首页/骨科精读/介绍一种省力的髋关节后脱位复位方法!/
介绍一种省力的髋关节后脱位复位方法!
2023-05-04 10:37:412165浏览
介绍一种省力的髋关节后脱位复位方法!

髋关节脱位常见于高能量损伤,其中以髋关节后脱位多见。关于髋关节后脱位的复位方法文献报道很多,如Allis法,Bigelow法,Lefkowitz法等。上述方法均需要单人或多人持续、大重量的牵引,对医生体能要求较高。同时,不恰方的牵引或过分的骤然用力,可能导致髋臼骨折、股骨颈骨折、坐骨神经损伤等并发症。

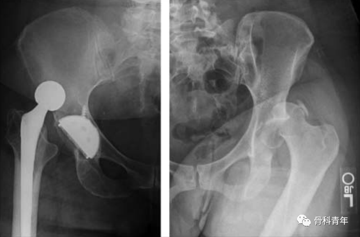
髋关节后脱位影像图。左图示全髋置换术后髋关节脱位,右图示创伤性髋关节后脱位,伴有髋臼后壁骨折


髋关节脱位的复位方法。图示East Batimore 法。


为此,有学者采用了一种借助牵引床的新型复位方法,可减轻医生的体力负担,并可达到良好的持续牵引后复位的作用。

该方法的机制为髋关节后脱位后,股骨头像内上方移位,复位方法需将股骨头向下、向外,体现在肢体上则是下肢肢体的内收、内旋

髋关节后脱位时股骨头移位方向

步骤一:患肢极度内旋。

将患者置于牵引床,健侧肢体最大程度外展。将患肢极度内旋,将股骨头与髋臼后缘解锁,避免复位时撞击。


步骤二:患肢内收后外旋。

在患肢内旋后,将患肢内收,解锁股骨头。后极度外旋,依据杠杆作用将股骨头旋至正常前倾。

后将患肢外展,在患肢恢复矢状面中立位后垂直上提大腿根部,实现脱位复位。

内容来源于骨科青年!

友情链接: