首页/脊柱/经皮内窥镜下腰椎间盘髓核摘除术,建议收藏!/
经皮内窥镜下腰椎间盘髓核摘除术,建议收藏!
2023-02-06 17:20:074197浏览
经皮内窥镜下腰椎间盘髓核摘除术,建议收藏!

1993胸腔镜技术1993年首次应用于胸椎间盘的摘除及融合术;90年代中期国际上发展起来的后路椎间盘镜(MED) ;1998美国Anthony Yeung医生(美国微创学主席)首创YESS技术,是脊柱微创的里程碑;2002德国Hoogland教授在YESS技术基础上提出THESSYS技术,使椎间孔镜技术走向成熟,

椎间孔镜技术的原理

安全三角安全三角工作区的界限:前界为出口神经根;下界为下椎体的上终板;内界延伸为行走神经根与硬膜囊。

手术入路椎间孔镜器械适用于前后左右任何手术入路;不同入路各有优缺点和适应症,而椎间孔途径适用范围最广:①远外侧或水平入路、②后路或椎板间入路、③椎间孔入路、④前入路。

远外侧或水平入路正常椎间盘水平穿刺将直接损伤硬膜囊

主要针对中央型巨大突出,突出组织压迫,椎管超过上关节突连线。适应症窄

后路或椎板间入路(PEID)由德国的Ruetten医生在2005年最先报道,主要用于高髂嵴和L5横突肥大,经椎间孔穿刺入路困难的患者。

  • 需切开黄韧带,影响脊柱的稳定性
  • 需牵开神经根和硬膜囊,易造成牵拉损伤
  • 不可避免易造成不同程度的椎管内粘连

适应症:

  • 有限的移位或游离椎间盘
  • 钙化的椎间盘
  • 中央型椎间盘
  • 尤其有较高髂嵴(骶髂间距大)的病人

总述椎间孔镜技术是将一个配备有灯光、成像及工作通道的孔镜系统经病人身体侧方或者侧后经椎间孔放置于突出的椎间盘部位,在内窥镜直视下,可以清楚地看到突出的髓核、受压的神经根、硬膜囊和增生的骨组织,然后使用各类抓钳经孔径的工作通道摘除突出髓核组织、绞除部分增生的上关节突骨质、切除部分增厚的黄韧带,扩大狭窄的神经根管,从而直接解除神经根的压迫,同时可对病变部位进行持续灌洗消炎,运用射频电极修补纤维环,消融神经致敏组织,阻断环状(窦椎)神经分支,解除患者软组织的疼痛。

手术分类

YESS技术(in-out)

  • 盘内
  • 适应症窄
  • 极难处理髂嵴较高和椎间孔狭窄的椎间盘突出
  • 技术简单,适合初学医师

TESSYS技术(out-in)

  • 椎管内
  • 脱出型和游离型腰椎间盘组织, 中央椎管和侧隐窝狭窄等均可有效处理
  • 绞除部分上关节突,扩大椎间孔。
  • 技术复杂

两种穿刺入路的区别

适应症

能处理几乎所有类型椎间盘突出的患者。特别是巨大型、脱出型、伴有椎间孔狭窄和合并有骨质增生、黄韧带肥厚、侧隐窝狭窄等椎管狭窄的患者。

  • 盘源性腰痛
  • 术后复发,手术瘢痕及解剖结构不清而影响二次手术的患者。
  • 马尾神经综合症
  • 对手术及麻醉无法耐受的老年患者

禁忌症

腰椎失稳型椎间盘突出症

  • 多节段椎间盘突出
  • 穿刺部位/路径/椎间隙有感染(治疗椎间盘术后感染或结核除外)
  • 伴有脊柱畸形的病例
  • 骨折和肿瘤的患者
  • 凝血功能障碍的患者
  • 精神异常的患者
  • 合并有严重内脏功能减退或其他身体状况异常不能承受手术的患者

手术实施

(1)术前常规影像学检查

  • 摄正侧位X线片,确定椎间孔形态和大小、髂嵴高度和脊椎形态,确定穿刺部位和方向;
  • 摄腰椎过伸过屈动态X线片,判定腰椎稳定性;
  • 行腰椎CT和MR检查,观察腰椎问盘突出部位和程度、是否伴有腰椎管狭窄和椎间盘钙化,确定手术方式、工作通道的置入位置与方向。

(2)术中操作步骤

体位(根据术者习惯,两种均可)俯卧位

  • 平稳,脊椎不易扭曲,利于穿刺
  • L5-S1穿刺时较侧卧位时难
  • 对于肥胖病人易出现呼吸困难 ,腹压增高 ,出血量增加,不适合长时间手术
  • 适合于双侧突出(利于减压)

侧卧位(患侧在上)

  • 脊椎易扭曲固定不牢
  • L5-S1穿刺时较俯卧卧位时容易(髂棘高)
  • 适合较长时间手术
  • 利于术中检查—直腿抬高试验(验证手术效果及神经根黏连松解情况)

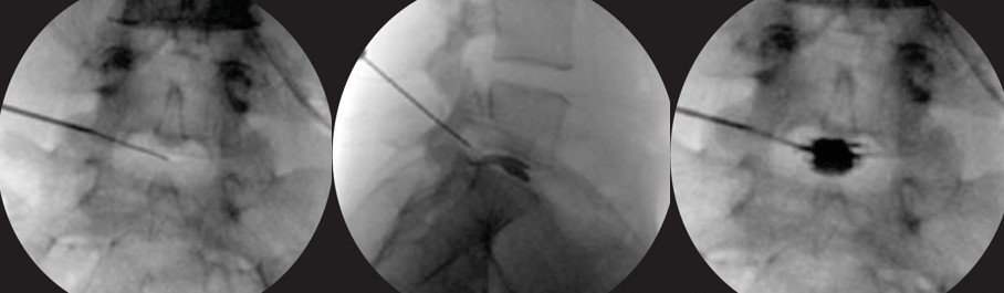
体表定位(用克式针标记进针路线)

椎间盘突出在L2-L3和L3-L4水平,选择在旁开中线10 cm进入。椎间盘突出在L4-L5和L5-S1水平,选择在旁开中线12-14 cm进入。实际的旁开距离还需要依病人的身体大小和肥胖程度作适当调整。肥胖、椎间孔狭小、小关节面假性关节病的病人旁开的距离要大一些。对向下掉的髓核,进入点要偏向头侧和外侧。

体表定位(C型臂下影像)

皮肤消毒

铺无菌治疗巾

穿手术衣和带无菌手套

无菌贴

局部麻醉

椎间盘造影

常见的五种典型的椎间盘变化

放置导丝(扩张软组织)用锋利的小手术刀在进针点皮肤切开一个大约8 mm的切口。沿着导丝向小关节方向插入导杆。在导杆外沿着导杆逐级放套管向外扩张软组织。

扩椎间孔骨钻套在套管的外边。沿着套管放置骨钻,去掉小关节远端增生的骨质,扩大椎间孔。

使用骨钻时,用C型臂从前后和侧面确定器械和骨钻顶端的位置。骨钻的最前端不能超过中线,以避免刺激或损伤神经。

放置工作套管(工作通道)独特设计的套管顶端可以保护神经根免遭损伤

用C型臂确定工作套管放置的位置。正确的位置应该是放在神经根下方,椎间盘水平,顶端正好在中线,开口朝向突出的髓核。

放置椎间孔镜连接椎间孔镜到光源和摄像机。打开光源,调节白平衡,达到最佳彩色效果。把椎间孔镜放入工作套管。调节合适的水流量和压力对取得良好效果很重要。

椎间盘及神经根减压在整个手术过程中病人必须保持清醒和配合。有完整的椎间盘摘除器械,如神经探子、神经钩、神经提拉器、抓钳、咬钳、打孔器、切割器等,这些器械可以通过椎间孔镜的工作通道操作。

摘除的髓核组织

应用双击射频采用独特设计的可伸屈和转向的射频双极电极可以通过椎间孔镜的工作通道达到工作区域用于止血、消融髓核、以及通过组织收缩的作用封闭纤维环直径3 mm以下的裂口。

缝合伤口全部摘完突出的髓核后,通过椎间孔镜可以清楚地看到神经根。转动工作套管观看周围组织检查是否还有游离的髓核碎片。手术完成后拔出工作套管,缝合伤口。

术后注意事项及护理静脉输注广谱抗生素至术后24小时,再口服抗生素6~10d。术后6h教病人行直腿抬高训练,锻炼腰背肌,保持脊柱平直,做轴向翻身,防止发生脊柱侧弯、畸形。术后嘱患者卧床3天(4-6小时即可)后带腰围下床活动,术后腰围佩戴3周(勿超过一个月)。 术后3个月内避免过度体力活动和剧烈体育锻炼。

注意事项

一、严格手术指征尽管目前椎间孔入路内窥镜下技术对治疗巨大型、脱出型、游离型腰椎间盘突出症、骨化、增生、狭窄具有独到优势。但不可把它当成全能技术,对任意扩大手术指征的行为均会增加手术风险、加大创伤、和降低手术成功率。

二、手术纳入标准及操作理念经皮椎间孔脊柱内窥镜下技术腰椎间盘摘除术,其最大优势在于椎间孔扩大后工作套管直接插入硬膜外腔,直接摘除游离于椎管内的椎间盘组织,直接解除神经根的压迫。是真正意义上的神经根直接减压术。本技术的最佳纳入标准为:脱出、游离和巨大椎间盘突出所引起的根性症状。对于小的包容性椎间盘突出,应用此技术反而加重创伤,应用其他微创治疗技术可以取得良好的疗效。

三、术前设计仔细复习患者的腰椎MRI、CT及CR片,确定穿刺位置,尤其是存在移行椎。四、定位针位置TOMShidi针的定位决定手术成功与否的关键。

五、熟悉C臂下的相关解剖棘突、横突、椎板、椎间隙、上下关节突、椎弓根等。六、熟悉椎间孔镜下结构硬膜囊、神经根、髓核、纤维环、后纵韧带、多裂肌、血管等。

七、髓核的辨别可用美兰染色髓核,髓核组织退变越重,染色越重,退变越轻染色越轻。对于初学者来说,椎间盘造影是必要的,镜下视觉好,有利椎间盘的识别。

八、髓核切除多少为宜?工作套管经扩大的椎间孔进入硬膜外腔前侧间隙。直视下直接在椎管内对神经根进行松解减压,只摘除椎间盘中后1/3残存的髓核组织,总量约2ml,镜下可见神经根随硬膜囊有明显波动。

九、术中出血和止血肌肉血管出血和椎间孔外口部出血可用工作套管前后左右压迫寻找出血点。椎管内血管出血应用双极热凝止血,若仍不能完全止住,可以用镜子压迫或加大水流量,必要时应用可吸收止血纱布或止血棉填塞,3~5 min后将其取出,找到破裂血管,用射频将血管封住,术后放置引流管,以便进一步观察。

十、纤维环修补术前存在破裂,术中钳夹引起的撕裂,可用双极热凝或低温等离子修补成形。

十一、术后注意事项卧床12小时,配带腰围下床,次日开始直腿抬高锻炼,术后3个月内避免过度剧烈活动。

并发症及处理

髓核部分残留压迫神经根大都发生在开展手术的初期。主要表现为术后腰腿痛症状缓解不明显或症状明显加重。处理:再次手术;可行后路内窥镜下椎间盘切除术(MED)。预防:术前准确判断突出椎间盘的位置;熟练操作技术;椎管内彻底探查----主要预防措施。

硬脊膜撕裂危险因素:复发性椎间盘突出的翻修术中,黏连较重处理:胶原蛋白封堵、严密缝合伤口、加压包扎;静脉滴注白蛋白,纠正水电解质失衡等促进漏口愈合;或转为开放手术进行修补;术后静卧预防:术中切忌粗暴操作;在髓核取出时,切忌生拉硬拽;初学者,在使用器械时,要仔细辨别视野内的组织结构, 并确保器械尖端位于操作视野内,避免误损伤发生。

神经根损伤神经根损伤是PELD 术的严重并发症。危险因素:多因操作不当;在经椎板入路手术,容易使神经受牵连或受损。临床表现:肌力减退;感觉减退处理:营养神经等药物;理疗预防:仔细辨别组织结构,防止误损伤;取出髓核时,询问患者是否出现下肢根性疼痛;慎重选择一期高位两间隙手术,因在起始段和椎间孔段受到反复牵拉和挤压刺激神经根,其次,高位神经根走形较短。

腹膜后血肿非常少见。临床表现:术侧腹股沟区疼痛和大腿前方不适;术毕拔出管道后伤口渗血明显处理:加压包扎;静卧预防:术中穿刺过程中切忌穿刺针偏向椎体的中份;术毕停止冲洗,观察术野是否存在明显出血;有出血倾向的患者应慎重选择

术后椎间隙感染危险因素:糖尿病患者;合并其他感染(上呼吸感染、泌尿系感染等);止血不严格,血肿形成易引起术后感染;多次手术;术中操作粗暴,组织损伤较多,组织坏死后易感染

临床表现症状:持续性不规则发热,37.5—38摄氏度;腰部剧烈疼痛:白天轻,夜间重,常因床铺;震动或翻身活动,甚至咳嗽而诱发、加重;少数患者以肛门、睾丸抽痛及剧烈腹痛为主诉!

预防:无菌原则;尽量缩短手术时间;预防应用广谱抗生素

术后感觉异常是最常见的并发症。其表现为神经根支配区痛觉过敏或感觉异常;一般为一过性;通常发生在术后数日或数周。病因:术中过度刺激或损伤神经根和脊神经节是术后感觉异常的主要原因,(神经根充血水肿和脊神经炎)。处理:神经营养药、脱水及理疗等预防:选择恰当的技术;避免过多刺激神经。对椎间孔进行适当的扩大、避免强行置管等

术后复发髓核摘除术后症状完全缓解6 个月后再次出现同一间隙同侧或对侧腰椎间盘突出症表现,并经影像学证实,即为腰椎间盘突出症术后复发。(诊断标准)病因:残留的椎间盘组织包括软骨终板进一步退变, 在应力的作用下, 经本已薄弱的纤维环及后纵韧带再次突出。处理:保守治疗;再次手术预防:使用美兰对退变的椎间盘组织进行染色, 术中尽量摘除被深染的椎间盘组织,以减少术后复发;术后3 个月内禁止重体力劳动;术后加强腰背肌锻炼;腰硬围保护3周

总结手术的并发症并不少见,应严格掌握手术适应证,提高手术技巧,并做好相应的应对措施。

椎间孔镜技术与传统手术比较

创伤小:工作通道7.5mm,皮肤切口仅8毫米,术后仅缝1针出血少:不到20毫升。效果好:与开放手术治疗效果相同。恢复快:病人通常在术后几小时可下床活动,比开放手术的病人更早地恢复正常生活,尽早恢复工作。费用低安全性高:局麻麻醉,术中能与病人互动,不伤及神经和血管靶向治疗:精准摘除突出或脱出的椎间盘碎片适应症广:能处理几乎所有类型椎间盘突出,椎间盘源性疼痛,对于极外侧突出尤其有效不破坏脊柱骨性结构:对脊柱的完整性、稳定性及功能(腰椎的活动)影响小。无术后神经根粘连和术后瘢痕形成:整个操作在椎间孔内完成,不进入椎管。

友情链接: