首页/骨科精读/手术技巧:桡骨极远端骨折怎么处理?/
手术技巧:桡骨极远端骨折怎么处理?
2023-08-11 14:33:581577浏览
手术技巧:桡骨极远端骨折怎么处理?

一个桡骨远端我们需要注意哪些?五个主要骨折元件中的任何一个桡骨柱、尺骨角、掌侧边缘、背侧边缘、受影响的关节碎片。

当我们遇到一个桡骨极远端骨折(分水岭以远),普通的桡骨远端钢板无法覆盖时,你会怎么处理?我们都知道,放置钢板不能超过分水岭,要不然容易引起相应的并发症,但骨折就在这么远,怎么办呢?

我们先要了解一下具体的解剖。

由于桡骨远端存在掌倾角,桡骨远端掌侧存在一个分水岭。背侧剪切损伤表现为背侧边缘骨折,并且通常与腕骨的背侧不稳定相关。这些损伤通常有凹陷的关节碎片,并可能有额外的桡柱受累。掌侧剪切损伤表现为掌侧边缘移位骨折并导致腕骨掌侧不稳定。这种模式通常具有多个关节碎片并且高度不稳定。桡骨剪切性骨折(驾驶员骨折)通过穿过桡骨茎突,延伸到桡腕关节的特征性横向骨折线来识别。这三类,都属于极远端骨折

AO的教科书建议把钢板放置在分水岭以近端来固定骨折减少屈肌腱损伤分水岭线定义为一条标记掌侧边缘最掌侧的理论线大多数医源性肌腱并发症包括屈肌腱:拇长屈肌 (FPL) 肌腱断裂和屈肌腱腱鞘炎

识别并开始使用最能稳定腕骨,以使其正常空间关系不稳定的碎片进行复位。月骨面掌侧边缘的复位、骨折,特别注意长度的恢复和泪滴型角度的校正,通常是治疗复杂关节损伤的关键。

但是这样的边缘骨折 靠传统的钢板很难固定,容易引发骨折移位,由于这里有掌侧韧带和相应的关节囊附着。

介绍几种可以应用的固定方式,掌侧支持克氏针和及远端的勾钢板。

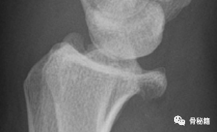
掌侧的一个边缘剪切骨折伴有脱位,采用边缘克氏针固定。

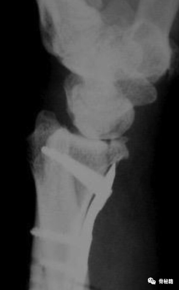
可见骨折固定良好,关节稳定

掌侧勾钢板固定骨折块

还有一些相应的内固定设计,专门诊断此类边缘骨折

当然了,集采里面是没有的也考虑一下克氏针+石膏外架吧

下次穿两个小针别到钢板下面应用吧~

  • 注意,需要对腕骨韧带损伤保持高度怀疑。考虑关节镜评估,特别是在桡骨或背侧剪切骨折、腕骨撕脱/不稳定模式或与舟骨和月骨面之间显着纵向台阶相关的关节骨折的情况下。

内容来源于骨秘籍!

友情链接: