首页/骨科小技巧/创伤后尺骨冠状突缺损的重建技术!/
创伤后尺骨冠状突缺损的重建技术!
2023-12-22 13:50:22882浏览
创伤后尺骨冠状突缺损的重建技术!

创伤后尺骨冠状突缺损是肩肘外科医生的治疗难点之一。尺骨冠状突在维持肘关节稳定至关重要。冠状突缺损会引起肘关节持续性半脱位或脱位,以及早期肱尺关节退变。如何重建缺损的冠状突,是骨科医生应该思考的问题。目前有软组织重建、自体皮质松质骨移植重建、骨软骨重建、假体置换等。今天分享一篇来自美国肘关节大师Shawn W.O’Driscoll教授的临床经验,其中涉及各种各样的重建技术。

  1. 1. 软组织重建(soft tissue reconstruction)

肱二头肌远端肌腱转移至冠状突缺损部位穿骨固定,最早用于治疗冠状突尖部骨折。该方法可提供肘关节静态和动态稳定,但会影响前臂旋后功能。在急性冠状突粉碎性骨折还可以将前关节囊、肱二头肌远端肌腱缝合至冠状突基地部,以增加前方稳定性。

  1. 2. 自体皮质松质骨移植(autogenous corticocancellous bone graft reconstruction)

Kohls-Gatzoulis教授报道了使用自体三皮质髂骨(tricortical iliac crest graft)重建冠状突,治疗肘关节恐怖三联征术后冠状突固定失败的病例。术后1年,肘关节屈曲活动度由45度增加至120度,前臂旋前和旋后完全恢复。Chung等人使用自体髂骨重建冠状突,治疗经尺骨鹰嘴骨折脱位( transolecranon fracture-dislocation)患者,术后1年,肘关节屈曲活动度由0度增加至140度,前臂旋前和旋后完全恢复。Okazaki教授使用该技术治疗创伤后肘关节后外侧旋转不稳定( posttraumatic posterolateral rotatory instability)、肘关节内翻畸形(cubitus varus deformity)、肱骨远端骨折畸形愈合( malunion of the distal humerus),同样获得了良好的治疗效果。

自体髂骨重建冠状突,术后16月X线片示移植物愈合良好

  1. 3. 骨软骨移植(osteochondral graft techniques)

骨软骨移植物重建冠状突,可选用自体桡骨头、尺骨鹰嘴尖、肋骨等,同种异体桡骨头也常用于此技术。

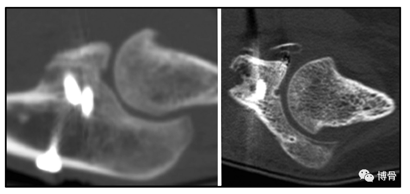
桡骨头重建尺骨冠状突,三枚螺钉固定

术后3月CT示移植物愈合良好


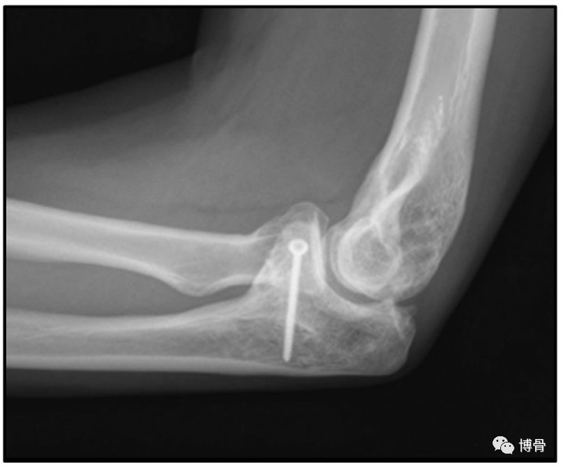
鹰嘴尖重建冠状突

4. 假体置换(prosthetic replacement)

用的很少,目前只用美国梅奥医院O‘Driscoll做过几例。

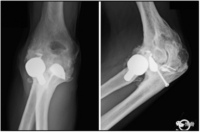
冠状突假体置换


冠状突假体置换术后11年,假体位置良好,但肘关节退变明显

软组织和骨移植物重建可治疗创伤后冠状骨缺损。但软组织重建没有纵向临床证据支持,具有可质疑的价值。目前主要的临床焦点是骨软骨/骨移植物重建。

友情链接: