首页/牙体牙髓/图解口腔种植外科缝合技术,全部分享!/
图解口腔种植外科缝合技术,全部分享!
2023-02-27 15:19:455280浏览
图解口腔种植外科缝合技术,全部分享!

在种植外科手术中,将切口精准对位、严密缝合,保证软组织良好愈合是手术成功的关键之一。本文就谈谈口腔种植手术中常用的基本外科缝合技术。

缝合目的

为了将切开的软组织创缘互相贴合并消除死腔,促进伤口的早期愈合,某些情况也可起到止血与重建组织形态结构的作用。

缝合原则

初期关闭创口,保证局部良好的血液循环,为组织愈合提供足够的稳定空间。

缝合针分类(按针尖形态)

1、圆针:针头逐渐尖细的圆锥形,横截面为圆形。常用于质地柔软易穿透的组织,对于骨膜等较坚韧的组织穿透力不如角针。

2、角针:针尖呈三角形,有三个刃,易穿透坚韧的组织。1) 常规角针:应力面有切口,打结容易造成粘膜撕裂。2) 反角针:刃部朝向针体凸面,不易出现粘膜撕裂。

多选用针线一体的无损伤缝合针,其特点嵌线端针与缝线直径一致,缝合时能有效地封闭针孔,防止血渗漏,对组织造成的损伤较小。

牙槽黏膜缝合时宜选用弯曲率为3/8或1/2弧度的弯针。

3/8弧度缝合针适用于游离动度较小的附着龈,以增加针距,避免撕裂牙龈。

缝线需具备的条件

1. 抗张强度大,柔韧性强,打结不易松脱。2. 表面平滑,容易穿透组织,不利细菌定植。3. 组织相容性好,炎症反应轻微。

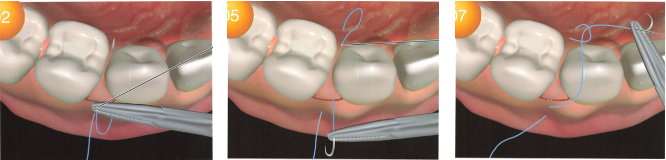
缝合方法

1、 间断缝合

优点:切口关闭牢固,出现一针断线或松脱不致影响全局缺点:速度慢。

2、 连续缝合

在涉及多个牙位的翻瓣潜入式种植时,由于切口较长,常选此法。优点:速度快,易移除。缺点:可能发生断线引起的缝线松脱。

2.1 单纯连续缝合操作简单,但缝线没有办法与切口成直角,封闭创口的作用较差。

2.2连续锁边缝合缝线可以与切口成直角,因此封闭创口能力较强。缝线松脱的概率相对较小。

3、褥式缝合

褥式缝合是缝线在组织内呈“U”形,创缘不是“点”接触,而是“面”接触的一种缝合方法。这一方法有将组织瓣向基底面压迫的效果,从而使组织瓣与根面或者骨面紧密贴合。

示意图可以很清楚的看到外翻式外露的缝线在创缘两侧,内翻式外露的缝线越过创缘,将创缘向下压迫。

4、垂直悬吊褥式缝合

是对创面下深部及浅部组织进行垂直缝合,在打结侧的对侧形成一个环,缝线从此环中通过后向上悬吊,打外科结。是垂直褥式的变形。 

适用:在牙龈乳头区等狭窄部位并且只能通过一次缝合关闭创口。 不适用:牙齿邻间区的再生性手术。

对于牙齿邻间区的再生性手术推荐使用垂直外翻式缝合。

操作:1)唇侧进针,线从切口下方的组织内通过,然后从腭侧内侧刺入。2)从腭侧基底部再度刺入。缝线从邻间区的组织瓣下通过,先暂时从切口处引出,但要在腭侧留一段线不完全拉紧,形成一个“扣”。3)再从唇侧穿出,缝线从腭侧“扣”里穿过,打结。

5、悬吊缝合

是利用术区的牙齿来悬吊固定龈瓣,而不是将颊舌侧龈瓣简单地拉拢缝合,尤其适用于颊、舌两侧龈瓣高度不一致时,使每侧龈瓣分别在所复位的水平紧密地贴合于牙与骨面,不易发生松脱或过大张力。也适用于冠向复位瓣术或者固定屏障膜。

5.1单个牙的双乳头悬吊缝合

利用手术牙来固定其近中和远中两个龈乳头,可用于单侧翻瓣或双侧翻瓣时。

操作: 1)进针点要避开牙龈乳头的狭窄部位,选在龈乳头根方,如果有移植物,应当将移植物也一并缝上,便于固定。2)通过邻间隙将针向舌侧穿过,可以将针的针根先向舌侧穿过,可避免损伤针尖。3)环绕牙齿,达同侧龈瓣远中,再从外表面进针,返回近中乳头处打结。将单侧瓣的两个乳头悬吊在牙上。

5.2连续悬吊缝合 

5.2.1单侧连续悬吊缝合当手术区涉及多个牙,且颊舌两侧的龈瓣复位高度不一致 ,此时可用单侧连续悬吊缝合法,将颊、舌侧瓣分别固定于各自的水平。

操作:前面同单个牙的双乳头悬吊缝合一样,从远中龈乳头穿出后,不再绕回近中而是环绕远中邻牙用相同的方法继续至最后一个龈乳头,然后打结。

5.2.2双侧连续悬吊缝合当颊舌侧龈瓣高度一致,则可用双侧连续悬吊缝合,缝线应在近、远中两端的牙上环绕一周,以加强悬吊作用而避免拉扯对侧的龈瓣。

操作:单侧连续悬吊缝合后,缝线环绕最后一龈乳头远中的牙齿,从腭侧外表面进针,再做单侧连续悬吊缝合,打结。

临床应用

一、游离龈移植

取上腭组织瓣处理后,在受植床上放好移植瓣,先将其缝合在牙齿邻间区的骨膜上固定,将瓣的近中、远中部分也与骨膜固定缝合。在移植瓣的根方2-3mm,刺入骨膜并穿出,刺入点与穿出点应与牙齿的近远中宽度一致,再将缝线在移植瓣上方交叉,环绕悬吊于牙齿上。在移植瓣上方打结,打结时应适当加力,力度掌握在不会移动组织瓣。供区用胶原组织片覆盖,先固定四个角,再用交叉褥式固定。

二.1、环形切除

2、L转瓣

3、双L蝶形瓣

三、

注意事项

1)持针器应夹持缝针弯曲部稍微前端的位置2)缝合前用生理盐水冲洗去除血凝块及将缝线充分湿润3)进针点应距离软组织瓣边缘2-3mm4)消除缝合后过大的软组织张力5)在切口侧方打结6)检查是否已经完全封闭创口和是否存在渗血

友情链接: