首页/创伤/手术秘籍:胫骨近端髓内钉植入技巧!/
手术秘籍:胫骨近端髓内钉植入技巧!
2023-04-04 16:17:042242浏览
手术秘籍:胫骨近端髓内钉植入技巧!

胫骨近端1/3由于髓腔较大,一直是髓内钉的难点,如何较好植入一个胫骨近端髓内钉成为了髓内钉大师们所一直追求的问题。


胫骨近端髓内钉与很多胫骨近端的失败与骨不连相关,其根本原因是你对你所面对的问题认识不全,低估了你的对手"老胫"。


需要问自己的几个问题

1、骨折涉及关节面吗?

2、髓腔怎么样?是否存在畸形?

3、锁定的位置是否与骨折线相关?

今日秘籍包含以下几个方面

1、合适的进针点

2、适当的体位和手术入路

3、挡螺钉

4、小钢板单皮钉辅助

5、牵引、外架调整

6、适当的髓内钉


应用半伸直技术,膝关节屈曲20-30°,内侧髌前入路,髌骨外侧半脱位时来进行入针点,应用套管来保护关节面和韧带,在正位和侧位上定位入针点,正位位于外侧棘的内侧,侧位位于前关节面的的边缘处,应用阻挡钉技术在植入螺钉前保持力线,插入髓内钉后应用阻挡钉来增加稳定性。近端锁定至少应用两个平面锁钉。

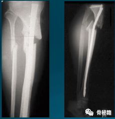
很有可能,你的髓内钉植入近端1/3的时候是这样……


近端1/3骨折,尤其是前后斜行的骨折线时,你插入髓内钉以后,经常会形成近端后倒。

近端1/3的髓腔很大,胫骨干中部才有狭窄的管腔,可以控制髓内钉,远端也是属于较大的髓腔,比较难控制。


看下面的病例,胫骨干中部比较稳定,而远端则形成了摆动效应,十分不稳定,就是传说中的“筷子搅大缸”


涉及干骺端的髓内钉容易出现的以下问题:力线不正、旋转控制不良、延迟愈合、内固定失败、骨不连。


我们先来分析一下胫骨近端的解剖,容易出现哪些移位,一屈曲膝关节,则容易出现外翻,屈曲,上移。


最佳的进针点的位置,关节面的最前缘处,正位位于外侧髁间嵴的内侧。


一个好的进钉点,保证了你的好的开端,要不然越做越难受


以下是两个反面教材,进针点过低,导致了胫骨前后成角,进针点太靠内,导致了近端外翻。


要想得到一个好的进针点,第一点就是有一个好的透视像,下肢的旋转要控制好,胫骨腓骨稍微重叠一部分,髌骨位于股骨髁的中央,即髌骨朝天。


讲完进针点的要点,下来就要谈谈体位,半伸直体位植钉技术要点,可以使股四头四放松,不再牵引胫骨近端的骨折块,基本就复位了,最好是将远端置放在一个水平的垫子上,这样基本力线也维持好了,正侧位也比较好透视。同时可以采用内侧髌旁入路,使得髌骨外侧半脱位时进针,应用保护套筒较好的进行保护相应的关节面和韧带软组织。


股四头肌劈开或者从髌骨旁切口进入,轻微推开髌骨,套筒保护好关节面

髌骨外侧入路也是髓内钉进针的一个要点,在关节面外,切口位于支持带外侧,将髌骨内移


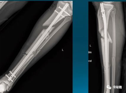
下来就是阻挡钉技术,阻挡钉主要作用就是缩窄髓腔,主要应用在干骺端的位置,想要防止骨折向哪边移位,就放在另外一边阻挡。


下图为例,防止骨折向右侧移位,置于左侧阻挡钉。注意!植入阻挡钉后,需要重新扩髓!


在进针的时候,也需要进行阻挡植入阻挡钉,近端主要是后方和侧方有时候都需要


注意用扩髓钻经过阻挡钉的时候,一定要轻柔


中上端的髓内钉,不是特别近端,还比较好植入,前后位移不大,但是容易在近端左右摆动。


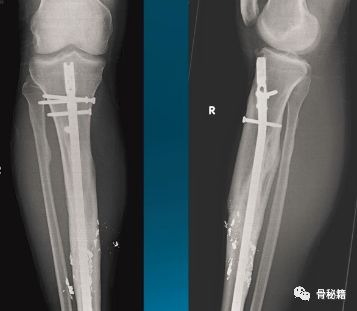
小钢板辅助复位,可以在胫骨棘前方行一个小切口,固定一个小钢板来辅助复位和维持复位,植入髓内钉后可取出也可不取。


该例骨折,移位较大,复位困难,可以先置放个小钢板


牵引架维持复位,对于多段的骨折,复杂粉碎的那种,可以应用牵引架辅助牵开复位,牵引架同时就固定了近端和远端。

同时可以配合摇盖技术进行复位中端的骨折块,可以少吃很多射线。


目前胫骨髓内钉前段的弯曲设计有些影响,新的髓内钉近端的弯曲度更大一些

CASE


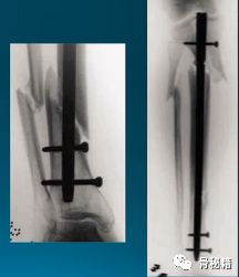
轻微粉碎的病例,多发伤患者,皮肤条件不好,不敢切开,先植入两枚阻挡钉,后方一个,侧方一个,进针之后,发现导针穿出后方……


说明这后方的阻挡钉没设计好,然后又在下方植入了一个阻挡克氏针



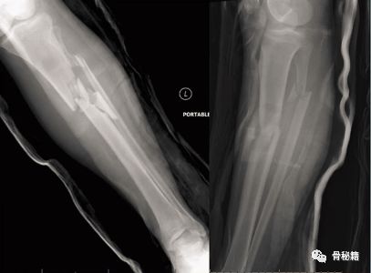
一个多阶段的胫骨骨折,看着移位不大


植入髓内钉后……


这样的骨折肯定长不上了,病人看了估计都会天天找你吧?翻修,近端加阻挡钉,小钢板


今天的内容就到这里啦
髓内钉玩不好就上钢板吧~不要勉强哦

友情链接: