首页/牙体牙髓/磨牙折裂的应急处理,你学会了吗?/
磨牙折裂的应急处理,你学会了吗?
2023-04-04 16:08:221283浏览
磨牙折裂的应急处理,你学会了吗?

译者:王菁,南京医科大学口腔医学院2023级硕士研究生(导师:于金华 教授)

原文网址:https://www.styleitaliano.org/emergency-treatment-of-a-fractured-molar/

意外不需要预约…它们就这么发生了!在牙科诊所,召开紧急讨论是很常见的。有时,抗生素处方或紧急牙髓切除术足以缓解疼痛,但有时您可能需要为更复杂的问题找到解决方案。

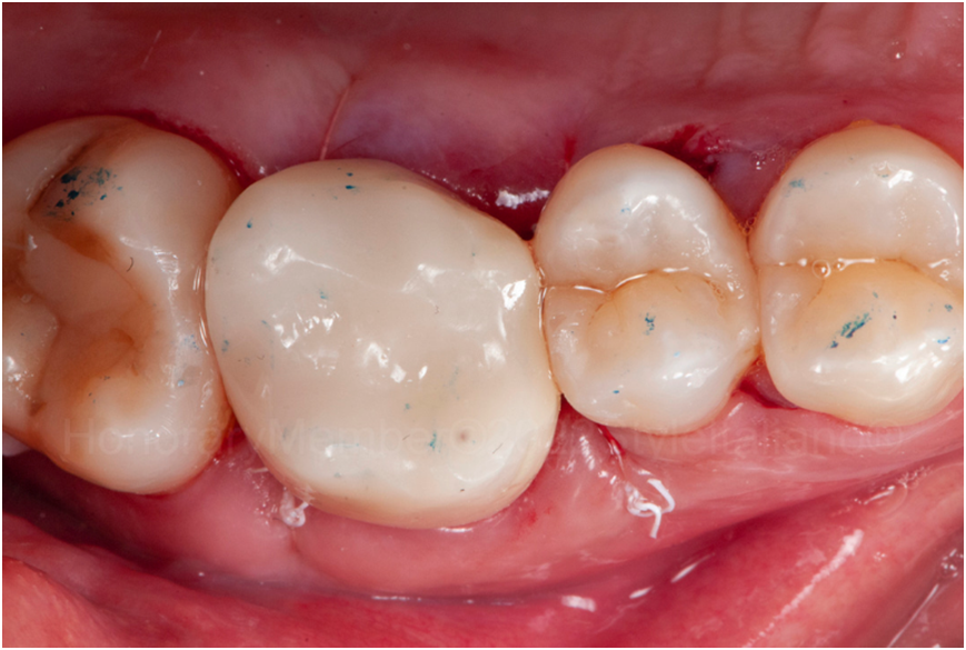
这位年轻女士因为右上第一磨牙折裂来到诊所,右上第一磨牙进行了根管治疗,并用复合材料进行了直接修复。近中腭尖缺失,折裂线深入龈沟。我们决定进行牙冠延长术,根管再治疗,纤维桩固位,然后是牙冠修复。不幸的是,我们没有机会在合理的时间内安排手术,我们必须立即采取措施,没有实验室技术人员的帮助来制作临时牙冠。这就是为什么在牙科诊所必须使用自固化树脂来制作耐用的临时修复体。

图1.  折裂线的特写照片,探诊深度为3毫米。

图2. 首先,在不使用任何粘合剂系统的情况下,直接制作一个复合树脂“实体模型”来恢复磨牙的形状,然后取藻酸盐印模。

图3.  翻瓣行牙冠延长术。

图4.  缝合后,使用橡皮障进行隔湿。

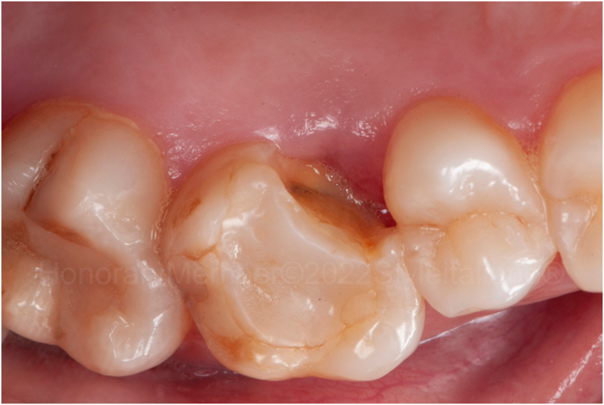
图5.  去除原有旧的修复体和龋损。

图6.  去除旧的根管充填物,进行根管再治疗。

图7. 根管再治疗后,牙齿准备进行新的修复,这次是用纤维桩修复,以减少不可修复的牙槽骨骨折的可能。用校准过的钻头在低速下预备桩道空间,并选择正确尺寸的纤维桩。这样做很重要,因为我们需要在根管壁和桩核之间保留尽可能小的空间,但我们仍然需要纤维桩有锢住感。

图8.  使用双固化通用粘合剂粘接纤维桩。对根管中的粘合剂进行化学活化是极其重要的,即使纤维桩是半透明的,我们也不能依靠简单的光固化。我们还必须注意小心地将粘合剂涂在牙齿上,所以强烈推荐使用特殊的小刷子。我们必须记住,粘接是粘接修复最关键的部分,如果粘接层失效,则修复失败。双重固化复合材料用于粘固桩,同时用于堆塑树脂核。为此,选择理想的材料至关重要。我们都需要化学固化和光固化,所以我们可以改进,然后我们依靠化学过程来完成这个过程。我们还需要一种混合良好的可流动材料,配有实用功能的注射头,以避免留下气泡或空隙。同时,我们需要固化后的材料坚硬、坚固、有抵抗力,以支撑未来的修复牙冠。

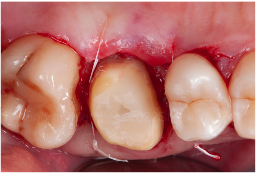
图9.  去除橡皮障后,进行全冠修复的牙体预备。我发现在准备过程中使用具有牙本质感觉的修复材料非常重要,这样可以更容易达到最终的基牙精度。

图10.  将高强度自固化材料直接注射到藻酸盐印模中,在用凡士林隔离基牙后,将托盘放回口腔中。

图11.  等待材料凝固后,移除托盘,牙冠成形。检查咬合情况,然后打磨临时牙冠。

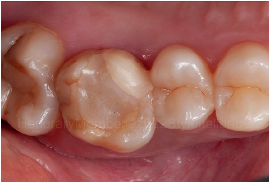
图12.  咬合面视图。

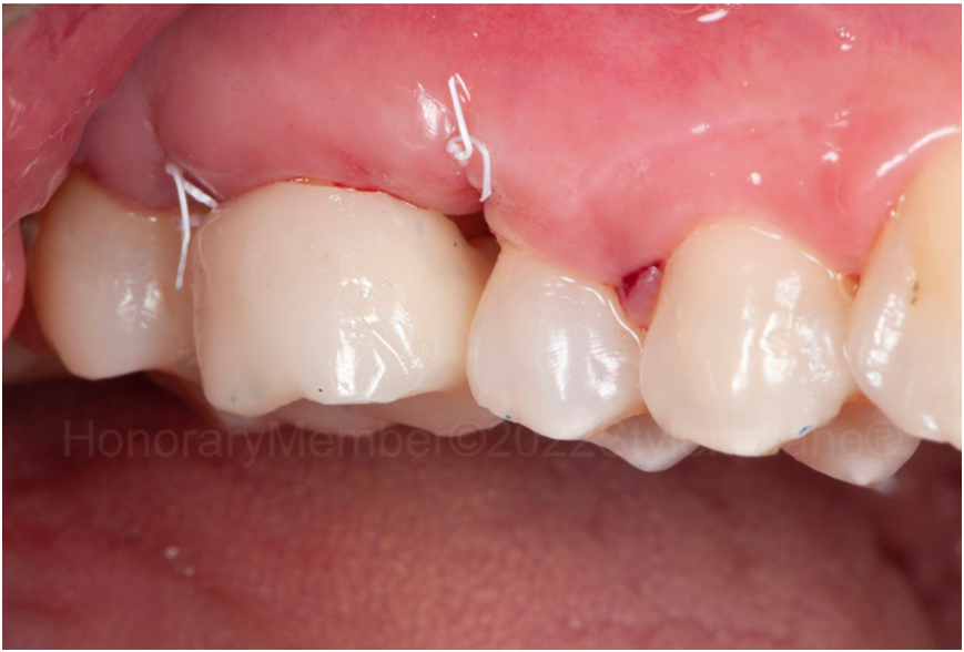
图13. 一周后拆线。

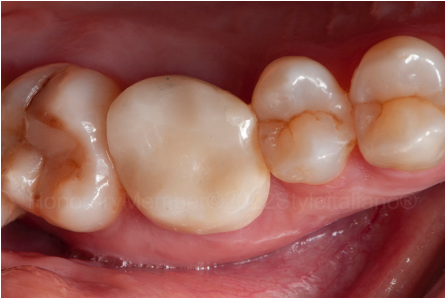
图14. 病人有几个月没有复诊,这里我们可以看到手术后10周腭部组织(折裂处)的愈合。患者很高兴,牙齿保留住了,因为有一个很坚固的临时冠,足以她等待最终的氧化锆冠。


结论

很明显,紧急情况总是出人意料的。拥有工具、材料和技术去面对它们,是一个很大的优势。在牙髓治疗的牙齿发生大面积折裂的情况下,可能需要进行完整的牙冠预备,因此有机会依靠简单有效的系统进行桩核修复,并获得即时、坚固和耐久的临时牙冠是很好的。


友情链接: