首页/脊柱/腰骶移行椎的影像学分型!/
腰骶移行椎的影像学分型!
2023-12-15 11:27:094066浏览
腰骶移行椎的影像学分型!

腰椎骶化及骶椎腰化均是椎骨发育的异常,腰椎骶化是指第五腰椎外型类似骶椎形态,并构成骶骨块的一部分,一侧或两侧横突肥大呈翼状,与骶骨发生融合或形成假关节。骶椎腰化是指第一骶椎演变成腰椎样形态,即第一骶骨从筋骨块中游离出来形成第6个腰椎。

腰椎骶化

骶椎腰化

如何在临床阅片准确判断是一个很重要的问题,这里介绍一个最准确的判断方法。

这是一个最关键和准确的鉴定方法,国内著名骨放射学家杨世埙教授指导过,只要大家留意关注腰椎横突"三长/四翘/五宽",L3横突是最长的,L4横突是上翘的,L5横突最宽,特别用在胸椎腰化合并L5骶化的时候比较实用。

1

1984年,Castellvi 提出LSTV分类系统将移行椎分为Ⅰ-Ⅳ型。

Ia型(单侧)和Ib型(双侧):横突肥大宽度超过19mm

IIa型(单侧)和IIb型(双侧):横突与骶骨相接触形成假关节

IIIa型(单侧)和IIIb型(双侧),横突与骶骨发生骨性融合

IV型:一侧横突与骶骨形成假关节,另一侧形成骨性融合

目前,腰骶移行椎以 Castellvi 的分类方法最为常用。其主要根据横突形态及其与骶骨、髂骨是否融合或形成假关节而分为 4 型,Ⅰ、Ⅱ、Ⅲ型又根据单、双侧分为A、B两个亚型。

正常I型:主要为腰5横突发育不良,横突宽度大于19mm,并将其分为两个亚型Ia(单侧横突发育不良)或Ib(双侧横突发育不良)

L5 右侧横突肥大,为 Ⅰa 型

L5 双侧横突肥大,为Ⅰb 型

II型:表现为不完全的腰椎骶化,具有增宽的横突,并且和骶骨形成假关节,并将其分为两个亚型IIa(单侧关节形成)或IIb(双侧关节形成)

L5 左侧横突肥大,假关节形成,为 Ⅱa 型

L5 双侧横突肥大,假关节形成,为 Ⅱb 型

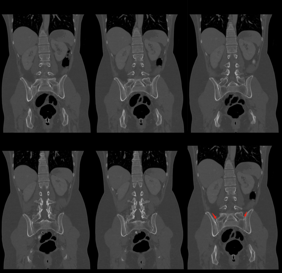
III型:单侧(IIIa)或双侧(IIIb)腰椎完全骶化,腰5横突与骶骨完全骨性融合

L5 右侧横突肥大与骶骨发生骨性融合,为 Ⅲa 型

 L5 双侧横突与骶骨骨性融合,为 Ⅲb 型IV型:一侧为II型即腰5横突与骶骨形成假关节,对侧为III型即腰5横突与骶骨形成骨性融合

IV 型即混合型:L5 双侧横突肥大,一侧与骶骨相接触为Ⅱ型表现,另一侧与骶骨形成骨性融合为Ⅲ型移行椎一般不引起症状,但是这种畸形可影响脊柱的稳定并逐渐产生症状,移行椎较正常椎体潜在着更多不稳。由于负重及运动不平衡,而引起腰痛。

它与腰骶部疼痛存在密切的相关性是不可忽视的, 并干扰诊断与之症状相近的其它疾病, 如椎间盘突出、致密性骨炎、强直性脊柱炎等等, 当然这其中有些疾病可以并存, X 线、CT 检查在腰骶部移行椎的诊断中有重要意义, 不仅能对本病做出诊断, 并且有助于鉴别诊断。

友情链接: