首页/创伤/详解:桡骨远端骨折的分类及治疗方法选择!/
详解:桡骨远端骨折的分类及治疗方法选择!
2023-02-17 15:08:093037浏览
详解:桡骨远端骨折的分类及治疗方法选择!

桡骨远端骨折 (DRF) 存在多种不同的分类。他们中的大多数没有给我们关于如何治疗这些骨折的建议。DRF 的主要原因是作用在腕骨和桡骨上的力以及手腕相对于桡骨的位置。本文试图定义某些关键骨块,选择理想的治疗方法和植入物选择。

腕关节正常运动的基本先决条件是:1.完整的尺桡骨骨骼结构。

2.完整的内外侧韧带使其作为整体运动。

注:背侧和掌侧外侧韧带限制腕骨沿着桡侧和掌侧倾斜向尺侧和掌侧滑动的趋势,使腕骨保持在适当位置,防止脱位。

损伤机制

在手腕背伸受伤的情况下,传递力作用于手掌韧带。这要么导致手掌韧带撕裂,要么在桡骨背侧或手掌侧发生压缩性骨折。

注:背部伸展力越大,背部粉碎区越大(红色区域,a)。手掌韧带就像一个张力带,会导致手掌皮质骨骨折 (b)。力再加大会导致关节内骨折和背侧、桡侧或掌侧键骨折 (c) 

根据作用力的方向,可能会发生桡侧或尺侧骨折,与受伤时手腕位置,力的方向决定了骨折部位,是背侧骨折还是掌侧骨折。

注:(a)在第一张图片中,作用力通过头状骨、舟状骨和最终桡骨茎突传递,导致桡侧骨折。第二张图片演示了传输通过头状切迹、月状切迹和乙状切迹作用力,导致尺侧骨折 (b) 手腕背伸位不一定导致背侧脱位骨折。根据作用力的方向,可能会发生手背或手掌骨折 。

3.引起DRF的基本因素包括作用力、手腕的位置和韧带的张力。这些因素之间的相互作用产生了特定的骨折类型。

注:在部分关节内骨折中,可以观察到六种不同的模式。至少有一个角保持完好(a) 显示了外在韧带的起源,这似乎加强了骨骼 (b) 

关节骨折块骨折

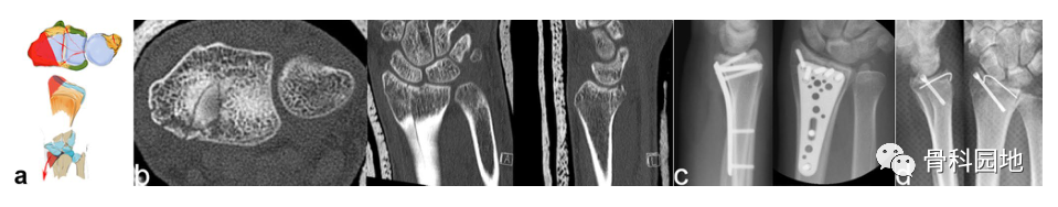
1、桡骨关键骨块

注:径向作用力沿头状骨、舟状骨和月骨指向茎突,茎突沿韧带止点断裂并沿桡侧掌侧或背侧方向脱位(见图a)。茎突和月骨形成一个由韧带连接的单元。在外伤的情况下,头状骨突出在月骨和舟骨之间,导致舟月韧带断裂。由于韧带附着,腕骨倾向于径向半脱位(见图 b)。

2、掌侧关节骨块

注:可以是大的或较小的边缘碎片。可能发生掌侧脱位,而背侧韧带保持完整 (a)。掌侧骨块:重要的尺桡韧带和尺腕韧带的起源 (b)。向掌侧脱位(c)。掌侧骨折从尺侧延伸到桡侧(d)。在 X 光平片上很容易忽略小的掌侧尺骨骨块,但轴位 CT 扫描容易显示该骨块 (e) 

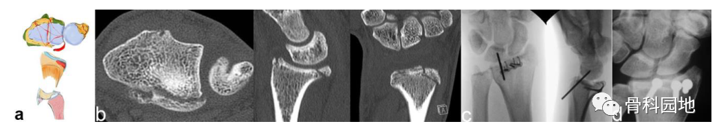
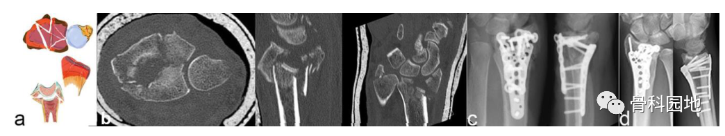
3、背侧关键骨块施加在背侧方向的作用力不仅会导致桡骨背侧骨折, 而且还会使腕关节背侧脱位。

注:背侧脱位,背侧外部插入。手掌韧带断裂(a)。普通 X 射线显示背侧脱位的程度。然而,在 CT 扫描中,可以看到关节面的额外凹陷、S 状切迹的台阶和背键骨块 (b)。背侧骨块不一定是关键骨块。如左两个图像所示。尽管背侧脱位,但掌侧骨折块仍附着在掌侧韧带装置上,这个由骨韧带组成的掌侧关键骨折块需要特别注意,必须首先固定,如图所示(c) 

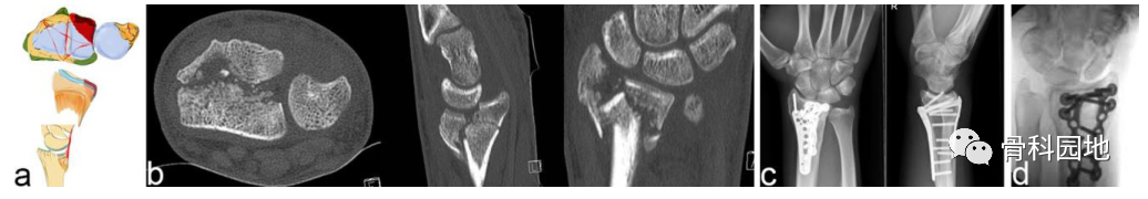
4、中央关键骨块

注:轴向作用力可导致关节面的中央塌陷或背侧和掌侧骨折块的爆裂性骨折(见图b)。这个中央关键骨块与轴或腕骨没有韧带连接。有时,它仅在关节面下略微凹陷,容易被忽视。如果这个中央骨块被更深地撞击到桡骨干中,则附着有稳定韧带的背侧和掌侧皮质骨都会像郁金香一样张开(见图 a)

非关键骨块骨折1、远端剪切力骨折

注:切向施加的力导致腕骨在桡腕关节背侧或掌侧脱位。接合面被剪成小碎片(见图b)。根据脱位的方向,韧带在背侧或手掌侧附着在这些微小的小碎片上(见图a)。

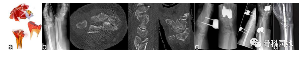
2、三部分骨折

注:这种骨折是桡骨、掌尺骨和背尺骨骨折块的组合(见图 a、b)。每个骨块都是同等重要的关键片段。尽管它们与轴没有连接,但修复对于保持第一腕骨相对于桡骨和尺骨的稳定性至关重要。 

3.粉碎性骨折

注:完全破坏桡骨关节面的随机骨折类型(见图a)。关节骨块像浮冰一样自由漂浮在干骺端粉碎区上(见图b)。在当识别关键类型骨折后,对选择理想的治疗方案起到了重要的作用(见下表)。

介绍如下:

 一、桡骨关键骨折

此类型骨折,最好用桡骨解剖板治疗(见图)。这些钢板具有较长的桡骨和较短的尺骨边界,这些桡骨板可以安装在很远的远端,从而抓住远端碎片。这种钢板的主要缺点是可能会损伤屈肌腱,具体取决于钢板的位置。克氏针引导的空心双头螺钉是治疗单个茎突骨折上位好方法,尤其是在关节镜辅助下进行手术。

 二、掌侧关键骨块骨折

1. 掌尺侧骨块

Watershade 板最适合尺侧手掌骨折块,因为它们可以安装在非常远的尺骨和远端(参见图)。因此,它们不会损害桡侧的屈肌腱。

2.掌侧缘碎骨

如果掌侧骨折块太小而无法用一块钢板充分稳定,则可以使用小钩板(见图c)、螺钉(见图 d)和带有挂钩的特殊钢板等替代方法来抓住这些边缘骨折块,从而增加稳定性并防止脱位。 

3.掌桡尺型

如果手掌骨折块延伸至桡骨,则必须使用更宽的远端板来合并这些骨折块。可提供带有两个分离臂的特殊板(见图)。 

三、背侧关键骨块

背侧键型骨折应从背侧进行治疗,尤其是当背侧骨折块不能从掌侧正确复位且太小而无法从掌侧固定时(见图 )。如果骨折还包括掌侧骨折,则需要掌背侧联合入路(见图 )。

四、中央嵌钝型骨折

如果凹陷局限在中央并且掌和背侧皮质骨完好无损,则最好通过 CT 来确定凹陷的程度。关节镜辅助手术是治疗这些骨折块的最佳选择,凹陷区域通过钻孔进行矫正。如果皮质骨在中央凹陷下呈郁金香状骨折,则背侧入路通常是进入桡腕关节的最佳途径。在这种情况下,背板是一个不错的选择。

五、远端剪切型骨折

远端剪切性骨折与韧带桡腕关节脱位相当。在这种情况下,可以使用背侧或掌侧入路的框架板或单螺钉(见图)。根据脱位的方向,选择手掌或背部入路。 

六、三部分骨折

三部分骨折通常通过手掌入路入路。有时,需要额外的背部方法。掌侧板可以很好地稳定这些骨折并降低肌腱损伤的风险(图)。选择掌侧入路(有限的背侧入路)。 

七、粉碎性骨折

整个关节面破碎成独立的碎片,与桡骨轴没有接触。粉碎区出现在干骺端区域。关节面看起来像浮冰。手掌和背侧结合的方法以及手掌和背侧的双板是一种选择 

如果无法实现稳定性,则应使用跨接板或外固定等替代方法(见图 )。

友情链接: