首页/骨科精读/Bennett 骨折的5个要点,一定要掌握!/
Bennett 骨折的5个要点,一定要掌握!
2023-07-24 14:14:502048浏览
Bennett 骨折的5个要点,一定要掌握!

5个要点

  1. 什么是Bennett骨折?
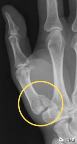
    Bennett 骨折是第一掌骨基底的骨折伴脱位。它的 3 个经典特征包括一个倾斜的关节内背掌骨碎片。它首先由爱尔兰外科医生 EH Bennett 在 1880 年代描述。
  2. 什么导致Bennett骨折?
    最常见的损伤机制是部分弯曲的掌骨承受轴向负荷。手的这个区域可能有软组织损伤。
  3. Bennett 骨折的放射学特征是什么?
    Bennett 骨折的 X 线放射学标志是斜型、关节内受累、背侧骨折。这可以通过 Gedda 分类进行分级。 
  4. 骨折移位的原因是什么?
    前斜韧带将骨折块保持在位,拇长展肌 (APL)、拇收肌作用于掌骨干导致半脱位。
  5. Bennett 骨折有哪些治疗方案?
    Bennett 骨折有 3 种主要治疗选择:经皮针闭合复位、切开复位克氏针固定,骨折块间固定。所有的固定方法都被证明在案例回顾和系列中是有效的。

Bennett骨折的定义

Bennett 骨折是第一腕掌关节的骨折伴脱位。更具体地说,有 3 个定义特征。

第一掌骨基底的 Bennetts 骨折由 3 个主要特征定义:

  1. 关节内骨折
  2. 斜骨折线
  3. 掌背侧碎片

X 射线上 Bennett 骨折的特征

在 1880 年代,Bennett 的原始描述如下:

1880 年代 EH Bennet 的原始出版物

Bennett骨折的解剖


“一、二、三、四”记忆法最能理解 Bennett 骨折。

贝内特骨折的“一、二、三、四”助记符

  • 一个结构:第一掌骨基部
  • 两种力:静止力(前斜韧带)和拉力(拇长展肌、拇收肌
  • 三个方向:桡、近和背侧半脱位
  • 四种治疗方案:手法复位、石膏固定、开放手术和闭合手术。

移位的力

前斜韧带作为固定力作用在掌背骨折块上。

这条韧带从骨折块延伸到大多角骨,并将骨折块固定在其解剖位置。

由于骨折,由于拇长外展肌、拇长伸肌、拇短伸肌和拇长收肌拉力,掌骨在背侧、近侧和桡侧方向半脱位。

这些力造成了 Bennett 骨折中不稳定且独特的骨折模式。

诊断Bennett骨折

Bennett 骨折可以通过临床诊断和放射学诊断确诊。

临床诊断

Bennetts 骨折通常是由部分弯曲的掌骨上的轴向负荷引起的。这种损伤机制 (MOI) 也通常与 MCP 关节的大多角骨骨折和/或伴随的尺侧副韧带损伤有关。

放射诊断

投照角度

标准的 X 射线可以诊断这种骨折。由于拇指的困难平面,通常有两种要求的视图。在评估骨折移位和关节一致性时,这两种观点都有帮助。

放射学特征该碎片大小不一,呈金字塔形,由掌骨基底部的掌尺侧组成。变化确实存在,这在Gedda的表格分类中有描述。

Bennett 放射学特征的 Gedda 分类

1.大的尺侧骨块与基底的半脱位2.压缩的骨折块无半脱位3.小的撕脱骨折块和脱位

Bennett骨折的治疗

治疗原则

正如Green 的手外科手术中所解释的,Bennett 骨折的治疗最好遵循以下原则:

  1. 复位:骨折复位技术应包括拇指旋前,以帮助解剖复位掌骨至尺骨碎片。如果尝试闭合复位后关节间隙仍超过 2 mm,则应考虑切开复位。
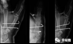
  2. 固定: Bennett 骨折应通过手术固定进行治疗,以保持掌骨在 TM 关节处的复位。这可以是经皮或开放技术

复位技术

已经以各种不同的方式描述了 Bennett 骨折的复位。这涉及拇指的手掌外展和掌骨基部的旋前。伸已被证明会导致骨折移位,应避免。

如何复位 Bennett 骨折的关键4步

  1. 牵引
    应对拇指施加轴向牵引
  2. 外展
    掌侧外展拇指可使骨折复位。
  3. 旋前
    掌骨基底的旋前会拉紧背韧带复合体,从而更好地减少骨折。
  4. 应力

闭合复位也可以通过弯曲拇指 MCP 关节并在手掌和尺骨方向对 TM 关节施加压力来获得。


外科手术

治疗 Bennett 骨折的手术治疗多种多样,但通常包括使用经皮针固定进行闭合复位或使用针或骨折块间固定进行切开复位。所有的固定方法都被证明在案例回顾和系列中是有效的

对 Bennett 骨折进行手术的适应症包括:

  • 贝内特掌骨轴的位移
  • CMC 关节台阶超过 2 毫米。

手术技术在不断发展。解剖复位是获得满意结果的最可靠方法。实现解剖复位的方法可以是开放式或闭合式(经皮固定)。

  • <20% 关节面受累:经皮克氏针固定
  • 大的骨折碎片:经皮克氏针固定
  • 如果不可复位:使用拉力螺钉通过 Wagner 切口进行 ORIF
  • 骨折块间固定

术后

  • 如果使用经皮针固定,在取出针之前用拇指人字石膏固定 4 至 5 周。

  • 如果使用 ORIF,则在术后第一次就诊时开始运动范围练习。

预后

只要可以实现解剖复位,这两种技术之间的临床结果通常没有显着差异。未能实现复位可能会导致功能障碍和形态变化

内容来源于骨秘籍!

友情链接: