当膝关节退行性关节疾病局限于内侧腔室时,单腔膝关节置换术(UKA)和胫骨高位截骨术(HTO)与全膝关节置换术相比显示出更好的术后功能预后。HTO通常用于治疗膝关节内侧室关节炎,特别是年轻患者。该手术于1958年首次实施,通过重新调整下肢机械轴来纠正膝关节屈曲畸形。UKA于20世纪70年代引入,涉及部分关节置换术,保留未受影响的关节腔,同时解决受影响的关节腔。与全膝关节置换术相比,UKA为患者提供了一种侵入性更小、恢复更快的手术选择。

然而,一种程序比另一种程序的优越性仍在争论中。先前的研究比较了两种手术的结果,与HTO相比,UKA在功能、疼痛评估和并发症方面表现出更好的结果。有报道称,与HTO治疗相比,UKA治疗的患者在术后早期的活动水平更高。
尽管如此,研究也表明年轻患者HTO和UKA的翻修率没有显著差异。Takeuchi等人强调了HTO在膝关节活动范围良好的患者中的良好适应性。以往的论文大多侧重于两种手术方法的临床结果、体力活动、疼痛等方面,而没有对患者的主观感受进行评价。患者报告结果测量(PROMs)通常用于评估手术患者术前和术后症状状态。
这些评分提供了对患者关节状况的更准确的评估,近年来由于它们能够反映患者自己的看法和满意度而受到越来越多的关注。被遗忘的关节评分-12 (FJS-12)已成为使用最广泛的prom之一,并已在多种语言中得到验证。
然而,没有研究调查在同一患者的双膝分别进行UKA和HTO后的关节意识。因此,本研究的目的是比较同一患者双膝不同手术方式后的关节意识和功能,并评估这两种手术方式治疗内侧室膝关节炎的结果。
方法:选取2012 - 2020年间15例双侧内侧室膝关节骨性关节炎患者进行UKA或HTO治疗。收集患者资料,包括年龄、性别、体重指数和住院时间。术前和术后测量包括胫股角、胫骨平台后倾角、胫骨近端内侧角、机械轴到膝关节中心的距离、髋关节-膝关节-踝关节角、术前和术后膝关节评分、膝关节活动范围以及术后3、6、12和24个月的fis12评分。最新的随访用于评估骨关节炎治疗的结果。使用Shapiro-Wilk检验评估连续变量的正态性。组间比较采用配对样本t检验或Wilcoxon秩和检验。采用重复测量方差分析分析不同时间点的FJS-12测量值,采用Pearson相关系数检验FJS-12与术后临床结果的相关性。差异有统计学意义,P < 0.05。

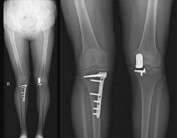
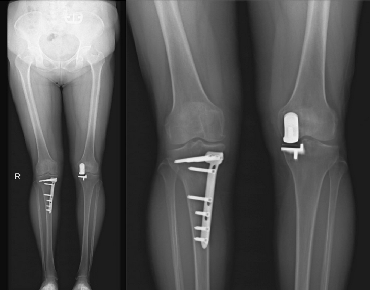
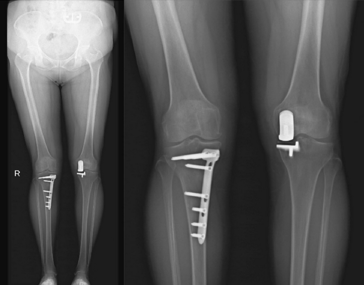
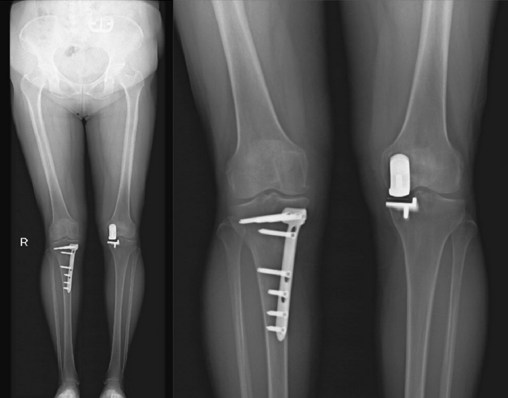
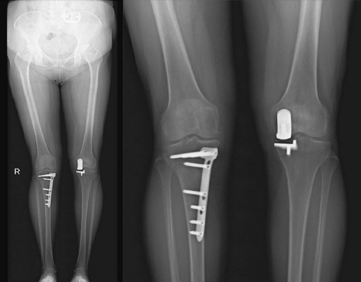
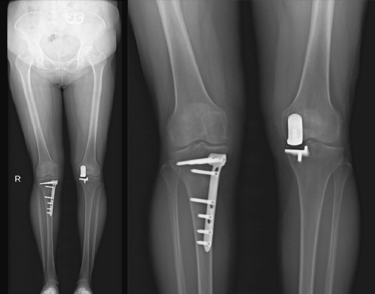
图1 HTO和UKA术后图像。A为下肢全身x线片,B为膝关节负重正位x线片

表1 患者人口统计资料

表2 术后FJS时间趋势简单效果分析

表3 术后FJS-12治疗方式趋势简单效果分析

表4 UKA组与HTO组FJS的单因素分析

图2 .两组平均FJS随时间的折线图。a, b为字母标注法显示的时间点差
结果:UKA组与HTO组术后3、6个月FJS差异有统计学意义,术后1、2年FJS差异无统计学意义。UKA组术后3 ~ 6个月FJS明显增高,术后6 ~ 24个月FJS无明显差异。相比之下,HTO组术后3 ~ 24个月FJS明显增加。
结论:术后早期UKA患者比HTO患者表现出更好的关节意识。此外,UKA患者的关节意识率比HTO患者快。
文献来源:
Ge H, Huang Y, Yan H,What is the difference in proprioception between single condylar arthroplasty and high tibial osteotomy? a comparative study on both knees of the same patient.J Orthop Surg Res 2023 Jul 06;18(1)