首页/骨科精读/作为骨科医生,我必须告诉所有女性这个真相!/
作为骨科医生,我必须告诉所有女性这个真相!
2023-08-11 14:18:561137浏览
作为骨科医生,我必须告诉所有女性这个真相!

情景再现:最近办公室里的女同事们都一窝蜂的爱上了跑步减肥,半马全马什么的常挂在嘴边。

虽然很不想打击众多“跑女”的信心,但是我还是要说长跑并不适合女性。来听听真相。

真相就是——女性的膝关节“天生不完美”,尤其是如今微胖且长寿女性的膝盖,根本就不适合跑步。

中国工程院院士,北京协和医院骨科主任邱贵兴教授在书中写道,骨关节炎在60岁-75岁发病率高于50%,75岁以上人群发病率高达80%。

其中,女性骨性关节炎的发病率远高于男性,绝经后的妇女发病率更高。亚洲人最多见的是膝关节骨性关节炎。

这个病简单的说就是膝关节因磨损老化而出现了不舒服,就像汽车上的零件,从出厂开始一直被磨损,直到磨得没法用了被换掉。

长跑对于膝关节来说确实是一种磨损,但是为什么要强调女性的膝关节不适合长跑呢?

说来话长,人类的祖先在语言、协作和工具等没有被发明前,能在残酷的东非大草原上生存下来,靠的就是特有的“大招”:长跑。

既然,“长跑”是“天赐”人类最初赖以生存的核心竞争力,那为什么还要阻止如今的女性长跑呢?

先不说雌激素对破坏骨细胞的作用,从进化史的角度审视,就很容易明白了:

1.我们那些长跑的祖先都是瘦子。食物匮乏造就了原始人骨瘦如柴的“标准”身材。膝关节其实一直是针对瘦子的身材来设计和进化的,它的各项生理功能和解剖结构根本无法适应如今迅速增加的体重。

2.我们那些长跑的祖先都很短命。中国建国初期人均寿命才不到40岁,然而截至2016年,人均寿命就已突破了76岁,未来还会增加。

然而,膝盖的进化远远追不上寿命增长的速度,就像一辆车设计只开30年,结果现在非要开70年,而发动机却没有升级。

3.长距离奔袭狩猎是男性的本职工作,女性大多只负责采摘和家庭事务,这种分工最终使得女性的膝盖远比男性脆弱的多。

没想到,根源竟然能追溯到祖先那会儿...

还有更重要的,有不少年轻的体育运动爱好者和运动员,由于长期高频率高强度的训练而导致膝关节软骨过度磨损。

才20多岁就得痛苦的考虑要不要手术换关节,即便是最昂贵最现金的人工膝关节假体也最多只能用20年左右,20年后还需要花巨款再次手术翻修更换另一个人工假体。

膝关节骨性关节炎的发生不止与年龄相关,更多的是使用关节的方式、频率和强度。

因此,我要告诉女性,尤其是热爱跑步的女性:你们的膝关节“天生脆弱有缺陷”,根本就不适合长跑和负重!

那么该怎么正确的应对骨性关节炎呢?

1.减肥:减轻膝关节承受的撞击和摩擦力

2.运动:下肢力量训练有助于增加关节的稳定性,减缓磨损。

3.在膝关节尽可能小负重的情况下进行运动,比如下肢力量训练,多采用仰卧直推抬高,或在康复带负荷下进行直腿的训练。

普通人尚且如此,那专业的远动员呢?

早在上世纪90年代就有人注意到,女运动员的ACL受伤概率比男运动员高出很多,两者相差3〜6倍。(ACL是膝盖前部的两根呈交叉状排列的韧带,可以防止胫骨向前移动,滑出半月板。)有人认为女性的骨盆比男性宽,因此女运动员在落地的时候双膝有内翻的倾向(俗称内八字),这就会让膝盖承受更大的冲击力;还有人比较了男女膝盖的内部结构,发现女性的髁间窝(Intercondylar Notch)比男性要小,当膝盖伸直的时候,ACL就会和髁间窝发生不必要的亲密接触,从而导致受伤。

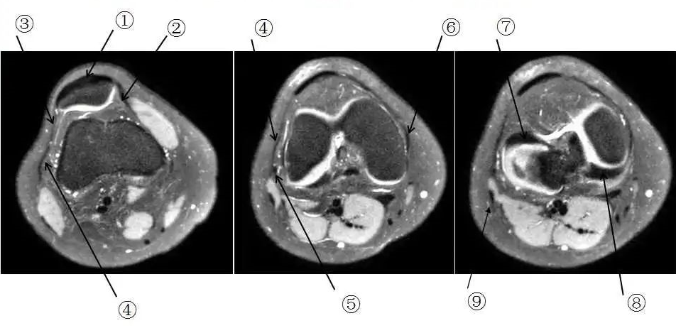
“跑步膝”病例展示

患者,女性 ,24 岁

主诉:右膝关节外侧反复疼痛不适半年余,近一个星期疼痛加重。现病史:患者右膝关节外侧间歇性疼痛不适半年余,近一个星期疼痛加重,屈膝时明显,门诊行膝关节 X 线片检查,未见明显异常。患者否认手术史/外伤史。为进一步明确情况,我们建议患者行膝关节磁共振检查;图像如下:T1

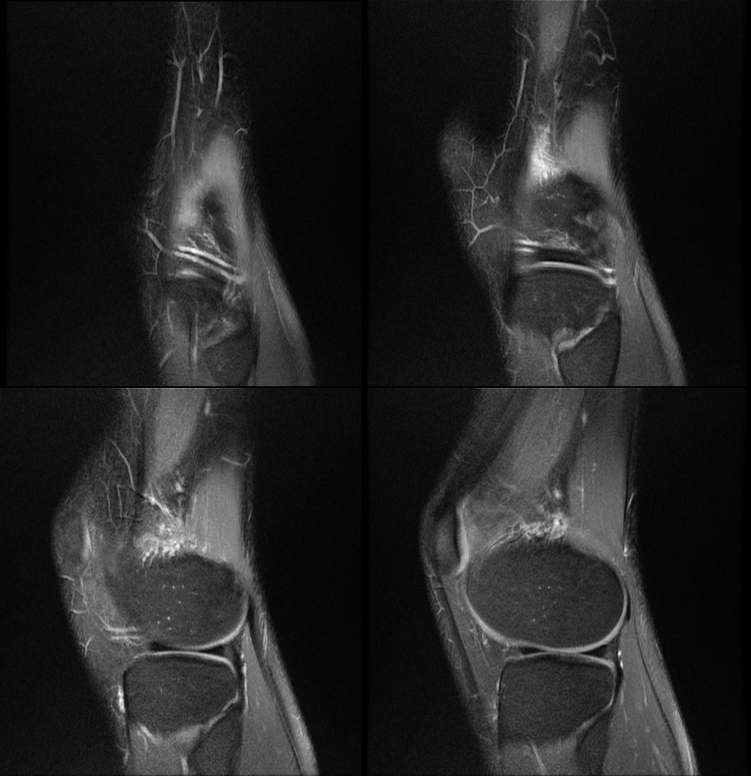
T2 压脂

冠状位

轴位

大家是否发现什么异常?该患者是膝外侧疼痛不适的症状,我们重点观察了外侧半月板及外侧副韧带,但是我们发现是正常的;

但是我们发现有一个地方信号不对;

大家发现了没有?那这是什么呢?

我们先一起来学习一下解剖

那么我们刚刚看到信号增高的就是髂胫束,排除了半月板和外侧副韧带的问题,那么膝关节外侧疼痛是不是这个原因导致的呢?

髂胫束综合征

髂胫束综合征,也称髂胫束摩擦综合征或跑步膝,是因为髂胫束与股骨外侧髁的反复摩擦,导致韧带或滑囊慢性炎症的发生而导致膝关节外侧疼痛。常见于骑自行车 长跑 竞走 以及从事球类运动员。由于特殊的解剖因素,胫骨内扭转 足过度旋前和内侧关节炎导致膝内翻也可以导致髂胫束张力增高,从而发生髂胫束综合征。

发病机制

膝盖持续 反复弯曲和伸直 ⟹ 髂胫束和股骨外侧髁之间反复摩擦⟹ 髂胫束慢性无菌性炎症⟹ 髂胫束肿胀 疼痛甚至结缔组织纤维化

临床表现

主要是以膝关节外侧疼痛是主要症状,多在膝关节外侧有压痛点,下坡或跑步时疼痛会加重,并且在活动中这种疼痛会一直存在,当运动停止时,这种疼痛会有所减轻。膝关节屈曲 20-30° 时疼痛最明显;

影像学表现

1 T2WI PD 序列上可以显示靠近股骨外侧髁与髂胫束之间的信号增高,边界不清,外侧滑膜增厚;

2 髂胫束靠近股骨外侧髁水平出现增厚改变,部分严重患者可以出现连续性中断;3 髂胫束表面或深部信号明显增高;4 可伴股骨外侧髁反应性骨髓水肿

友情链接: