首页/骨科精读/Kummell病的治疗策略与挑战,一文掌握!/
Kummell病的治疗策略与挑战,一文掌握!
2022-03-01 18:00:415732浏览
Kummell病是指在无明确的暴力外伤下的情况下,逐渐出现进行性腰背疼痛和后凸畸形的疾病,患者以老年人多见,常伴骨质疏松。

1895年德国外科医生Hermann Kümmell 首先报道了6 例迟发性椎体压缩性骨折病例。患者多为中老年人,主要特征为轻微外伤致脊椎疼痛,经几周至几个月无症状期后,无外伤史,同一部位再次出现疼痛,症状加重,并逐渐进展为脊柱后凸畸形。

1911年, Schulz报道了22例病例,并将其命名为Kummell病。

01Kummell 病:一种特殊的压缩骨折

Kummell病概念

Kummell病是指在无明确的暴力外伤下的情况下,逐渐出现进行性腰背疼痛和后凸畸形的疾病,患者以老年人多见,常伴骨质疏松。影像学提示椎体塌陷或者出现椎体裂隙征,排除新鲜骨折、肿瘤、感染等明确病因后,都可以认为是Kummell病。

国内有时也称为骨松骨折不愈合。

发病机制

  • 缺血性坏死学说(avascular necrosis)
  • 生物力学改变学说( changes of bone biomechanics )
  • 假关节形成学说(formation of vertebral peudarthrosis )

诊断标准

目前尚无明确诊断标准。可根据病史、临床表现、影像学检查进行诊断。

无或有轻微外伤史,骨质疏松病史,糖皮质激素使用史,进行性加重腰背痛,进行性后凸畸形,影像学真空裂隙征,排除肿瘤、感染等疾病,可作出诊断。

临床分期

Stage I:X光椎体完好或轻度压缩,MRI显示骨坏死征象椎体高度减少<20%,没有邻近的椎间盘退行性病变。

Stage II:椎体塌陷伴动态活动, 椎体后壁完整。椎体高度减少>20%,通常有邻近的椎间盘退行。

Stage III:椎体后壁塌陷,脊髓或神经根压迫症状。

02治疗方案,阶梯式选择

治疗方法

stages  I:PVP和PKP

stages  II:PVP和PKP或结合经皮内固定

stage III:减压内固定 前路手术或后路或前后联合

术后药物治疗

术后进行药物干预目的主要有5点:缓解疼痛、抑制急性骨丢失、提高骨量、改善骨质量、降低再骨折发生率。

常见的术后药物包括3种:钙剂、活性维生素D、抗骨质疏松药物。

033个经典病例,各个击破

典型病例1

患者李XX,女,75岁,主因“腰背部疼痛半年,加重一周”入院。查体:被动卧位,下肢肌力感觉无异常。腰背叩痛明显。

术前X片

术前MRI

诊断:骨质疏松病理性骨折, Kummell病I期,2型糖尿病。

术后

术后疼痛稍有改善,下床活动后疼痛加重,卧床休息后稍改善。

术后2周MRI

术前    

术后2周

典型病例2

患者杨XX,男,78岁,主因“背部疼痛2个半月”入院。

查体:被动卧位,下肢肌力感觉无异常。腰背叩痛明显。

术前检查:2月前腰椎CT,无明显骨折征象。

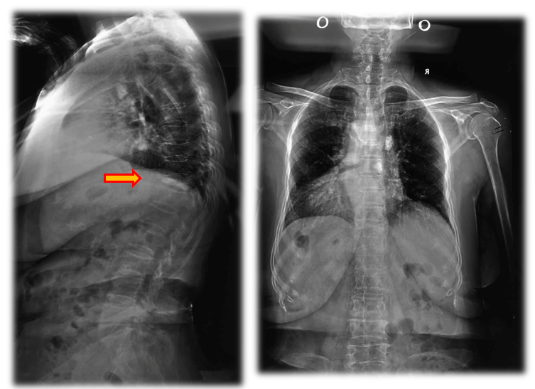
术前X线

 术前检查

俯卧过伸位片

骨密度

术前检查

术前诊断:骨质疏松症,Kummell病。

手术治疗

术后影像学

术后刀口

术后用药:钙,骨化三醇,固力康。

遵医嘱每天晒太阳1小时,喝牛奶500毫升。

术后检查

典型病例3

患者杨XX,女,68岁,主因“腰部疼痛6月,加重伴双下肢无力3月”入院。

胸腰椎后凸畸形,胸腰段棘突压痛叩击痛,双下肢无明显放射痛。双下肢屈髋肌力5级,屈伸膝肌力4级,踝跖屈背伸肌力4级,踇屈背伸肌力4级。

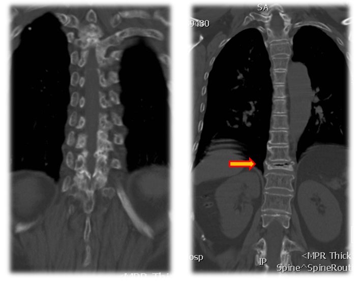
术前CT

术前MRI

术前骨密度

术前骨代谢标记物

术前诊断:1.胸腰椎后凸畸形,2.重度骨质疏松症,3.Kummell病II期,4.胸椎椎管狭窄,5.黄韧带骨化症,6.高血压病。

手术治疗:T10-T12棘突椎板切除;T11 截骨后凸矫形;T9-L1椎弓根固定,均为骨水泥螺钉,安放横联两根;T10/11及各椎板后方大量植异体骨及自体骨。

术中透视

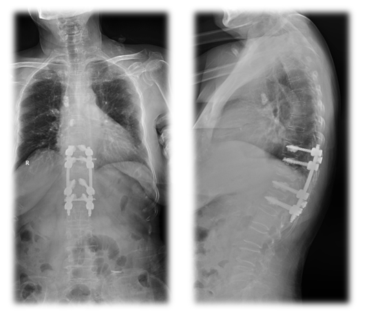
术后X线

 术前后侧位

术后CT

出院医嘱:

1.出院后加强营养,注意刀口清洁继。口服罗盖全及注射特立帕肽抗骨质疏松治疗。每2-3天于当地医院行刀口换药,术后15天复查血常规、血沉及C反应蛋白。

2.可佩戴支具适当下地活动,3个月内多卧床休息,床上注意活动双下肢,加强腰背肌训练。

3.术后3个月及半年反院拍片复查,骨科不适随诊。

术后3月X光

•      术后3月CT

术后3月骨密度

 术后3月骨代谢标记物

骨代谢标记物对比

04小结

1.严重骨松病人发生骨折时常常没有外伤。应仔细查体,避免漏诊误诊。2.kummell病手术治疗选择不仅根据分期,还要考虑病人一般情况和对手术的接受程度。3.抗骨松药物应用应该受到更多的重视。

友情链接: