2021-11-13 12:51:391827浏览
那些骨科常用的角和线,你都还记得吗?
脊柱侧凸Cobb角
- Cobb角:即上端椎终板上缘连线(垂线)下端椎终板下缘连线(垂线)的夹角。
- 正常值为:0°
- 临床意义:国际脊柱侧凸研究学会(Scoliosis Research Society SRS):诊断脊柱侧凸需站立正位X线像的脊柱侧方弯曲Cobb角>10°。
- 端椎:上下端椎是整个弯曲中最为倾斜的脊椎,通常呈旋转中立位。
- 顶椎:指的是弯曲中最为水平、旋转最严重和偏离中线最远的椎体。

脊柱滑脱参数
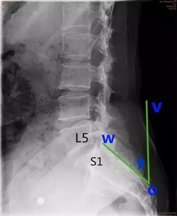
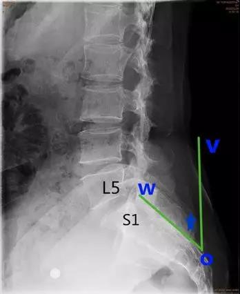
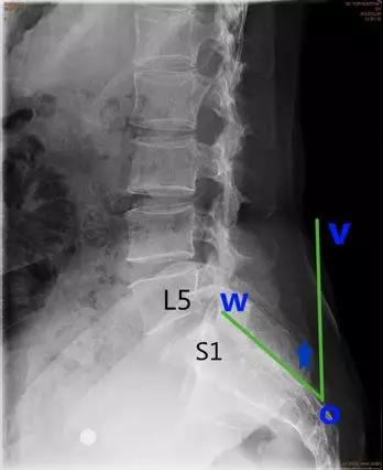
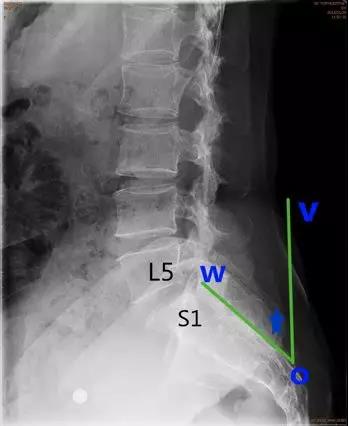
- 腰骶角(lumbosacral angle):
- 腰椎纵轴和骶椎纵轴之间的夹角;
- S1上缘连线与水平线的交角。正常值为41.1°±7.7°or34°(亦称骶骨水平角)。
临床意义:增大提示有滑脱进展风险。成人若>45°则可称水平骶椎,腰骶角增大时腰椎前凸加深和骨盆前倾,导致骶髂关节劳损,腰脊柱力平衡失调,并继发腰、胸、颈段劳损称之为“水平骶椎综合症”。

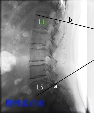
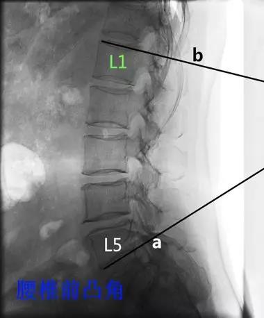
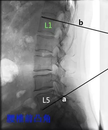
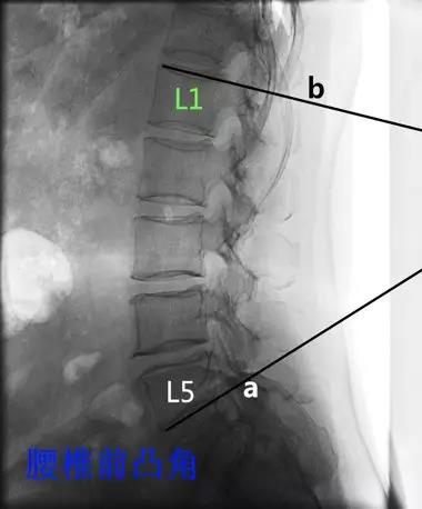
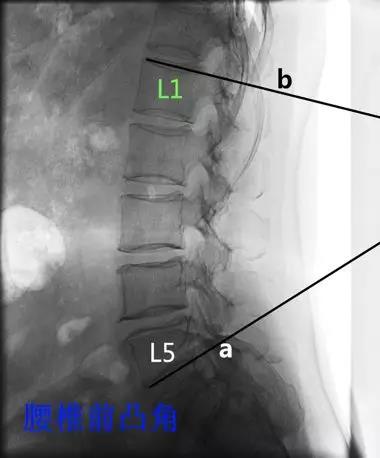
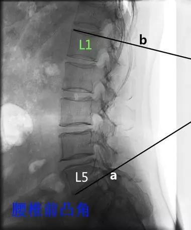
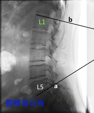
- 腰椎前凸角:即L1终板上缘连线与L5终板下缘连线的交角。
当第5 腰椎有明显的矢状面旋转时,前凸可以向上延伸到胸椎,此时应注意鉴别全脊柱前凸和单纯的腰椎前凸。

- 滑脱角:S1后缘垂线与L5下终板平行线之间的夹角。正常<10°。
临床意义:>10°提示滑脱进展的风险。

- 骶骨倾(斜)角:即S1后方骶骨后缘平行线与地面垂线之间的夹角。正常值<30°。
临床意义:>30°提示滑脱进展的风险。

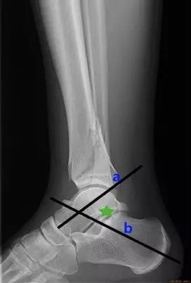
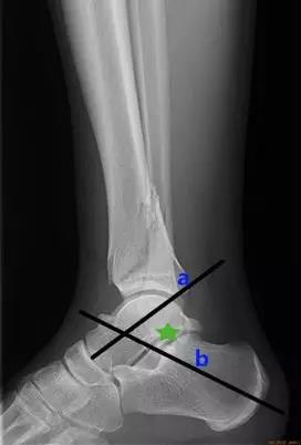
踝关节
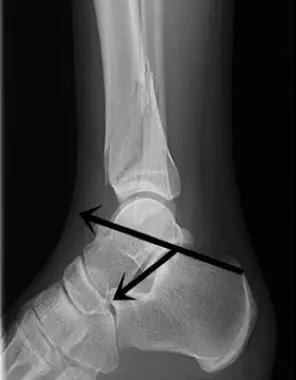
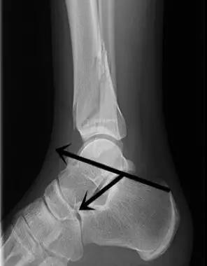
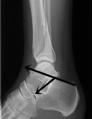
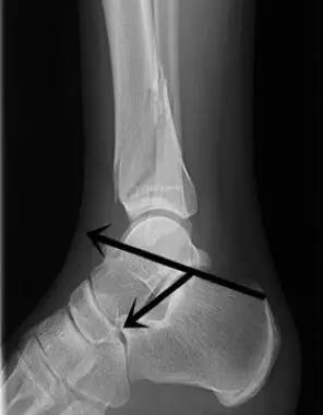
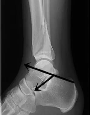
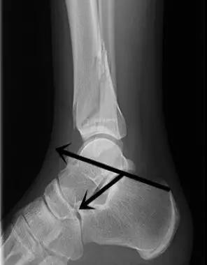
- 结节关节角:是在跟骨后关节面最高点与跟骨结节间做一连线,再在跟骨前端背侧最高点与后关节面最高点做另一连线,连线相交成角,称为结节关节(Böhler角)。
- 正常值:25°~40°
- 临床意义:跟骨结节关节角减小,提示跟骨骨折或扁平足;跟骨结节关节角增大,提示弓形足。

- Gissane角:从跟骰关节面连线与后关节面后缘连线 的夹角。
- 正常值为:120°~145°。
- 临床意义:跟骨骨折时角度可能会发生变化,该角度提示前中后关节的关系。

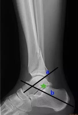
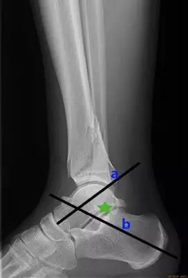
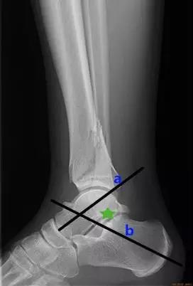
- 前后跟距角(Kite角):跟骨和距骨中轴线的夹角。
- 正常值:25°~45°。
- 临床意义:在畸形足和内翻足患者,该角度明显减小。

- langre角:在踝关节侧位片或者跟骨侧位片沿跟骨后、中距关节面作一连线,并作跟骨与跟骰关节面连线,此两线相交所形成的角。
- 正常值:约为90°。
- 临床意义:异常提示跟骨骨折。

拇外翻相关角度
- 第1跖趾关节角:即拇外翻角,第1跖骨和近节趾骨中轴线的夹角。>15°可诊断为拇外翻。
- 跖间角:第1、2跖骨中轴线的夹角。>16°时需要考虑行近端截骨以矫正畸形。
- 临床意义:主要用于拇外翻的诊断及指导如何矫正畸形。
轻度:外翻角<20°,跖间角<11°中度:外翻角20°~40°, 跖间角<16°重度:外翻角> 40° ,跖间角>16°

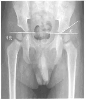
髋关节
- CE角(Wiberg 的中心边缘角):即两侧股骨头中心连线的垂线和髋臼外缘股骨头中心连线所成的夹角。
- 正常值:20°~35°
- 临床意义:主要用于评估髋臼的包容性,髋臼发育不良时夹角变小。

- Sharp角:即双侧泪滴下端连线与泪滴下端至髋臼上缘连线所成的角。
- 正常值:33°~38°
- 临床意义:<32°很少见且无临床意义39°~42°为正常值的上限,42°~47°需动态观察,>47°可认为异常。评价髋臼发育和髋臼对股骨头的覆盖情况。

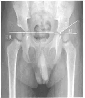
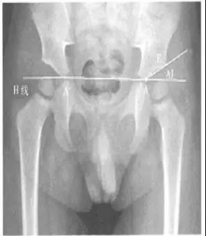
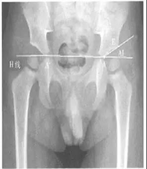
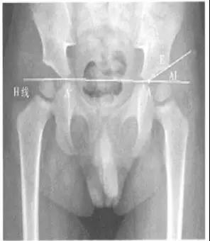
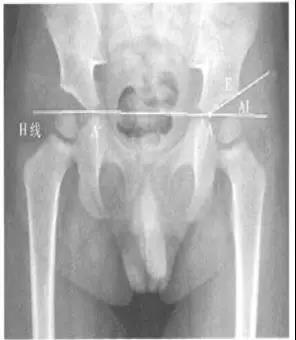
- 髋臼指数(actebular index,AI,亦称髋臼角):髂骨最下缘与髋臼最外缘的连线与H线的夹角(H线,即Hilgenreiner线,组成两侧髋臼髂骨最下缘的连线),适合于“Y”型软骨尚未闭合的儿童(≤10岁)髋臼的测量。
- 正常值:国外一些学者也测量了1~2岁婴幼儿的正常值范围,认为1岁婴儿的正常值在25°~30°之间,2岁一般低于20°,而超过30°为异常。
- 临床意义:评价髋臼发育和髋臼对股骨头的覆盖情况。

- 髋臼杯外展角:即在骨盆正位片上髋臼杯上缘和下缘连线与水平线的夹角。
- 正常值:45°~55°
- 临床意义:外展角过大容易发生髋关节内收时撞击,假体外上缘应力集中和髋关节不稳,并向后上方脱位。髋臼杯外展角>55°时,其股骨头假体受力方向由内上逐渐变化指向外上 ,脱位机率明显增加。
D’Lima等研究认为45°~55°的外展角对髋关节的活动度和稳定性来说是最合适的,在此范围内髋臼杯对股骨头的覆盖较好,与股骨头表面接触较多,应力分布均匀,关节稳定。

膝关节
- 股骨角:膝关节正位片上股骨纵轴线与股骨远端关节面切线的外侧夹角。
- 正常值:75°~85°
- 临床意义:股骨角增大或减小,提示股骨髁上骨折或膝关节内、外翻。

- 胫骨角:膝关节正位片上胫骨纵轴线与胫骨近端关节面切线的外侧夹角。
- 正常值:85°~100°
- 临床意义:若胫骨角增大或减小,提示膝关节内、外翻。

- 股骨髁干角:膝关节侧位片股骨干纵轴线与股骨髁纵轴线的后方夹角。
- 正常值:90°~110°
- 临床意义:若股骨髁干角>115°,提示膝反屈。

- 胫骨骨干角:膝关节侧位片,胫骨干纵轴线与胫骨关节面切线,的后方夹角。
- 正常值:<90°
- 临床意义:>90°提示膝反曲。

- Q角:指髂前上嵴到髌骨中心点连线同胫骨结节与髌骨中心点连线所构的夹角。
- 正常值:男12°~14°,女13°~16°。
- 临床意义:Q角增大提示髌骨外侧半脱位(股四头肌外侧力量增大)。

腕关节
- 掌倾角:即在腕关节侧位片上桡骨最远端尺侧和桡侧顶点的连线与桡骨纵轴线的垂线的夹角。
- 正常值:10°~15°(11°±2°)
- 临床意义:改变主要提示桡骨远端骨折,在正位片上桡骨短缩>5mm或在侧位片上背侧成角>20°提示预后较差。

- 桡骨尺偏角:在桡骨、尺骨的下尺桡关节面作一水平线,此线与桡骨远端关节面的切线所形成的夹角。
- 正常值:20°~25°
- 临床意义:若桡骨尺偏角改变,提示腕关节脱位或者桡骨远端骨折。

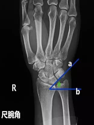
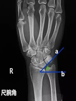
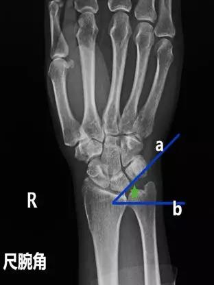
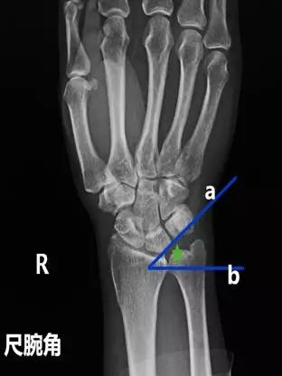
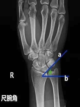
- 尺腕角:在腕关节正位片作月骨和三角骨的外缘切线,并作尺骨远端关节面的切线,此两线所形成的夹角。
- 正常值:21°~51°
- 临床意义:若尺腕角改变,提示腕骨骨折或腕关节脱位。

- 腕骨角:在腕关节正位片上分别作手舟骨、月骨的切线和月骨、三角骨的切线,此两线的夹角。
- 正常值:130°
- 临床意义:腕关节骨折、脱位时腕骨角增大;腕骨角减小见于Madelung 畸形和卵巢发育不全。

腕关节不稳
这些不稳定可以是急性或慢性发生,病因多数为创伤、炎症所致。对腕关节不稳的发生率由10%至75% ,这与报道者的统计方式及观察手段不同有很大关系。
在腕关节平衡中,其腕骨本身形态、邻近关节面的形态(尤其是桡骨远端)、邻近腕骨产生的压力、及腕关节中韧带的导向和约束作用,这些因素中任何单一因素或多种因素综合的改变均有可能导致腕关节不稳定的发生。
腕关节不稳的分类目前仍无一个公认的统一标准。较为全面的是1995年Larsen等将腕关节不稳归纳为如下六类:
- 按病程分:急性指损伤在1周内;亚急性损伤时间1~6周;超过6周以上的损伤为慢性;
- 根据恒定性分为:静态不稳定和动态不稳定;
- 按损伤病因分为:先天性、创伤、炎症、关节炎、肿瘤、医源性等所致的腕关节不稳;
- 按部位分为:桡腕、腕中、腕骨间、腕掌、特殊腕骨、特殊韧带的腕关节不稳;
- 按腕骨异常旋转和/或移位方向分:掌屈不稳定(VlSI)、背伸不稳定(DISI)及尺侧、桡侧、掌侧、背侧、近端、远端、旋转、复合不稳;
- 按类型分:分离性腕关节不稳(CID)、非分离性腕关节不稳(CIND)、复合性腕关节不稳(CIC)、适用性腕关节不稳(CIA)。
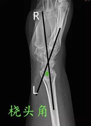
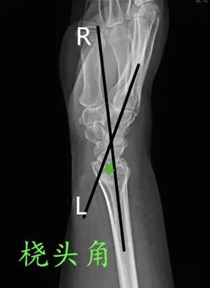
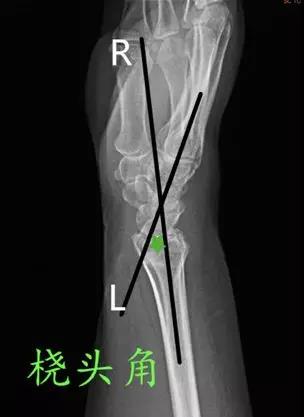
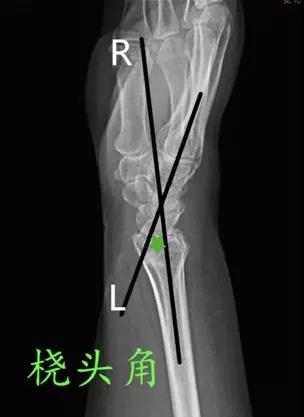
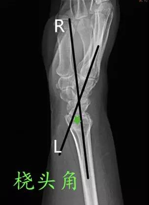
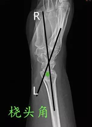
- 桡头角:腕部侧位片上桡骨和头状骨中轴线的夹角。
- 正常值:6°~26°
- 临床意义:>26°提示腕关节不稳。

- 桡月角:在腕部侧位片上桡骨和月骨(近端与远端)中轴线的夹角。
- 正常值:0°~15°
- 临床意义:屈曲>15°提示掌曲不稳,背伸>10°提示背伸不稳。

- 头月角:腕部侧位片上头状骨和月骨中轴线的夹角。
- 正常值:0°~15°
- 临床意义:>20°提示腕关节不稳。

- 舟月角:在腕关节侧位片舟骨与月骨(近端与远端)中轴线的夹角。
- 正常值:30°~60°
- 临床意义:舟月角>70°提示腕背伸不稳,<30°提示腕掌屈曲不稳;>60°或移位>1mm,需要对舟骨进行切开复位内固定;舟月间距<3mm,间距>3mm提示舟月韧带撕裂。

- 桡舟角:在腕关节侧位片桡骨与舟骨(掌侧与背侧)中轴线的夹角。
- 正常值:55°~75°
- 临床意义:>75°提示腕关节不稳。

文章整理自百度文库,未经允许禁止转载,如有侵权,请联系删除,谢谢!