Pilon作为最复杂的踝关节骨折,一直是临床中的难点和重点。今天小编跟大家聊一聊pilon的细节。

——pilon相关解剖——
胫骨远端的关节面是不规则形状的矩形,并与距骨的穹顶连接。表面前宽后窄,并且在冠状和矢状平面上都是凹的。胫骨表面与内踝关节表面,约90度到的角度,并连续延伸到胫骨远端约1.5cm。远端腓骨的内侧面也与距骨的外侧面相关联,以完成踝部踝穴。所以,为什么我们固定踝关节的时候要背伸到90度?因为这个时候踝关节最稳定!

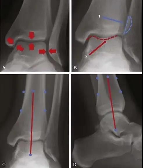
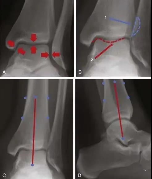
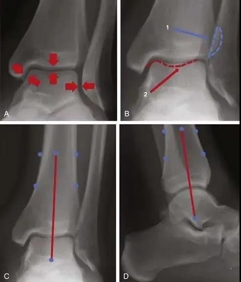
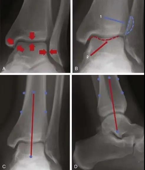
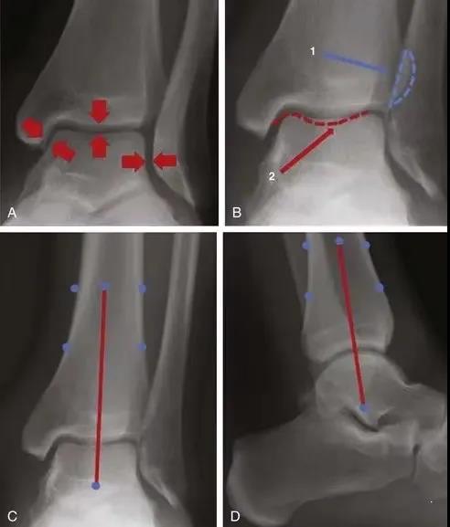
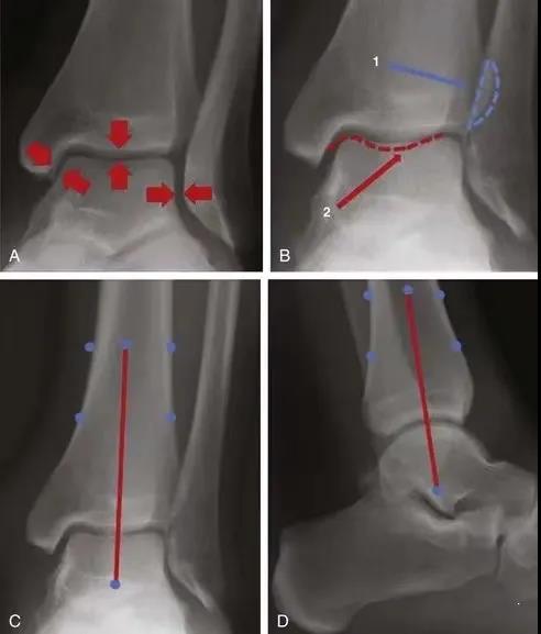
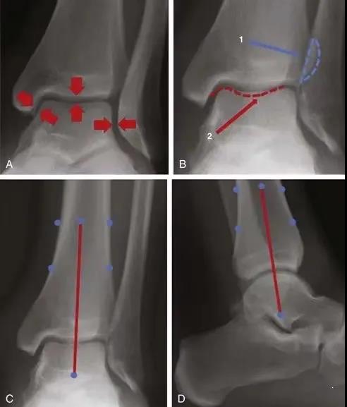
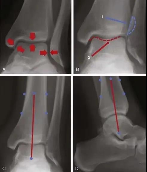
胫骨远端的关节面。注意与踝部的关节

A,关节面应在整个关节中等距(箭头)。B,腓骨与远端胫骨(1)和后踝(2)关节。C和D,正侧位腿的中轴(红线)穿过穹顶的中心和距骨。
对于术后片子,我们一定要进行评估,看看腓骨到底有没有解剖复位,距骨有没有外移,踝关节骨折很注重这点,pilon也不例外。
那篇著名的文献:距骨外移1mm,接触面积减少42%
——pilon损伤机制——
许多作者推测了pilon损伤的机制。首先要注意的是,脚在撞击时的位置是对骨折的形态是至关重要的因素。Rüedi 和Trojan对此机制进行了扩展。
Rüedi是第一个详细描述轴向载荷与脚的位置相结合的损伤机制。如果将垂直压缩力施加到中立位的足,则发生中央凹陷,而如果足部背屈或足跖曲,则骨折分别导致前踝或后踝损伤。除轴向载荷外,还可以产生额外的力,使每个骨折具有自己的特点,包括弯曲力,旋转力和剪切力。
这些骨折也因其损伤能量而异,从高能量损伤(机动车事故)到低能量损伤(简单跌落)。损伤能量越高,粉碎,移位和软骨损伤的可能性越大。

根据Böhler的损伤机制是轴向载荷加上撞击时脚的位置的组合。A,跖屈受伤。B,背屈受伤。BöhlerL:Die Technik der Knochenbruchbehandlung, ed 13,Vienna,1951,Maudrich。
损伤的机制和程度决定了骨折模式和pilon骨折的治疗方法。来自轴向压缩机制的冲击将关节表面向近端驱动到干骺端,伴随着相关的干骺端粉碎。
通常存在相关的腓骨骨折。低能量的扭转损伤导致较少的关节粉碎和较大的骨折块,通常与软骨下骨保持连续性。一些研究也证明了轴向损伤中横断位CT的Y形图案的三个主要碎片(前,后和内侧)的形态。
胫骨远端的韧带附着有助于预测骨折模式。下胫腓前韧带(AITFL)附着于前部或Chaput结节; 下胫腓后韧带(PITFL)附着于后部或Volkmann结节; 三角韧带附着在内踝骨块上。在没有这种典型的Y形图案的情况下其骨折的移位可以提示相关韧带断裂。

开放性骨折包括约20%的pilon骨折。高能量损伤通常也与严重的软组织破坏有关,这可能是伤口并发症和深部感染的主要危险因素。然而,软组织损伤的程度并不总是与骨折粉碎的程度相关。
——病史与评估——
高能量pilon骨折的患者也可能出现多系统创伤和其他危及生命的伤害。初步评估和复苏应遵循高级创伤生命支持(ATLS)指南,并从初级调查的ABC开始。
一旦患者稳定下来,就需要进行彻底的病史和二次检查,以确定损伤机制和其他潜在的伤害。对于pilon骨折,仔细检查患者的下肢可以进一步提供关于软组织损伤程度的信息。高能量损伤可能有明显下肢畸形和开放性伤口; 然而,较低的能量扭转伤害可能更难以检测。较大的瘀伤,肿胀,踝部皮肤起水泡应引起临床上对骨折的怀疑。
开放性骨折伴有严重的软组织缺损或挤压伤时会有截肢的风险。以下是闭合骨折软组织损伤的Tscherne分类定义的等级:
- 0级表示与简单骨折模式的最小组织损伤
- 1级涉及表面缺损或挫伤
- 2级涉及皮肤深层缺损或肌肉挫伤
- 3级表现出广泛的皮肤和肌肉损伤或挤压伤,皮下撕脱伤和/或隔室综合征
Gustillo-Anderson系统用于分类开放的pilon骨折。
详细的神经血管检查以及筋膜间室综合征的评估对于pilon骨折的评估至关重要。详细的神经血管检查包括检查胫后足和足背动脉脉搏,评估胫骨,腓浅,腓深,腓肠神经和隐神经分布的感觉,评估踝关节背屈和跖屈以及屈曲和伸展的运动功能。
Ruedi和Allgower于1968年首次发表了他们的手术技术和早期治疗pilon骨折的结果,为规范治疗Pilon骨折提供了关键的大纲。他们提出了一种四阶段手术方法,以优化解剖复位和稳定pilon骨折。
1.需要恢复腓骨长度以重建外侧柱,这有助于减少胫骨骨折的复位。2.要求解剖恢复胫骨远端的关节面,这通常类似于严重粉碎的拼图游戏。Ruedi和Allgower建议使用距骨作为模板来重建胫骨。3.使用自体骨移植来填充任何干骺端骨缺损。其目的是防止远端关节表面塌陷或下沉。4.将支撑钢板放置在胫骨的远侧面上。
——原则与技巧——
1、尊重软组织:不要过早的对软组织操作或造成皮肤受损(开放性损伤,水疱,瘀斑,紧绷肿胀的皮肤); 而是用外部固定器保持长度,对齐和旋转; 同时练习细致的手术技术,尽量减少手术对软组织包膜的破坏。
2、在计划手术之前完全了解骨折(根据需要获得足够的X线片,CT扫描和未受伤肢体的X光片)。
3、关节面的恢复和重建与胫骨干的关系是治疗的主要目标。
4、对于具有不可重建的关节面的高度粉碎性损伤,原发性踝关节融合是ORIF的替代方案。
5、术后疼痛,肿胀和僵硬是高能量Pilon损伤最常见的后遗症,近1/3的患者见到这种后遗症。需要进行积极的预防。
——胫骨重建的要点——
在几乎所有情况下处理粉碎性pilon骨折时,必须首先重新定位关节面所在平面。关节表面复位不良会导致创伤后关节炎的快速进展。如果首先处理干骺端部分,即使是干骺端的1毫米偏移也会在关节面的处理时中转变为几毫米的偏离。
如果粉碎,关节表面的游离碎片失去其内在稳定性。此外,如果存在完整的关键的软组织(韧带,关节囊或骨膜)可以起到一些帮助的作用,复位时需要注意,尽量不要破坏。
因此,为了获得关节的最大可视化重建,需要注意保持韧带完整的概念。这一概念背后的基本原理是,软组织的张力有助于外科医生间接复位骨折。
可以通过使用跨踝关节的外部固定器或股骨牵引器在远端胫骨中实现。应首先重建关节面,并使用多个克氏针和螺钉暂时稳定。最初用克氏针可以将松散的中央碎片固定到后部碎片,并且可以使用生物可吸收的克氏针针暂时稳定。
这种治疗方法依赖于稳定的后的支撑钢板,以“从后到前”的方式在解剖学上复位关节面的其余部分。

复杂pilon骨折的复位和内固定。A和B,腓骨钢板和跨关节外架的应用。注意关节面的压缩(箭头)。 C,前内侧切口。注意胫前肌腱(黑色箭头)和胫骨干骨折(白色箭头)。 D,关节面的复位。E,使用克氏针复位,然后使用螺钉固定。F应用中和钢板。G和H,术后轴和关节面的前后位X线片和侧位X线片。
一旦关节面重建后,应主要注意干骺端的交界处。当复位长骨骨折时,力线的对齐是主要的功能要求。与关节复位相反,干骺端重建的目标较少依赖于解剖复位,更多依赖于恢复足够的长度和旋转以及力线的对齐。这也可以通过使用外架或股骨牵引器来实现。
钢板的置放原则:锁定钢板可以放置在内侧,前侧或外,所选择的板和其位置将基于骨折形态来确定。但是,应遵循原则。
不能使用外侧切口置放内侧板,反之亦然。因此,如果骨折不稳定,前干骺端皮质缺损,可以选择前路或外侧入路,建议使用前方或外侧板。如果骨折在内侧或外侧干骺端皮质太粉碎,使用内侧或前侧切口,应用标准内侧板作为支撑。钢板主要是作为支撑作用。
——细节12步——
1. 显露关键骨块 !通过外旋转内踝骨片并通过施加牵引,可以看到粉碎的中央关面。

2. 别着急复位!先找标兵!在确定所有粉碎块后,通过没移位的后外侧骨块作为pilon关节复位的关键来进行复位。如果后外侧骨块移位,应考虑通过使用后外侧切口来稳定这种情况。如果胫腓前韧带和胫腓后韧带是完整的,那么复位腓骨后,则该骨块应该处于解剖位置。


3. 临时固定 使用克氏针将关节面拼接在一起,尽量完成拼图游戏,通过在两个或三个较大的片段之间楔入可以复位的小片段。当表面重建后,暂时固定内踝。

4. 透视在透视中得到较好的正位,侧位,并在需要时透视踝穴位。进行复位效果的评价和分析。

5. 关节面--干骺端一旦关节面复位满意,就可以进行干骺端的复位。在简单的骨折中,不需要骨移植,事实上,如果植骨太多有时也会使得复位不良。
6. 植骨高能量损伤与干骺端压缩,在这些情况下,需要松质骨移植的可能性较大。通过使用松质骨移植填充缺损以增加关节表面的稳定性,这与用于胫骨平台骨折的技术非常相似。

7. 克氏针换螺钉当关节面由植骨支撑时,每个关键的克氏针都可以用一个3.5mm的螺钉来代替。
8. 上钢板最后,应用钢板来完成最后的固定,保持较好的力线、旋转、长度。


9. 稳定性判断当确定其固定是稳定的时,去掉外部固定关闭伤口。不稳定时可以保留外架或佩戴支具
10. 缝合无张力闭合是最理想的。如果时间允许,在止血带充气的情况下进行伤口闭合。如果止血带放气,组织会充盈膨胀,医生应该在关闭进行观察,如果张力明显,可以使用减张缝合或VSD装置。


11. 固定闭合切口后,将腿放入支具中,踝处于中立背屈90度状态。一是用来增加稳定性,二是用来平衡软组织。

12. 反思、重复、交流。不断的回顾自己的病例的缺陷,学习别人的优点,互相交流成长更快。

按照以上的完整步骤,术后CT显示复位较好内容转载自骨秘籍!