首页/牙体牙髓/楔状缺损充填时小技巧的应用!/
楔状缺损充填时小技巧的应用!
2023-03-16 11:33:441708浏览
楔状缺损充填时小技巧的应用!

楔状缺损是牙齿唇颊侧颈部硬组织发生缓慢消耗所致的缺损,由于这种缺损常呈楔形因而得名。很多患者会出现敏感、牙龈退缩的症状,严重的甚至牙髓暴露及牙齿折断。


对于楔状缺损的治疗一般采用充填的方法,由于缺损的位置比较特殊,隔湿比较困难,充填体脱落时有发生,我们可以采用橡皮障下,用树脂突的方式进行隔湿,效果还是非常不错的。


一例临床病例作为展示,希望对大家有所帮助


患者 男 55岁 摄影师 牙齿敏感前来就诊


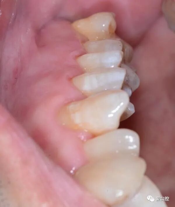
图一:24 25 颊侧颈部楔状缺损,探诊敏感,冷测敏感,经与患者沟通树脂充填


图2:局麻下上橡皮障


图3:用小挖匙压牙龈向龈方 可以看到缺损全部暴露


图4 图5 图6:在根面涂布自酸粘结剂 制作树脂突


图7:树脂突可制作稍长一点 已可以固定橡皮障为宜


图8:24 同样制作树脂突 翻转橡皮障,我们可以看到缺损完全暴露出来了


图9:牙体预备 清理缺损表面


图10 图11:隔湿不是问题 充填就简单啦


图12 图13 图14:手术刀休整树脂边缘 去除树脂突,并清理根面残留粘结剂


图15:抛光


图16 图17:取下橡皮障 结果是不是还不错呢?

友情链接: