首页/骨科精读/食道憩室 - 颈前路术后特殊的并发症!/
食道憩室 - 颈前路术后特殊的并发症!
2023-08-30 16:11:321000浏览
食道憩室 - 颈前路术后特殊的并发症!

颈前路术后食道憩室(Pharyngoesophageal diverticulum)虽然发生率很低(0.17%),但临床表现比较隐匿,易和心、肺等胸部疾病相混淆,临床上诊断有一定困难。

如果脊柱外科医生对此并发症没有认识,那这类患者反复就诊于各大医院,严重影响生活质量,无法得到有效治疗。

提高对术后食管憩室的认识,碰到这类患者,例如颈前路术后几年,甚至10年以上,出现渐进性吞咽困难,如能想到这个并发症,处理起来并没有想象中那么困难。

 典型病例

食管并发症是颈前路手术少见而严重的并发症,最常见的是食管穿孔,一般发生于术中或术后早期,临床医师对食管穿孔大多有些认识,相对容易诊断和发现,文献报道发生率为0.05%-1.2%。

然而,对于中远期食管并发症,如食管憩室,容易忽略认识。

食管憩室,最早由Goff等于1991年报道。

国内,2012年袁文教授团队在中华骨科杂志发表文章,对颈椎前路内固定术后中远期食管并发症进行了回顾性总结,2316例患者中,共3例出现食管憩室,其中1例合并有食管穿孔。

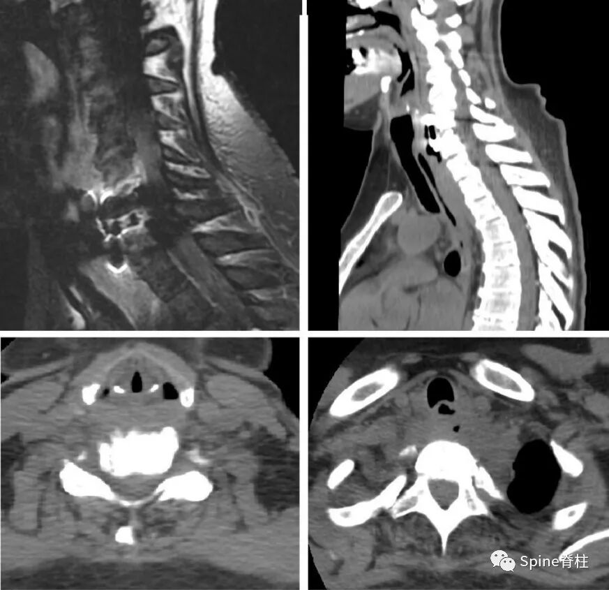
典型病例1

患者31岁,男性,车祸后导致C4-5脱位伴脊髓损伤,行自体髂骨移植融合加钢板内固定术。术后7年出现渐进性吞咽闲难,2个月后出现干咳及发热。颈椎X线片示咽后间隙积气,钡餐检查示巨大袋状食管憩室(图1a),CT显示食管后壁和椎前间隙相通(图1b)。消化道内镜检查发现钢板和螺钉突入食管内。手术取出前路钢板及螺钉,清创后切除憩室,胸骨舌骨肌及肩胛舌骨肌肌瓣修补食管(图1c)。术后留置鼻胃管进行肠内营养10 d后拔除鼻胃管,常规抗生素使用7 d,抑酸。患者于术后2周出院,术后佩戴颈托4周,恢复良好。

这个典型病例在2011的Eur Spine J,以CASE REPORT形式详细介绍,取出内固定术后2.5年随访,吞咽困难、反复发热、体重减轻、颈部突出等症状完全缓解。

图示:患者颈前外观照片。进食前外观正常,进食后明显肿胀,进食5分钟后继续肿胀。

图示:内窥镜照片。经过仔细检查,我们食管憩室的一角发现了钢板的边缘“a”和螺丝“b”。“c”表示前一天吞钡后的剩余钡。

肌肉皮瓣加固修复完成。a:胸骨舌骨肌瓣,b:舌骨肌瓣,c:引流管。

典型病例2 

2018年,意大利学者Mauro Dobran教授在BMJ Case Rep也发表了一例典型的颈前路术后食管憩室病例。

他们报告一位45岁女性,ACDF术后1年后发生食管憩室的病例。表现为发热、渐进性吞咽困难和颈部疼痛,有咽后感染的迹象。

他们进行了一期颈后路钉棒固定(C3-T1)和二期左侧颈前入路,钢板取出,食道后壁破裂处,胸骨舌骨肌皮瓣修复。目前患者临床症状稳定,无椎前感染症状,经皮内镜胃造口术可获得营养。对于残余憩室,胸外科医师正在评估进一步的手术(憩室切除术或憩室固定术)。

图示:颈椎外伤后C6-7脱位,前纵韧带断裂

图示:C6-7ACDF术后

图示:术后咽后感染并延伸至纵隔

图示:食道内镜检查显示憩室与真正的食道腔有明显区别。憩室内有钢板和螺钉的迹象。

图示:术后6天食管无造影漏,但仍存在憩室。

2019年,墨西哥学者Patricia Volkow-Fernández教授进行了一项颈椎术后食管憩室的文献回顾,目前共有20例报道

  临床特点  

  • 起病隐匿,进展缓慢。
  • 临床症状多样,一般表现为渐进性吞咽困难、吞咽痛及食物反流症状
  • 症状的轻重与憩室或穿孔的大小密切相关。
  • 多发生于C5-7节段
  • 男女均等
  • 常于术后3年内出现
  • 严重者可出现食管瘘、颈部脓肿、纵隔炎及全身感染症状

  发病机制  

  1. 颈椎外伤后或长节段前路钢板固定后发生率高
  2. 与内固定翻修、术中牵拉以及咽壁肌肉破坏有关
  3. 食管与内固定物粘连形成张力,交界处牵张薄弱,内固定可侵入憩室

  诊断要点  

  • 发病时间跨度较大、症状隐匿,诊断较为困难
  • 首选的检查手段依然是颈椎X线片,它不仅可以观察皮下气肿、椎前积气、颈椎与食管的间隙,而且还可以判断内固定及植骨块的位置
  • 对于发热的患者,胸片也是必须的。
  • CT、MRI等断层扫描检查手段对于判断内固定的位置及颈部脓肿有很高的敏感性
  • 消化道造影及消化道内镜检查是非常直接及有效的检查食管并发症手段

  治疗原则  

对于延迟型穿孔和食管憩室的患者,当前的多数学者均不推荐进行保守治疗,因为它不仅治愈率低、住院时间长、花费大,而且还有很高的并发症发生率,而有些并发症甚至可以致命。


治疗原则是当发现有食管穿孔或巨大憩室时,立即进行手术治疗,取出内固定,切除憩室、修补破裂的食管,同时对于穿孔的患者联合清创及加强术后抗生素治疗。

  • 手术时通常会和胸外科及耳鼻喉科联合进行。

由于食管穿孔直接缝合会造成较高的食管狭窄的发生率,而且延迟型食管穿孔的患者一般瘘口较大,所以一般采用邻近肌瓣对破损的食管进行修补。

术后应禁食、胃肠减压、联合使用抑酸药以减少唾液分泌,促进修复的食管愈合。对于钛网或植骨块取出的患者,术后应常规佩戴颈托8-12周,并定期复查,必要时行后路手术以增加颈椎的稳定性。

友情链接: