首页/骨科精读/66张高清图,轻松牢记半月板撕裂的临床表现/
66张高清图,轻松牢记半月板撕裂的临床表现
2022-03-02 18:29:012097浏览
临床工作中,半月板撕裂的患者很多,而MRI是诊断半月板撕裂的重要手段,但很多骨科医生对半月板的MRI阅片还不够熟悉,总感觉似是而非,难以肯定。

临床工作中,半月板撕裂的患者很多,而MRI是诊断半月板撕裂的重要手段,但很多骨科医生对半月板的MRI阅片还不够熟悉,总感觉似是而非,难以肯定。


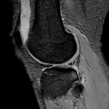
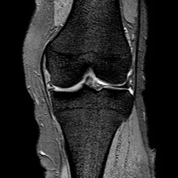
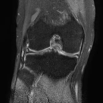
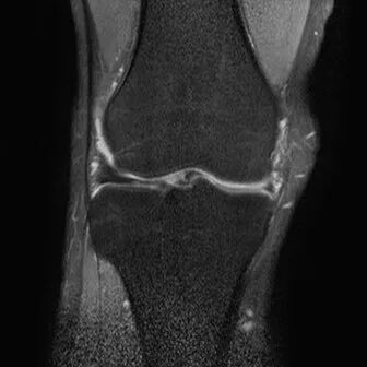
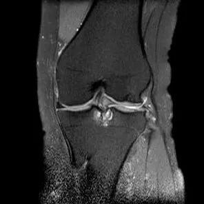
半月板的解剖

1、内、外侧半月板位于胫骨和股骨之间,其上面微凹,与股骨内、外髁相适应,而其下面平坦,与胫骨平台相连接

2、内侧半月板为一环型软骨,后角比前角宽3、外侧半月板为一2/3环形软骨(其C形开口较内侧半月板为小),其前角、体部、后角的宽度相近

4、由纤维软骨组成,切面呈三角形。5、其外1/3(关节囊缘)有来自关节囊的血供(红区),内2/3无血供,其营养主要来自关节滑液。6、纤维走向分纵向和横向。

半月板的主要功能

1、帮助负荷的分散,重力的吸收,本体感受,润滑,稳定。有40%-70%的负荷作用于半月板,其余作用于相互接触的关节面软骨。2、在膝关节运动过程中,半月板随着胫骨和股骨运动,增加了接触面并有效地分配作用于膝关节的力量,对于保持关节的完整性十分重要。3、内侧半月板的活动度要小于外侧半月板。4、由于内侧半月板较紧密地附着在内侧副韧带上,其承受的负荷也较外侧半月板大。5、内侧半月板更容易受大损伤。6、半月板和韧带撕裂一般都有明确的外伤史。

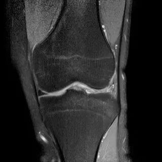
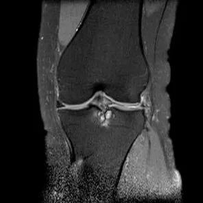
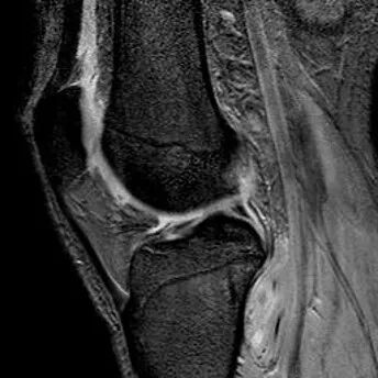
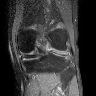
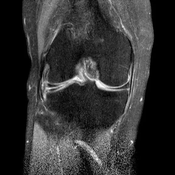
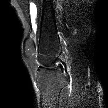
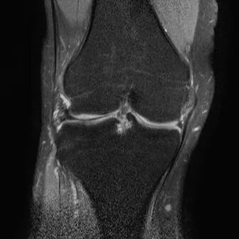
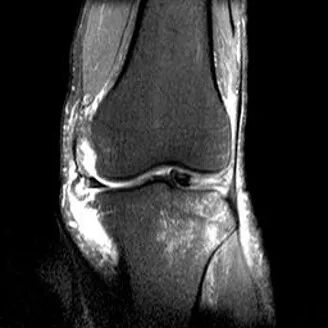
半月板撕裂定义与显示

1、半月板显示:以T2-WI加脂肪抑制为最好.2、半月板病变:最常见损伤是撕裂伤3、病因:慢性退变性撕裂和急性外伤性撕裂4、诊断方法:当半月板内出现线样高信号到达其游离缘或关节面时,即可诊断半月板撕裂5、病变信号变化:T1WI为线样稍高信号,T2(FS)或T2*WI信号更高6、半月板球形及线行高信号影未达关节面,为其慢性损伤或退行性改变(变性)7、MR诊断半月板撕裂的准确度达90-97%,特异性为94%,假阳性高于假阴性,主要是将膝横韧带与外侧半月板相邻的国肌腱鞘等误认为半月板撕裂.

慢性退行性半月板撕裂

1、与老龄化和反复慢性损伤有关2、组织学表现为粘液样变性3、纤维软骨分离断裂4、延伸到关节面时即形成半月板撕裂

慢性退变性撕裂

1、慢性退变性撕裂顺序1)内侧半月板的后角和体部、2)外侧半月板的前角、体部和后角、3)内侧半月板的前角。好发部位:内侧半月板后角的下关节面比其他部位更容易发生退变和退变性撕裂

2、急性外伤性半月板撕裂1)为运动损伤所致,多见于青年人2)其损伤机理与关节突然旋转和屈伸运动密切相关

3、半月板撕裂分类1、斜行撕裂2、水平撕裂3、纵行撕裂4、放射状撕裂5、桶柄状撕裂

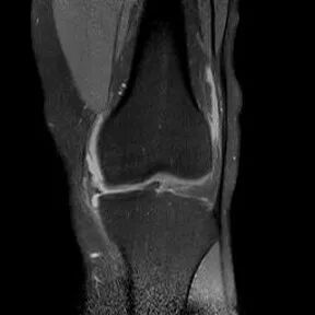
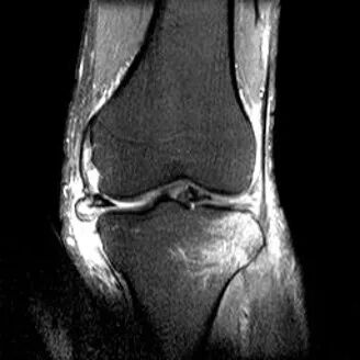
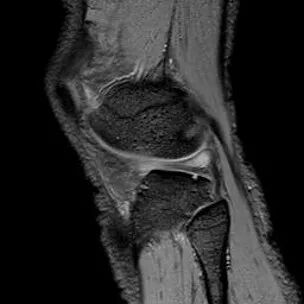
半月板斜行撕裂

最常见类型:斜行撕裂表现为:在矢状面上见III级高信号到达半月板关节面的上缘或下缘

半月板斜行撕裂

半月板水平撕裂

1、水平撕裂

2、较少见3、III级高信号与胫骨平台平行,到达半月板的游离缘或一侧关节面

(半月板水平撕裂)

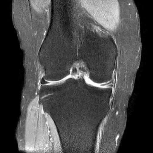
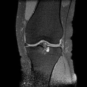
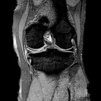
半月板纵行撕裂

1、纵行撕裂2、撕裂方向和半月板长轴方向平行3、垂直或斜行的III级高信号

(半月板纵行撕裂)

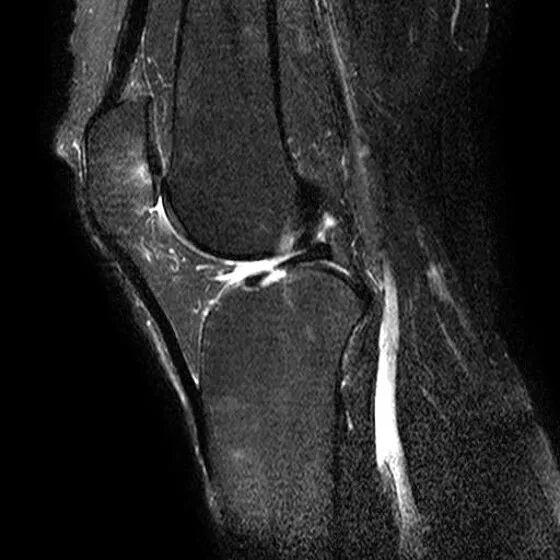
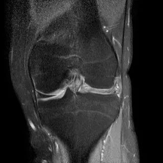
半月板放射状撕裂

1、半月板体部的撕裂在矢状面上表现为蝶形的半月板内出现与长轴垂直的线状高信号2、前后角的放射状撕裂因与矢状面平行而表现为III级高信号3、好发于半月板的内侧1/34、外侧半月板多见

半月板放射状撕裂

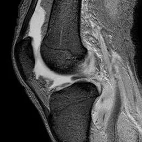
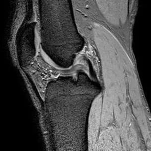
半月板桶柄状撕裂

1、多为纵形撕裂的特殊形式,有时来源于垂直(纵行)和水平撕裂2、多见于严重外伤的年轻患者3、内侧半月板发生率是外侧半月板的3倍

半月板撕裂

桶柄状撕裂MRI表现

1、宽度减小,在通过半月板体部的冠状面上蝶形消失,同时可见内移的半月板位于髁间窝、交叉韧带旁2、矢状面示残余的前角或后角变小或截断3、半月板前(后)角增宽或双半月板前(后)角征4、双前交叉韧带或双后交叉韧带征

桶柄状撕裂:宽度减小,在通过半月板体部的冠状面上蝶形消失,同时可见内移的半月板位于髁间窝、交叉韧带旁

桶柄状撕裂:半月板后角增宽

半月板撕裂:桶柄状撕裂(双前角征)

桶柄状撕裂(双后交叉韧带征)

桶柄状撕裂:双前交叉韧带征

友情链接: