
半月板损伤

半月板损伤MRI分为三级
- Ⅰ级损伤即早期退变或变性

- Ⅱ级损伤即严重变性,是Ⅰ级损伤的继续
- Ⅲ级损伤即撕裂(Menisci Tear)基本类型包括纵向撕裂、桶柄状撕裂、放射状撕裂、斜形撕裂。
1、斜行撕裂
MRI示Ⅲ级的高信号与胫骨平台成一定的角度 (除了0°及 90°);最常见的撕裂类型。

2、水平撕裂
MRI 示Ⅲ级高信号影的方向与胫骨平台平行, 内缘达半月板的游离缘,较少见,常与半月板囊肿同时出现;

3、纵行撕裂
MRI 示其高信号的方向与半月板的长轴方向平行;

4、桶柄状撕裂
为纵形撕裂伴碎片向内侧移位,这种移位的片段类似于桶的柄,该型撕裂几乎累及半月板的所有部位,常易漏诊,在 MRI 上可以有多种表现,主要为半月板的宽度减小,在通过半月板体部的冠状面上未见到与对侧半月板共同构成的蝶形表现,同时可见到内移的半月板碎片位于髁间窝或交叉韧带旁,可形成双前、后交叉韧带征,这一征象在诊断半月板桶柄状撕裂中有重要意义;

5、放射状撕裂
MRI 示其高信号的方向与半月板的长轴方向垂直

盘状半月板(Discoid Meniscus)
MRI-sag: 5mm层厚扫描时有3个或以上层面显示半月板前后角相连,形成蝴蝶结样改变Cor-半月板最窄处宽度大于14-15mm,外侧缘高于对侧2mm以上


交叉韧带损伤


1、股内侧肌。2、股四头肌肌腱。3、髌骨。4、髌韧带。5、前交叉韧带。6、胫骨。7、腓肠肌内侧头。8、后交叉韧带。
交叉韧带损伤MRI表现
- 交叉韧带损伤有完全撕裂和部分撕裂
- MRI上区分部分和完全撕裂困难
前交叉韧带完全撕裂直接征象为
- ACL连续性中断
- 韧带扭曲呈波浪状
- ACL内形成假瘤,在T1WI呈低信号,T2WI上呈高信号,并且见不到完整的纤维束
- T2WI上ACL内呈现弥漫性高信号

后交叉韧带完全撕裂直接征象为
- PCL连续性中断,残余的韧带退缩、扭曲
- MRI上未显示PCL
- 在T1WI、T2WI上呈不规则的高信号
- PCL胫骨附着点有撕脱的骨碎片和后交叉韧带 相连而韧带的连续性未见中断

侧副韧带损伤
正常解剖
- 胫侧副韧带起自股骨内侧收肌结节之下,止于 胫骨的内侧,相当于胫骨粗隆水平,长度约 11cm,宽度约1.5cm
- 腓侧副韧带起自股骨外上髁上方,止于腓骨头 下方,呈一个圆索条状结构,长约5-7cm
影像学表现
- MRI上正常副韧带在任何序列均为低信号
- 检查多采用冠状面和横轴面检查
- 侧副韧带损伤MRI上表现为韧带内长T2高信号
- 完全断裂表现为韧带连续性中断或韧带增粗、肿胀、韧带内弥漫性高信号
以内侧副韧带损伤(MCL)为例,可分为Ⅲ级
Ⅰ级:MCL 扭伤,可有水肿及出血;MRI 表现为损伤区T1WI 低信号,T2WI、STIR 呈高信号,在亚急性期出血时T1WI 可显示为高信号;而MCL的形态并不发生改变,与周围组织有明显的分界,冠状面上表现为平行于骨皮质的带状低信号影。


Ⅱ级:MCL 部分撕裂;Ⅱ级损伤,因韧带部分撕裂,水肿和出血使韧带和周围组织分界不清,其韧带可有移位,不再平行于骨皮质缘,部分纤维断裂处在T2WI 或STIR 上呈高信号。


Ⅲ级:MCL 完全断裂。Ⅲ级损伤,因韧带完全撕裂,使其连续性中断,并伴有韧带的增粗肿胀,整条韧带结构与肌肉信号混合,界限消失,不能辨认其结构走形,在T2WI 或STIR 上呈弥漫性高信号,有时韧带断端呈波浪状改变,关节囊内可见不等量的积液影像

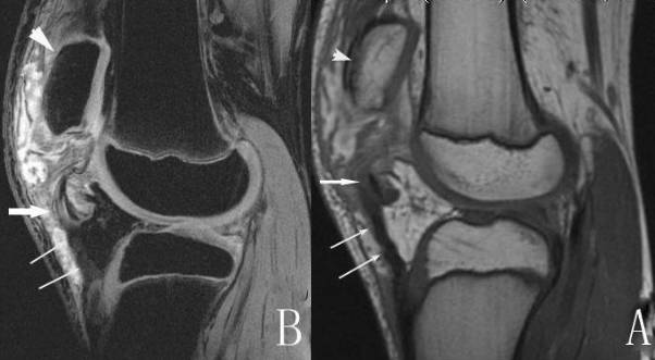
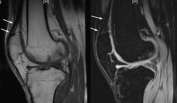
髌骨韧带损伤
正常解剖
- 为股四头肌的延续部
- 是全身最强大的韧带之一
- 位于膝关节囊的正前方
- 起自髌尖及其后方的粗面,向下止于胫骨 粗隆,长约8cm
影像学表现
- MRI上任何序列均表现为低信号
- 矢状面和横轴面显示好
- 部分撕裂时MRI上表现为韧带内高信号
- 完全撕裂时表现为韧带断裂,髌骨上移,韧带 呈波浪状改变


股四头肌腱
股四头肌肌腱:有四组肌肉末端集中插入髌骨上极组成三层的股四头肌肌腱;各层正常可在矢状位图像上清晰显示,表现为带状的均匀低信号,各层中间有高信号脂肪分隔;最常表现为光滑的三层结构,而两层或四层表现不常见;正常的股四头肌肌腱平均厚度为6-10mm、平均宽度月28-42mm。
正常股四头肌腱

大多数撕裂发生在或靠近肌腱的髌骨上极插入部。部分撕裂表现为肌腱任意层的中断,常类及股直肌部分。全层撕裂表现为肌腱的完全断裂和局部水肿、出血引起的肿块,在T2和IR序列图像上表现为高信号。完全撕裂时多数可见因为肌肉收缩引起的肌腱末端退缩,髌骨的位置可下移。
股四头肌腱撕裂

