2021-07-05 15:19:567194浏览
临床上,许多患者面临髋关节置换,问得最多的问题就是,医生,我要用什么假体?金属的?陶瓷的?全髋?半髋?

髋关节假体的分类
按照假体应用及置换关节的范围:
- 半髋关节系统:双极半髋,单极半髋
- 全髋关节系统:表面置换全髋,普通型置换全髋
- 肿瘤及定制髋关节系统:
- 翻修髋关节:
全髋关节:

半髋关节:

单极头

双极头
髋关节表面置换:

组配式假体,适用于各种DDH等解剖异常关节:

按照固定方式:
1、生物固定型髋关节

2、水泥固定型髋关节

3、混合固定型髋关节

固定模式的发展:从人工髋关节发展的历史看,股骨假体固定模式从最初的压配型到Charnley的骨水泥型,再到生物固定型。






摩擦界面的选择:
硬对软
- 金属对聚乙烯
- 陶瓷对聚乙烯
- 黑晶Oxinium(锆铌合金氧化而来)
- 对聚乙烯
硬对硬
- 金属对金属(钴铬合金)
- 陶瓷对陶瓷(氧化铝)
- 1.普通陶瓷(黄陶)
- 2.陶瓷BIOLOXdelta(粉陶)
- 黑晶对黑晶


大头的优势(增加头的尺寸可以)
- 稳定性增加
- 关节活动度增加
- 关节间压力减小


股骨柄的种类
Khanuja按几何形学分类:
- 1.单楔形
- 2.双楔形
- 3A,锥形圆柄
- 3B,锥形纵槽柄
- 3C,锥-矩形柄
- 4,全涂层柱形柄
- 5,组合式假体
- 6,曲形解剖设计


按股骨假体表面涂层处理分类
- 珍珠表面
- 金钢砂表面
- 钛喷涂表面
- 钛丝表面
- 小梁金属骨表面
- 羟基磷灰石(HA)表面

按固定方式分类:

近端稳定

远端稳定

全段稳定

初期稳定:近端或远端的压配

长期一定是依靠柄的涂层
骨长上:粗糙表面
骨长入:多孔表面


股骨近端髓腔类型与柄的选择
- Dorr分类法
- TypeA型:股骨髓腔在正位片上显示较厚的内外侧皮质,在侧位上显示较厚的后侧皮质,远端股骨髓腔较狭窄,因此近端髓腔呈漏斗形(Funnel)。
- TypeB型:股骨髓腔内侧尤其后侧皮质变薄,髓腔变宽
- TypeC 型:股骨髓腔内后侧皮质基本丢失,股骨髓腔显著增宽。形态如烟囱(Stovepipe).
漏斗指数:


股骨近端髓腔类型与柄的选择
- A型适合生物固定
- B型两者皆可使用
- C型适合水泥固定


现代骨水泥型假体的设计要素:

水泥柄的争论:

高抛光骨水泥柄
- 高抛光表面工艺
- 无颈领设计
- 锥形直柄的假体形态
- 钴铬钼合金材质

设计理念:假体“有限下沉”理论
高抛光的表面使得假体与骨水泥床之间的磨损最小化,并允许假体有限的下沉,结合中置作用将轴向应力转化为对骨水泥床的横向压力。
CPT 高抛光水泥柄:因此,采用表面抛光的骨水泥型假体柄又重新成为大部分医生的选择。

选择假体
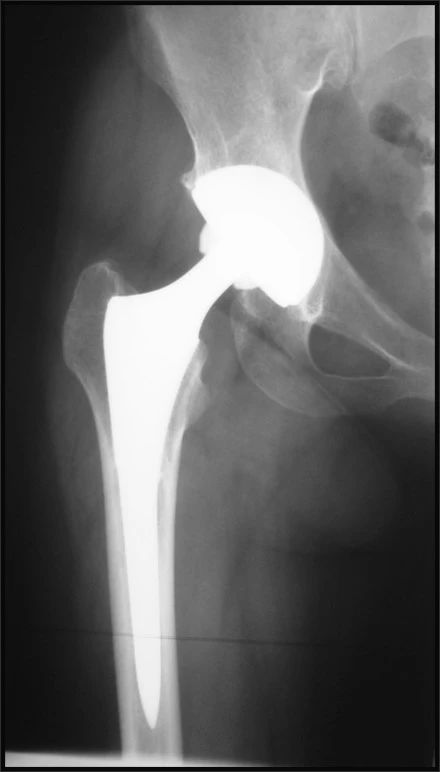
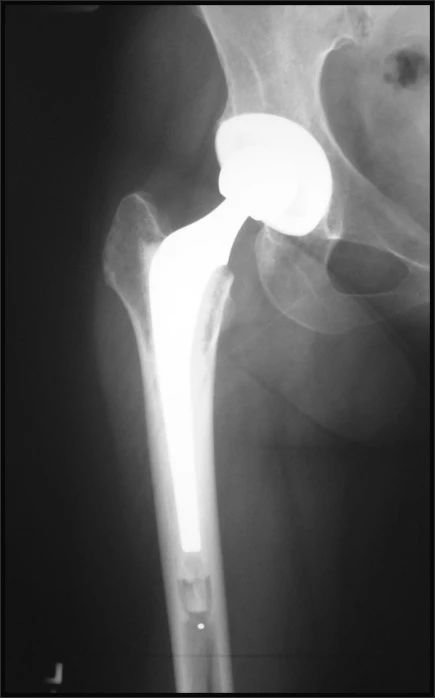
全髋关节置换与半髋关节置换(股骨头置换)
- 1939年Smith-Petersen行第一例钒合金制成的金属杯关节成形术。
- 20世纪70年代出现双极头假体。相当比率患者出现腹股沟部疼痛,因此越来越多的医生采用全髋关节置换,对于一些大于75岁,手术耐受差,预期寿命短的病人可以采用半髋关节置换
使用双极头还是单极头
- 临床上最常用的人工股骨头为Moore型和Thompson型
- 临床研究表明,双极头磨损再手术率低于单极头,但是研究同时发现超过85岁老年股骨颈骨折使用单极头在效果,并发症方面与双极头无差别。因此在欧洲及香港,单极头仍被高龄病人使用。

THR 假体选择
假体相关的因素:
- 固定方式
- 假体几何形状
- 负重面处理
身体状况相关因素
- 年龄
- 骨质量
- 股骨解剖形态
- 可耐受性
其他因素
- 活动量
- 经济状况
