首页/骨科精读/荐读:Buttress钢板在骨科中的应用,果断收藏!/
荐读:Buttress钢板在骨科中的应用,果断收藏!
2022-07-12 10:29:144348浏览
支撑钢板(Buttress Plate),或叫防滑板(Anti-sliding Plate)。在骨折手术中将钢板放在骨折顶点上夹紧(clamp)骨折、从而抵抗剪力、并将剪切力转化为压应力的一种内固定安放原理。

支撑钢板(Buttress Plate),或叫防滑板(Anti-sliding Plate)。在骨折手术中将钢板放在骨折顶点上夹紧(clamp)骨折、从而抵抗剪力、并将剪切力转化为压应力的一种内固定安放原理。在临床实践中,我们经常以小钢板作为复位工具进行钢板复位或作为防滑钢板一直在使用。

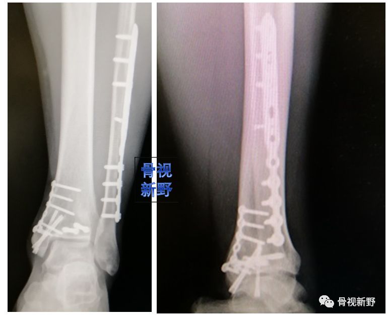
内踝垂直型骨折的buttress固定

内踝骨折根据骨折线走形方向可分为:横形、斜形、粉碎、垂直骨折,其中斜形、垂直形,特别是垂直型骨折的剪力较大,常规克氏针、空心钉、张力带等固定措施不能很好中和剪切力,应用buttress钢板的防滑原理可减少不愈合及畸形愈的并发症。

内踝斜形骨折—腓骨远端锁定钢板防滑固定(J Foot Ankle Surg. 2015 ;54(6):1202-5.)

腓骨远端锁定板防滑+克氏针防旋固定


锁定重建板单皮质固定防滑+空心钉加压固定

后踝/后Pilon骨折的buttress固定

后踝骨折和后Pilon骨折的界限一直不是很清楚。一般认为旋转性损伤机制、骨折块小、没有压缩的胫骨远端后方骨折属于后踝骨折,而跖屈损伤机制、骨块大、有压缩者往往属于后Pilon骨折。不稳定、较大骨块的后踝骨折及后Pilon骨折用空心钉固定有可能不能很好地中和向上的剪力,可选择butress钢板作防滑固定,以对抗垂直剪力。

锁定重建板作buttress钢板


锁定“T”型钢板作buttress钢板

3.5mm干骺端锁定钢板作buttress钢板

胫骨平台骨折的buttress固定

按照三柱理论,胫骨平台可分为外侧柱、内侧柱、后柱(后外、后内)。胫骨平台后柱骨折(尤其屈膝损伤者),由于骨折块存在较大的垂直剪力,往往需要buttress钢板作防滑固定,以对抗骨折块向下滑移的剪切力。

后外侧柱buttress钢板(Knee. 2018 Apr 17. pii: S0968-0160(18)30140-6)

三柱buttress钢板

除后柱骨折需要buttress钢板固定外,内、外侧平台塌陷、劈裂骨折常规所使用的钢板其实也是一种支持钢板。因此,笔者认为,胫骨平台骨折的内、外、后三柱均是buttress钢板的固定原理,防滑或支撑。

股骨颈骨折的medial buttress

垂直型股骨颈骨折(Pauwels III型)常因垂直剪力大、常规三枚平行空心钉固定易致内固定失败,单纯空心钉+第四枚垂直螺钉或medial buttress 钢板可起到对抗垂直剪力的防滑、支撑作用。

股骨颈内侧的防滑、支撑(Medial buttress)

支撑板(Buttress Plate),也叫防滑板(Anti-sliding Plate)是,在骨折手术中将钢板放在骨折顶点上夹紧(clamp)骨折、从而抵抗剪切力、并将剪切力转化为压应力的一种内固定安放原理。在临床实践中,我们经常以小、微型钢板作为复位工具进行钢板复位或作为防滑钢板一直在使用。

Medial buttress是指在股骨颈骨折解剖复位、平行拉力钉常规加压后,于股骨颈下内侧、放置一块3-4孔三分之一管型钢板、重建钢板或其它微型钢板,在紧靠骨折尖下方打入一枚穿过双层皮质的防滑螺钉(Buttress screw),再在远、近侧根据情况打入第二枚或更多螺钉。这样,通过钢板的支撑作用可将骨折断端间的垂直剪切力转化为利于骨折愈合的压应力。这种应力转化有利于预防垂直型不稳定股骨颈骨折常见的内翻塌陷及不愈合并发症[Mir 2015]。

有两种常用的股骨颈入路,直接前方切口(Smith Petersen,S-P切口)和前外侧切口(Watson-Jones,W-J切口)。

S-P入路对股骨颈全段能够较清晰显露,但缺点是需要在侧方加作辅助切口以便打入空心钉。而W-J入路可显露股骨颈基底部、颈中部,但不能良好显露头下部。优点是不需要附加外侧切口、可在一个切口内同时完成常规平行拉力钉的置入;但对股骨颈骨折复位及固定的操作空间有限[Blair 2010;Molnar 2007]。切口选择视医生自己的熟悉程度而定,S-P虽然需要附加切口,但完成操作相对容易[Stacey 2016]。

S-P切口起自髂前上棘的下、外2cm,向下朝膝外侧沿线作12-15 cm的皮肤切口(图2)。切开皮下组织,股外侧皮神经在腹股沟韧带下方走向下外,在S-P切口内侧的深筋膜下方,常常不出现在此切口内。

沿阔筋膜张肌(TFL)和缝匠肌间隙进入。旋股外动脉升支(ascending branch of the lateral femoral circumflexartery)有3-4分支垂直切口走行于此切口的中份。在换髋手术,可直接结扎,但保髋手术时应注意保护。此入路临近、但不需显露的神经是臀上神经和股神经,二者分别在臀中肌和股直肌深部。

两把Hoffmann拉钩分别置于股骨颈上、下方牵开可清晰显露关节囊前方。股直肌返折头在关节囊前方有时影响入路,可将其自止点切断(缝线标记、术毕前缝回),以利充分显露。此时,可触及关节内血肿。在关节囊前方行‘‘T’’或 ‘‘L’’形切开,吸走血肿,切开的关节囊可用粗线悬吊或牵开,以利骨折显露和复位。重置两把Hoffmann拉钩于股骨颈上、下方,可清晰显露整个股骨颈。患肢外旋可显露小粗隆及股骨颈下内侧,而此处正是medial buttress的置板区域。

图1.S-P入路

复位、固定

直视下撬拨复位、克氏针临时固定,再经C臂确定解剖复位后,常规倒三角打入2-3枚直径6.5mm或 7.3mm的平行空心钉。对后方粉碎的还可加打一枚垂直钉以增稳[Kauffman 1999];对垂直角度很大的PauwelsIII型甚至可打入1枚粗隆拉力螺钉(trochanteric lag screw)。据研究,它比倒三角平行钉还稳定[Hawks  2013]。松质骨螺钉加用垫片可增加内固定装置的加压效果[Zlowodzki 2015]。

接下来按前述安装下内侧支撑钢板,以3.5mm皮质骨螺钉将预弯好的、与股骨颈下内侧贴附的 1/3管型钢板固定在股骨矩(图3)。或选择重建板及其它微型小钢板系统作buttress板。

图3.复位、固定

髋臼骨折的防滑、支撑固定

四边体骨折的buttress固定

小“T”形钢板作四边体的buttress固定

LC-DCP作四边体的buttress固定(Int Orthop. 2015;39(11):2219-26)

髋臼后柱骨折的buttress固定

通过髂腹股沟单一切口同时行前柱ORIF及后柱内侧壁的buttress钢板固定(Int Orthop. 2017;41(1):165-171)。

友情链接: