此类困惑。今天带大家一起学习下该病。

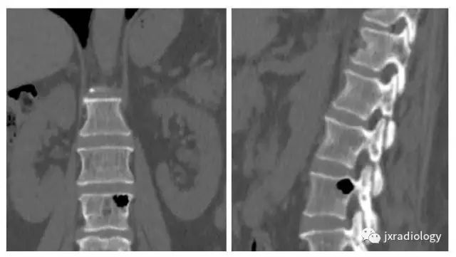
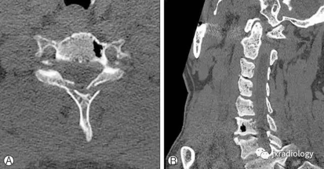
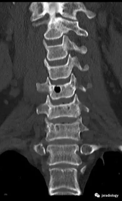
影像资料:

椎体含气囊肿是指椎体内存在含气的空腔,常见于颈椎。骨内含气囊肿在骶髂关节附近更常见,而在脊柱中罕见。应排除其它导致椎体积气的病因:Kummel病,骨髓炎,手术后和坏死性肿瘤。

尽管病因尚不明,一些作者认为它是椎间盘内空气的扩展(真空现象)。随访发现这些病灶开始变为充满液体的囊腔,随后变成肉芽组织。有些病灶会增大。

X线:当重叠影明显或检查不仔细时,X线可能会报阴性结果。

CT:被认为是最好的诊断方法,CT值约-800~-1000HU,椎体及椎间隙内可见气体可以看到相连续的层面,有时会向硬膜外扩张。MRI:气体在T1及T2均为低信号,易和硬化性病变混淆,CT有助于诊断。随访发现一些病灶会增大,但不需要特别治疗。

总结:椎体内含气非常罕见,国内外报道均鲜有报道。

椎体含气囊肿可分为两种类型:

1、患者年龄较轻,表现为小圆形病灶,无椎体退变;

2、年龄较大,病灶也较大,有椎体退变。

Hall等随访4年的髂骨含气囊肿逐渐增大;有学者随访6个月-2年未发生变化;也有报道发现1-16个月后,自发转变为液性囊肿,后变为软组织密度(可能为含气囊肿与周围骨髓存在压力差时,导致气体扩散及液体积聚,之后囊样结构可被肉芽组织取代)。

总之,颈椎骨内含气囊肿为良性病灶,不需要特别治疗。

友情链接: