首页/骨科精读/脊柱手术前,一定要记得拍X线片!/
脊柱手术前,一定要记得拍X线片!
2023-05-12 10:21:442361浏览
脊柱手术前,一定要记得拍X线片!

临床上,有些骨科医生很不注意给患者拍摄脊柱X线片,认为MRI或CT都做过了,给患者省点钱。其实,这是个严重的误区。对于有些特殊的病人,如果没有X线片,很容易就会出现手术节段的定位错误,从而导致不良后果。

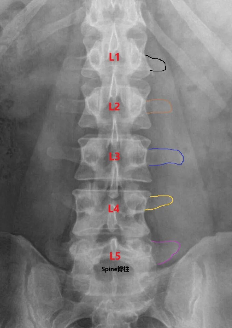
正常脊柱有12个胸椎,5个腰椎ICL:髂嵴连线

不典型脊柱可有11个胸椎,6个腰椎(T12相当于L1,胸椎腰化)

不典型脊柱可有13个胸椎,4个腰椎

不典型脊柱可出现腰骶移行椎(Lumbosacral Transitional Vertebrae,LSTV)

腰骶移行椎最经典的分型是1984年Castellvi等根据X线片分为4型,而Ⅰ-Ⅲ型又根据单双侧分为a和b两型。(PMID: 6495013)

图片来源:PMID: 29357336

  • Ⅰ型包括单侧或双侧腰椎-骶椎化的椎体横突发育不良,测量至少19mm的宽度(颅尾尺寸)
  • Ⅱ型表现为不完全的单侧或双侧扩大的横突与骶骨形成关节
  • Ⅲ型为单侧或双侧横突与骶骨完全骨性融合
  • Ⅳ型涉及一侧为Ⅱa型,另一侧为

图:印度尸体标本中,LSTV的Ⅰ-Ⅳ型发生率分别是36.8%、13.2%、44.7%和5.3%。(图片来源:J. Anat. Soc. India. 2011, 60(2):212-217)

LSTV椎体同时具有腰椎和骶椎的特点,其在临床上很常见,整个人群的发生率为4-37%(很高的比例)尤其存在Ⅲ和Ⅳ型LSTV,胸腰椎术中很容易定错责任节段。有些医生,术前就一个MRI片子,就给患者做PVP或PKP了,对于伴有多节段陈旧性骨折患者可能会定错节段。开会听课的时候,北京协和医院和上海华山医院的专家提到过,他们要求每个脊柱手术的患者都应该有脊柱6张X线片 (正侧位、动力位和双斜位)、CT和MRI,这是有道理的,除了留全资料,可能更重要的是能避免误诊漏诊一些问题。

节段定位,常以肋骨、骶椎和横突为标志物。肋骨定位时,必要时参考胸片。横突常以其解剖特点定位,腰椎横突“三长、四翘、五宽”,即L3横突最长,L4横突上翘,而L5横突是最宽的比如存在骶椎腰化(6个腰椎),可以结合X线和MRI中骶椎形态,明确椎间盘突出的节段;再比如骨质疏松性椎体压缩骨折,需结合X线术前明确责任椎体的形态,离最下肋骨或骶椎隔了几个椎体,因为术中你是在C臂下定位的,一次透视看不到骶椎至胸椎。警惕仅仅有一个MRI片子,MRI上认为的L1轻微骨折或L1严重骨折伴多发椎体楔型变,术中就直接C臂看到最下肋骨下面哪个椎体或者骶椎往上数第5个椎体就注射骨水泥了。如果碰到不典型脊柱,可能就会做错节段。

大多数存在LSTV的患者是无症状的。但少数病人,尤其是小于30岁的年轻人,可合并有腰痛和下肢放射痛,即出现典型的L5神经根受压的表现,在临床上容易误诊为腰椎管狭窄、腰椎间盘突出症,导致不必要的手术治疗。症状性LSTV,又称之为Bertolotti综合征,中国学者又称为第五腰椎横突肥大综合症。

内容来源于Spine脊柱!

友情链接: