有学者提出,青少年椎体后柱损伤(Posterior vertebral arch injury)应该分为三种:峡部裂、椎弓根裂和椎板裂,其中峡部裂(spondylolysis)是广为所知的,而后两种也是容易被忽视的青少年腰痛原因之一,其也属于应力性损伤。
- 椎弓根裂 (pediculolysis)是指椎弓根的应力性骨折,常发生在单侧峡部裂的对侧椎弓上。表现为矢壮位MRI的椎弓根呈T1低信号和T2高信号(水肿信号),伴或不伴骨折线。
- 椎板裂 (laminolysis)是指椎板的应力性骨折,分为半椎板型和全椎板型。全椎板型可能为反复腰椎过伸运动引起的椎板应力性骨折。
1. 椎弓根裂典型病例

一项来自Spine的临床研究发现,椎弓根裂是18岁以下常见的腰痛原因,发生率为12.7%,而峡部裂仅为8.7%。且椎弓根裂与腰椎前凸增加无关,常出现在13-17岁的腰痛患者,男性多于女性,常是孤立性出现的损伤(69.6%)。

图:15岁腰痛男孩,左侧腰5椎弓根裂A:T1左侧腰5椎弓根低信号(箭头);B:T2左侧腰5椎弓根高信号(箭头);C:T2轴位左侧腰5椎弓根骨折线明显,伴高信号区(箭头)
2. 椎板裂典型病例

图:17岁腰痛男孩,L5双侧峡部裂和右侧椎板裂C:右侧椎板增厚,不连续

图:L5半椎板裂
17岁芭蕾舞者,腰痛7个月
CT示:左侧为椎板裂(箭头),右侧为峡部裂(箭头)

图:L5半椎板裂15岁篮球运动员,严重腰痛,影响睡眠CT示:左侧为椎板裂(箭头),右侧为峡部裂(箭头)



图:L5全椎板裂15岁相扑运动员,严重腰痛,后伸明显加重正侧位X线示椎板水平骨折线(白箭头)。MRI示T2椎板高信号,T1椎板低信号

图:L4全椎板裂16岁男孩,3年严重腰痛,后伸受限其中L5椎体骶化
3. 峡部裂与椎弓根裂共存的典型病例
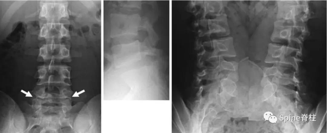
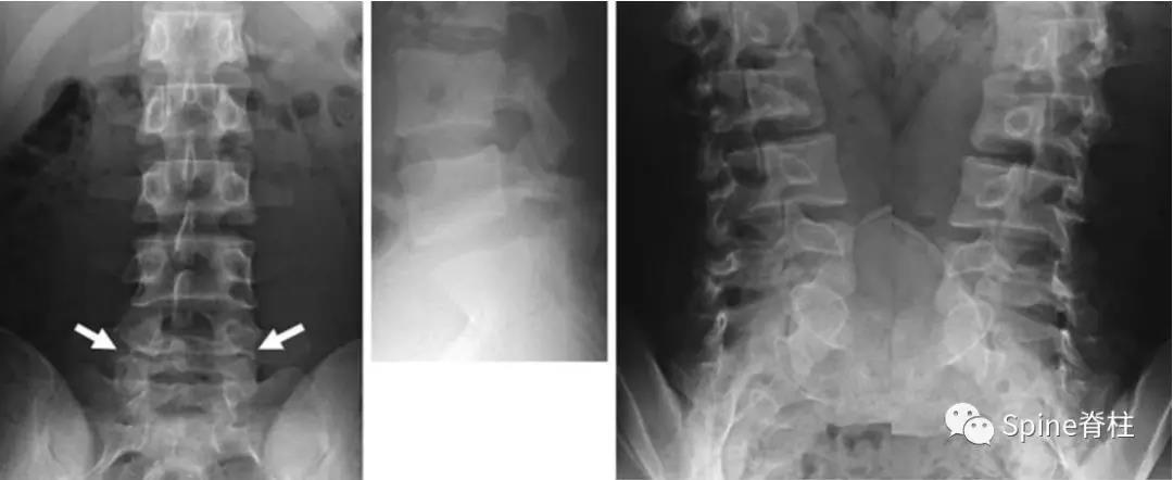
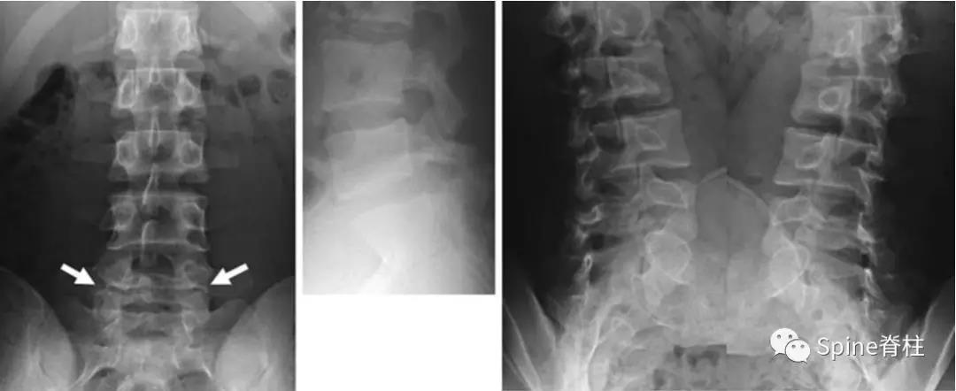
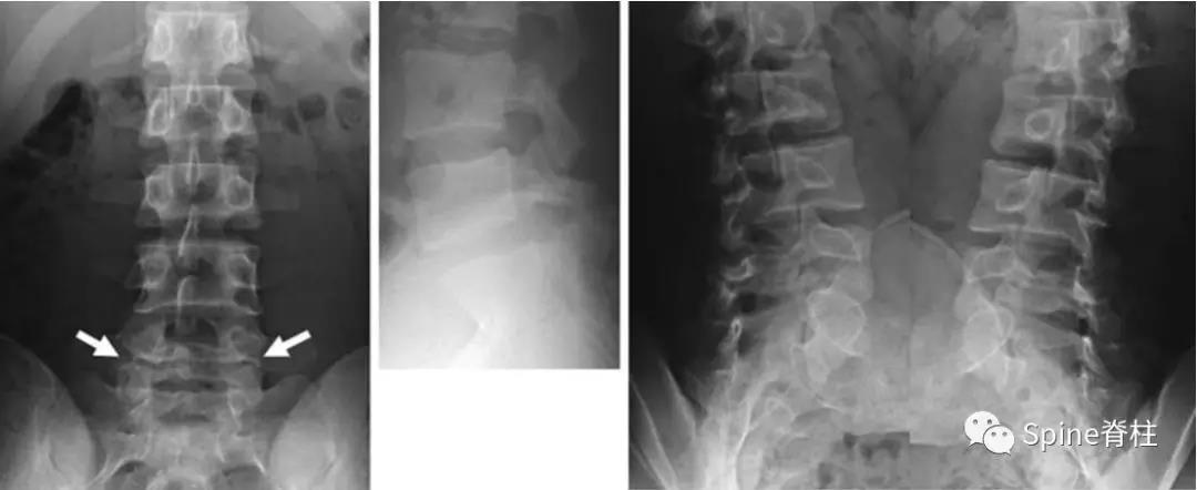
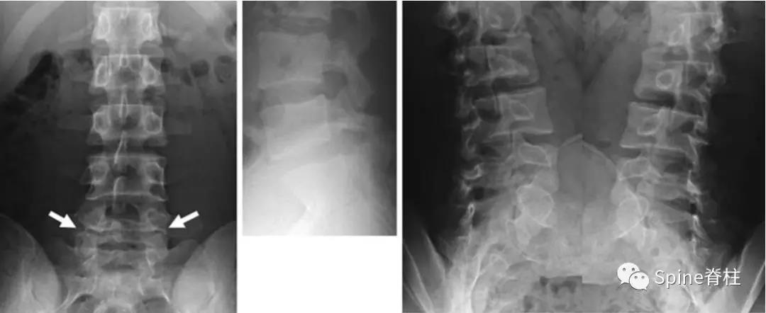
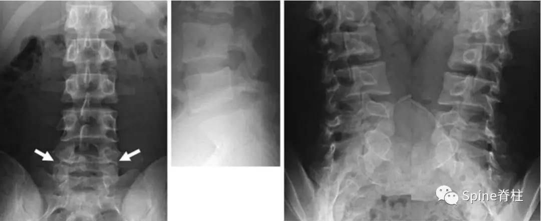
2003年发表在Am J Sports Med杂志(IF=6.20)上的病例报道,很好的阐述了峡部裂和椎弓根裂的变化。描述一个17岁的棒球运动员,运动后腰痛1月余,随访的辅助检查提示相同椎体水平出现的3个连续性应力性骨折:第一次为左侧峡部,第二次为右侧椎弓根,第三次为右侧峡部。

图:起始CT提示L5左侧峡部裂(双箭头),起始CT检查后2个月复查可见出现右侧椎弓根裂(单箭头),4个月复查可见椎弓根裂愈合(单箭头)

图:6个月复查可见右侧椎弓根裂已愈合(单箭头),但出现右侧峡部裂(双箭头)

图:术后情况
症状性椎弓根裂和椎板裂的治疗与峡部裂类似,应早期诊断,早期进行保守治疗。
内容转载自Spine脊柱