首页/骨科精读/掌指骨骨折的髓内加压螺钉固定(IMCS),核心技巧一文掌握!/
掌指骨骨折的髓内加压螺钉固定(IMCS),核心技巧一文掌握!
2022-02-08 17:32:212261浏览
掌骨、指骨骨折的治疗方法众多,国外学者采用无头加压螺钉固定关节外不稳定的掌指骨骨折,取得了良好效果。该手术方案不影响关节活动,微创置入,利于早期功能锻炼,有效降低了并发症的发生。

掌骨、指骨骨折的治疗方法众多,包括经皮克氏针、钢板、拉力螺钉等,各种固定方式各有优劣,尚无金标准。上述各方案术后并发症如关节僵硬、屈曲挛缩和肌腱激惹等发生率仍较高,甚至需要二期手术治疗。

针对上述问题,国外学者采用无头加压螺钉固定关节外不稳定的掌指骨骨折,取得了良好效果。该手术方案不影响关节活动,微创置入,利于早期功能锻炼,有效降低了并发症的发生。


01

掌骨

1.逆行髓内螺钉技术

该技术的指征为掌骨干的横向骨折,也适用于非粉碎的头下骨折和短斜形骨折。注意:在术前应测量好所用螺钉的长度和直径。手术方法:1.闭合复位。掌指关节 (MCP) 屈曲 90°,在 MCP 关节上作一长约 3.0 mm的纵向切口;2.在透视下沿掌骨轴线插入导丝。进导丝位置位于掌骨头背侧,以利于螺钉置入;3.置入无头空心加压螺钉,通常直径为3.0mm。有学者建议将螺钉置入达掌骨峡部以确保牢固固定。为了最大程度地减少软骨损伤,建议即使对于峡部可以用 5.0mm螺钉的第五掌骨,也使用 3.0 mm螺钉。在这种情况下,骨折保持相对稳定、可间接愈合。注意:螺纹应完全跨过骨折处(图1)

图1 髓内螺钉固定掌骨横行骨折。

2.“Y”型支撑技术横行骨折采用单枚螺钉可以取得良好效果,但对于粉碎性骨折,采用单枚加压螺钉可能会破坏结构的稳定性,因此有学者提出了“Y”型支撑(注:使用2颗螺钉(3.0 mm和 2.2 mm)构建三角形结构,以支撑骨骼并防止结构塌陷的技术方法(图2)。

图2 “Y” 型支撑技术治疗多节段、粉碎的掌骨骨折。02

近端指骨骨折

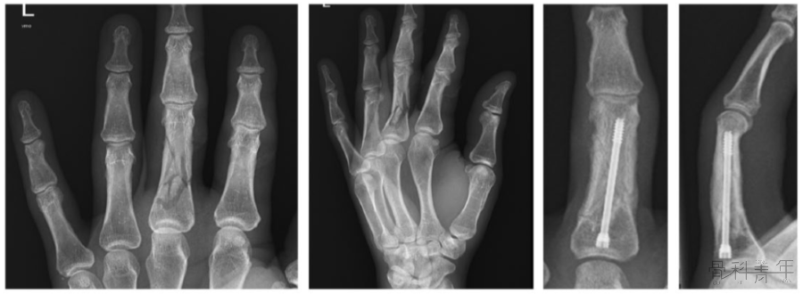
1.经关节内技术手术方法:在 MCP 关节上作一 3.0mm的切口。MCP关节屈曲70°,在透视下自 MCP 关节背侧插入一根导丝。为方便导线的插入,将近节指骨的基部推向背侧、形成背侧半脱位。由于关节囊和副韧带的收紧,MCP关节的90°屈曲位可以防止近节指骨的背侧移位。然后将线沿其纵轴推进到近节指骨的基部。然后插入 3.0 mm 或 2.2 mm 无头加压螺钉(图 3)。在 MCP 关节半脱位困难的情况下,导丝也可以在不侵犯关节的情况下,在近节指骨基底部斜行插入。

图3 近节指骨的顺行无头加压螺钉(IMCS)固定。2.顺行经关节技术当近节指骨无法实现足够的背侧半脱位导丝位置不理想时,建议采用经关节技术。在MCP上作一长3.0mm的切口,屈曲 90°。导丝插入掌骨头的背侧。然后将导丝通过掌骨推进到近节指骨的远端(图 4)。

图4 近节指骨顺行髓内无头加压螺钉 (IMCS) 固定的经关节技术(通过掌骨头)。该技术的缺点在于会损伤掌骨头的软骨和近节指骨的基底部

图5 经关节内与顺行经关节固定模式图。3.逆行经关节内技术除顺行置入螺钉外,也可通过近指间关节逆行置入IMCS。在屈曲 90° 的近端指间 (PIP) 关节上做一个 3.0 mm的切口。然后将导丝沿其纵轴推进到近节指骨的基底部(图 6)。该技术操作较为简单,但同样存在损伤指骨远端关节面软骨风险,同时容易损伤伸肌腱

图6 近节指骨的逆行IMCS 固定。4.双顺行经关节内技术与掌骨类似,粉碎的指骨骨折采用单一加压螺钉固定同样有固定不牢靠风险。对这一类骨折,类比掌骨骨折的“Y” 型支撑技术,可采用双顺行IMCS固定(图 7) 。手术方法:在 MCP 关节上做一个横向切口,然后屈曲 70°。将指骨的近端向背侧半脱位,以便在透视下插入第一根导丝。然后可以在与指骨的长轴倾斜的方向上插入第1根导丝。最后,将第二颗螺钉置于更倾斜的方向,且螺钉长度需更短。我们通常使用2枚2.2 mm无头加压螺钉。

图7 双顺行经关节内固定近节指骨骨折。


对于粉碎的近节指骨骨折,如加压过度可能导致短缩,也可采用单枚螺钉固定。

图8 近节指骨粉碎骨折的单枚螺钉固定。

03

中节指骨骨折

1.顺行关节外技术在中节指骨横形骨折的情况下,PIP 关节难以半脱位。因此,我们建议从中节指骨基底部的尺侧方向斜向插入导丝。随后,插入2.2mm螺钉。

图9 中节指骨骨折的螺钉固定。2.顺行经关节内技术当导丝不能很好地置入时,需要使用经关节内技术。PIP 关节应屈曲至 90°,以避免在螺钉置入过程中造成近节指骨头部骨折的风险。然后将导丝置入近节指骨头部的背面,临时固定 PIP 关节。然后插入2.2 mm螺钉。

3.逆行经关节内技术使用逆行技术将2.2mm无头加压螺钉通过远端指间 (DIP) 关节插入(图 10)。在插入过程中,应注意伸肌腱损伤。此外,由于中指骨 DIP 关节的表面较小,与顺行和经关节技术相比,这种技术可能会导致更大比例的损伤

图10 中节指骨逆行固定。IMCS 的使用甚至可以扩展到特定的指骨关节外多段骨折病例。螺钉应尽可能长,以免过度压迫骨折部位。建议采用经关节技术以更好地将螺钉置于指骨基部的中心(图 11)。强烈建议使用石蜡胶带保护,以控制术后手指上的旋转力。

图11 中节指骨多节段骨折的髓内固定。螺杆应尽可能长以避免压缩。

04

总结

尽管加压螺钉固定避免了其余外固定肌腱激惹、关节僵硬等问题,但置钉过程中关节软骨面的损伤仍不可忽视,且对不稳定骨折,采用加压螺钉固定可能加重骨折移位及短缩风险,在适当情况下,克氏针固定可能仍是一种良好的固定方式。

  • IMCS 技术是经皮克氏针和钢板固定的可靠替代方法,并发症最少。
  • 掌骨干的横向骨折是该技术的良好指征,也适用于非粉碎性头下骨折和短斜骨折。
  • 该技术不应用于骨骺开放、感染,尤其是软骨下骨折,因为没有螺钉头。
  • 对于掌骨粉碎性头下骨折,建议使用双螺钉结构以避免掌骨缩短。IMCS 甚至可以应用于指骨近1/3的关节周围骨折和近端/中指骨骨折的多段骨折
  • 通常不取出髓内螺钉。螺钉取出的主要适应症是新发骨折后的关节突出、感染和螺钉断裂。

友情链接: