在骨科门诊,每天都有很多膝关节炎的患者注射玻璃酸治疗,以中老年患者多见。将玻璃酸钠注射至膝关节腔内,此操作不同于肌肉注射,注射的针头也比较大,一般由骨科医生来完成,也可由经过培训的护士进行操作。
膝关节穿刺术常用于检查关节腔内积液的性质,或抽液后向关节腔内注药。膝关节腔内积液,需行关节穿刺抽液检查或引流,或注射药物进行治疗。关节腔内注射空气或造影剂,行关节造影术,以了解关节软骨或骨端的变化。
膝关节囊、韧带和肌腱附着点,神经分布较为密集。许多神经分支深入到膝关节腔内的软骨、滑膜和软骨下血管。许多无髓鞘神经未梢感受器还与血管走行共同分布于关节囊、滑膜和关节脂肪垫。





膝关节腔积液的原因:
1、受伤(与运动有关)膝关节扭伤、半月板损伤、侧副韧带或交叉韧带损伤。2、感染(结核)。3、类风湿性关节炎、滑膜炎。
当关节退变、运动过力或创伤,使得关节腔内乳酸、组胺、缓激肽、前列腺素和神经肽等被激活,能够引起疼痛,同时膝关节腔内出现大量关节腔积液,压力增加,膝关节肿胀。


骨科门诊,经常听到患者谈论玻璃酸钠注射的感受,患者感受总结为三类:A 类患者: XX 医生打针技术真好,几乎不疼,下次还要找他。B 类患者: XX 医生打针太疼了,疼得根本走不了路,我下次宁可要护士帮打。C 类患者: 有的医生注射时让我坐在圆凳上,医生蹲在地上操作,看起来好可怕。
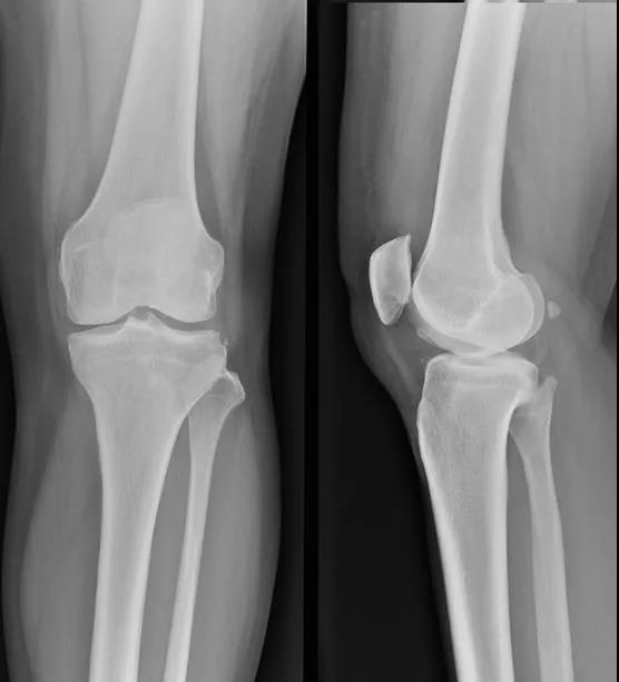
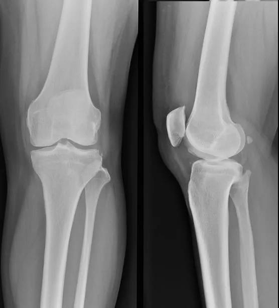
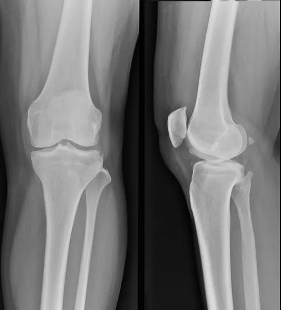
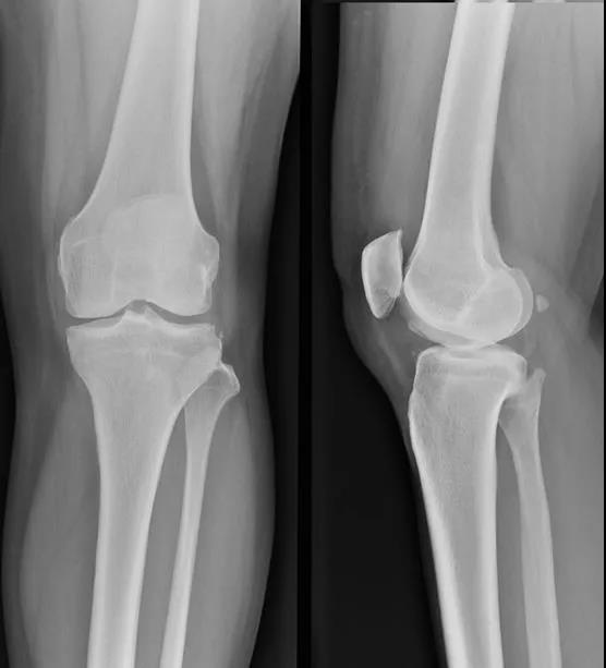
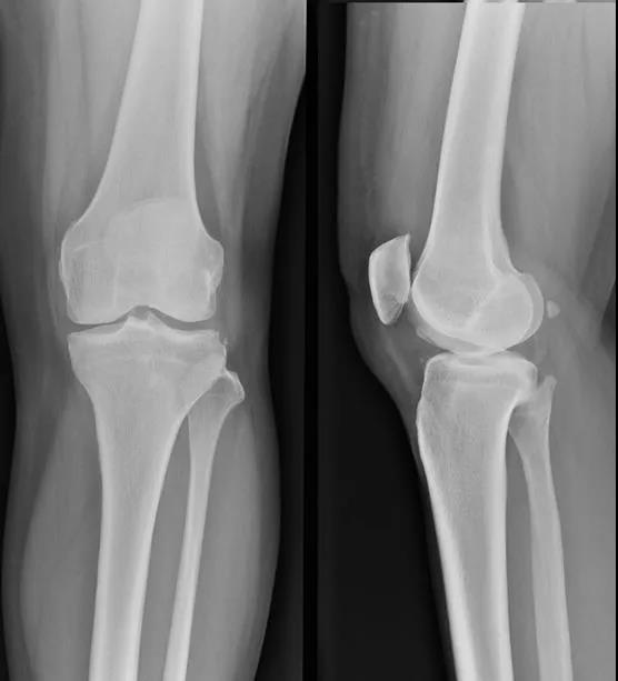
骨科医生都知道,膝关节腔缝隙很大,选择注射点也很多,不像腰椎穿刺那样难度系数高。
可是,不要小觑一个小小的操作,哪个医生操作怎么样,患者心里可是有一杆秤,清楚得很,而且还会口口相传。
定位方法
1、以髌骨中心点,作水平线和垂直线,其第一和第二象限,各做45度的平分角,该平分线与髌骨内外缘的交点,即是进针点。

2、患者仰卧位,膝关节伸直,髌骨上缘与髌骨内外侧缘的交点为两点,斜向髌股关节中心,以45°角穿刺。

膝关节腔内注射操作:

3、膝关节微屈30°左右,从髌骨下方的髌韧带内侧或外侧关节间隙垂直进针。


髌骨外上缘穿刺法
定位:髌骨外上缘处与股外侧肌交界处。按压股外侧肌下凹陷处,贴指甲刺入0.5-1cm,有落空感即可。
优点:1、神经分布少,感觉不敏感,组织薄,手感好。患者容易配合。2、关节内滑膜少,不容易引起疼痛。穿刺部位组织少,针头易达到关节腔。靠近髌上囊,可以将髌上囊的液体往下挤,从而抽液比较彻底,而且针头向上移动可以直接抽取髌上囊的液体。



髌骨外下缘(外侧膝眼)穿刺法
定位:屈膝90°位,髌骨下缘、髌韧带外侧1cm处(外侧膝眼,可看到一小凹陷)。
方法:用指甲定位好后,消毒患处,针头与胫骨平台平行,向内呈45度角,穿刺进入,针头完全刺入即可。
膝关节腔内注射操作:


优点(膝眼):1、比较好定位,关节注射后患者无疼痛。患者容易配合。2、注射玻璃酸钠采用经髌股关节侧方关节腔内注射,可避免药物注入髌下脂肪垫造成疼痛和影响药物功效。3、从髌骨外上方进针,也可以从内侧缘间隙进针,感觉效果也不错。如果滑膜增生严重,髌下脂肪垫太厚的话,就不容易进针了,反而容易反复刺激滑膜和脂肪垫引起疼痛。
注意事项:1、穿刺器械及操作均需严格无菌,以防无菌的关节腔渗液发生继发感染。2、动作要轻柔,不要刺入太深,避免损伤关节软骨。3、如关节积液过多,于抽吸后适当加压固定包扎。如果液体较多,一般可以每周穿刺两次。4、应边抽吸边进针,注意有无新鲜血液,如有说明刺入血管,应将穿刺针退出少许,改变方向后再继续进针。5、反复在关节内注射类固醇药物,可造成关节损伤,因此,任何关节内注射类固醇药物,不应超过3次。6、抽出的液体除需做镜下检查、细菌培养和药敏试验(抗生素敏感试验),还应作认真的肉眼观察,初步判定其性状,给予及时治疗。正常为草黄色,澄清透明,若为暗红色陈旧性血液,往往为外伤性;抽出的血液含有脂肪滴,则可能为关节内骨折,浑浊的液体提示有感染,若为脓液,则感染的诊断确定无疑。
如何选择?髌骨外下缘or髌骨外上缘
(1)对于关节内有大量积液的病人,采用髌骨外上缘进针抽液,然后顺便注射玻璃酸钠。因为关节内有大量积液的时候,积液大多在髌上囊,髌股关节间隙也比较大,髌骨外上缘进针很容易操作,也可抽出积液。而对于没有关节积液的病人,髌骨外上缘进针不太容易操作。
(2)对于没有关节积液的病人,采用髌骨外下缘(外侧膝眼)穿刺法,一定要定好位置(屈膝90度位,髌骨下缘、髌韧带外侧1cm处),采用8号针头,与胫骨平台平行,向内呈45度角,针头完全刺入,有一种落空感,有时回抽会抽出关节液,此时可放心注射;回抽如没抽出关节液,可以注射玻璃酸钠,如果注射时比较轻松,那就没有问题,如果注射时比较费力,病人感觉痛、胀,可以进一步向里面插下针头,左右移动下,注射时比较轻松,病人无不适即可再注射。只要熟练操作,定位正确,及时调整,病人很少出现注射后不适的。
穿刺3种姿势,如何让病人不喊疼
注射的姿势选择也很重要,那么,你知道临床上常见的三种膝关节注射姿势吗?
第一种姿势:坐位体位 :患者坐在凳子上,双膝自然下垂,暴露膝关节,小腿与大腿呈 90°角,选择髌骨上下左右四个注射点进针。

患者感受:面对医护人员,看到穿刺全过程,表示很恐惧。患者头偏一侧不看穿刺过程,心里也很紧张,因为注射室凳子没有扶手没有靠背很没有安全感。
恐怖指数:⭐️⭐️⭐⭐️️
第二种姿势:平卧屈膝位体位:患者平躺在诊查床上,屈膝,小腿和大腿呈 90°角,暴露膝关节,操作者站立,选择髌骨四周进行穿刺。

患者感受:躺着比较有安全感,但是屈膝位,仍然可以看到医护人员操作,有时候膝关节积液的还需要抽取积液,患者无法全程保持屈膝 90°,不由自主的把腿往上回缩。
恐怖指数:⭐️⭐️⭐️️
第三种姿势:平卧位体位:患者平卧于诊查床,双腿自然伸直不紧绷,暴露膝关节,操作者坐着,选择髌骨外测进行穿刺。

患者感受:平卧位看不到医生穿刺,减少紧张不适感,双腿自然摆放就能配合医护人员,不需要维持一个特定的姿势。
恐怖指数:⭐️⭐️
三种姿势中,患者们最喜欢的还是最后一种,案例中的患者投诉的医生就是让患者坐着注射的那位医生,据说当时她紧张得发抖,看到针头就心慌。
当然,患者的不适感不仅仅是因为注射姿势的选择,操作者应注意以下六个要点:
1、玻璃酸钠属于高分子材料,告知患者推注药液的时候会有胀痛感。
2、操作者推注药液速度易缓慢,让患者有一个适应性。
3、事先告知患者降低期望值,如果打针前告诉患者打针不疼之类的话,结果一针进去患者会哇哇大叫疼。可以跟患者说:打针会疼,请你忍耐一下。有时候患者反而感到其实也没有那么疼。
4、分散患者注意力,对于大多数患者来说注射会有不同程度的紧张和恐惧心理。跟患者闲聊几句,或是问问病史,在谈话中完成操作。
5、人文关怀,操作后询问患者感受,患者得到关注,疼痛一下就缓解了很多。
6、交代好注意事项,注射后有一个药物吸收的过程,可能疼痛会暂时加重,一般一天后自行缓解,尽量不要活动太多。
文章转载自玖玖骨科与骨科时间!