首页/关节/全髋关节翻修术中臀大肌和阔筋膜张肌重建外展肌!/
全髋关节翻修术中臀大肌和阔筋膜张肌重建外展肌!
2023-02-27 10:56:252457浏览
全髋关节翻修术中臀大肌和阔筋膜张肌重建外展肌!

全关节置换术患者的外展肌功能不全是一个常见但具有挑战性的问题,可导致疼痛、跛行、假体磨损增加和不稳定。外展肌缺陷可继发于创伤性或磨损性撕裂、初次和翻修时的断裂、大转子的骨质丢失或骨折、肌肉萎缩、神经损伤、异位骨化以及对金属碎片的不良反应。全髋关节置换术后外展肌功能不全的发生率为0.08%-20%。



外展肌功能不全分型


使用Safir外展肌功能不全分类系统对外展肌功能不足的程度进行分类。对IIB级、IIIA/B级和IVB级撕裂进行外展肌重建。这包括部分外展肌腱撕裂,外展肌腱残留率低于50%(IIB),完全外展肌腱撕裂伴或不伴外展肌存活,以及大转子处不可修复的骨折/骨丢失(IVB)。


臀大肌和阔筋膜张重建外展肌步骤

1.股骨大转子的准备

附着在股骨大转子上的任何臀中肌纤维都被保留。在臀中肌纤维被撕下的地方,用摆动锯对股骨大转子的外侧关节面进行打磨。用2.5 mm的钻头从前向后钻出三个经骨缝合隧道。

2.臀中肌和臀小肌部分修复术

使用支架将髋部20度外展。撕裂和回缩的臀中肌腱通过去除粘连进行识别和松动。现有的臀中肌和臀小肌腱尽可能直接修复到大转子上,通过跨骨隧道用两条不可吸收的八字形缝线缝合。

3.臀大肌和阔筋膜张肌准备

在外侧入路中,阔筋膜已经纵向切开。在阔筋膜前部做一个微斜切口(长度约为3-4厘米),该切口距离远到足以提供足够的长度,使组织滑脱到达股外侧肌筋膜(A)。然后,通过阔筋膜的前部切开延伸到阔筋膜张肌肌腹的近端和前部,大约70%的肌肉用于转移(B)。要转移的阔筋膜张肌的粘连部分通过手指来进行钝性松解。

类似的方法用于制备臀大肌。在阔筋膜的后部,在足够远的位置做一个轻微的斜切口(长度约为3-4厘米),以提供足够的长度,使组织滑脱到达股外侧肌的筋膜(c)。然后,通过阔筋膜的后切口向近侧和后侧延伸至臀大肌肌腹,以便将这块肌肉的大约30%用于转移(D)。将要转移的臀大肌部分通钝性分离,通过手指解剖释放粘连。

4.转移阔筋膜张肌

阔筋膜张肌远端转移到股外侧肌,同时在适当的张力下用多个中断的不可吸收的8字形缝合线固定。或者(没有在图中显示),如果不能动员外展肌进行直接修复,可以使用第1步中描述的骨隧道来固定阔筋膜张肌滑移。

5.转移臀大肌

将臀大肌移位于的阔筋膜张肌上方前方,远端用多次间断的不可吸收的八字缝线与阔筋膜张肌、股外侧肌缝合。阔筋膜远端解剖闭合,皮下组织和皮肤分层闭合。

术后管理

允许患者在手术后使用助行器支撑承受的重量,并开始物理治疗以促进活动。建议患者术后12周佩戴外展肌支架,避免主动外展。12周后,患者开始进行温和的主动外展训练,并逐渐向外展肌肌力增强发展。

病例

病例1:患者男,62岁,在多次左髋关节手术后,主诉左髋关节疼痛和外展肌无力。他在9年前接受了左侧全髋关节置换术,随后分别在手术后3、6和9年进行了外展肌修复术。在体检中,注意到有Trendelenburg步态。

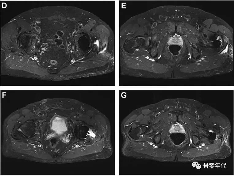
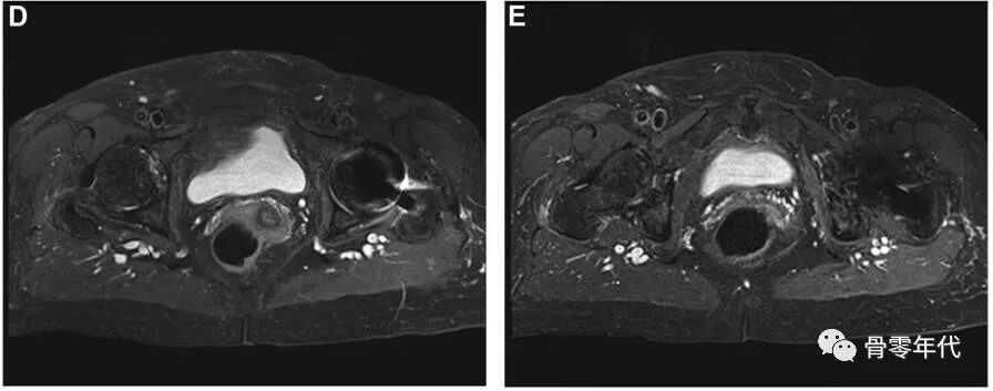
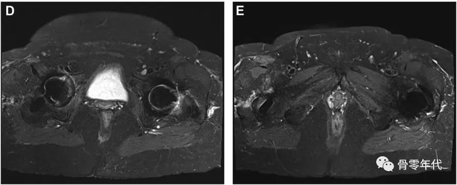
(A-C)术前X光显示左侧股骨近端骨量减少,翻修时预先放置的模块化骨干接合股骨柄用于假体周围骨折的治疗。(D和E)在外展肌重建前进行的MRI图像显示臀中肌和小肌脂肪萎缩,股骨肌腱附着处改变。(F和G)外展肌重建18个月后的部分MRI图像显示臀中肌附着完整,臀小肌部分连续。患者报告的外展肌重建术23个月的结果包括:静息疼痛,1/10;行走疼痛,3/10;Harris髋关节评分,61;牛津髋关节评分,22。患者报告中度跛行,仅需长时间步行时需要拐杖。

病例2:一位60岁女性主诉右髋部疼痛和外展肌无力,在初次右全髋关节置换术后出现大转子骨折。2/5 外展肌肌力。

(A-C)术前X光显示大转子有轻微骨折,和先前植入的右全髋关节假体,包括非骨水泥的股骨柄和非骨水泥的髋臼假体。(D和E)在外展肌重建前进行的MRI图像显示臀中肌腱仍然附着在大转子骨折片段上。这块骨折碎片已经移位,近端移位。臀小肌腱终止于股骨近端的软组织。外展肌重建术后18个月的报告包括:休息疼痛,3/10;行走疼痛,8/10;Harris髋关节评分,26;牛津髋关节评分,37。患者报告中度跛行,行走时使用助行器。

病例3:1例81岁女性患者,左外侧髋部和腹股沟疼痛。在初次全髋关节置换术前,体检记录为Trendelenburg步态和4/5的外展肌力。MRI显示肌腱病变和累及臀中肌和臀小肌腱的部分撕裂的征象。在初次全髋关节置换术中,在股骨近端的止点发现了臀中肌和臀小肌腱部分撕裂。全髋关节假体植入后,一期缝合修复。手术后,她恢复得很好,但最终在大转子上出现了越来越多的疼痛。检查中发现3-4/5外展肌力。手术切除异位骨化。外展肌经经骨隧道进行部分修复,并通过臀大肌和阔筋膜张肌的转移来加强修复。

(A-C)术前X光显示先前植入的右侧全髋关节假体,包括非骨水泥的股骨柄和非骨水泥的髋臼假体。(D和E)外展肌重建后12个月MRI图像显示臀中肌、臀小肌、臀大重建瓣和阔筋膜张肌重建瓣完整。患者报告的外展肌重建术22个月的结果包括:静息疼痛,1/10;行走疼痛,3/10;Harris髋关节评分,58;牛津髋关节评分,23。病人报告说,走路时有轻微的跛行和拐杖。

总结

部分移植臀大肌和阔筋膜张肌的外展肌重建是治疗全髋关节翻修术后外展肌缺失的一种有前景的方法。需要更大的系列来确定这种技术在恢复外展肌功能和改善患者报告结果方面的有效性。

友情链接: