首页/骨科小技巧/不会关节镜,如何用钢板固定胫骨后叉止点骨折?/
不会关节镜,如何用钢板固定胫骨后叉止点骨折?
2021-10-12 13:49:001527浏览
胫骨后叉止点骨折可分为三型,I型为无移位骨折,通常可保守治疗,对II型和III型移位骨折,通常采取手术治疗,以恢复膝关节稳定性。 关节镜下Endobutton固定后叉止点骨折因其微创、固定有效等优点,已成为治疗的首选。但关节镜手术技术要求高,因此,有学者采用自制钩钢板切开复位固定后叉止点骨折,取得了良好效果。结果发表在2021.07 Injury期刊上。

Objective(介绍)

比较倒“L”形后内侧入路、自制钩板与关节镜下Endobutton固定治疗胫骨后交叉韧带止点撕脱骨折的临床效果。

[Objective: To compare the clinical effects of an inverted L-shaped postero-medial approach with a homemade hook plate and arthroscopic fixation with Endobutton for tibial avulsion fractures of the posterior cruciate ligament.]

Methods(方法)

回顾性分析2012年1月至2019年12月36例PCL胫骨止点撕脱骨折患者的临床资料。骨折为Meyers-McKeever分型II型和III型。其中20例采用自制钩板经倒L形后内侧入路治疗(切开组),16例采用关节镜下Endobutton治疗(关节镜组)。比较两组的手术时间、骨折愈合时间、手术并发症及膝关节活动范围。通过后抽屉试验测试膝关节的稳定性,通过Lysholm评分评估膝关节的功能恢复,通过单腿站立进行测试切开组的腓肠肌强度。

[Methods: The clinical data of 36 patients with PCL tibial avulsion fractures from January 2012 to December 2019 were analyzed retrospectively. The fractures were classified into Meyers-McKeever types II and III. Among them, 20 cases were treated with a homemade hook plate through an inverted L-shaped postero-medial approach (incision group), and 16 cases were treated with Endobutton under arthroscopy (arthroscopic group). The operative time, fracture union time, operative complications and range of motion of the knee joint were compared between the two groups. The stability of the knee joint was tested by the posterior drawer test, the functional recovery of the knee joint was evaluated by the Lysholm
score, and the gastrocnemius muscle strength of the incision group was tested by performing heel raises with a single leg stance.]

Results(结果)

两组均无骨折不愈合、感染、深静脉血栓形成、异常血肿或关节僵硬等不良事件。切开组手术时间较短,差异有统计学意义(P < 0.05)。两组骨折愈合时间无显著性差异(P > 0.05)。在最后一次随访中,两组之间的活动范围或Lysholm评分没有显著差异。切开组腓肠肌肌力无下降。

[Results: There were no adverse events, such as fracture nonunion, infection, deep-vein thrombosis, abnormal hematoma or joint stiffness, in either group. The operative time was shorter in the incision group, and the difference was statistically significant (P < 0.05). There was no significant difference in fracture union time between the two groups (P > 0.05). At the last follow-up, there was no significant difference in range of motion or the Lysholm score between the two groups. There was no decrease in gastrocnemius muscle strength in the incision group.]

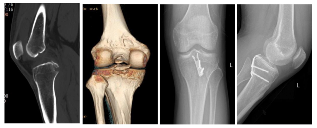
图1:30岁男性,予以关节镜下Endobutton固定,术前及术后片。

图2:由1/3管型钢板自制钩钢板。

图3:倒“L”型切口。

图4:35岁男性,钩钢板固定,术前术后影像片。


Conclusion(结论)

自制钩钢板经倒“L”形后内侧入路固定PCL胫骨止点撕脱骨折是安全有效的。它显示出与关节镜下Endobutton内固定几乎相同的满意结果。

[Conclusion: The fixation of PCL tibial avulsion fractures with a homemade hook plate through an inverted L-shaped postero-medial approach is safe and effective. It showed almost the same satisfactory outcomes as arthroscopic Endobutton fixation.]

友情链接: