首页/牙体牙髓/根管治疗的一些总结,牙医必读!/
根管治疗的一些总结,牙医必读!
2023-02-15 15:45:504658浏览
根管治疗的一些总结,牙医必读!

恒牙根管解剖的特点

根管由于侧副根管的存在而变得非常复杂,但仍可以遵循一定的规律:


1.每个牙位上的根管形态有一定的可重复性,但有时会有很大变异。规律一定要熟记,但基本的临床步骤一定要有,例如术前的X线片、对牙长轴的观察等等。


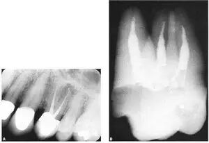
2.根管在x线片上是一种2维的图像,所以虽然有时片子上表现为直的,但事实上根管是一个三维的空间,显示没有近远中向的弯曲,却可能向颊舌向弯曲,这种颊舌向弯曲的信息是平常临床上无法获得的。所以很少有完全直的根管。几乎所有的根管都有一定程度的弯曲.尤其在根尖部。最后这句话几乎可以当作一个定理。我们看下面一张关于根尖孔的图。


a. 根尖孔开口于正常根尖顶部 (56.53%)
b. 根尖孔开口于牙根尖的唇或舌侧 
c. 根尖孔开口于牙根尖的近中或远中面

正常情况下根尖孔开口于根尖顶部(图a),这是我们工作中最常见到的影像,但这种情况只有 56.53%,所以还有将近一半的情况是其他的开口形式。图b就表明根尖孔的开口在唇舌向,当我们见到这样的根尖片的时候,要引起足够的重视,有一个特殊的这种情况就是下第二磨牙“C”型根管的术后影像,常会有这样的表现。这种研究国外并没有做的很到位,因为他们很少遇到这种牙齿,到是黄种人的下7常见这种影像,国内还是武汉研究的比较多。以后的内容会有相关的讨论。

图3表明的内容在这种示意图上比较好懂,但临床工作中,有医生容易以为是自己侧穿了,或者其他的什么情况,当然根尖片拍的好坏也很有关系。

3、牙根在颊舌向较宽。髓腔的大小与牙根外形相协调。像我们常见的下切牙、上第一前磨牙、上第一磨牙的近颊根、下第一磨牙的近中根,都是典型的颊舌向宽的情况,他们的髓腔也可能是个扁根或者双根管,这些地方尤其要引起我们的重视。


4、像上面介绍的一样1个牙根内可以有1个以上的根管。典型的例子也是下颌磨牙的近中根,上颌第一磨牙的近中颊根和下切牙,这往往和牙根外形相关。


5. 根管最狭窄处距根尖0.5-lmm,是清理、成形和充填根管的末端,但随着年龄的增长这个距离会增大,需要引起我们的注意。结合下面的6,可以有一个图来表示,这个图看的时候需要静下心来,要不半天反应不过来。

6. 在考虑根管预备和充填的位置时,应将牙本骨质界至根尖孔的距离以及根尖孔至根尖端的距离两个因素同时考虑进去,以避免超出造成根尖周组织的损伤。


看上图,我们rct时恰填的位置应该是(4)-牙本质骨质界,随着年龄的增长,这个位置距离X线片上根尖位置越来越大,这也就是为什么现在并无法定出一个根充恰填的X片上的标准,站在不同的位置,视角是不一样的。读到这想起了乳牙龋坏的好发牙位在《牙体牙髓病学》和《儿童牙病学》完全的不同,也是一样的原因-视角。

7.不同种族、不同地域人牙根及根管形态有些方面会有比较大的差异。

另外Weine对根管结构的分类,我觉得很是不错,确实很简明实用。


Ⅰ型 从根管口至根尖为1个根管(图a)。
Ⅱ型 2个独立的根管自根管口发出,在根尖上方合并成1个根管(图b)。
Ⅲ型 2个独立的根管分别开口于2个分开的根尖孔(图c)。
Ⅳ型 1个根管自根管口发出,在根尖上方分成2个独立的根管并开口于2个根尖孔(图d)。

其他人还有一些补充,其实很少见,吴有农和岳保利的分类很全面,但过于复杂,临床应用不太方便,到是做一些研究的时候很好用。

恒牙根管解剖

其实自己是儿童牙病科的医生,但事实上对乳牙的解剖远没有恒牙的解剖熟悉,真是汗颜。

(一)、上颌前牙

上颌前牙髓腔较大,髓室和根管之间没有明显界限,多为单根管。上颌前牙牙根常在根尖1/3段发生弯曲,在根管预备中要注意此类问题,尤其是颊舌向的弯曲在X线片上往往无法反映出来,应该引起我们的注意。

1、 正常情况下所有前牙的髓腔入口总在舌侧,最初的入钻部位在舌面正中标记“×”处(下图)。通常的错误是开髓部位太靠龈端。

对于这个位置大家都应该没有问题,关键是一些手法和后面的开髓孔形态。

2、 最初入钻时是以高速锥形的裂钻或金刚砂钻针在冷却条件下,与舌面成直角操作(下图),只需穿透牙釉质层,不用加力,让钻自行切割就可以。

这个很经典,我们的教科书上也是这样说的,但我觉得这个地方值得商榷,当时设计这个做法的时候,是我们的老前辈,至于何时我没有考究,但当时绝对是没有现在这么高级的高速手机,或者应该说当时还是原始的台钻开髓(其实台钻对于很对年轻的医生都是很陌生的),对于这种慢钻开髓,当年在学校实验室经历过的人应该都知道,那是很慢的事情了(一个完好的牙齿开髓大概要1个小时左右),那当时最主要的事情就是快点开髓,就决定了必须磨最小距离的牙釉质,只有垂直于牙面才能达到这个要求。

现在的高速手机不要说开髓,就是在短时间把牙冠扫完也没有问题。所以以前的那个垂直于牙面磨釉质层的理由已经不存在了,并且磨釉质层和牙本质层的区别并不明显。我个人主张最初入钻时在上图相同的位置入钻,但一开始就可以和牙长轴接近平行。这有什么好处呢?当继发和修复性牙本质大量增生,牙髓明显退缩时,这样入钻可以减少对髓腔壁的破坏。对初学者也可以减少唇侧侧穿的发生。

3、穿透牙釉质层后要注意向切端便利形的预备,此时保持钻针尖端在洞型的中央将钻针长轴向切端倾斜,基本保持钻针与牙体长轴平行(图),刚进入髓腔时尤其注意不要加力,否则容易导致钻针卡在狭窄的髓腔里。事实上并不主张在此阶段穿通髓腔,此时应当注意预备开髓洞口的外形,条件允许的话最好选用金刚砂钻针

这个不加力真的很重要,不要以为加了力会提高你的工作效率,有很多医生就是因为开髓时加力,结果导致钻针卡在髓腔里面导致钻针断裂,这中情况多见于髓腔宽大的时候,同样我们可以得知在乳牙开髓时也容易出现这种情况。

初步预备完以后的洞型的外形线是成漏斗状,釉质有向切端的短斜面,得以方便后面球钻的操作,这个向切端的短斜面是前牙开髓洞型上的一个重要便利形,后面会反复提到这点。

这个初步预备的开髓洞型并非最后的形态,应该比最终的形态小一些,为后面的修正留下余地。当忽视这点时,就有可能最后把开髓形状弄得很大。

现实中根管治疗器械的选择

好久以来都徘徊在各种根管治疗系统里面,真不知道哪种好一些。其实国外也一直有学者认为,没有哪种系统可以很好的独立完成治疗,就国内的情况更要结合一些标准的手用器械。因为技术我比较认可的是crown-down和step-back的根尖三分之一部分。

对于器械因为有多个因素需要考虑,我认为对于国内大部分口腔医生来说,比较合理的配置是:

1、裂钻

2、金刚砂钻针

3、慢球转

4、GG钻

5、手用的protaper

6、VDW的C锉

7、mani的H-FILE

8、登士柏的15# 012D K-FILE 、

9、登士柏的20#-30# 012C 的K-FLEXOFILE 、

10、DG16的根管探针

11、04锥度的牙胶尖

12、Cortisomol或者AH-PLUS

13、自配的EDTA和氯亚明

下面解释我的观点:

1、关于高速裂钻和金刚砂钻针:

一直有人在我的耳边说为什么开髓不用高速的球钻,其实也用,当遇到孩子或者脸部比较丰满的患者时,我还是会选择一下球钻的,包括那种金刚砂的球钻,主要出于安全的考虑,确实当一切因素遇到安全时都会让步于安全。一般情况下我是会选择金刚砂钻针的,只是最近发现mani的金刚砂全部变成假货了,根本不耐用,其他品牌领导又嫌贵,就又选了裂钻,这两种钻针的好处:冠部预备比较整齐;尤其是金刚砂在修整薄壁时比较安全。有人会提到一些特制的开髓车针,确实都很好,但价钱也好,能配备是最好的。

有人已经开始笑了,觉得讲根管器械,唠叨开髓的钻针干什么,其实前面我已经提到了crown-down技术,那开髓和髓腔的修整我认为是这个技术最伟大的地方,以致于最早读到crown-down时自己完全晕掉了--不是觉得好,是根本没看懂。这个时候你如果用球钻开髓,那开髓洞壁往往是和狗啃的一样,如果你要是提到用球钻可以开一个小眼,那你一定值大钱了,因为你是古董级的人物,你属于干尸的年代。

crown-down技术要求冠部髓腔预备完成后器械可以直线进入根管,高速球钻这时简直是捣乱。尤其我一直采用的是“平面开髓”见下图:

图 平面开髓1

图 平面开髓2

关于“平面开髓”:注意到开髓的时候不是一个“点”,而是一个平面,这个平面略小于髓腔,在髓腔的正上方,在开髓的时候是一层一层深入的,这种方法的好处:1、随时可以观察到露髓点,2、即使是增龄性变化很大的牙齿,也不会损伤到髓室底。缺点是:需要对髓腔形态烂熟于心中,要不然有时会过多破坏牙体,说到这个其实不是问题,要想做一个合格的牙体牙髓大夫,这是必要条件。那么你想想,球钻能弄好“平面开髓”吗?

要是可以配上较正宗的金刚砂钻针是最好了,说到揭顶,我还是用裂钻或金刚砂钻针,要是不自信的话可以用安全车针----安全钻针(safe-ended bur):刃部末端光滑,没有切削作用,可以用来揭髓顶和修整开髓孔,优点是不会破坏髓室底。有裂钻和金刚砂钻针两种类型,常见下面两种:

EZDO Z:为长裂钻,刃部为锥形,长9mm,可以处理任何类型的髓腔。工作时摆动较小。用于预备髓腔壁成为漏斗形,有利于器械找到,进入根管口,并且不会损伤到髓室底,见下图

图 安全裂钻 EZDO Z

Diamendo:是锥形金刚砂钻针,顶端为圆钝球形,无切削作用,可以有效防止髓腔壁穿孔,预备的髓腔壁剖面更完整

图 安全金刚砂钻 Diamendo

其实这些产品设计非常科学,要是现在的收费标准来说,确实更适合对安全没有把握的初学者,不过在这还是对这些牙髓器械表示敬意。

现实中根管治疗器械的选择--2

继续

2、关于慢球转、DG16根管探针

图 球钻工作头

高速球钻不到万不得已真是不想用,但是慢球转我是不到万不得已是都要用的。、慢球转在髓腔修整时作用谁也替代不了,

1、当你对髓室根管解剖相当了解的时候,你可以很轻松的用慢球转把根管口修整出来。

2、去除髓室底的钙化沉积,修整出原始的髓室底的形状,

3、很多时候根管钙化大部分是在根管口的地方,只要正确的用慢球转就可以解除这个困扰。

4、有时可以去除部分牙本质领(见下图),但我认为这个地方还是用金刚砂钻针比较好,要是有安车针就更好了,因为不小心的话有牛人一定会给你修整出“啤酒桶样”的破坏。

图 牙本质领


图 金刚砂钻针修整牙本质领


图 a.根管口的形态修整的较好;b.根管口漏斗形态被破坏了,会影响到后续的操作


图 髓室侧壁被掏成“啤酒桶样”凹陷

修整髓室底的时候还是大号的慢球转好用,类似与去腐的时候,基本上不用耽心会对髓室底有过多的破坏。处理根管口的时候是小号的慢球转好用一些,有时钙化的比较深,就需要用长柄慢球钻(long neck round bur,LN):柄部细长,尖端为球钻,比普通慢球钻柄部长并且细,可以提供良好的视野和控制,常结合根管显微镜和弯手机使用。有26mm、28mm、 34mm等规格,可以深入到髓室底,在钙化的根管口处钻磨。常用来寻找变异和重度钙化的根管口(见下图)。



图 长柄慢球钻(long neck round bur,LN)

关于长柄的慢球转还真是出了不少笑话,登士柏一直在推荐这个产品,但一直没有注册证,就不可能卖,只会以支持科研和教学的方式赠送一些,原来也不清楚这些原因,每次申请的时候就标上“长柄慢球钻”,然后买回来的一定是修复科直手机上的很长的那个球钻,这个笑话已经出了很多次了,有时也怕经销商为难,因为登士柏这个怪物不退不换,沟通真的很重要。

平常我三个地方觉得最费时间,1、髓腔的修整 2、根管口的修整 3、工作长度的测量

说到根管口的修整和寻找,那慢球转一定要结合DG16,根管探针(endodontic explorer)根管探针与普通探针不同,根管探针的工作端细而尖锐,硬度较高,主要用于探查根管口,尤其是根管口钙化的情况下。常用的型号是DG16,其他型号的根管探针不太常用,国内以豪孚迪(Hu-Friedy)的根管探针为代表。

图 根管探针


不一定每次都要用到根管探针,但一定要备上,有时就根管口那一部分钙化,要是没有他,要费不少锉。这个产品我感谢豪孚迪(Hu-Friedy),是他们给我提供了物美价廉的DG16,也许以后会有更好的品牌,但我还是感谢豪孚迪(Hu-Friedy),感谢复星以前的陈军。

现实中根管治疗器械的选择--3

再继续

3、关于GG钻、VDW的C锉、手用protaper中的SX、H-FILE

从一开始我选择的器械就没有照理想中的来,毕竟文章的题目决定了器械的选择是面对大多数牙医有可能实现,从而让实际的工作尽量规范。laosu应该是一个比较唯美的牙医了,就这我觉得他也没敢一色的上系统,毕竟每天还是被现实的阳光照着,但我知道有一色都是新东西的主,这是以后的议题了。

髓腔及髓室底预备好了、根管口也确定了以后,应该就进入第三个难点了,这里面我认为涉及到的物件主要有GG钻、VDW的C锉、手用protaper中的SX、H-FILE,当然还有一些其他的好东西,要是机用的我就不做介绍了,手用的我会提一下。

这步我认为操作的原则是先通畅根管,也就是先看看根管通畅与否,所要用到的器械应该是VDW的C锉,10#的VDW的C锉也是属于小号锉的一种,但我认为是所有小号锉里面最好用的一种,coolpeas昨天还告诉我,现在已经离不开VDW的C锉了。C锉登士柏也有这个产品,但确实没觉得比VDW的C锉好用,查了一下,其实VDW也是登士柏的,真他妈的奇怪,既生瑜,何生亮。其他类型的小号锉就更别提了,有时觉得是在糟蹋银子。但是登士柏新出了一个Profinder用于细小根管的探查和疏通,等他的证吧,希望用起来和说得一样好。


图 VDW的C锉


各根管口的位置确定以后,选用小号K锉(08#,10#,15#)自根管口向根管内插入,以探明根管的分布、走向和根管内阻塞物的情况。一般选用10#的锉,尤其是VDW出品的先锋锉又称“C”锉(10#的应该是紫色的,而且还是25mm的顺手一些。),在锉柄部尾端印有“C”(见上图),这种锉的特点如下:

① 既比较细,又有一定的刚性,可以很好把在根管内的受力反馈到术者的手上。

② 独特的工艺和真空下熔炼的钢材使尖部强度高,后部柔韧性好。

③ 锉尖钝化可维持根管的原有结构。

④ 适合根管探察和疏通,特别适合对弯曲的钙化根管的治疗。

使用时应常规在距锉针尖端2~3mm处预弯,在向根管深处探入过程中,应采用捻的手法:将锉放在示指和拇指之间以900~l800轻微往返旋转进入,不要向根尖方向施压(见下图)。让锉顺着自身的路径进入,当感觉锉很紧时,取出锉进行清理。




图 捻的手法

预弯的器械尖端在不断地往返转动进入过程中可以绕过或避开根管壁上的不规则钙化物(见下图)及台阶(见下图),顺利地到达根尖部,建立起根管的通路,为根管预备做好准备。

图 器械尖端在根管壁上的反应

a、直的器械尖端遇到根管钙化物时无法避开

b、预弯的器械尖端遇到根管钙化物时

c、预弯的器械尖端遇到根管钙化物时通过不断地往返转动进入过程中可以避开


图 尖端预弯以后绕过台阶

在根管通畅锉使用前,应先确定根管探针(例如DG16)可以有卡点,如果探针无法探入,则通畅锉也无法进入,并且对锉的损耗比较大。应该用LN钻对根管冠方进行磨除修整。

在建立根管通路的操作期间,可伴随使用EDTA凝胶或溶液,还要以大量的冲洗液冲洗、充盈髓腔,冲洗液推荐用次氯酸钠溶液(有橡皮障的条件下)。

有些系统并不要求一开始就完全通畅,但我还是习惯这样做,初步用完15#K锉后(这个15#锉我还是觉得登士柏的012D系列好用,mani的太硬,并且纹路的松结不灵敏,断起来有时没先兆,部分人就是喜欢这种硬梆梆的东西), 就可以用手用protaper中的SX来打开根管的上端了,SX这个玩意确实好用,他的好处是打开的锥度比较连续,根管中心线不偏移,切削的效率也较高。但同时也有着镍钛的特点,断之前决不会告诉你什么的。

图 SX

由于这个原因,还有成本控制的问题,我会结合着用GG钻和小号的H-file,GG钻其实在根管治疗中已经应用很久了,但奇怪的是就像螺旋根管充填器一样很多口内医生多少年都不知道,下面看一下GG钻。


图 GG钻

G钻的杆细长、光滑且无锥度,刃部短是一个扩张的头,顶端设计为安全钝头,可防止形成台阶和根管侧穿。G钻编号为l~6#,直径为0.5~1.5mm,长度为32mm和28mm两种,前者一般用于前牙,后者一般用于后牙,安装于慢速机头上使用。在G钻杆的上部有一薄弱点,器械折断时便于取出,

G钻用于根管口敞开并可深入到根管中上段,以使后继器械及冲洗液较易进入根管。使用扩孔钻时,应小心将钻尖端插人根管口内,沿根管口的外缘和侧壁小心提拉。忌用暴力,否则不但易发生器械折断,也会形成台阶和侧穿。进入的深度只限于根管的直部,而不能进入弯曲部。提出时,器械应处于旋转状态以防卡住折断。当使用大号时可能使根管壁过薄,尤其是磨牙近中根的根分歧处。钻速要求在600~800rpm。

GG钻还是一个比较好的东西,不管是以前的“逐步后退法”,还是后来的“改良的逐步后退法”,就是现在提倡的“CROWN-DOWN”也少不了GG钻,虽然现在有不少新的根管口打开的器械,例如SX、OS、K3( 0.08、0.10、0.12这三种锥度只有25#锉,又称开口针),但比较经济实用的还是GG钻,尤其它极少折断于根管内,当然正确的使用也很重要,尤其是“通道”的建立,

“G型扩孔钻预备:应用GG钻预备根管冠2/3可获得良好的根管冠部通道。GG钻进人根管前,一定要用10#或l5#根管锉探查和通畅根管,如果GG钻1#进入根管有困难时,应初步预备根管,再使用GG钻进入。一般来说,GGl#进入根管l6~17mm;GG2#,GG3#后退2~3mm;GG4#进入根管口下2~3mm;GG5#,GG6#仅作根管口以上部分预备,便于髓腔与根管口形成直线通道。GG钻勿进入根管的深部,避免过度去除牙本质,造成根管壁的薄弱,形成穿孔或瓶颈样预备(见下图)”


图 根管带状侧穿(stripping,lateral wall perforation)

图 根管的瓶颈样预备(右图)

H-FILE也是一个效率很高的东西,但优点和缺点同样突出,优点是切削效率很高,正常手法几乎不断。缺点是由于它是车床车出来的,不像K锉是扭转出来的,所以没有螺纹的松接,使用的时候千万不能旋转,由于使用手法的特殊,它只适合用于较直的根管,尤其对腐质较多的根管那可真是好用,有些粗大的但坏了很久的根管只有用它了。但弯曲的根管使用的话,容易造成根管中心线的偏移,一侧根管壁太薄,甚至出现上面根管的带状侧穿,另外还容易导致修复后的根折。用是可以用,建议弯曲的根管使用H-FILE时不要超过20#。为什么我一开始要说mani的H-FILE,主要是没见过什么假货,东西还真不错,另外比别的要便宜些,总之,日子还是要精打细算着过,买菜还是收市的时候最便宜,呵呵。

现实中根管治疗器械的选择--4

最后了。

4、关于手用的protaper、登士柏的20#-30# 012C 的K-FLEXOFILE 、04锥度的牙胶尖、Cortisomol或者AP-PLUS、自配的EDTA和氯亚明。

前面的器械已经把根管口和根管的上端打开了,这个时候我一般认为根管预备的框架已经搭完了,下面要做的是对根管的精修,包括对根尖止点的修整等等。


这里我要提到登士柏的K-FLEXOFILE ,第一次接触它是大概5、6年前在成都开全国牙体牙髓会时顺便看了一下西南牙科展,转到登士柏的展台,和北京的展会不同,整个会人都不多,就有时间被介绍和听介绍K-FLEXOFILE ,当时根本没觉得以后买这个东西会是一个问题。回来后大家用了后感觉都很好,但在当地再次要购买的时候就困难了,还好和经销商都是朋友,大家费了好大的劲才又弄回一大批,后来就再也订不上了,就这批K-FLEXOFILE 我们精打细用一直坚持到现在。这期间才知道在国外常规的一种锉,在国内由于被普通K锉的打压,登士柏公司已经完全放弃了这个产品,在注册证到期时并没有再次申请,在他们后来的产品图册上就看不到这个产品,当然所有没有证的产品,图册上都没有。法律他们还是很遵守的。

但是现在我依然要感谢登士柏公司,感谢这几年中我所经历的几位代表,由于我个人的要求,他们申请专门补办了注册证,我自己很清楚,这个东西在国内不太可能被广为接受,因为售价的问题,所以这肯定是一个赔钱的买卖。我现在很高兴在我们的库存快要没有之前,新的货终于发了过来。

图 K—Flexfile 示意图及横截面


看上面这个示意图,这就是K—Flexfile ,肉眼外观上和登士柏普通的K锉是完全一样,只有用手摸时才可以感觉到器械的柔韧性明显要好,我敢保证你们当地登士柏代表绝对弄不清楚。

图 K—Flexfile 和K锉

实话说要是不让我用手摸,单看锉我也分不出来,但包装盒上是可以看出区别的,编号一个是012C,一个是012D.

K—Flexfile又称弹性K锉

最早由Kerr公司l982年推出,将K锉的器械横截面改为菱形,两个锐角使切刃较方形横截面器械(K锉)的切削能力提高,两个钝角因直径变小增加了器械的柔韧性,并且不易折断,锉的刃部呈高低相间排列,可容纳并移走更多的碎屑,增强了器械的切削效率。不足之处是15#的白锉太软了,30#以上的锉切削能力太强了。所以我建议用20#-30#的锉来精修根尖止点,现在回想起来当年这个产品没有推广开,估计和15#锉太软也有一定的关系,15#这个型号还是用普通的012D的K锉来代替比较好。

K—Flexfile在修根尖的时候不要一下子到达工作长度,当感觉到阻力时可以用类似平衡力法的手法旋转锉,幅度为90-180度,然后退出,这时你会发现该锉的尖端会咬下来很多牙本质碎屑,当你再次深入的时候会明显的感觉到比上次要轻松一些,如此往复到达工作长度。这个过程不建议用大的力气,也不需要用大的力气,否则会加速锉的螺纹松结,自己的手也会感到疲劳。这种尖端咬下牙本质碎屑的情况在普通K锉比较少见或者量比较少。

这过程中间结合手用的protaper对根管预备的锥度进行修整,我认为大锥度镍钛和不锈钢器械有机的结合起来,第一可以增加镍钛器械的使用周期,降低使用成本;第二减少镍钛器械受到较大阻力发生折断的可能,减少了风险。第三手用的protaper相对比较好普及,更方便控制交叉感染。

热凝牙胶确实是未来的趋势,我们应该做好准备,现在的情况我还是选择Cortisomol或者AP-PLUS,但我周围已经有同行广泛的常规的用开热凝牙胶了,我已经不敢预测何时开始进入寻常牙医手中,因为3年前预测橡皮障时,就预测的太早了。自配的EDTA和氯亚明是一定要会的,只有这样才可以常规用的起,虽然都说Gly-oxide(登士柏的一种EDTA)好,但要是常规用它肯定也心疼。对于次氯酸钠那是一定要等到橡皮障用开才行,要不你先拿84滴到患者嘴里试试。

友情链接: