首页/骨科精读/如何快速找到桡神经?只需三步!/
如何快速找到桡神经?只需三步!
2023-05-29 10:31:221910浏览
如何快速找到桡神经?只需三步!

  • 桡神经起源于 C5-C8 脊神经根,并延续于臂丛后束。
  • 在离开腋窝之前,它发出分支到三头肌和手臂的后皮神经。
  • 桡神经通过三角间隙离开腋窝到达手臂的伸肌间室,斜穿过肱骨后部横向进入螺旋槽。在这里,它发出手臂的下外侧皮神经以供应三头肌。然后神经在后臂的三头肌头之间穿行并刺穿外侧肌间隔,进入臂前室,供应肱桡肌、ECRL 和肱肌。
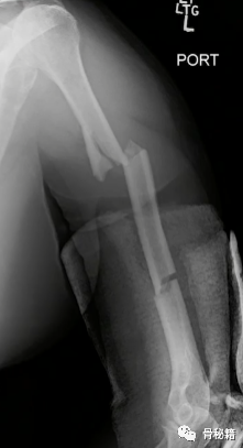
    肱骨中段或中,下1/3交界处骨折时,易合并桡神经损伤。损伤后,主要运动障碍是前臂伸肌瘫痪,出现抬起前臂时呈“垂腕”的姿态。其感觉障碍是以第1、2掌骨间隙背面“虎口区”的皮肤最为明显。

面对肱骨多段骨折以及肱骨中下1/3骨折时很容易伤及桡神经

因此桡神经的探查松解十分必要。

今天介绍一个快速找到老桡的办法(后方入路)

原理:桡神经在后方固定绕过肱骨从三头肌下方通过

这个固定点是我们寻找的关键点

第一步,后方入路,找到三头肌的肌腱腹交接点

第二步,向上2.5cm左右,进行分离

第三步,你就可以找到桡神经了!

内容来源于骨秘籍!

友情链接: