搜索
学习中心
登录
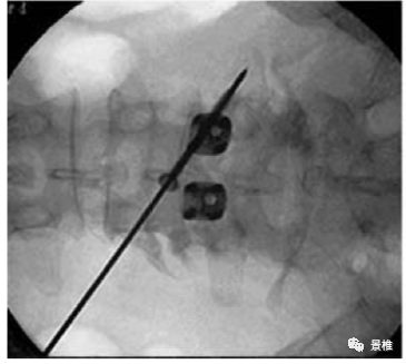
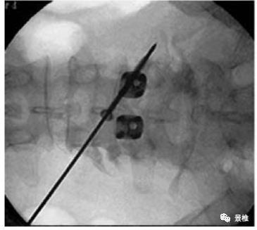
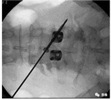
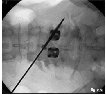
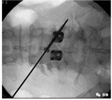
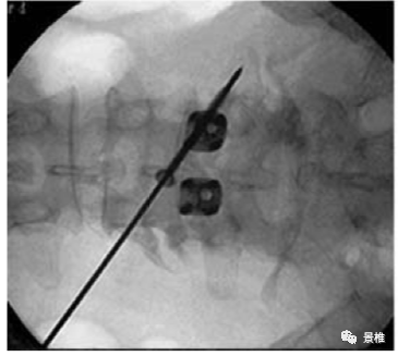
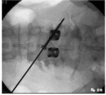
进针点位于棘突根部,指向对侧横突中点与椎弓根外缘交界处。
术中C臂透视正侧位所指向的关键点。
腰椎椎板板障厚度足够,可置入直径4.5mm的螺钉,穿透4层皮质钉住一侧关节突关节。双侧固定生物力学强度足够。