首页/骨科精读/3分钟Get:第五跖骨基底部骨折的技术要点,看这篇就够了!/
3分钟Get:第五跖骨基底部骨折的技术要点,看这篇就够了!
2022-01-11 14:31:084100浏览
跖骨骨折作为足部最常见的损伤之一,其中约有70%会涉及到第五跖骨,而第五跖骨骨折端的病例中约80%发生于基底部。

跖骨骨折作为足部最常见的损伤之一,其中约有70%会涉及到第五跖骨,而第五跖骨骨折端的病例中约80%发生于基底部。


01解剖特点

第五跖骨位于足的最外侧,是外侧纵弓及足横弓的重要组成部分,在足部应力传导、负重缓冲及维持侧方平衡方面起着至关重要的作用。

① 第三腓骨肌腱,止于跖骨干部; ② 腓骨短肌腱,止于跖骨粗隆部;③ 跖腱膜的外侧束止于跖骨尖部。

02受伤机制

其损伤机制主要是前足的内翻和 (或) 暴力内收时的肌腱牵拉,常与踝关节外侧副韧带损伤伴随出现,也常发于外踝尖部撕脱骨折:①、跖腱膜的外侧束所致 - 明显移位的几率小②、腓骨短肌腱引起 - 其移位的几率较大

多数患者患者可能这样描述病史:参加一定运动时,或在完成某个特殊动作后,突发足外侧缘出现急性疼痛。经观察多会在患足外侧缘有肿胀和瘀斑。触诊第五跖骨基底部时引发疼痛。

03第五跖骨近端骨折分型


Torg 等根据影像学检查和愈合潜力将第5跖骨近端骨折分为 3 型:

  • Ⅰ型:骨折线窄且清晰,没有髓内硬化现象(急性骨折或应力性骨折的早期);
  • Ⅱ型:骨折线增宽,骨折线周围有骨吸收且有髓内硬化的迹象(骨折延迟愈合);
  • Ⅲ型:骨折线很宽,骨折处的骨髓腔彻底被硬化骨封闭(骨折不愈合)。


Lawrence 等根据骨折部位把第五跖骨近端骨折分为3区(最常用):

  • Ⅰ区:骨折是跖骨粗隆部撕脱骨折,发生率最高;
  • 区:骨折是干骺端与骨干连接部骨折,又称Jones骨折,因血运原因容易发生不愈合;
  • III区:骨折是跖骨干部的疲劳骨折,多见于运动员

第五跖骨Ⅰ区骨折分型:Ekrol等把第五跖骨Ⅰ区骨折按部位从近而远又分为3个类型:(如图所示)

  • 1型:是粗隆尖部骨折;
  • 2型:是从第五跖骨基底到第五跖骨-骰骨关节面的斜形骨折;
  • 3型:是通到第四跖骨关节面的横行骨折。

04治疗方法

过去,1区、2区骨折可以采取保守治疗,3区有症状的应力性骨折、骨不连应积极手术治疗。

目前,非移位的1区、2区骨折保守治疗效果良好,对于移位的1区、2区骨折(涉及关节面或有台阶出现),手术治疗要优于保守治疗。虽然还存在争议,但大多认为,对于要求较高的患者(如运动员)即使无明显移位也提倡手术治疗。

DeVries 等在10个冷冻尸体标本模拟第五跖骨基底部骨折,他们建议,足底筋膜的外侧束所致的Ⅰ区骨折,或许可以采用外固定和负重等保守治疗。对于由腓骨短肌腱引起II区和Ⅲ区骨折,可能需要进行严格的固定和非负重或切开复位内固定治疗。

Polzer H 等进行的一项循证医学研究。推荐分型:干骺端骨折和干骺端-骨干骨折。

治疗:①干骺端骨折指骨折线不超过第四-五跖骨间关节远端的骨折类型,这种骨折无论其粉碎、移位程度及关节内受损情况,以保守治疗为主;

②而干骺端-骨干部位的骨折则相对复杂,无论骨折线到达第四-五跖骨间关节的远端平面还是仅局限于骨干部位,似乎早期手术固定都更能使患者受益。

保守治疗方法:冷敷、抬高患肢、制动、外固定

外固定方法:

  • 弹力绷带固定
  • 膝下短腿石膏固定
  • 矫形支具固定
  • 穿步行靴固定


其中:①对无移位的第五跖骨基底部1区骨折的治疗可以选择使用步行石膏、空气靴或有保护负重的弹力绷带进行对症治疗,直到不适消退为止;②第2区骨折的非手术治疗包括短腿石膏外固定不负重或部分负重6-8周。过去,1区、2区骨折可以采取保守治疗,3区有症状的应力性骨折、骨不连应积极手术治疗。

需要手术治疗的人群:

  • 延迟愈合与不愈合患者;
  • 骨折移位超过2 mm;
  • 累及第五跖骨远端-骰骨关节面超过30%;
  • 生活活跃或运动员对早期活动期待。

Shereff 指出当跖骨骨折矢状面移位>3~4 mm 及矢状面成角>10°时应手术复位。 

Rammelt 等指出,第 1、5 跖骨的移位性骨折无论发生在水平面还是矢状面,都应手术矫正,避免创伤性拇外翻或第 5 趾内翻引起的足底压力分布变化,因为其畸形愈合的不良影响会妨碍负重和穿鞋。 

手术治疗的目的:恢复长度、关节面平整,纠正移位、成角及旋转畸形,达到解剖复位。

未及时手术治疗的后果:若不及时手术治疗,会造成严重的后遗症,如骨折延迟愈合或不愈合(顽固性疼痛)、畸形愈合(第 5 跖骨内翻)、足底压力分布异常(跖痛症)以及严重的创伤性关节炎等,从而严重影响患者的生活质量

第二种手术治疗方法有:内固定伴植骨,空心钉、张力带、钩钢板等。

1)传统内固定方式:

  • 克氏针及张力带固定
  • 空心螺钉固定
  • 空心螺钉髓内固定
  • 微型锁定接骨板固定
  • 骑缝钉固定 

2)新型内固定方式:

  • 实心螺钉髓内固定
  • 可吸收螺钉固定
  • 微型钩钢板固定 

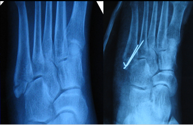
克氏针固定传统的固定方式,单纯克氏针固定操作简单,但无断端加压且固定不牢靠。

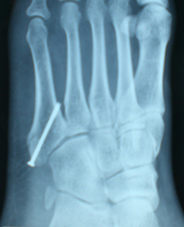
经皮空心钉固定适合于骨折块较大,移位较少,骨质好的患者。具有微创损伤小、不干扰局部的血运、固定牢靠、恢复快等优点。

操作要点:操作要在透视监视下进行,且导针一定要从尖端打入,且在第四、五跖骨间连接以远穿出对侧骨皮质,这样生物力学强度最佳。

微型锁定钢板螺钉固定固定坚强,术后可以佩戴前足减压支具早期活动 ,适用于骨块较大,要求较高的患者。弊端是费用较高,需二次取出。

操作要点:板钉直径以2.0 mm为宜,远近端至少保证2枚螺钉。

骑缝钉固定固定强度可靠,且操作方便,有效避免了螺钉操作时骨折块爆裂的风险,其弊端有:

  • 没有骨块间加压作用,适合小骨块;
  • 不锈钢材质需二期取出。

操作要点:先以克氏针临时固定后再行骑缝钉固定,根据情况采用1-2枚,避免针穿入关节面。

实心螺钉髓内固定——新的选择避免空心螺钉固定本身的不足:插入导针断裂、反复插入导针削弱皮质骨和松质骨、空心螺钉固定强度不足。

可吸收钉固定适合骨质好、骨块较大的患者,无明显应力遮挡、避免二次手术是其优势,但其固定强度较金属螺钉差,骨质疏松患者应尽量避免使用以免螺钉松动或脱出。

操作要点:直径以2.7 mm螺钉为宜,钉头要做埋头处理以免刺激皮肤,且在第四、五跖骨间连接以远穿出对侧骨皮质,这样生物力学强度最佳。

微型钩钢板固定——一种新的有效手术方法适用于第五跖骨基底部I区和II区骨折(移位﹥2毫米)或者伴有小的粉碎型撕脱骨折块。

第五跖骨基底骨折应用钩钢板固定法治疗更为牢固可靠,且应力性能好;对于粉碎骨折、移位较明显的骨折,钩钢板法尤其具有明显优势,钩钢板的尖头钩可牢固抓持粉碎骨块,实现可靠复位,能更有效缩短患者住院时间、促进骨折愈合、恢复患足功能、促进早期功能锻炼,疗效显著且安全性高,是治疗第五跖骨基底骨折的一种安全有效的方案。

设计:微型管状的钩板的最后一个孔被设计成可充当用于压缩作用的钩,抓粉碎骨折块,防止移位,并且在基底部可以控制旋转稳定。

05术中内固定失败原因

拧钉暴力大,螺钉直径较大,骨折快较小、薄,以及骨质疏松①螺钉拧入后后骨块爆裂;②螺钉松动,固定不牢。

补救措施:

  • 结合张力带钢丝
  • 结合缝线固定
  • 辅以克氏针固定
  • 改行微型锁定钢板螺钉
  • 改行骑缝钉固定

06骨折术后处理

1、螺钉固定术后一般需石膏或支具制动6周,根据复查X片情况决定何时下地;2、6-8周内,患者可活动关节并小心地进行力量锻炼,6-8周后复查X线,表现为骨折已愈合后方可去除保护靴及负重;3、锁定钢板固定,如术中觉固定坚强,术后不需制动,可以佩戴支具早期下地。4、前后位、侧位及斜位X线均表现为完全愈合后,可进行各种活动及竞技运动,恢复竞技运动时,应使用功能性护具进行防护。 

并发症:

  • 再骨折和骨折不愈合多因为使用了较细的螺钉,生物力学证明,直径小于4.5mm的螺钉比粗螺钉更脆弱;
  • 使用最大直径的螺钉,并且所有螺纹都穿过骨折线,这种方式固定可以达到最佳的生物力学效果;
  • 再骨折和骨折不愈合的常见原因包括患者过早负重,也见于专业运动员在骨折愈合前恢复进行竞技运动。 

07骨折不愈合

1.骨折不愈合的原因

  • 重视不足,尤其是Jones 骨折;
  • 石膏、矫形支具、弹力绷带等外固定方法固定不牢;
  • 由于解剖特点,近端血运较差,同时基底部是多种肌腱、韧带的附着点,容易再移位,导致骨折的延迟愈合和不愈合。

2.骨折不愈合的处理如骨折超过2个月,因断端分离及骨吸收而出现不愈合,因其骨质发生废用性疏松及断端骨缺损的因素,应使用锁定接骨板螺钉以达到坚强固定的目的,同时应根据情况进行断端植骨以促进骨折愈合。

友情链接: