首页/骨科精读/髋关节的X线解剖及应用技巧,最全总结!/
髋关节的X线解剖及应用技巧,最全总结!
2022-03-17 18:53:207636浏览
目前,一张标准的X片图像仍然能为我们的临床诊断与决策提供重要的依据。为了全面评估髋部疼痛患者的病情,X线片图像仍然是有效手段。

01

髋骨的X线解剖


常规投照正位(图1)。在X线像上,构成髋骨的三个部分融合于髋臼,可清晰分辨。髂骨翼的内侧1/4影像与骶骨影像重叠,外侧3/4因有髂窝而较透亮。髂嵴阴影较致密,边缘不光滑,外侧可见髂前上棘影,髂后上棘则重叠于骶骨影内。

弓状线及骨盆腔内侧壁形成复合影像,外侧可见弧形的髋臼阴影。髋臼阴影的上段粗而致密,中段较细,它向下绕过髋臼切迹前部的下缘,与耻骨体的内面形成一条“U”形的致密线,称为泪滴线(Koekler泪滴),泪滴线二脚之间的距离,即髋臼窝的厚度。

髋臼内下方的透亮影为闭孔。闭孔影的上界是耻骨上支、外侧界是坐骨体的下份,坐骨结节阴影与其重叠。坐骨棘的阴影呈三角形突向盆腔。

02

骨盆的X线解剖


骨盆一般投照前后位,检查骶、尾骨时可加照侧位,检查骶髂关节时应加照45°斜位,产科骨盆测量另有其特殊投照方法。

骨盆前后位片上,骶骨中线应通过耻骨联合。骶髂关节左右对称,关节间隙下半部分可以显示,上半部常投影出模糊双线影。界线的影像在女性呈卵圆形,在男性略呈鸡心形。髂嵴连线影正好通过第4、5腰椎间隙。

由髂嵴影向外可追踪到骼前上、下棘,由髂前下棘到股骨颈外上缘的连线称髂颈线,用以判定髋关节是否正常。正位片上,可以测量耻骨下角,男性为锐角,女性为钝角。

女性骨盆径线的测量,可以采用正位(见图1)和侧位。正位片上,界线影像最远点连线为入口横径,正常为12.3cm;两侧坐骨棘连线为中骨盆横径,正常为10.5cm;两侧坐骨结节间距为小骨盆出口横径,正常为11.8cm。

侧位片上,耻骨联合后缘上端到骶骨岬连线为小骨盆入口前后径,正常为11.6cm;耻骨联合后缘下端和坐骨棘中点的连线延长到骶骨的前缘,为中骨盆前后径,正常12.2cm;耻骨联合后下缘到骶尾关节的连线,为小骨盆出口前后径,正常11.8cm。

03

髋关节的X线解剖

常规拍摄正位(见图1)和侧位X线片。正位线片上,因髋臼三骨之间以“Y”形软骨相连,融合之前,表现为横行带状透亮影,其宽窄随着年龄变化而改变。年龄越小此透亮带越宽;年龄越大,透亮带变窄,15~17岁左右消失。股骨头大部套在髋臼内,表面光滑,为致密的细弧线。头的中心偏后下部有一小凹陷,是股骨头凹,有时可投影到股骨头弧线内侧,显示为小环形透亮圈。侧位片上,中央的凹窝是髋臼,呈半圆形的致密线。

图1 骨盆正位片

03

髋关节X线摄影

04

髋关节X线测量


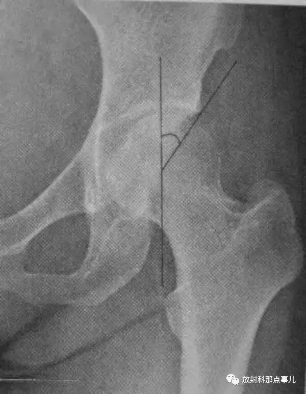
股骨颈干角


髋关节正位片上,股骨颈的长轴与股骨干纵轴之间形成的角度称为颈干角,又称内倾角。正常值在110—140°之间,男性平均为132°,女性平均为127°。颈干角随年龄的增大而减小,儿童的颈干角大于成年人,儿童平均为151°。颈干角大于正常值为髋外翻,小于正常值为髋内翻。

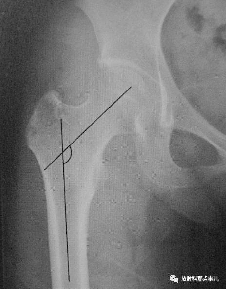
股骨颈前倾角

髋关节侧位片上,股骨颈纵轴线与股骨干纵轴线所成的夹角,新生儿正常35° ,成人为12° ~15° ,平均12.31° 。临床上股骨颈骨折应根据次标准复位。

Perkin方格

骨盆正位片,经过双侧髋臼Y形软骨中心划水平线AB,在通过两侧髋臼外商缘引垂线CD和EF,AB线与CD、EF线分别相交,两侧髋关节各分为四个区域称为Perkin方格。正常时,股骨头骨骺中心位于內下区域内,当髋关节发育性脱位时,股骨头骨骺则位于外上区域。

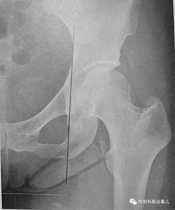
Skinner线

在成人髋关节正位片上,从股骨大转子顶端作股骨纵轴线AB的垂线CD,正常情况下,此线应通过圆韧带窝或其下方,圆韧带窝至上述两线交点的距离是4~5cm。若Skinner线超过圆韧带窝,提示股骨颈或大转子错位骨折。

Sharp角

骨盆正位片上,双侧泪滴下缘连线与泪滴下缘和髋臼上缘的连线的夹角,正常35-38° ,大于40° 可以诊断为髋臼发育不良。

CE角

即中心边缘角,骨盆正位片上,股骨头中心至髋臼外上缘的连线,与股骨头中心的垂线形成的夹角。正常为2岁22° ,4岁28° ,6岁30° ,15岁35° 。CE角表示髋臼与股骨头的位置关系,当髋臼发育不良、髋关节脱位、股骨头外移及股骨头形状改变时,此角变小。成人25°以上正常,小于20°提示DDH。

髋臼深度

骨盆正位片,耻骨联合上缘与髋臼外上缘连线至髋臼底的最大距离,正常时,男13(7-18)mm,女12(9-18)mm,与CE角配合用于评价髋臼发育情况。

髋臼覆盖率

股骨头受髋臼覆盖部分的横径除以股骨头的横径,正常时应大于0.75。用于判断股骨头移位情况。

髋臼角

骨盆正位片上,两侧Y形软骨中心连线与髋臼上下缘连线所形成的夹角。正常值新生儿为30° ,1岁以后不应超过25° ,2岁时为20° ,成人为10° 。先天性髋关节脱位时髋臼变浅,髋臼角增大。(上图中角a)

髂骨角

髂前下棘和髋臼外上缘间连线与Y形软骨水平线的夹角。新生儿为55° ,正常值范围在43° ~67° ,角度减小提示异常,如骨质软化症。(上图中角b)

骨骺角

骨盆正位片上,通过股骨上端骨骺线的直线,与通过Y形软骨的连线的夹角。正常值为20° ~35° ,髋内翻时此角增大。

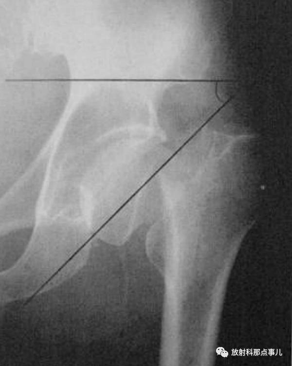
Power角

在骨盆正位片上,通过两侧髂前上棘作一水平线,然后再划股骨颈骨折线的延长线,两线相交所成的夹角。此角小于30° 者,为外展型骨折,骨折易愈合;大于30° ~90° 者,为内收型骨折,需手术纠正。

Linton角

在髋关节正位片上,先划股骨干纵轴线垂线,再划股骨颈骨折线的延长线,两线相交所成的夹角。此角小于30° 者,为外展型骨折,骨折易愈合;大于30° ~90° 者,为内收型骨折,需手术纠正。 

新生儿髋关节间隙

新生儿骨盆正位片,通过两侧髋臼Y形软骨作连线称为Hilgenreiner线,简称H线。股骨上端距H线之间距离称为上方间隙,股骨上端鸟嘴距坐骨支外缘之间的距离为内侧间隙,正常值上方间隙为9.5mm,内侧间隙为4.3mm,若上方间隙小于8mm,内侧间隙大于5.1mm,应怀疑髋关节脱位。若上方间隙小于7.5mm,内侧间隙大于6.1mm,可诊断为髋关节脱位。

骨骺指数、骨骺商

骨骺指数,在髋关节正位片上,分别测量股骨头骨骺的高度和骨骺的宽度,将骨骺高度除以骨骺的宽度X100即为骨骺指数。该指数表示股骨头骨骺变扁的程度,用于评价Pathe并及发育性髋关节脱位的治疗效果。

骨骺商,指患侧骨骺指数除以健侧骨骺指数。骨骺商计算主要用于与健侧对比以判断病变程度及治疗效果。

05

骨盆基本划线

Calve线

卡尔维氏线,即髂颈线。髋关节正位片上,髂前下棘下方髂骨外缘与股骨颈外缘连线所形成的弧线,能够反映股骨头与髋臼的关系及髋臼上缘的完整性。正常为光滑曲线,若不连续提示髋关节脱位或者股骨颈错位骨折。

臼顶线

链接髋臼上缘的弧线,与泪滴外侧缘相延续(黄线),代表髋臼的负重区。

Shenton线

又叫沈通氏线、耻颈线、下弧线,是指成人髋关节正位片上,闭孔上缘与股骨颈内下缘连线,能够反映股骨头与髋臼的关系。正常应为平滑曲线,若不连续提示髋关节脱位或者股骨颈错位骨折。

Kohler线

即髂坐线,髂骨内缘切线与坐骨体内缘的连线,正常时为连续光滑曲线,髋臼陷入症时髋臼突至此线内侧。

髂骶线

连接髂骨弓状线与骶骨岬的弧线,代表骨盆后环的完整性。

髂耻线

连接双侧髂骨內缘与耻骨上缘的弧线,代表骨盆前环的完整性。

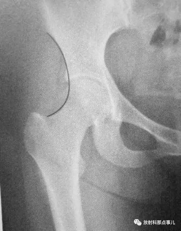
泪滴线(U形线)

连接泪滴周围所形成的曲线,代表髋臼的內缘,一般用于髋臼假体深度的评价,髋臼內缘紧邻泪滴线的外缘。

前唇线

髋臼前缘所连成的弧线,代编髋臼前壁的完整性。

后唇线

髂骨外缘与髋臼后缘所连成的弧线,代表髋臼后壁的完整性。

闭孔内缘线

沿闭孔內缘所连成的弧线,正常情况下双侧闭孔对称,当骨盆旋转时可发生改变。

06

儿童骨盆特殊划线

H线

连接双侧髋臼中心的连线。

P线

过髋臼外缘做H线的垂线。

Perkin象限

由H线及P线组成的象限,正常时股骨头位于內下象限,否则提示髋关节脱位。

Kline线

沿股骨颈上缘划线并沿股骨头方向的延长线。正常此线应该切割部分股骨头骨骺,若骨骺位于该线内侧,提示股骨头骨骺向下滑脱。

友情链接: