首页/牙体牙髓/图文结合:多牙位扭转病例的接触点处理/
图文结合:多牙位扭转病例的接触点处理
2023-04-03 18:22:471158浏览
图文结合:多牙位扭转病例的接触点处理!

在日常的后牙复合树脂直接修复中,如何尽可能的重建合理的邻壁并恢复天然的功能解剖的时机仍然是一个挑战。本文将重点讨论多牙位邻面洞形的处理,以获得最佳的最终效果。

图1. 初诊情况。患者对甜食敏感,用牙线清理困难。在15和16邻间隙两侧各有一个邻面龋洞,原有银汞合金修复体边缘出现微渗漏,于是我们决定更换。

图2. 在完全隔离的情况下去除原有银汞修复体,去除无支持的牙体组织,龈壁平整以便于邻面成形系统的封闭。最后使用29μm氧化铝颗粒对表面进行喷砂处理。

图3. 重建邻壁,相邻邻面同时放置成形片以避免单侧的邻壁恢复过高。

图4. 由于16倾斜,较大的腭侧楔状隙无法使用楔子封闭成形片。

图5. 在修复完15远中邻面的小龋洞后,放置成形片来恢复16的近中邻壁,腭侧填塞铁氟龙胶带(黑色箭头)进行辅助封闭。

图6. 15邻壁的恢复使用的大弯曲度的成形片,因为最初使用的成形片弯曲度不够。这种情况下恢复的邻面接触区将更位于牙合方,龈方的楔状隙会较大,出现食物嵌塞。

图7. 如果成形片的弯曲弧度不够,接触区也许是敞开的,如果将其推至邻牙的接触区也将出现高位接触的情况(如图(1))。在图(2)中,解剖形成形片可使接触区处于正确位置,使咬合及邻间隙健康合理

图8. 正确定位接触区后流动树脂封闭牙本质。

图9. 最后的解剖恢复使用的大块树脂,运用基本线技术。

图10. LM器械勾画窝沟,小毛刷修整细节。

图11. 窝沟染色。对充填体和牙体组织使用预处理剂(碳酸氢钠)冲洗,以提高抛光效果。

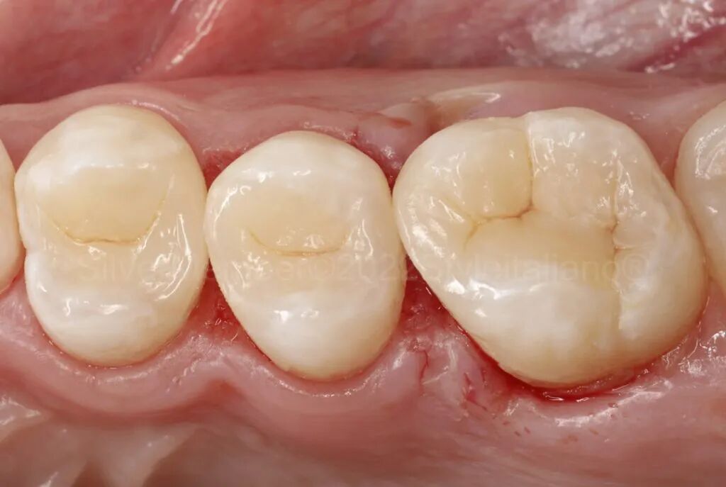
图12. 拆除橡皮障,抛光后的即刻效果,简单自然的解剖形态和良好的接触区。

图13. 咬合检查,只有16远中边缘嵴需要稍微降低。

友情链接: