关节积脂血症最早由Kling在1929年描述,他发现在好发于四肢关节严重骨折外伤的患者血性关节液中存在脂肪。1939年Holmgren首次在X线上发现脂肪-液体分层。近些年,关于积脂血症对骨折的敏感性问题以及超声、MR在积脂血症识别中的应用研究也越来越多。
NO.1
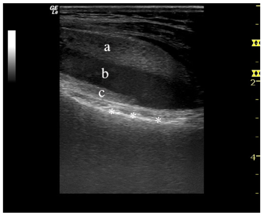
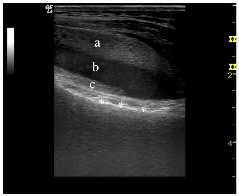
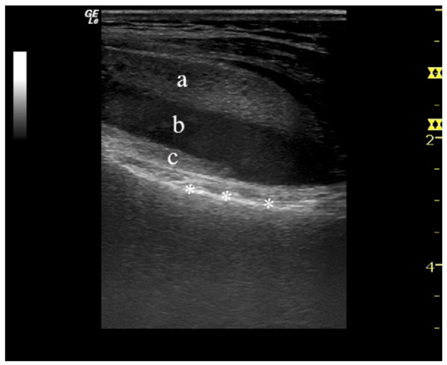
病理基础
发生关节囊内骨折后,从骨髓腔或撕裂的骨膜处溢出的脂肪组织和血液同时进入关节腔内。由于血液密度相对较大,沉于关节液之下,而脂肪密度相对小,漂浮于关节液之上,从而形成分层现象。关节积脂血症液体分层从上到下依次为:脂肪、关节炎、血液。

NO.2
影像表现
在X线、CT、MR及超声检查中均可发现积脂血症。
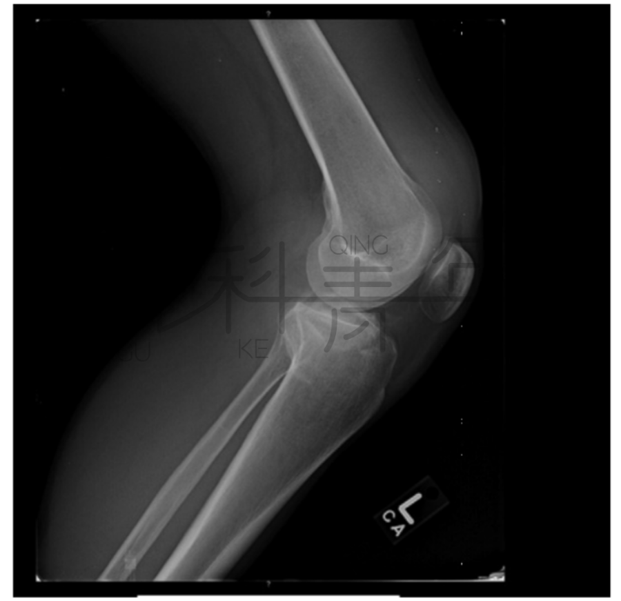
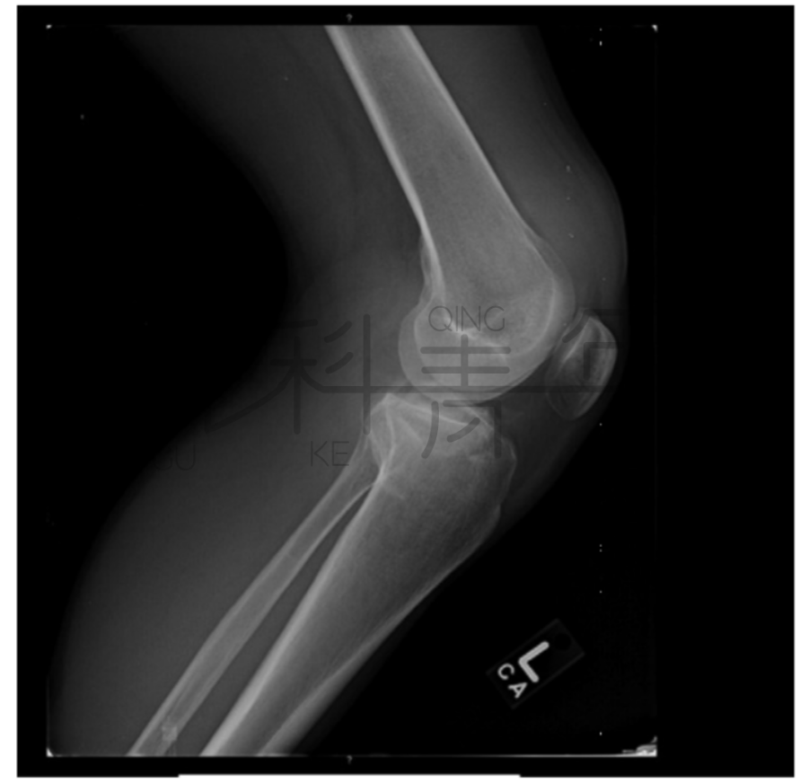
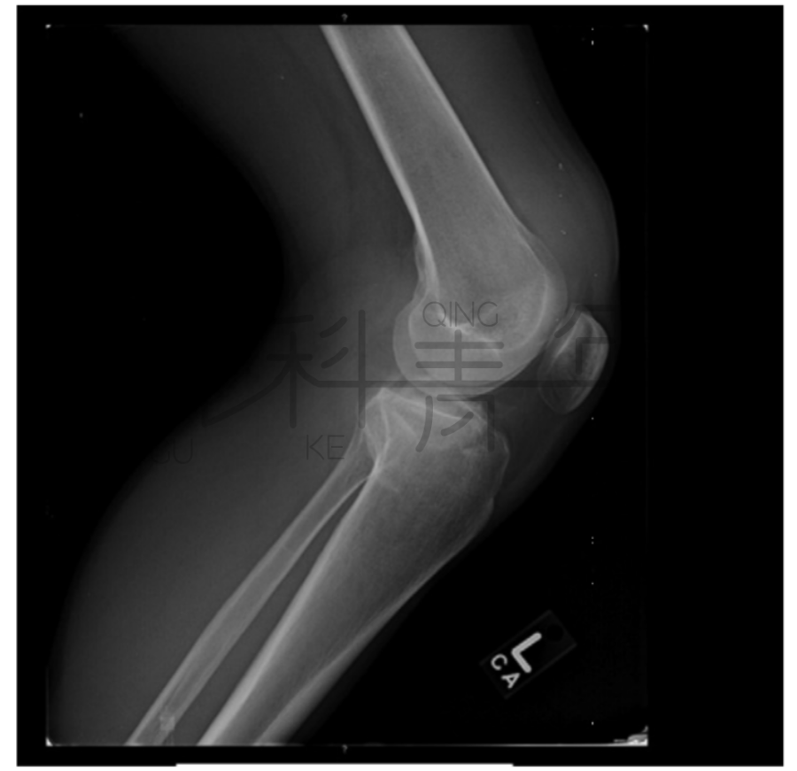
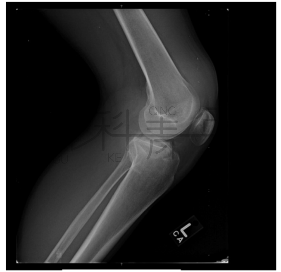
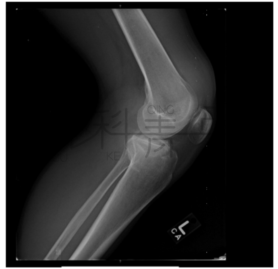
① 膝关节
膝关节骨折较为常见,且膝关节腔及髌上囊较大,液体分层通常较其余关节更易发现。

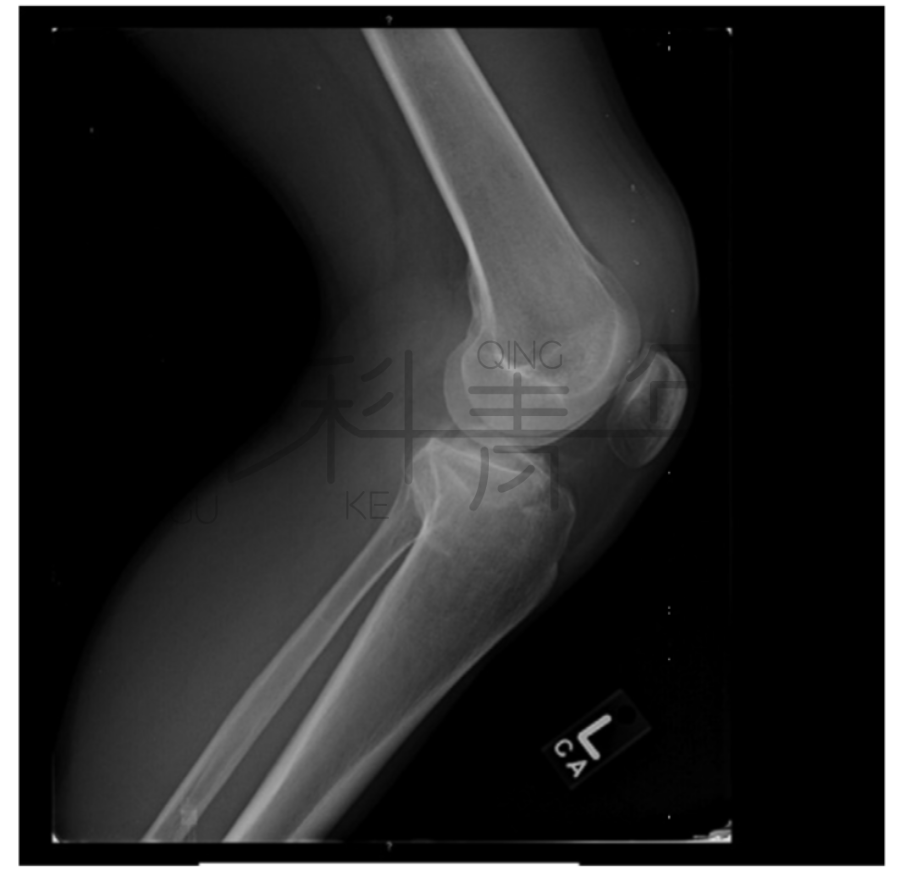
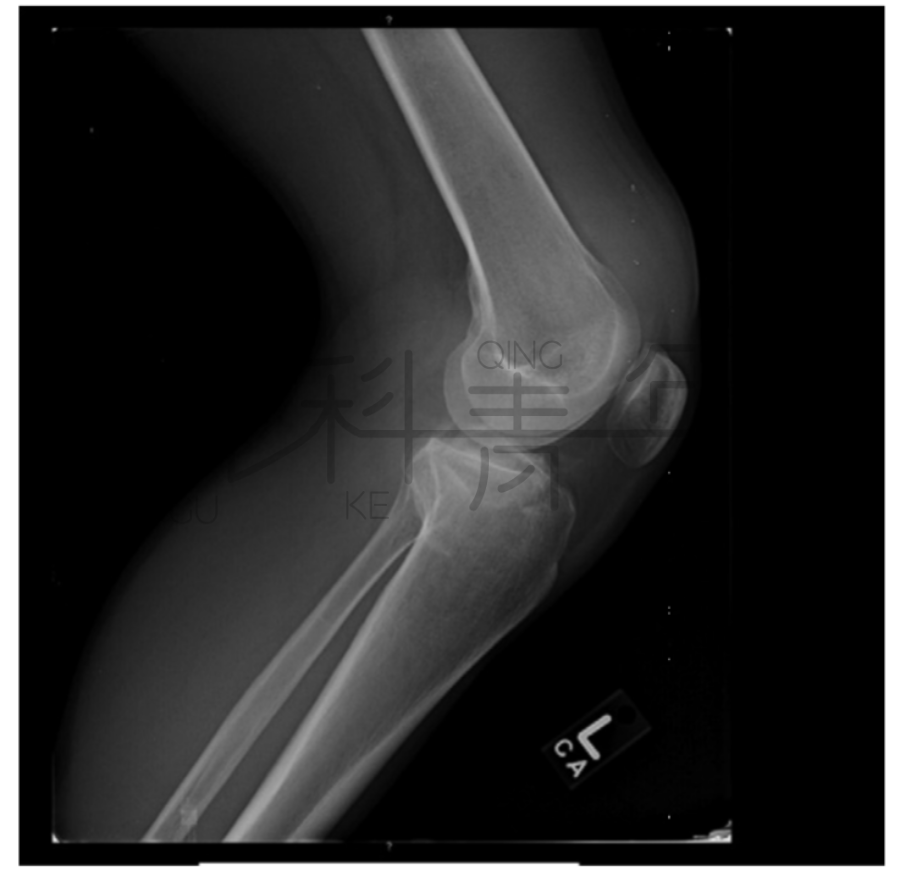
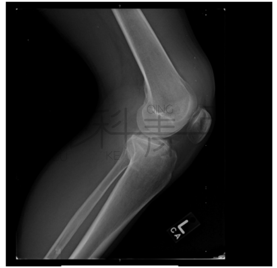
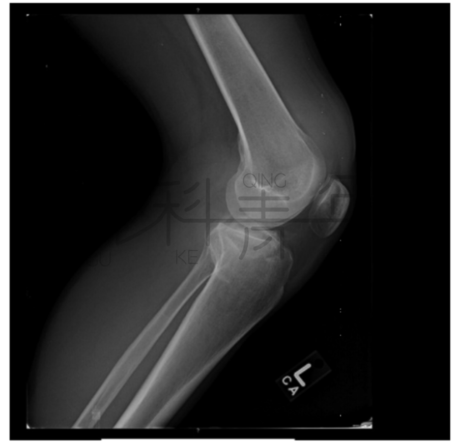
病例1在膝关节X线正位片上可见骨折间隙(a),侧位上可见明显关节积脂血症。

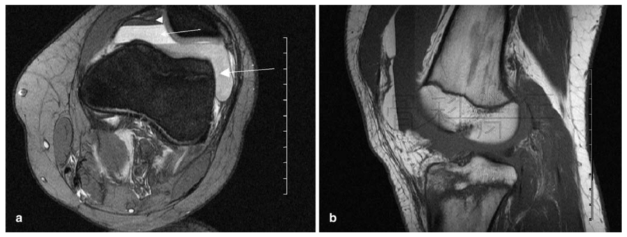
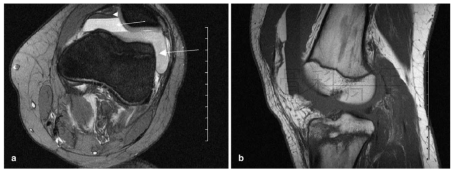
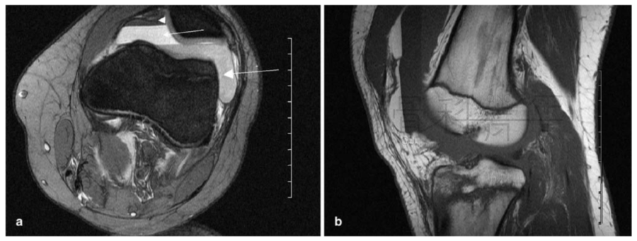
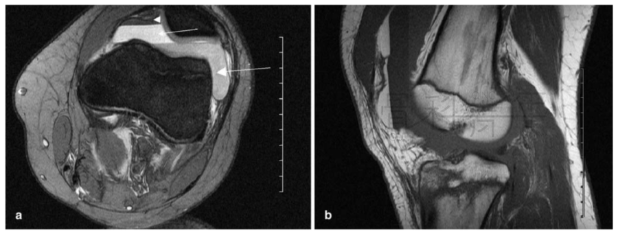
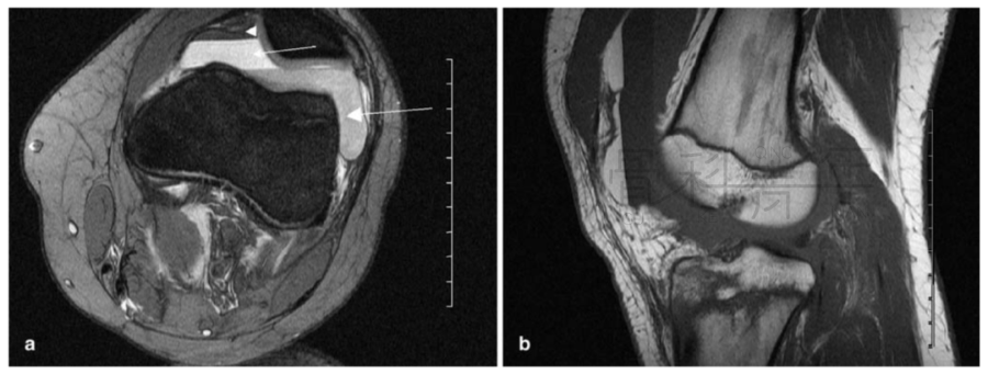
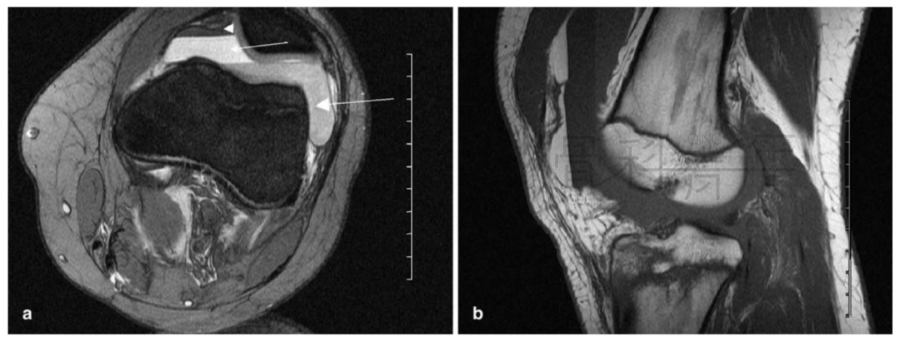
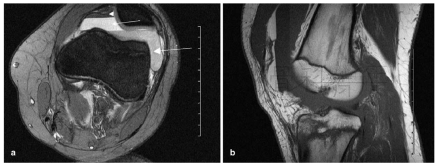
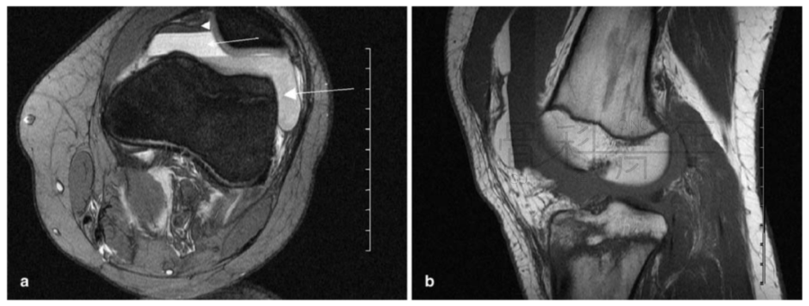
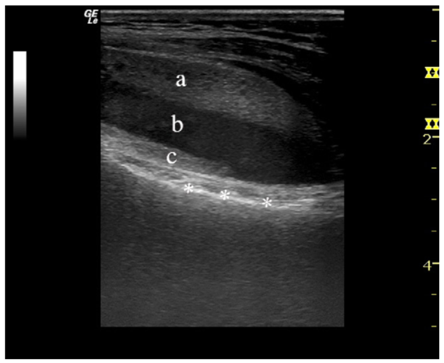
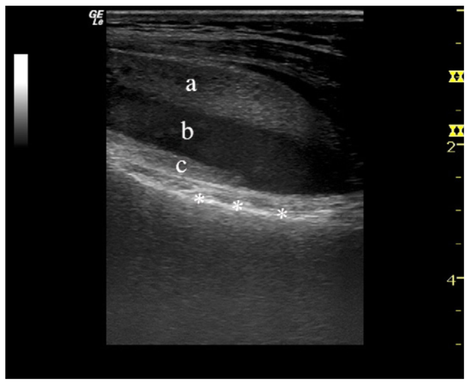
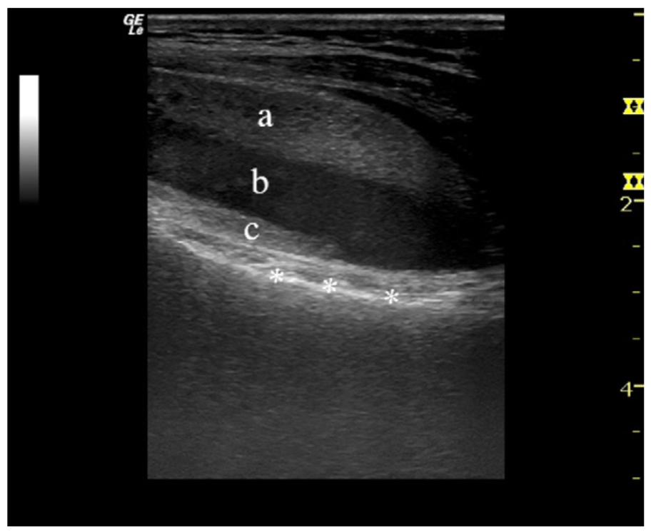
病例2一例左膝外伤患者。在MR横断与矢状位上均可见明显液体分层(见箭头所示)。

病例3一例膝关节外伤患者,在膝关节侧位X线上,积脂血症并不明显。


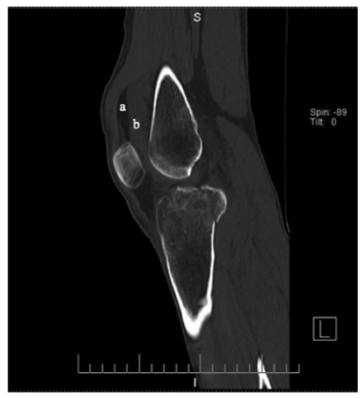
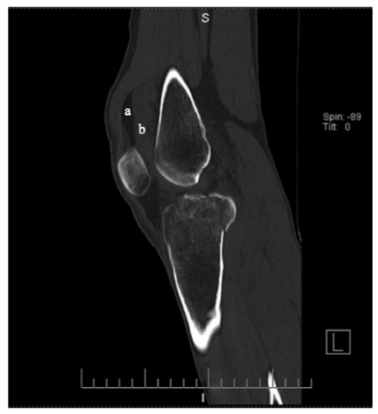
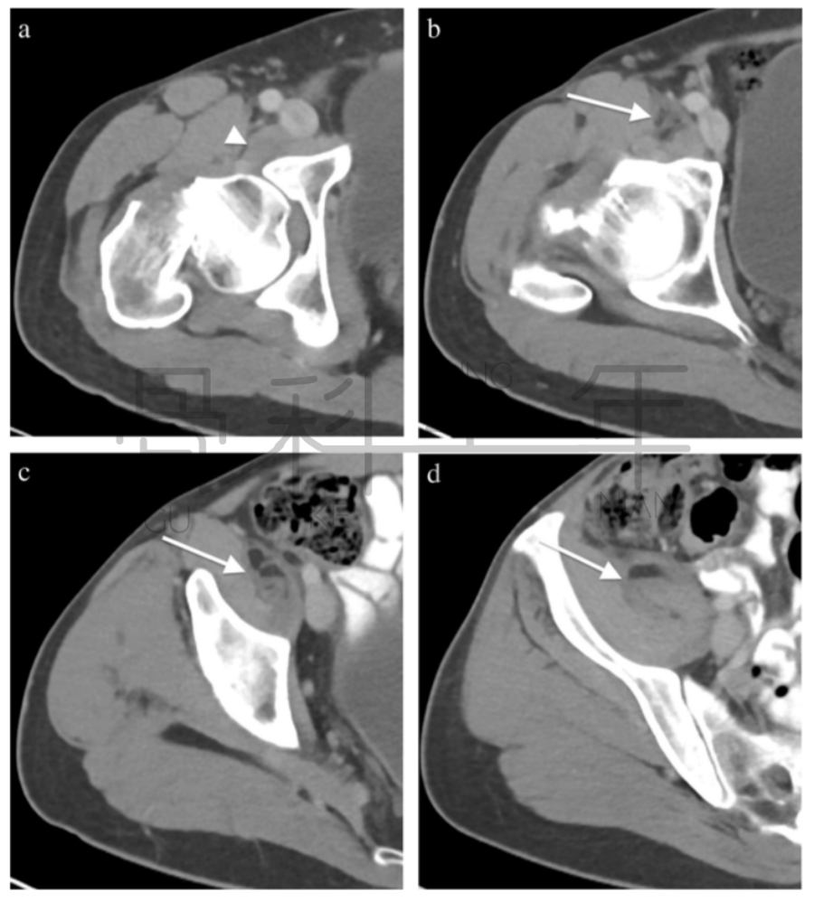
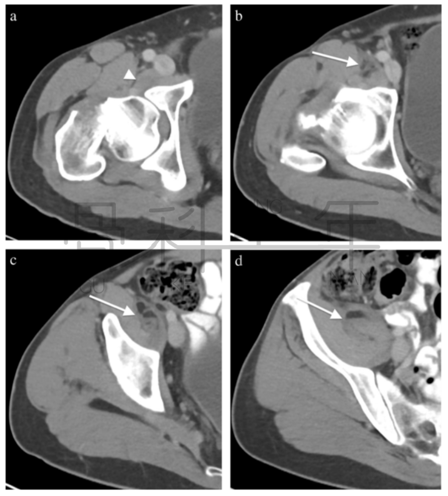
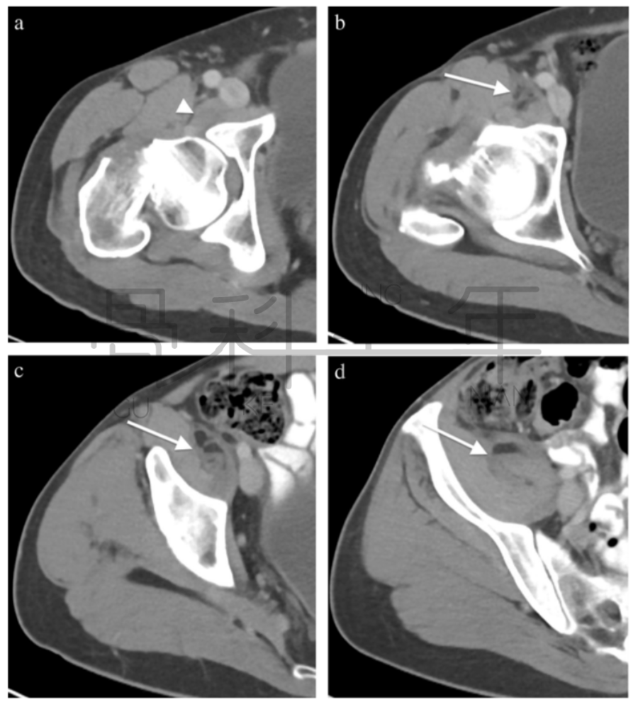
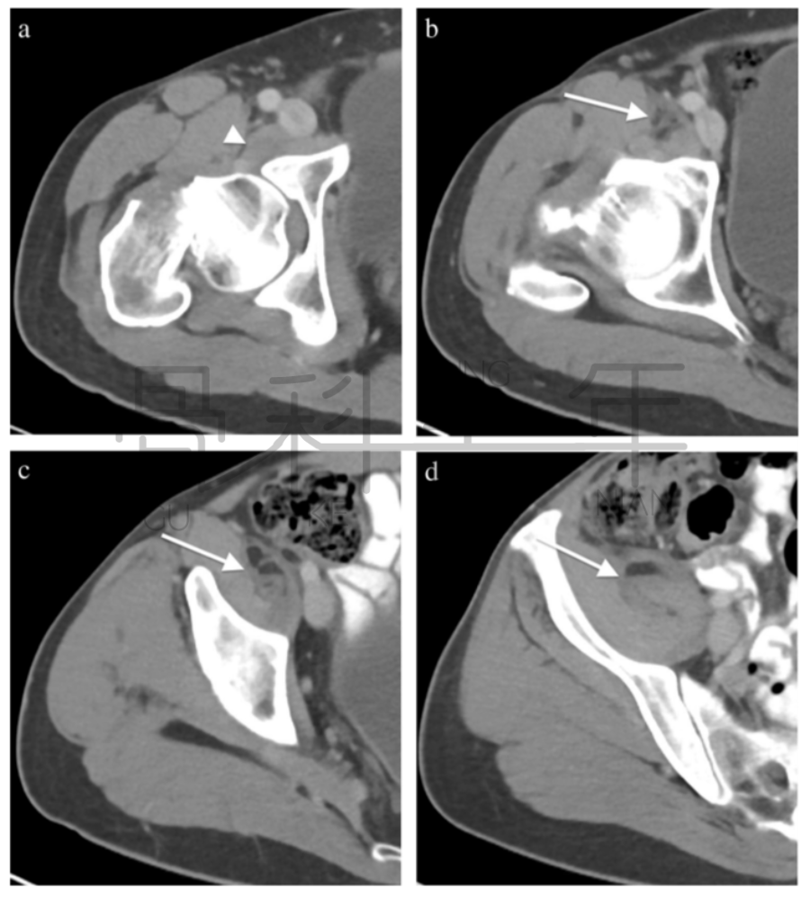
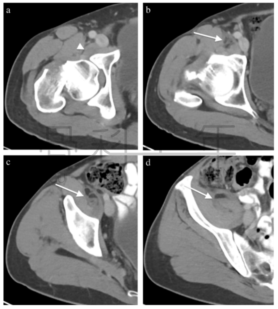
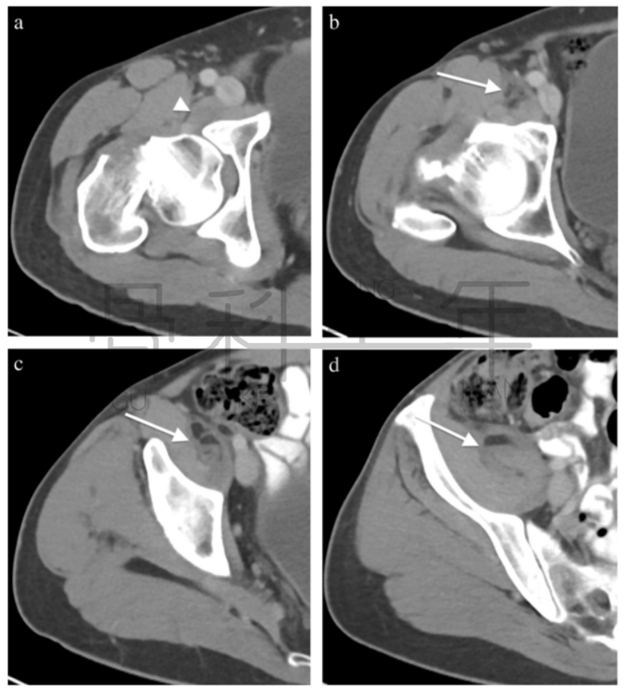
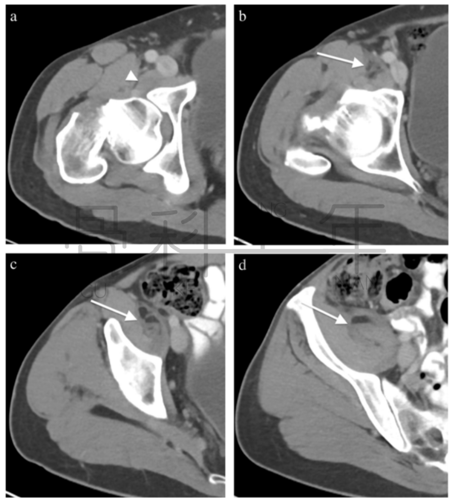
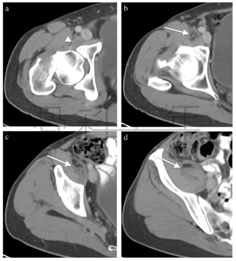
② 髋关节

病例4股骨颈骨折,在CT横断面骨窗上未见明显液体分层(a),在软组织窗(b)可见高密度血肿影(箭头所示,CT值为50HU)。

病例5股骨颈骨折,在CT横断面软组织窗上可见在髂腰肌内出现积脂血症表现。

病例6 一例82岁髋部外伤患者,非移位股骨颈骨折,在CT横断面可见积脂血症,MR证实股骨颈骨折。关节积脂血症在非移位股骨颈骨折的识别中作用明显。
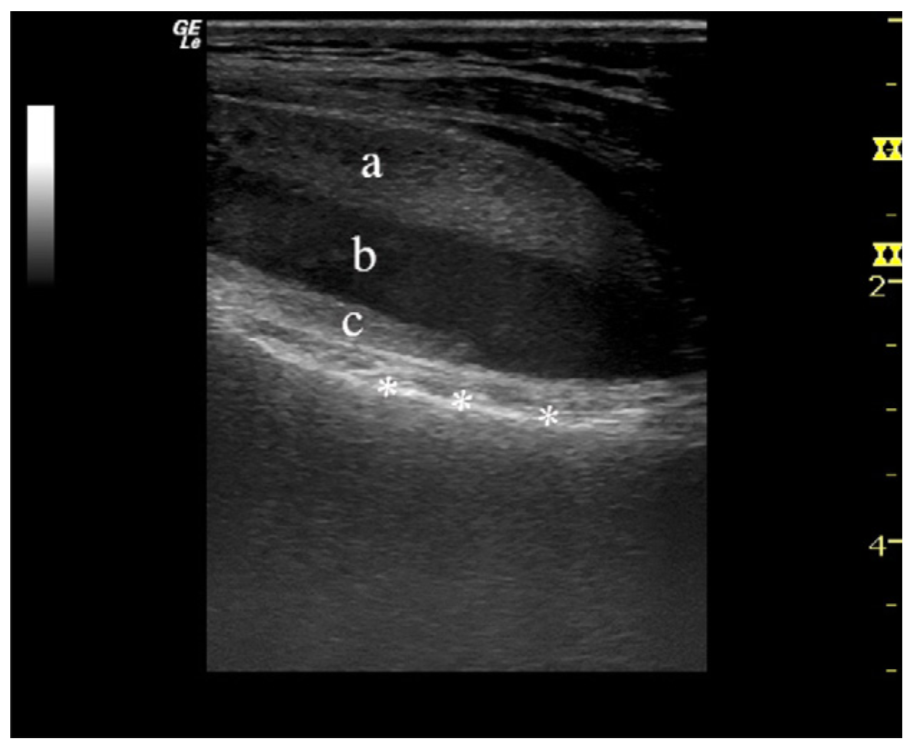
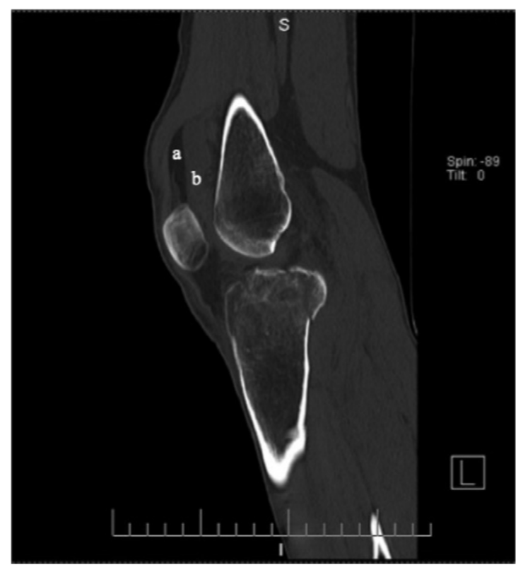
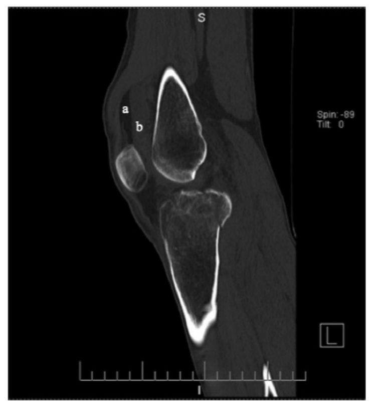
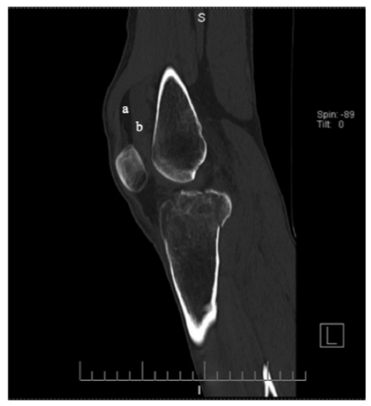
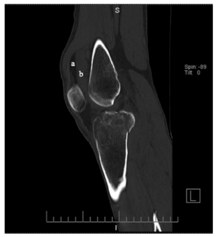
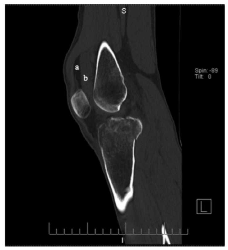
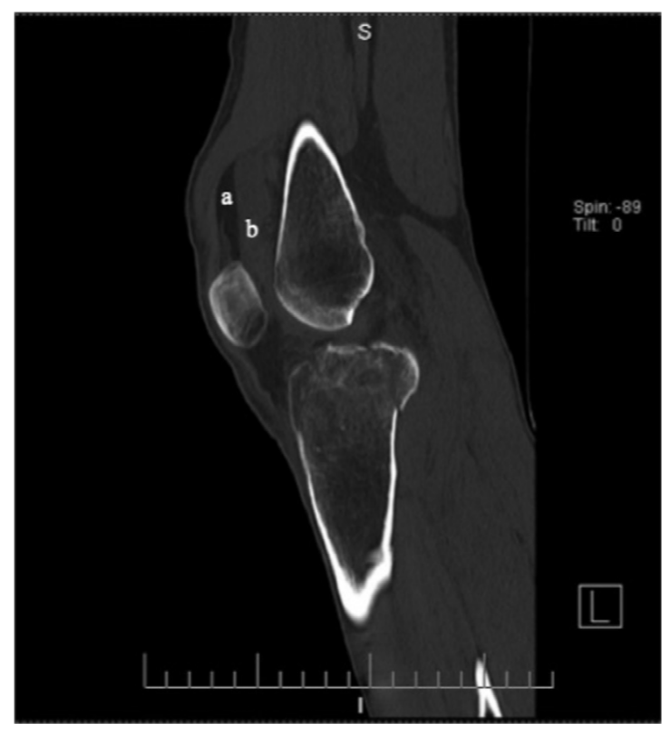
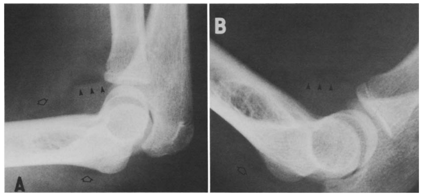
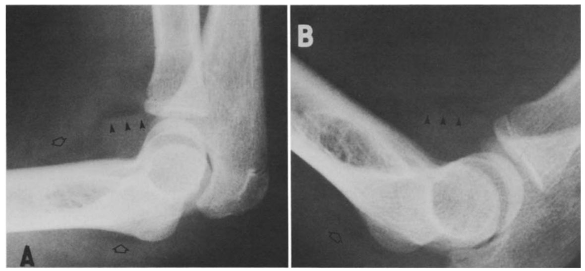
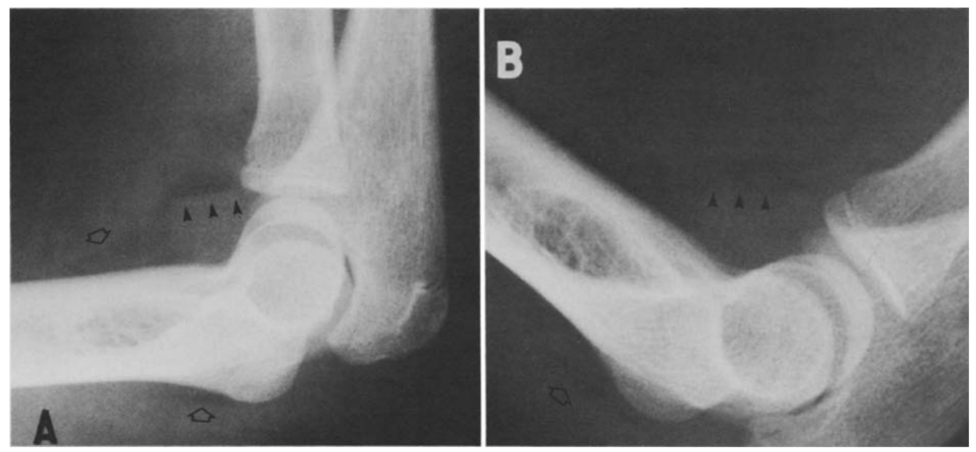
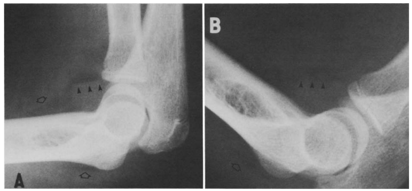
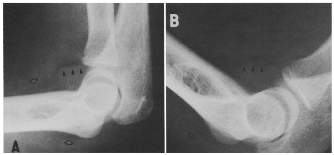
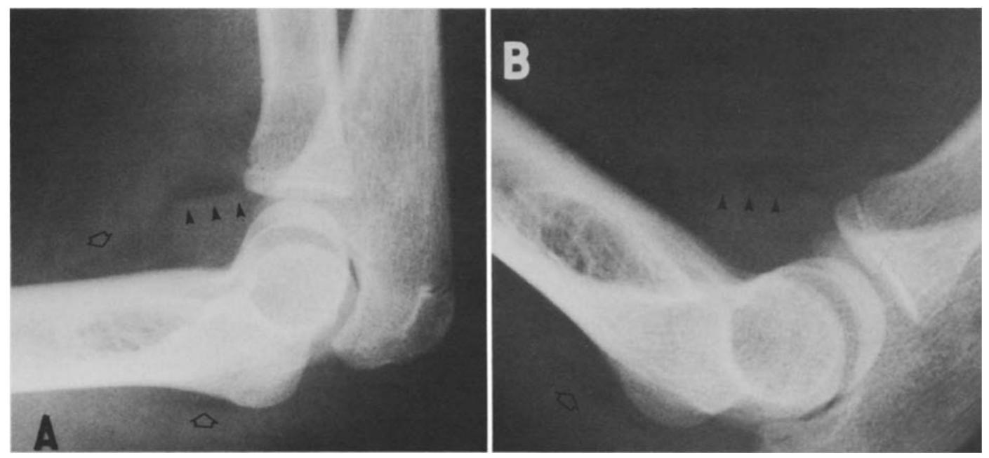
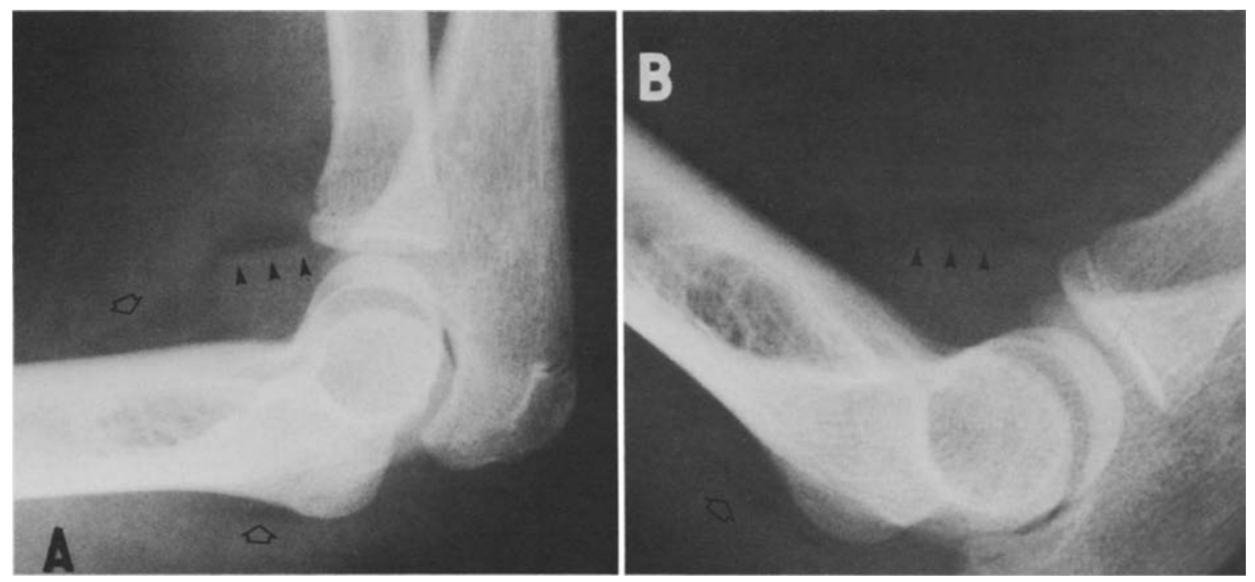
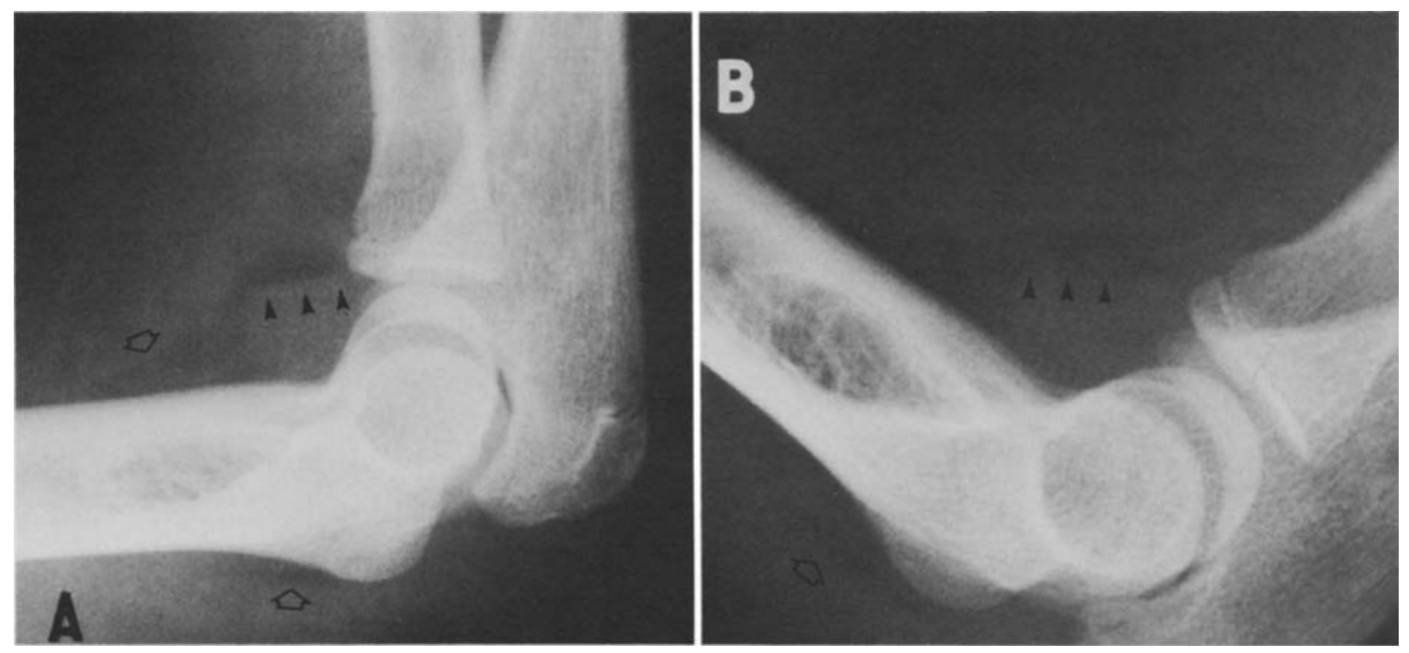
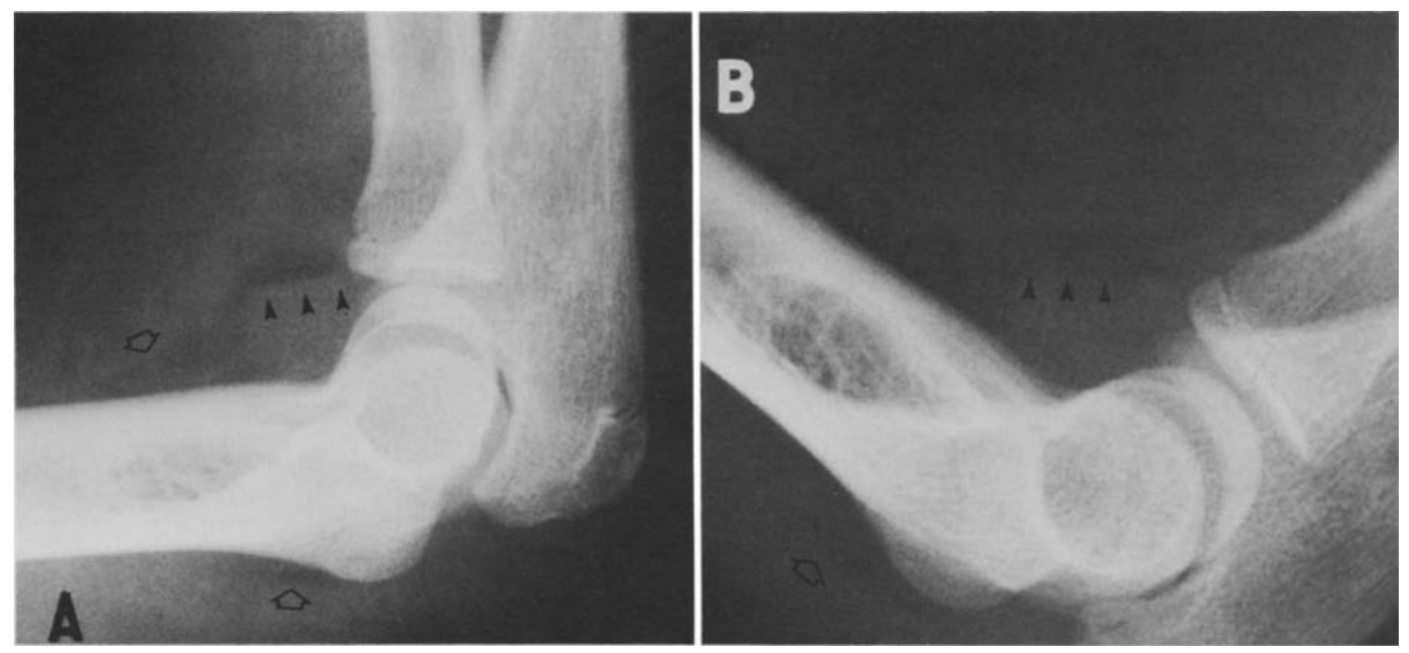
③ 肘关节
肘关节积脂血症与肘关节脂肪垫征原理类似,在肘关节骨折后关节腔内积血将肘关节脂肪垫抬高,高度提示桡骨小头骨折。

病例7 一例10岁患者肘关节外伤,侧位可见明显关节积脂血症。
NO.3总结
创伤性关节积脂血症特异性高,对发现关节内骨折具有良好的提示作用,尤其对于无移位骨折,如发现积脂血症强烈提示骨折。
积脂血症的形成需要完整关节囊,且需要较大的关节腔隙以便形成液体梯度,同时在摄片前需有足够的患肢制动时间,以利于分层。