首页/骨科精读/骨科精读 | 100张骨科图像,从此再也不怕急诊/
骨科精读 | 100张骨科图像,从此再也不怕急诊
2021-04-27 15:53:084159浏览
骨科急诊急救也是临床工作的重要组成部分,主要见于重大创伤、交通事故、暴力外伤,是最能够体现一个临床医生的诊疗和应急水平。但由于急诊急救的复杂性、紧迫性和不可预知性,要求医生必须在最短的时间里做出最正确的诊断,拟定好最佳的治疗方案,此时阅片技能尤为重要。


骨科急诊急救也是临床工作的重要组成部分,主要见于重大创伤、交通事故、暴力外伤,是最能够体现一个临床医生的诊疗和应急水平。但由于急诊急救的复杂性、紧迫性和不可预知性,要求医生必须在最短的时间里做出最正确的诊断,拟定好最佳的治疗方案,此时阅片技能尤为重要。今天给大家分享100张骨科急诊最容易遇到的图像,值得学习借鉴!


01

骨折篇

  左图:左侧第一指骨远节指骨骨折  右图:左侧第二指骨近节指骨骨折

左图:第4指近节指骨骨折  右图:左侧第5掌骨基底部骨折

右侧第四指中节指骨滑车端细小骨折

缝纫机针穿透手指

左图:第1指近节指骨基底部细小骨折右图:第1趾远节趾骨基底部细小骨折

左图:右侧第1趾骨远节趾骨骨折右图:左侧第5跖骨基底部(粗隆)骨折

第1跖趾间籽骨骨折

足舟骨骨折

跟骨骨折

下颌骨骨折

克雷氏骨折

巴通氏骨折

儿童尺桡骨青枝骨折

锁骨骨折

右侧肱骨外科颈骨折

右侧肱骨干骨折

肱骨大结节撕脱骨折

胸骨骨折

膝关节隐匿性损伤

右侧肩胛骨关节盂骨折

左图:左第10后肋骨折右图:左第9肋骨折

第7胸椎压缩性骨折

腰椎体压缩性骨折

骨盆环损伤(耻骨联合分离)

右侧坐骨支骨折

左上:股骨颈头下骨折

右上:股骨颈体部骨折

左下:股骨颈基底部骨折

右下:股骨粗隆间骨折

右侧股骨下段骨折

右侧胫骨平台骨折

髌骨骨折

胫骨结节撕脱性骨折

胫腓骨双骨折

左侧腓骨上段骨折

内踝骨折

外踝骨折

三踝骨折

下颌骨双侧骨折

左上:颚骨骨折

左下:上颌窦前壁骨折

右下:上颌骨额突骨折

左上:眼眶外侧壁骨折

右上:鼻中隔骨折

左下:鼻骨粉碎性骨折

右下:眼眶内侧壁骨折

右侧眶上壁骨折

左侧颧弓多处骨折

2012年3月22日片子

同一患者2012年7月15日片子

左侧顶骨凹陷骨折

小儿顶骨凹陷骨折(兵乓球骨折)

寰枢椎爆裂性骨折

绞刑架骨折

胸椎棘突骨折

腰椎左侧横突骨折

L2椎体爆裂骨折

骶骨右翼及双侧坐骨支骨折



02

病理性骨折

玻璃人:先天性成骨不全症

多发性骨髓瘤

右侧第4趾近节趾骨内生软骨瘤伴病理性骨折



03

脱位篇

寰枢关节半脱位

寰枢关节脱位

肩关节脱位

右侧肩锁关节分离(脱位)

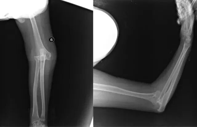
右肘关节脱位

右肘关节脱位

髋关节脱位

右侧全髋关节置换术后脱位

距骨脱位

距舟关节脱位

趾趾间关节脱位

友情链接: