髋关节撞击综合征(femoroacetabular impingement,FAI),又称股骨髋臼撞击综合征。是青壮年患者髋部疼痛的常见原因之一。目前,多数学者主张将这种撞击现象作为一种独立疾病,成为关节外科的研究热点。
定 义
- Ganz教授于1999年、2003年报道及正式提出FAI的概念。
- 以髋关节解剖结构异常而引发股骨近端与髋臼间发生撞击,导致髋关节盂唇和关节软骨的退行性化,从而引起髋关节慢性疼痛,髋关节活动范围特别是屈曲加内旋受限,最终为髋关节骨性关节炎。

FAI的髋关节解剖基础

髋臼唇由纤维软骨结构,加深髋臼窝,下方由横韧带封闭。


临床特点
- 好发人群:爱好运动的青壮年
- 髋关节疼痛:①腹股沟处疼痛或臀部深处痛;②髋关节屈曲内旋时更加明显。
- 活动受限:髋关节屈曲内收内旋受限
- 关节闪痛、关节绞锁、关节弹响
女性多见,与股骨头和髋臼的先天发育有关,后天的运动和外伤也可引起病变加重,患者多数描述为大腿根部、大胯、臀部等位置的疼痛,通常为深部痛疼和酸胀不适,特别是反复深蹲、久坐站起,以及长距离行走之后明显加重。有的患者无法自如行走,甚至穿鞋袜都出现困难,有的患者开车会受到影响。
发病机制
1、股骨近端和(或)髋臼的形态学异常,导致股骨和髋臼的一种异常接触状态。2、亦可发生在髋部解剖结构正常或者接近正常但髋关节发生过度即超生理功能的活动的患者。3、宽展突出的股骨颈或者前外侧缩短的头颈连接:易导致关节间隙狭小→股骨颈和髋臼缘重复接触→髋臼盂唇磨损变性以及髋臼关节软骨的损伤。4、髋臼形态学改变如发育畸形、髋臼后倾、髋臼内陷等:髋臼后倾导致髋臼缘前外侧形成突起,髋关节在屈曲和内旋时遇到障碍,从而导致股骨髋臼撞击。
分 型
1、凸轮撞击型(cam-type ):股骨头、颈间的凹陷不足。2、钳夹撞击型(pincer-type):髋臼解剖异常:髋臼后倾、尤其是上1/3的后倾;髋臼过深;髋臼前突。3、混合型

1、凸轮撞击型

- 常见于股骨近端畸形。
- 前部或前上部股骨头颈连接处骨质异常突出。
常见于经常运动的男性,常由股骨头的非球形部分或者宽展突出畸形的股骨颈在屈曲和内旋时挤压、碰撞并剪切髋臼软骨及髋臼唇,剪切力造成髋臼唇从表面向内部损伤及从髋臼上撕裂,髋臼软骨的损害通常发生在髋臼的前上部。

- 股骨头颈凹陷减少,呈所谓“手枪柄”样畸形。
2、钳夹撞击型

- 通常存在于喜好活动的中年女性。
股骨头颈连接处和髋臼缘的异常接触,反复的撞击接触导致髋臼唇的变性,进一步引起髋臼内部囊性变以及髋臼唇周的骨化和髋臼加深。该慢性损伤常位于髋臼软骨周围的狭窄长条状区域。髋臼唇周围的变性通常以骨化形式表现。
3、混合型
大部分FAI病例为混合型

检查方法
X线平片(首选方法):
- 骨盆正位片:尾骨尖端指向耻骨联合,且二者之间的距离是1~2 cm 。
- 能显示股骨近端、髋臼盂缘的骨性解剖异常。
CT:
- 较X线更直观地显示股骨近端、髋臼盂缘的骨性解剖异常。
- 能显示更细微的骨性改变。
MRI:
- 可直接显示髋臼唇和关节软骨的损伤。
- MR髋关节造影:能准确显示FAI伴随的髋臼唇撕裂。
X线表现
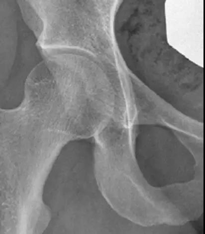
1、凸轮撞击型
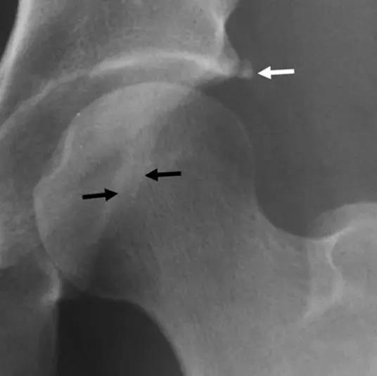
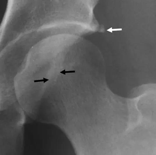
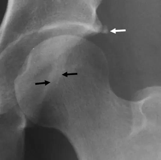
直接表现:
- 股骨头颈联合处前上缘骨性突起:“ 枪柄样” 畸形。
- 非圆形的股骨头。
- 股骨头颈偏心距减小。
- α角增大。
继发髋关节退行性变:
- 髋臼唇硬化。
- 髋臼缘骨赘或游离钙化。
- 关节间隙变窄、关节面囊变。
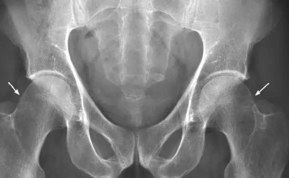
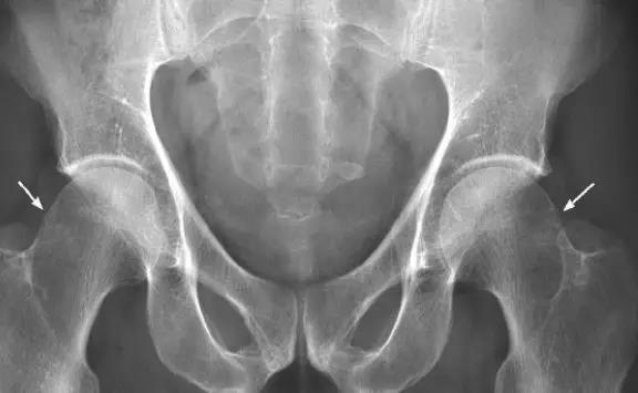
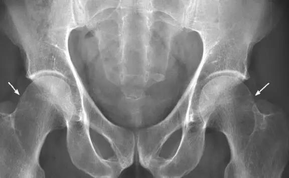
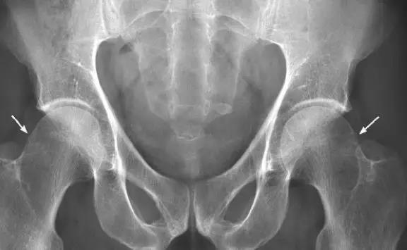
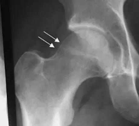
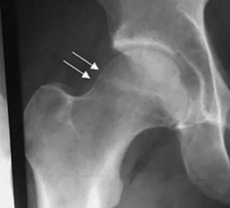
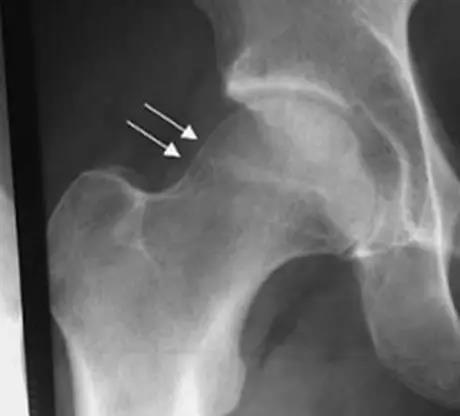
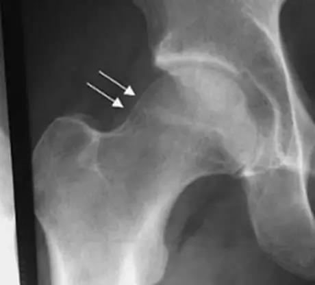
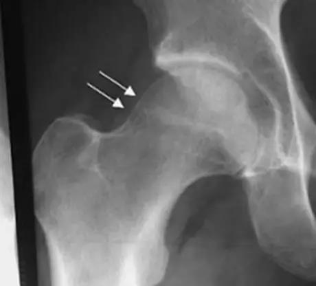
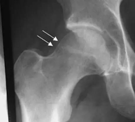
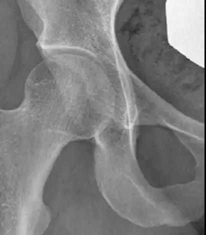
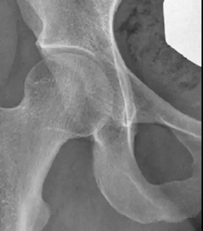
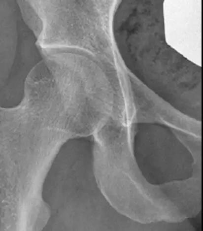
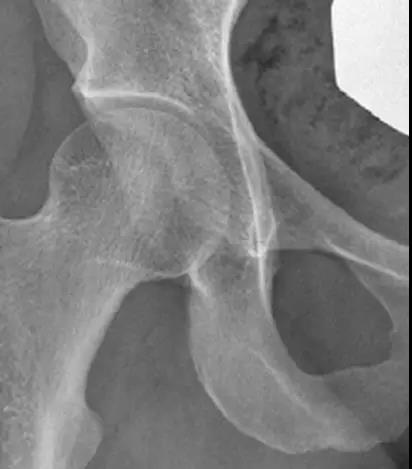
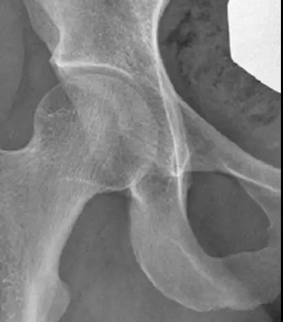
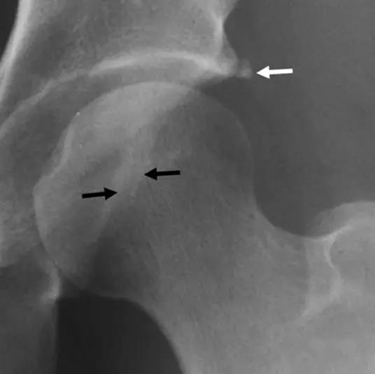
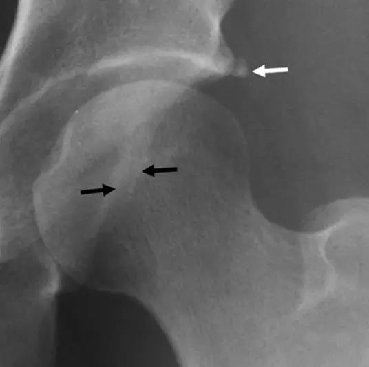
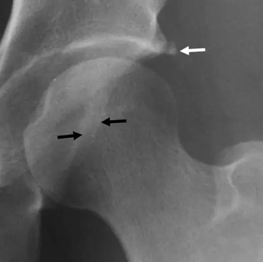
凸轮撞击型FAI▼

- 股骨头颈间的凹陷不足,伴局部的骨质增生。

- 股骨头颈的“ 枪柄样” 畸形。

- 偏心距是水平位投照平片上平行的股骨颈切线与股骨头前缘之间的距离。
- 正常值为11.6mm。
- FAI偏心距缩短<7.2mm。

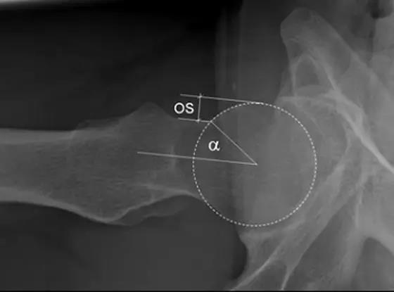
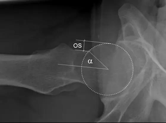
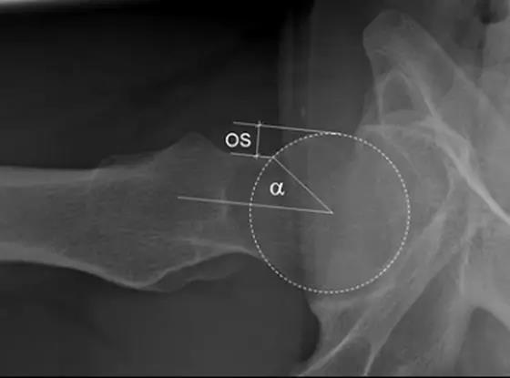
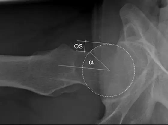
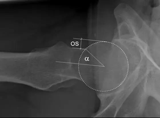
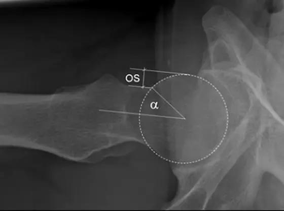
- 股骨头中心O点为圆心,股骨头正常最大半径为r,从股骨头颈连接处骨质与这个圆的交点(A点)到股骨头中心点作直线OA,此直线与股骨颈中轴线OB的交角为α角。
- 反映股骨颈骨赘突出程度,α角越大,越容易发生前上方股骨头颈与髋臼唇的撞击。
- FAI组中该角平均为74.0°±5.4°,正常对照组为42.0°±2.2°。
- α角>50°是诊断FAI的临界值。
LCE角
髋关节外侧CE角(lateralcenter-edge angle,LCEA或center-edgeangle of Wiberg):根据Wiberg的描述,在骨盆前后位X线片上,C点定义为股骨头的中心,E点为髋臼最外侧处。经过C、E两点的直线与身体中线的平行线之间的夹角即为LCEA。Ogata等定义了一种新的测量方法,即取髋臼侧软骨下硬化带的外缘为E点。正常值:>25°。<20°即可诊断髋关节发育不良。但是若LCEA>45°则说明髋臼有过度覆盖的倾向。

2、钳夹撞击型
直接表现:髋臼发育不良(髋臼过深、髋臼前倾、髋臼后倾、髋臼后壁过度覆盖)
继发髋关节退行性变:
- 髋臼缘骨化或钙化。
- 关节间隙变窄、关节面囊变。
- 髋关节水平轴位上股骨头颈连接部可见局限性的。线形切迹或凹陷。
- 股骨颈前上区域的囊变及相邻骨皮质增厚。

- 正常髋关节X线表现。
- 中心边缘角(LCE角)正常范围为25一39;髋臼指数(AI)正常值>0;挤压指数(E/A+E)正常值<25%。
- IIL:髂坐线;AW:髋臼前壁缘;PW:髋臼后壁缘;A为股骨头被髋臼覆盖部分的宽度;E为股骨头未被髋臼覆盖部分的宽度;F为髋臼窝线。

髋臼过深,髋臼窝线位于髂坐线内侧。
- 髋臼窝线位于髂坐线内侧。
- LCE>39°时,提示髋臼过渡覆盖。
- 正常髋臼指数(AI)为正值,AI为0或负值提示髋臼过深。


- 髋臼过深:髋臼线位于髂坐线内侧。
- 髋臼突出:更内侧(成人:男性>3mm,女性>6mm;儿童:男性>1mm,女性>3mm。)

- 髋臼前突,股骨头与髂坐线相交

- 髋臼后倾
- 髋臼前缘线位于髋臼后缘线的外侧:阳性交叉征(8字征)。

- 髋臼后壁过度覆盖:髋臼后壁缘位于股骨头中心的外侧,即后壁征。

- 髋臼后突
- 髋臼唇骨化
CT表现
- 扫描部位自髋臼到小转子。
- 以股骨颈轴线为旋转中心轴,所谓股骨颈轴线。
- 根据两个骨盆基点来定:股骨头中心点和股骨颈最狭窄部。
- CT表现与X线平片相同。
- 能更清晰显示细微骨质结构改变:髋臼边缘的骨赘、股骨颈疝窝、关节面下囊变等细节。
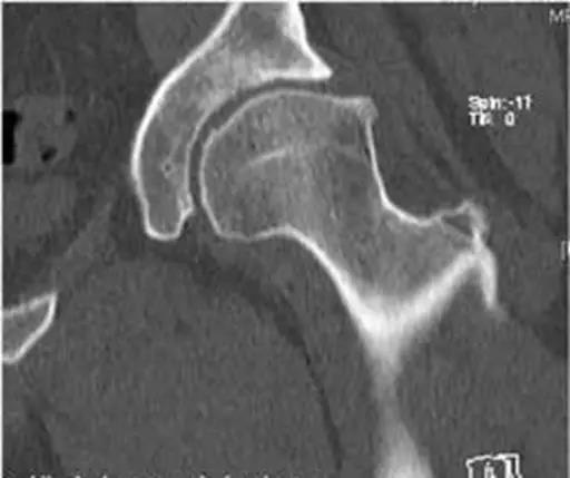
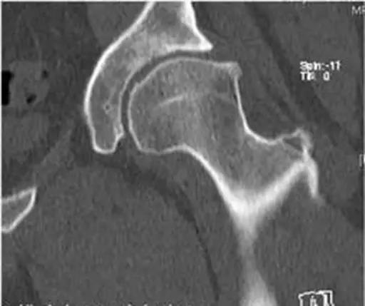
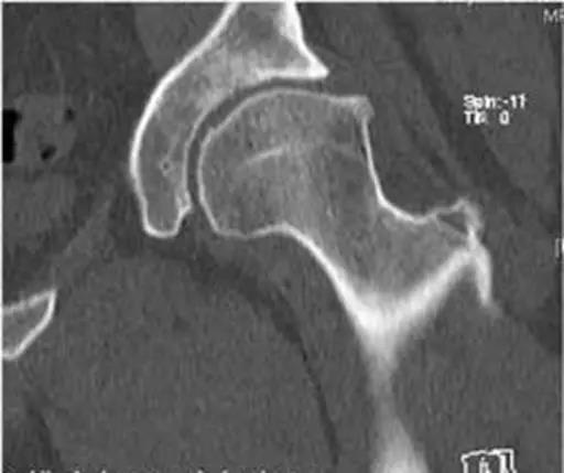
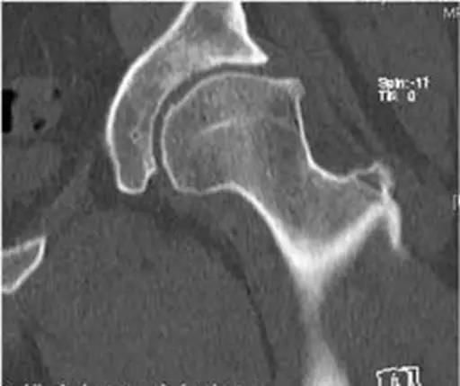
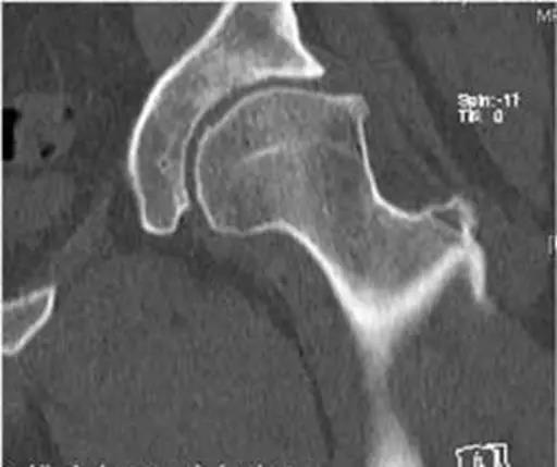
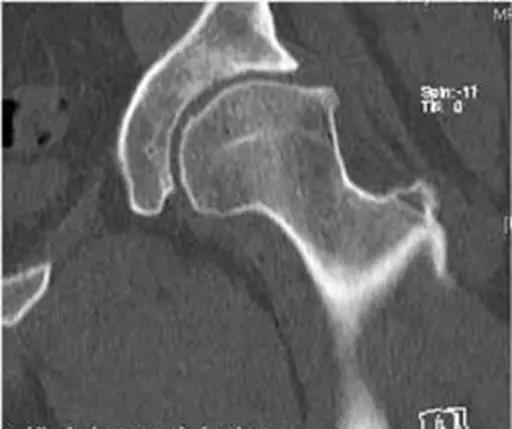
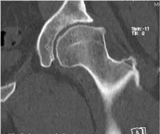
凸轮撞击型FAI▼

- 股骨头颈联合处前上缘骨性突起。
- 非圆形的股骨头。


- 股骨头颈联合处前缘骨性突起、骨质硬化,α角增大。
钳夹撞击型FAI▼

- 横断面显示髋臼后倾:正常髋臼连线与水平线呈钝角;呈锐角,提示髋臼后倾。
MRI表现
- 基本表现同X线。
- 对髋臼盂唇和软骨损伤的检出有较高的敏感性和特异性。
- 其它表现:
- 股骨颈疝窝
- 关节积液及滑膜增生
- 骨髓水肿MR造影优于常规MR

- 股骨头颈联合处前上缘骨性突起。

- 凸轮撞击型FAI--并盂唇撕裂。


