一、Lisfranc损伤
1
概述
这损伤以法国外科医师Jacques Lisfranc(1790~1847)命名,他于1815年首次描述,并通过跖跗关节进行截肢。
Lisfranc损伤包含范围比较广,如单纯韧带损伤、韧带损伤伴骨折或关节内骨折,若漏诊或误诊将会给患者带来长期功能障碍。
2
解剖
Lisfranc关节主要由三个楔骨和骰骨及五个跖骨(近端)构成。
跖跗关节可分成3柱,外侧柱包括骰骨、第4、5跖骨;中间柱包括第2、3跖骨及中间楔骨和外侧楔骨;内侧柱包括第1跖骨及内侧楔骨。
第2跖骨基底部与中间、内侧楔骨形成“榫卯”结构,维持跖跗关节的稳定。
第2至第5跖骨基底部通过跖骨间韧带连接,而第1跖骨与第2跖骨间不存在跖骨间韧带,取而代之的是一条从内侧楔骨外侧至第2跖骨内侧的跖侧韧带,常被称为“Lisfranc韧带”。
二、分型
分型对于Lisfranc损伤的治疗具有非常重要的作用,良好的Lisfranc损伤分型能对于手术与后续的恢复治疗起到指导作用。
目前,临床中对于Lisfranc损伤的分型方法有很多,有Quenu与Kuss分类法、Myerson分类法、Hardcastle分类法等。
1
分型历史
1909年Quenu和Kuss分型
1982年Hardcastle分型
1986年Myerson分型
2002年Nunley分型
2017年Simon分型
2
Quenu和Kuss分型
A、同侧移位
B、单独移位
C、分离移位

3
Hardcastle分型
Lisfranc损伤分型最早由Quenu和Kuss在1909年基于三柱理论提出的,被分为同侧型、孤立型、分离型。
1982年,Hardcastle对其进行改良,将其分为A、B、C 3型。A型:所有跖骨均向同一方向移位;B型:1个或多个跖骨部位移位方向不一致;C型:骨折移位完全不一致。

A型:跖跗关节完全脱位,同侧移位
B型:部分脱位,第1列:部分内侧脱位,第2~5四列部分外侧脱位
C型:在第1和第2~5列之间分离。
4
Myerson分型

A型:跖跗关节完全脱位,同侧位移
B型:部分脱位,第1列:部分内侧脱位,第2~5四列部分外侧脱位
C型:在第1和第2~5列之间分离。
由于Lisfranc损伤的复杂性,Myerson等将以往的B型和C型细分为B1,B2,C1和C2。
B1型:第1跖骨内侧脱位;
B2型:第2至第五跖骨向外侧移位;
C1型:部分TMT关节不同方向移位;
C2型:全部TMT关节不同方向移位。
Myerson提出的分型系统,被广泛应用,有助于确定Lisfranc损伤,在某种程度上帮助临床决断。
Myerson强调冠状面错位,着重Lisfranc韧带和第一列与外侧四列之间的脱位。Komenda研究发现相对于内侧和外侧柱,创伤后关节炎在第二跖骨基底部尤为严重,内外侧柱有更大的活动度。
5
Nunley分型
● Unley分型
unley 和 Vertullo 根据临床发现、负重 X 线检查、骨扫描,提出针对轻微低能量损伤分型。
I 型:患者活动受限、 Lisfranc韧带复合体疼痛、前后负重 X 线检查未见移位,但骨扫描阳性。
II 型:前后负重 X 线检查示第1、2跖骨间移位2~5 mm ,侧位片足弓正常。
III 型:前后负重 X 线检查示第1、2跖骨间移位大于5mm,负重侧位片示足弓丢失、第1跖骨与内侧楔骨距离减少。
Lisfranc 损伤也根据是否完全或部分韧带断裂分型,以便选择最佳的治疗方式。
● 2002年Nunley分型

I 型:没有脱位,存在Lisfranc韧带的扭伤;
II 型:Lisfranc韧带断裂,2-5mm分离,无拱形高度降低;
III 型:Lisfranc韧带断裂,2-5mm分离合并拱形高度降低。
由于第一二跖骨之间缺乏韧带稳定性,Myerson的分型方法是符合生物力学和解剖逻辑的。尽管如此,没有合适的分型方法可以将骨折类型和治疗方法、预后联系起来。在分型系统和功能、影像结果之间缺乏一致性,我们希望知道是否有其他分型方法评估Lisfranc损伤。
6
最新分型:Simon分型
● 既往分型
优点:分型形象,简单,容易记忆
缺点:均不能有效的指导和判断治疗预后
● Simon分型
背景:澳大利亚医生Simon C Lau应用Chiodo的三柱理论,评估它是否在预后和治疗上更准确;评估是否冠状面不稳定或脱位是影响结果的显著因素。

1:有或没有矢状位的单柱损伤位移>2mm
2A:没有矢状位移的两柱损伤
2B:两柱损伤,两列中至少有一柱矢状位移>2mm
3A:没有矢状位移的三柱损伤
3B:三柱损伤,三列中至少有一柱受伤矢状位移>2mm
Lisfranc损伤的严重程度和长期功能结果,柱受累是最重要的因素,而非矢状位移。这个分类系统临床效用更大。
对Simon分型的研究
① 研究发现跖跗关节损伤柱的数量越多,长期功能越差。
② 相对于其他分型系统根据第一二跖骨间的分离进行分型,跖跗关节损伤的宽度始终是决定预后的最显著因素,基于损伤柱的数量进行分型似乎是更好的方法。
③ 这种分型系统比其他系统有更大的临床应用价值,其他系统均未将功能结果联系起来。
④ 在研究中,背侧或跖侧移位无显著差异。
⑤ 在矢状面移位的病例中,联合接骨板和螺钉治疗最常见,解剖复位能导致最佳功能结果。
⑥ 矢状面移位没有影响功能的原因,可能是由于强健的背侧和跖侧带加强了中足的关节。
⑦ 在三柱坚强内固定的患者中,负重时由于没有内外侧柱的移动而缺乏适应性。这是疼痛评分增高的原因之一,并加重了关节病的早期进展。
⑧ 研究的关键发现是跖跗关节损伤柱的数量越多,长期功能越差。相对于其他分型系统根据第一二跖骨间的分离进分型,基于损伤柱的数量进行分型似乎是更好的方法。这种分型系统比其他系统有更大的临床应用价值,其他系统均未将功能结果联系起来。
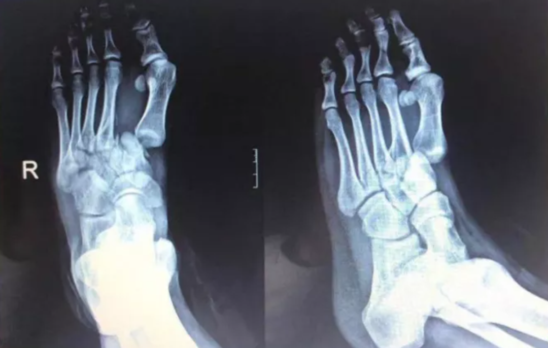
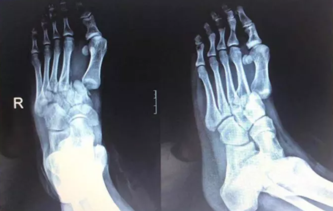
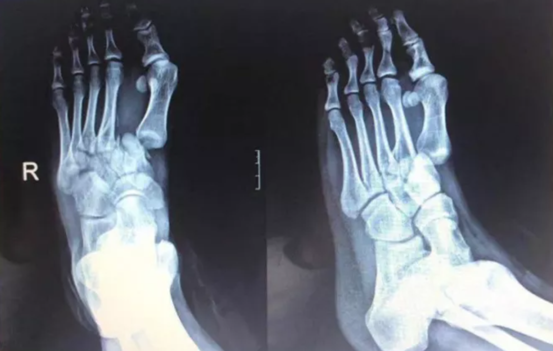
三、典型病例
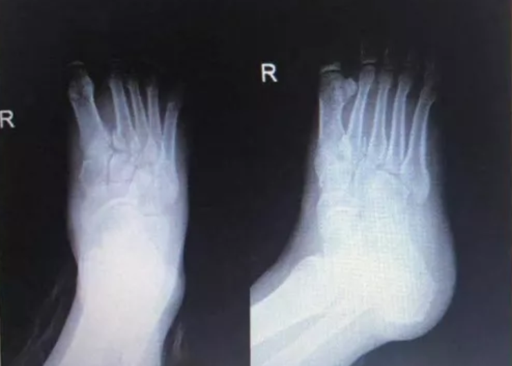
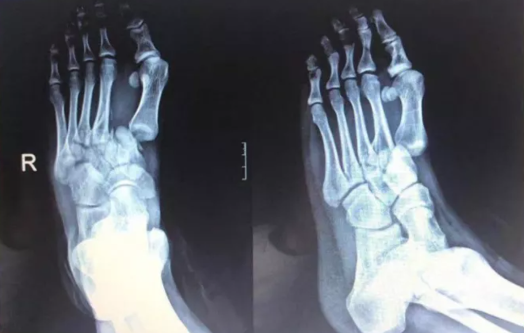
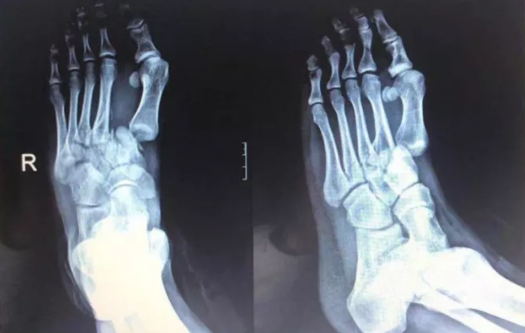
1
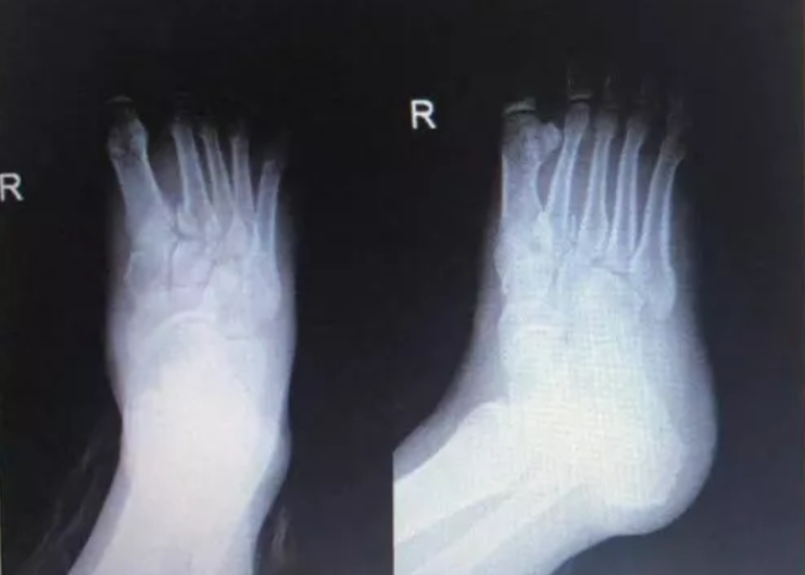
病例一
患者:2m处高处坠落伤
分型:Myerson B2

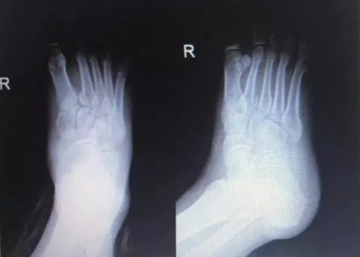
2
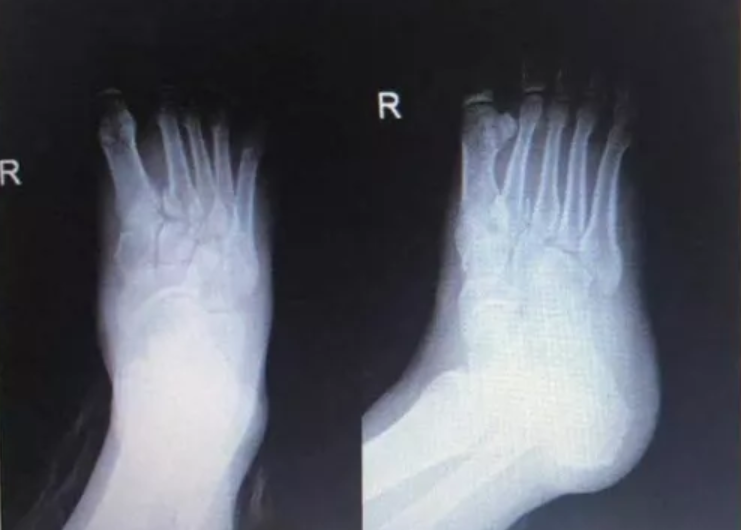
病例二
患者:扭伤
分型:Myerson B2

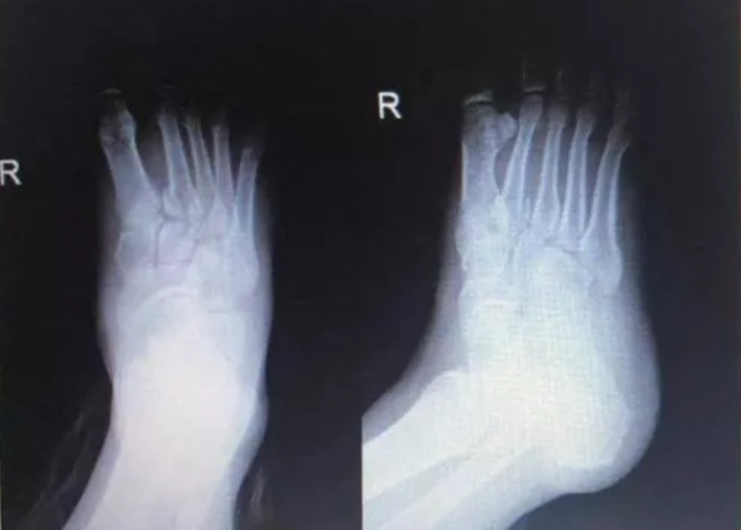
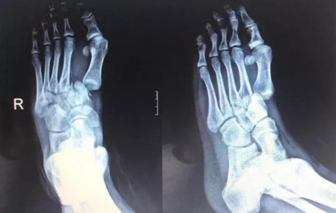
3
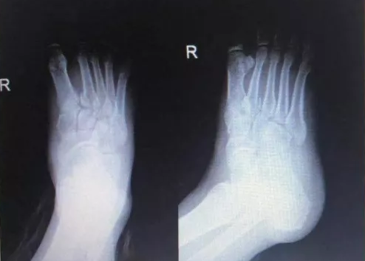
病例三
患者:骑车摔伤
分型:Myerson C2

总结
Lisfranc损伤的最佳分型和治疗已被证明是很难确定的,这可能部分由于该骨折脱位的复杂性和在中足这样一个相对有限的区域内并发的错位有关。将中前足的众多小骨重建,并使之能承受体重和每一步的应力绝非易事。