首页/创伤/经验分享:“套环技术”固定桡骨远端背侧骨块!/
经验分享:“套环技术”固定桡骨远端背侧骨块!
2024-03-27 17:27:27884浏览
经验分享:“套环技术”固定桡骨远端背侧骨块!

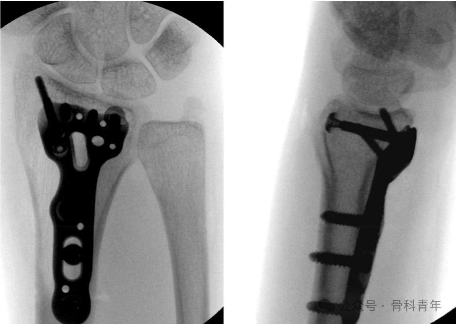
掌侧锁定接骨板内固定桡骨远端骨折手术治疗的金标准,然而,对部分特殊类型的桡骨远端骨折或特殊类型的骨折块,掌侧接骨板无法有效固定。累及关节面的背侧骨块是掌侧钢板系统固定的棘手问题,通常骨块较薄,螺钉把持不住,且无法直视下复位固定,在骨块的复位和螺钉的置入方向也会存在误差。

▲ 图示在背侧骨块的固定上,掌侧螺钉存在劣势。


尽管掌侧钢板或背侧的组合式螺钉已经应用于临床,但背侧钢板对肌腱的激惹,以及组合式螺钉对掌侧螺钉方向的依赖,并不完满的固定方式使得其并未被临床医生普遍接受。

▲ 背侧组合式螺钉的固定方式,背侧螺钉方向取决于掌侧螺钉的方向,因此在方向上存在确定性,无法自由固定背侧骨块。


为解决上述问题,有学者提出了一种利用可吸收缝线捆绑背侧骨块的“套环技术”

该手术方式的原理较为简单,首先,采用常规掌侧入路,钢板螺钉复位主要骨折块;在钢板螺钉固定后,经钢板定位孔或经钢板外,置入2枚1mm克氏针,自掌侧临时固定背侧骨块

将克氏针穿入背侧皮下后,在背侧触摸克氏针尖,作小切口,拔除克氏针,在留置的1mm克氏针孔中,穿入特殊的中空导线器,将2-0可吸收缝线,经过导线器引至掌侧:

可采用特殊的加压器械,辅助复位背侧骨块,后将可吸收缝线在掌侧打结固定:

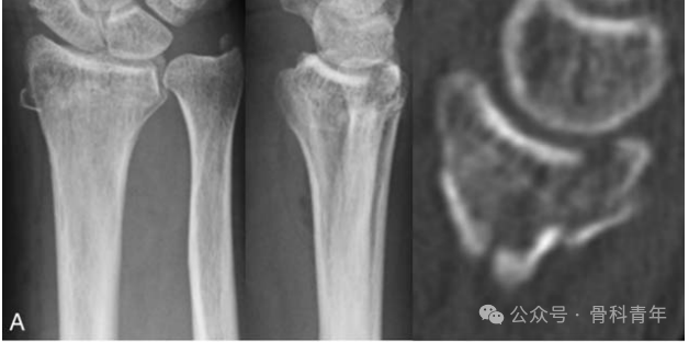
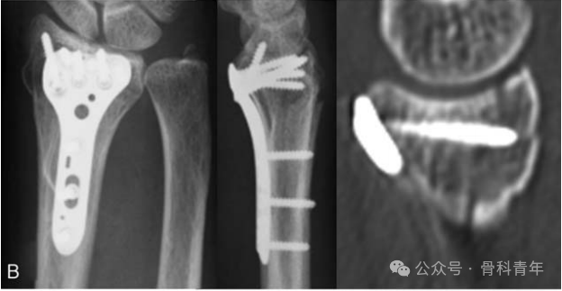
病例示例:

该方法的优势在于避免了背侧置入内植物,降低了手术创伤及避免肌腱激惹并发症;但该技术需要特殊的引线设备,以及在克氏针固定背侧骨块时可能具有一定的技术难度。可供临床医生参考。

友情链接: