首页/创伤/介绍4种桡骨远端骨折的新型内固定技术!/
介绍4种桡骨远端骨折的新型内固定技术!
2023-03-06 17:08:432331浏览
介绍4种桡骨远端骨折的新型内固定技术!

掌侧锁定加压接骨板(Volar locking compression plate,LCP)内固定是桡骨远端骨折治疗的金标准,但LCP并非对所有桡骨远端骨折均实用,如桡骨极远端骨折、背侧缘骨折、掌侧die-punch骨折等;同时,LCP钢板也存在较多的并发症,包括旋前方肌损伤、骨折血运破坏、掌侧软组织激惹、背侧肌腱磨损等,同时对严重骨质疏松患者存在较高的内固定失效风险。

对降低术后并发症和减少医源性损伤的需求,催生了各种新型内固定方式的发展。本文简要介绍4种新型内固定方式,供临床医生参考。

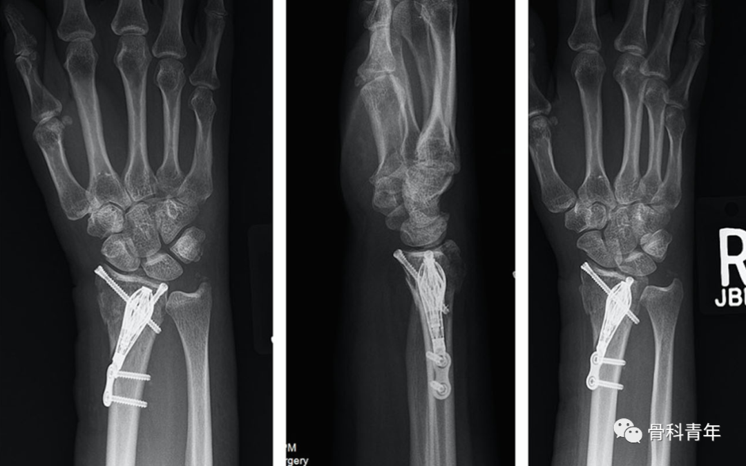
一、桡骨远端髓内钉

髓内钉技术广泛应用于长骨骨干骨折,闭合或有限切开复位有效降低医源性因素对血运的破坏,并具有良好的轴心固定生物学优势。桡骨远端髓内钉出现较晚,该技术适用于完全关节外骨折及简单的关节内骨折,对关节内粉碎骨折并不适用

桡骨远端骨折髓内钉固定的前提是闭合复位效果满意,克氏针临时固定后,通过桡骨茎突开口,自腕背侧第1/2间室间隙进入。该技术存在潜在的损伤包括桡神经分支损伤,螺钉穿入下尺桡关节或桡腕关节等。

二、Cage支撑技术

Cage支撑技术广泛应用于骨质疏松性骨折的复位固定,如肱骨近端骨折等。同理,该技术也可应用于骨质疏松性桡骨远端骨折。理论上,在最小的软组织剥离情况下,复位后经有限切口置入Cage支撑,实现髓内支撑及有效的软骨下支撑,并辅助螺钉固定。但该技术对骨量条件良好患者可能并不适用,且内植物取除困难。

三、PEEK锁定钢板

PEEK钢板存在以下特性:① 透视下不显影,利于术中观察骨折复位情况及评估骨折愈合情况;② 与骨皮质弹性模量相近,避免应力遮挡效应;③ PEEK材料与金属螺钉,避免冷焊接。但同时,PEEK钢板不显影技术不利于评估内固定是否失效,且PEEK钢板无法应对塑形,在改变螺钉方向后内固定强度减弱。


四、桡骨远端关节置换

关节置换用于严重关节内粉碎骨折的治疗已应用于肱骨近端骨折、肱骨远端骨折、胫骨平台骨折等。同理,关节置换也可用于桡骨远端骨折。适用于严重粉碎性、关节内、骨质疏松性骨折的一期治疗,或内固定失效的二期翻修。通常采用桡背侧切口,自第3/4间室间进入。


4种内固定方式的优缺点汇总:

友情链接: