首页/牙体牙髓/牙釉质矿化不全还是牙釉质形成不全?来看这篇文章/
牙釉质矿化不全还是牙釉质形成不全?来看这篇文章
2023-03-16 12:03:534425浏览
牙釉质矿化不全还是牙釉质形成不全?来看这篇文章

无论是矿化不全还是形成不全,在病理上都属于发育性疾病。当牙釉质矿化程度低时,会导致正常形状和大小的牙齿中的釉质变色。由于牙釉质较脆弱,牙齿的釉质可能在萌出受力后破裂,导致釉质缺失。

而牙釉质发育不全则主要表现为窝、沟状凹陷,牙釉质缺失或牙齿较小。有时可能很难区分两者。

那么这两种情况该如何区分,以及如何处理这类患者?

01釉质形成的大概过程

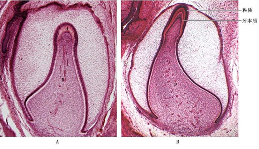
在胚胎的第7周,人胚胎的原始口腔部位出现了牙板,在未来牙上的位置的,牙板上的一系列局部区域细胞,增殖活跃,增生的上皮、向深层的结缔组织内伸延,其最末端细胞增生并进一步发育为成釉器。成釉器,顾名思义,就是形成釉质的主要结构(图1)。

图1.牙齿的形成过程

在钟状晚期,首先在牙切缘处,形成了一层牙本质,然后,成釉器中的内釉细胞在牙本质的诱导下,在其表面形成了釉质,本质与釉质相互交叉形成,就如图2所示。

图2. 釉质形成的过程

釉质形成整个可以分成两个阶段:即分泌期成熟期

成釉细胞分泌有机基质,并立即进行釉质的部分矿化,矿化达到约30%,这就是分泌期

这一阶段完成之后,釉质进一步矿化,晶体变宽、变厚,与此同时大部分有机基质和水被吸收,当釉质完全形成时,其矿物质含量达到96%,而这一阶段就是成熟期

因此,我们可以得出结论,任何一个阶段出现问题,最终形成的釉质必然是有问题的。矿化不全和形成不全的釉质可以影响单个牙,一组牙或全部牙,形成的釉质结构异常依病变的严重程度、持续时间、病变性质而不同。成釉细胞功能障碍导致的病变,大部分同时发生形成不全、矿化不全,但在临床个体患者上多以一种表现为主。

02釉质矿化不全

组织病理书上说,釉质矿化不全是由于成釉细胞未能使形成的基质完全钙化。

这种釉质在临床上表现为白色不透光,牙萌出后由于色素沉着变为浅黄色、橘黄色甚至棕色,并且釉质很快就会剥脱。

矿化不全釉质的有机基质大部分为酸不溶解性,故在脱钙标本切片中能被保存。

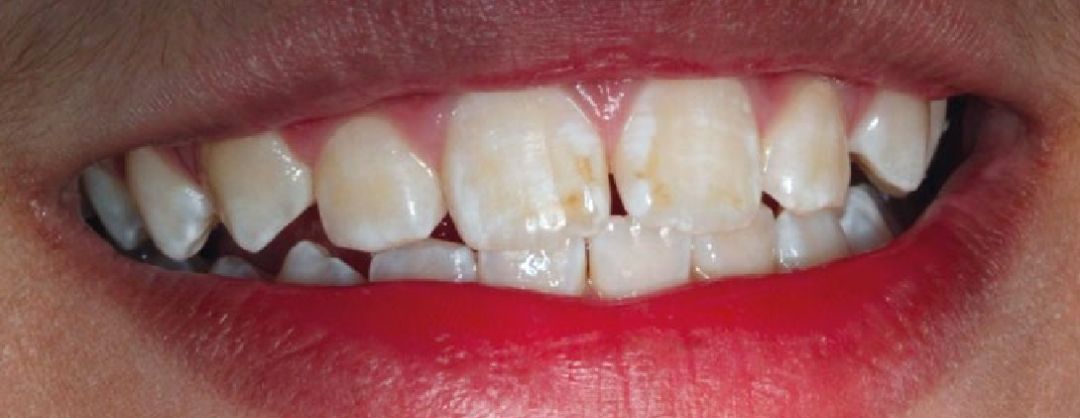
图3. 轻度的釉质矿化不全

显示的是影响前牙的弥漫性不透明的釉质,以及局部的着色

儿童中最常见的矿化不全是磨牙-切牙釉质矿化不全(MIH),全球合并的MIH患病率为14.2%。它会影响第一恒磨牙,并经常影响恒切牙。

研究显示,MIH与影响第二磨牙的釉质矿化不全,有相关性。MIH的表现可能有所不同,从小面积变色到广泛的釉质崩解(PEB)

釉质崩解PEB会迅速发生,从而引起牙齿敏感或疼痛,并且釉质崩解的位置易继发龋坏。相比之下,由于形成不全引起的牙釉质缺失通常是光滑的,边缘圆钝。由于釉质崩解PEB引起的牙釉质缺失,往往会在受影响和未受影响的牙釉质之间留下粗糙,不均匀的边界。与受影响的后牙相比,受影响的门牙的釉质矿化不全程度通常较低,但可能会引起美学上的问题。

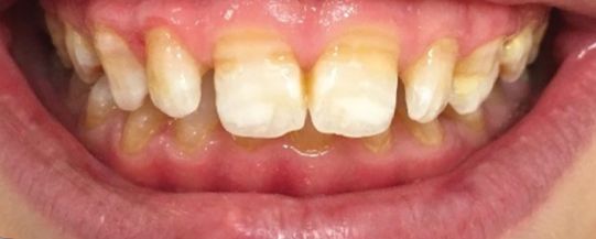
03釉质形成不全釉质形成不全,是由于成釉细胞出现了变化,继而不能产生正常量的釉基质,但形成的基质可像正常釉质一样完全矿化。其临床表现主要为为釉质表面出现窝状、沟状凹陷,或整个釉质厚度降低。磨片检查显示,釉柱数量减少,方向异常,一些病变无釉柱。乳牙的外伤或感染可能导致对应恒牙局部的釉质形成不良。普遍的形成不全的缺陷也可能是由于系统,环境和遗传因素所致。儿童中最常见的时序性形成不全的原因是由于维生素D缺乏。时序形成不全是形成不全的一种普遍形式,具有对称性缺陷的特征。时间顺序模式仅在刺激影响釉质分泌时在部分牙齿上可见。在时序发育不全中,与釉质崩解中的粗糙边界相反,边界是光滑且圆润的,并且仅影响冠的一部分,就像图5所示。

图5. 釉质形成不全注意不同的病因有助于诊断牙釉质矿化和形成不全,病因包括局部因素,全身因素,环境以及遗传因素。

矿化不全和形成不全的牙齿表现出一系列的临床变异性。白色、黄色的不透明斑块、釉质软而多孔,矿化程度低,并且影响粘接,是矿化不全的特点。而釉质表面窝状、沟状凹陷、质硬、釉质量少,是形成不全的特点。基本了解了这两种疾病之后,下一步考虑的就是治疗方案。这是文献中推荐的儿童牙科的治疗方案选择路径图。当然,我们也可以从中得到一些启示。对于前牙(图6),如果牙齿无症状,并且患者没有美学问题,则无需进行任何治疗。对于矿化不全,我们要考虑到:有时很难用复合树脂直接粘合到矿化度差的牙釉质牙齿上的。除此之外,矿化不全的牙齿通常是正常的形状和大小,因此需要通过牙体预备来获得正常的牙齿轮廓和形态的修复空间。因此,包括牙齿漂白和微打磨、渗透树脂在内的保守治疗应始终被视为首要考虑的方案。但是,对于釉质形成不全,牙齿看起来可能更小而影响美观。复合树脂通常不需要进行任何牙体预备即可使牙齿恢复其正常形态,因而被推荐为首选。当然,贴面等比较微创的方式,也是可选的。

图6. 前牙治疗方案选择途径

04关于后牙在决定最合适的治疗方法时,评估受影响的磨牙的预后很重要。如果磨牙受到的影响小,没有症状或没有釉质崩解,则适合采用简单的预防措施,例如含氟涂料和窝沟密封剂等,这点与前牙相同。理想情况下,严重的低矿化的牙齿应由多学科团队(包括专业的儿科牙医、正畸医生甚至修复医生)进行联合治疗,并在适当时考虑计划的拔牙。可以用金属预成冠(PMC)或树脂改性的玻璃离子水门汀GIC来保护并维持后齿。如果是间接修复,嵌体或全冠是一种治疗选择,我们应仔细考虑釉质的矿化程度,因为这会直接影响粘结。已建议在涂布粘接剂之前用5.25%NaOCl进行牙釉质脱蛋白,以增强树脂粘固剂与矿化程度低的牙釉质的粘接性能。对于釉质形成不全的后牙,如果受到的影响小,则窝沟密封剂或复合树脂修复就可以了。如果整个牙齿表面都严重受影响了,可以考虑金属预成冠,则可以考虑使用树脂型粘固剂粘接。受严重不良影响的预后不良的后牙应由多学科团队进行联合治疗,并由专业的儿科牙医和正畸医生、修复医生进行评估,以酌情考虑计划的拔牙。

图7. 后牙治疗方案选择途径从组织发生,到病理分析;从病因到临床,再到治疗方案,为大家梳理了如何简单地区分牙釉质矿化不全以及牙釉质形成不全,以及如何处理这类患者,希望为大家带来一点新的思考。

友情链接: