首页/创伤/独立值班了 这些骨折你都看出来了吗?/
独立值班了 这些骨折你都看出来了吗?
2023-02-02 15:04:313074浏览
独立值班了 这些骨折你都看出来了吗?

给你支个招,作为一位新手,对于独立值班多少还是有一些敬畏,有点担心病人都商量好了来找我,尤其是外伤,尤其是一个人值夜班的时候。

近来总结了一些骨折病例,与大家分享。告诉大家看这样的片子不能漏诊哦!

右手拇指远节指骨甲粗隆游离骨碎片影

右手拇指末节指骨见数条骨折线,骨折端对位对线尚可右手拇指末节指骨粉碎性骨折

右手拇指近节远端见斜行骨折透亮线,断端稍分离移位,右手拇指近节远端骨折。

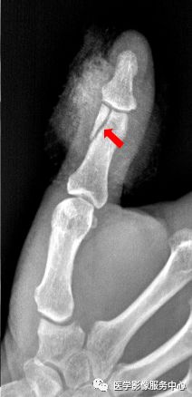
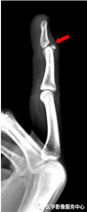
右手中指远节近端背侧关节处见游离骨片影。右手中指远节骨折

右手第五掌骨远端骨皮质不连续,骨折端移位、成角。右手第五掌骨骨折(1-5. 第1-5掌骨)

右手第四掌骨中段、第五掌骨基底部见横行骨折透亮线,骨折端对位对线尚可。第四、第五掌骨骨折。

腕关节

1.舟骨  2.月骨  3.三角骨  4.豌豆骨  5.大多角骨  6.小多角骨  7.头状骨  8.钩骨右腕关节近三角骨、豆状骨内侧见多个游离骨碎片影,小碎骨片分离移位。考虑为,右腕关节三角骨,豌豆骨粉碎性骨折。

右侧桡骨远端可见不规则透亮骨折线,并累及关节面。右侧桡骨远端骨折尺骨茎突见游离骨碎片影。右侧尺骨茎突骨折。肘关节

左侧尺骨上段见骨折透亮线,断端稍移位成角。左侧尺骨上段青枝骨折。

Warmreminder: 青枝骨折多见于儿童,由于骨皮质韧性好,受伤时不易看出,若发现可疑骨折征象。

小妙招 嘱家属过一周~两周再复查,若是骨折,可见新生骨生长。(此患者就是踝关节扭伤,踝关节正侧位未见异常,加拍足正位时发现外踝骨折)

右肘关节内侧见游离骨碎片影,侧位示骨碎片位于右肘关节背侧,右尺骨近端背侧骨质部分缺如。右尺骨近端背侧撕脱性骨折。

前臂

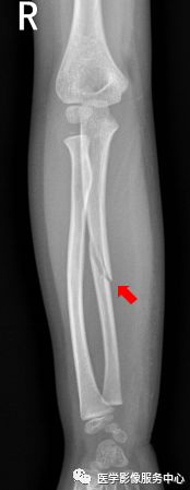
右侧尺骨中段可见斜形骨折线,骨折端稍分离移位。右侧尺骨中段骨折。

肩关节

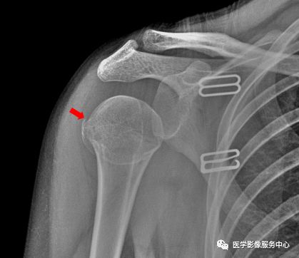
右侧肱骨大结节骨皮质欠光整,见弧形透亮线。右侧肱骨大结节骨折。

左侧锁骨肩峰端见不规则透亮线,骨折处稍移位。左侧锁骨骨折。

鼻骨

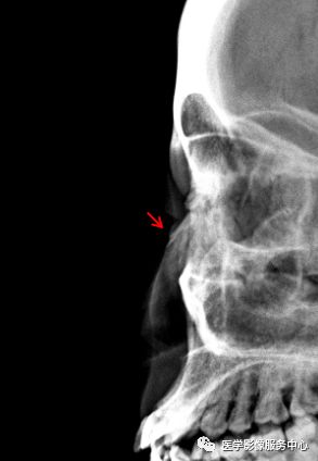
两个病例均显示:鼻骨中远段骨质连续中断,断端向内下方移位。鼻骨骨折。Warmreminder:鼻部受伤,有时鼻骨骨折不能做出诊断。小妙招鼻骨双侧位更容易观察。

髋关节

左侧股骨大粗隆处见不规则透亮线影,骨折处无明显分离、移位。左侧股骨大粗隆骨折。踝关节

右侧外踝骨皮质连续中断,可见透亮骨折线影,可见软组织稍肿胀影。右踝关节骨折。

Warmreminder: 踝关节扭伤,许多大夫只做踝关节正侧位。有时踝关节正侧位不能看出有明显异常,而有局部软组织肿胀,活动受限时,根据我的经验,踝关节扭伤有时只做正侧位是有局限性的;小妙招足正位也是必不可少的。

此患者就是踝关节扭伤,踝关节正侧位未见异常,加拍足正位时发现外踝骨折。

所示右侧腓骨远端见斜行骨折线,骨折端对位对线尚可。右腓骨远端骨折。

右足斜位示 右侧跟骨前部见骨折透亮线。右跟骨前部骨折。

Warmreminder: 有一些微小的骨折很容易被忽视。

小妙招1.我会先观察患者精神状态;2.了解受伤部位软组织情况,有时为明确部位,也会亲自触诊。因为有些患者对自己受伤的部位不是很清楚,忘记自己怎么受伤。

左侧跟骨见骨折透亮线,后缘骨皮质连续中断。左侧跟骨骨折。

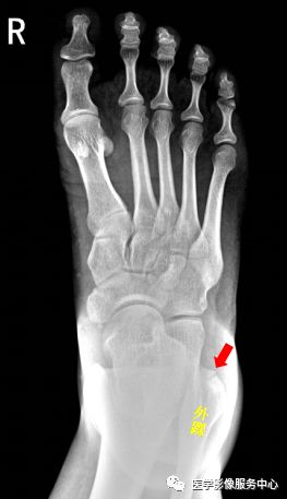
右足第5跖骨基底部见骨折线,断处稍分离移位。右足第5跖骨基底部骨折。

Warmreminder: 儿童时期足第5跖骨处有骨骺存在,骨骺线易与骨折线混淆,小妙招给你,骨骺线的长轴一般是与第5跖骨长轴平行,而第5跖骨多是横行骨折,换言之骨折线与第五跖骨长轴垂直。

分享也是一种学习方式,有不足之处,请指正。

友情链接: