首页/牙体牙髓/直接贴面修复中UNICA框架的重要性!/
直接贴面修复中UNICA框架的重要性!
2023-04-03 18:19:491404浏览
直接贴面修复中UNICA框架的重要性!

译者:韩兴怡,南京医科大学口腔医学院2022级硕士研究生(导师:闫明)

原文网址:https://www.styleitaliano.org/unica-frame-as-key-to-success-in-direct-veneering/

任何涉及邻接区修复成功的例子,如直接贴面,严格依赖于正确成形片的选择。任何成形片的目的都是帮助塑形一个可清洁且具有光滑凸表面的解剖外形修复体,与剩余牙体组织无缝衔接,与邻牙的最大凸处形成接触面。虽然有许多直接修复的成形片类型可用,但是我们可以使用金属截面成型片一次构建邻壁,以确定贴面区域,或者我们可以使用“Unica前牙成形片(Polydentia)”(Unica anterior matrix (Polydentia))。

Unica anterior是直接进行III类、IV类和V类洞型修复和美观修复的理想成形片,如复合树脂贴面的直接分层修复和上颌切牙的形状修改。由于它的轮廓形状,即使在有橡皮障或牙龈萎缩的情况下,Unica anterior也利于同时恢复邻面和颈部边缘,这样减少了操作所需的时间。在这篇文章中,我们将展示如何使用Unica来确定牙齿的轮廓形状,以一种可行的方式利于和增强直接贴面的修复效果。

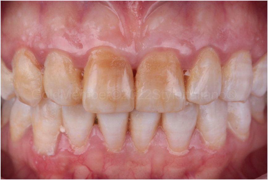
图1. 一位年轻女士的微笑照,主诉牙齿变棕黄色,而她想要自信的微笑。

图2. 患者牙齿有轻至中度氟牙症,呈黄褐色。氟牙症的治疗取决于受影响釉质的严重程度。之前有观点认为黄褐色的变色主要与上颌牙有关。中至重度氟牙症患者的牙齿外观可通过各种技术显著改善,包括漂白、树脂渗透治疗、微打磨、直接贴面或间接修复。由于患者的时间和预算有限,直接贴面符合患者的需求。

图3. 在治疗计划中,目标是掩盖变色,并进行形态矫正,尤其是切楔状隙,以遵循微笑曲线,给人一种自然微笑的错觉。

图4. 遮色选择使用的是“白色牙科美容复合系统”(White Dental Beauty CompoSIte System)中制作的定制遮色样品。五种牙本质遮色和一种釉质遮色。我们根据病人的意愿选择了一个合适的颜色,并与她的下颌牙齿和谐。

图5. 这里必须做一些准备工作,去除病损釉质,并确保在完整釉质上应用通用粘合剂,因为预备釉质可以提高氟斑牙的树脂-釉质结合强度,而在未预备的牙上粘接效果较低。

图6. 橡皮障隔离以获得清洁的环境,无污染物且有清晰的视野。为了便于Unica成形片的定位,我们使用了橡皮障隔离以收缩和封闭牙颈部。

图7. 酸蚀30秒,然后冲洗60秒,以确保酸蚀凝胶完全去除。

图8. 白垩色外观说明酸蚀充分。

图9. 使用通用粘接剂,并在表面充分摩擦,以确保完全润湿酸蚀的釉质。

图10. 使用固化灯对粘接层光固化20秒。

图11. 使用专业复合树脂系统修复:牙本质层用于修复整个唇表面,釉质层仅放置在切1/3。简单、快速且自然。年轻患者需要更明亮颜色的情况下, Si E (Enamel)遮色是完美的选择,因为它是牙体材料的颜色,呈现了自然的外观。

图12. 腭侧是使用釉质遮色(the Enamel shade (White Dental Beauty))直接修复,用手指固定支撑聚酯薄膜条。

图13. 有两种类型的Unica成形片,Regular 和 Minideep。Regular Unica是30微米的硬不锈钢合金,可用于所有前牙的修复,适合中切牙、尖牙和外形较大的牙齿。Minideep Unica是30微米的柔软不锈钢,延展性使其可以很容易地放置和成形以适应小牙齿的外形,如侧切牙、下颌前牙、和颈部直径窄的牙齿。

图14. 良好的成形系统是前牙直接修复成功的关键,可以帮助重建牙齿的自然形状达到美观效果。如果我们实现了两个中切牙的完美轮廓,就很容易将轮廓和外形复制到侧切牙和尖牙。这是非常重要的,因为眼睛总是集中在中线,即两个中切牙处。对于多个前牙修复,可以同时放置多个Unica成形片,中央为 regular unica,外侧为minideep。使用Unica的优点之一是可以很容易地预测外形,快速获得对称性,并且可以很容易定位中线。

图15. 我们所说的Unica框架是什么意思?当使用Unica成形片修复邻接面和颈部时,会产生一个框架,这有助于预测修复体的最终形状,控制分层充填时复合材料的量,随后可减少清洁和抛光的时间。一旦框架勾勒出来,在良好控制材料量的同时,牙齿可以很容易逐层且平滑地进行贴面修复。因为Unica成形片提供了预可视化的条件,所以能很容易获得最终形状。

图16. 提示:这个阶段,如果颈部有突出部分(红色),有时我们可以去除。此外,如果修复体超出轮廓边缘,邻面壁应缩小至与唇侧同一水平。超出(黄色)的部分意味着放置的复合树脂材料比需要的多,这可能会导致超出应有的轮廓和修复体过大,同时增加了修整和抛光的时间。

图17. 在所有牙齿上堆塑遮色树脂材料(SI2 dentin, White Dental Beauty)后,为最终特征性的牙釉质层留下一个切端空间。

图18. 最后的釉质层(E shade, Whie Dental Beauty)需要彻底的光滑,以方便修整和抛光程序。

图19. 唇侧分切、中、颈三个面进行修整。

图20. 低速抛光碟修整两侧近远中的过渡线和弯曲。

图21. 我们用金刚砂车针磨出发育叶。车针体部用于切端,较细的车针头靠近颈部来预备窄的部分。

图22. 旋转橡胶轮可用于轻松预抛光所有表面细节,唇面和邻面,从颈部到切端呈45度倾斜,在保持表面纹理的同时,间断磨除所有表面不规则和尖锐区域。橡胶的活动端是边缘,而不是圆盘的平面。

图23. 毡毛抛光碟和抛光膏的联合使用对复合树脂修复材料进行单步法高光泽度抛光。

图24. 修整抛光后。

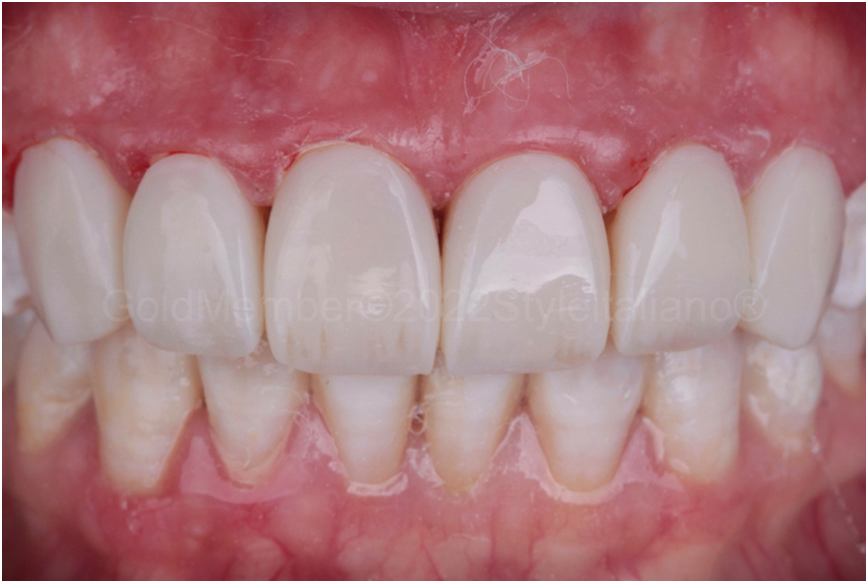
图25. 两周随访。

图26. 两周随访。

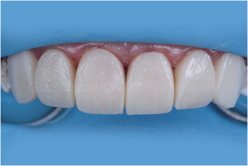
图27. 侧面观。

图28. 侧面观。

图29. 最终微笑照。

结论

构建外部框架是树脂直接贴面成功的关键。Unica成形片简化了整个过程,并允许操作者克服他们在多颗牙齿工作时面临的挑战。它的特殊形状有助于预测和可视化复合树脂材料贴面的最终形状、中线和对称性,同时控制复合树脂材料的使用量,从而减少花在修整和抛光上的时间,以及整个过程的时间。

友情链接: