手部第四和第五种腕掌骨骨折脱位是罕见的损伤,文献中通常以病例系列报道。CMC关节脱位与不到1%的手部创伤病例相关。腕掌骨骨折脱位可能是由于直接创伤造成的,比如在打斗中被拳打脚踢,也可能是间接创伤造成的,比如手部摔倒。尺侧CMC关节因其鞍状解剖结构较浅、活动度较高,韧带连接疏松,易发生脱位。在典型的损伤中,第四和第五CMC关节通常出现脱位,因为它们比前三个掌骨更不稳定。值得注意的是,第五CMC骨折脱位比第四CMC更常见。第4个CMC关节的损伤模式是由于第4和第5个CMC关节的钩骨受累。

由于这些损伤通常在第一次检查时由于手部水肿和x光片的误解而被忽视,因此在晚期可以看到疼痛、握力下降和退行性关节炎。误诊导致治疗不充分,导致骨不愈合和残余半脱位。对保守治疗无反应的疼痛性第五CMC关节关节炎的抢救手术是第五CMC关节置换术。在我们的日常实践中,我们经常遇到漏诊的尺骨CMC损伤作为即将发生的畸形愈合。
文献中对于晚期CMC损伤漏诊的治疗方法尚无共识。因此,在本研究中,我们的目的是比较迟发性尺CMC关节损伤的临床、放射学和功能结果,保守治疗采用石膏石膏和开放复位内固定(ORIF)。
患者与方法:2019年5月- 2021年10月,共28例患者(男26例,女2例;平均年龄:32.2±10.3岁;回顾性分析保守治疗或手术治疗的20 ~ 59岁患者。采用ORIF手术的患者14例为第一组(手术组),采用石膏石膏保守治疗的患者14例为第二组(保守组)。根据Cain的分类和AO Foundation and Orthopedic Trauma Association (AO/OTA)的分类对患者进行分类。对患者进行髓掌距离(PPD)、视觉模拟量表(V AS)、手臂、肩和手的残疾(DASH)评分、握力、恢复工作时间、随访时间和并发症的出现情况等评估。

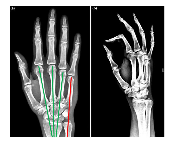
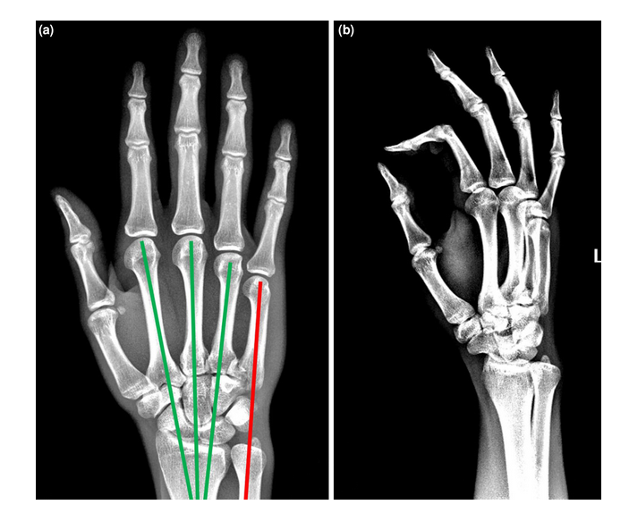
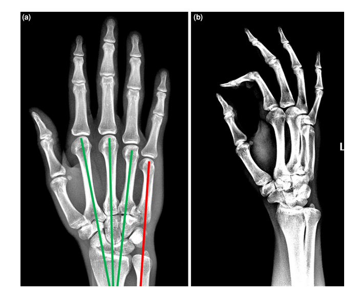
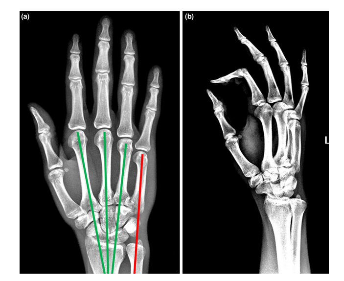
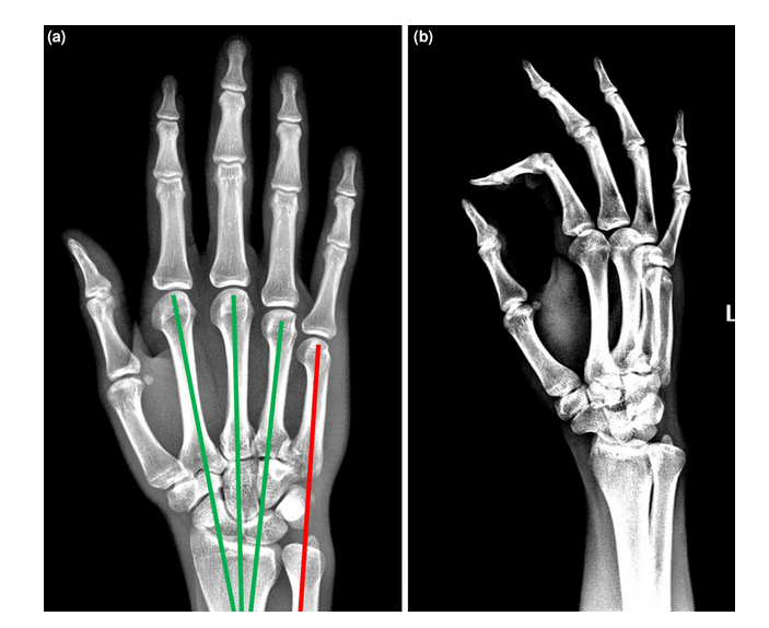
手术患者术前和术后的x线图像。(a)掌骨级联线AP x线。这些线沿着掌骨的轴线画;绿色表示解剖性,红色表示脱位,因为它不与其他关节相交。(b)术前斜位x线片。

手术治疗患者的术前和术后影像;钢板固定的一个例子。(a-c)术前AP、斜位和侧位x线图像。(d-f)术后AP、斜位和侧位x线图像。

手术治疗患者的术前和术后影像;一个附加关节桥接k线钢板固定的例子。(a-c)术前AP、斜位和侧位x线图像。(d, e)术后AP和斜位x线图像。

保守治疗2例屈曲畸形角度测量。(a)屈曲角度62°(118°)。(b)屈曲角度35°(145°)

治疗后疼痛和功能评分,握力和恢复工作数据

接受手术治疗的病人的详细情况
结果:两组疼痛和功能评分无显著差异。保守组损伤侧握力明显低于健康侧(p=0.0093)。对伴有和不伴有掌骨骨折半脱位/脱位的患者分别进行评估,发现半脱位/脱位组骨折侧握力明显高于保守组(p=0.0237)。半脱位/脱位组随着治疗时间的增加,恢复时间增加。保守组3例患者PPD值分别为2、3、4 mm,而手术组均为0 mm。
结论:无桥背侧支撑板技术加或不加克氏针治疗迟发性尺骨CMC骨折脱位是有效的。虽然手术需要更长的时间才能恢复工作,但对于体力劳动者来说,关节解剖复位的长期效果是令人满意的。
文章来源: