首页/足踝/微创拇外翻矫正,超详细的讲解!/
微创拇外翻矫正,超详细的讲解!
2022-07-20 11:32:462667浏览
拇趾外翻是跖趾关节处大脚趾的横向偏差,在内侧形成突出,可能导致穿鞋困难和疼痛。畸形的原因包括内在因素(遗传易感性、初跖骨内翻、第一跖骨拉长)和外在因素(窄脚鞋)。

拇趾外翻是跖趾关节处大脚趾的横向偏差,在内侧形成突出,可能导致穿鞋困难和疼痛。畸形的原因包括内在因素(遗传易感性、初跖骨内翻、第一跖骨拉长)和外在因素(窄脚鞋)。

女性似乎更容易受到影响,但遗传遗传性未知,可能是多因素的。大多数患有拇外翻的儿科和青少年患者没有症状,或者可能有轻微的窄趾鞋刺激症状。如果存在疼痛,通常在第一跖骨头的内侧突出处或由于大脚趾跨过(或低于)第二个脚趾而注意到。症状的初始治疗是保守的,并就适当宽度的鞋子进行咨询。

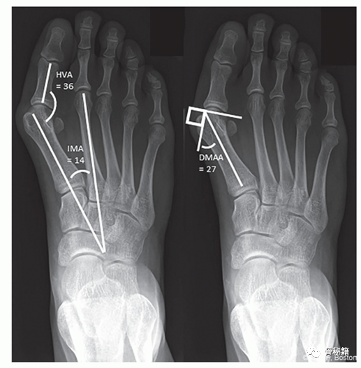
站立 AP 和足部侧位 X 光片对于评估畸形的严重程度和相关足部状况是必要的。应评估侧位 X 线片上的尾骨角和跟骨俯仰角,以及在 AP 视图上的距舟覆盖作为存在相关)。拇外翻畸形及其严重程度的表征基于测量结果HVA 评估第一跖骨干和近节指骨纵轴之间的角度。该角度应小于 15°。IMA 是第一和第二跖骨干之间的角度,是跖骨内翻程度的量度,应小于 9°。远端跖骨关节角 (DMAA) 测量第一跖骨远端关节面相对于其长轴的方向,通常小于 10°。还应评估跖趾关节的一致性。由于跖骨内翻,大多数青少年拇囊炎的 IMA 增加,DMAA 增加和跖趾 (MTP) 关节一致。

显示外侧距第一跖骨(Meary)角和前后距舟覆盖角测量值的 X 光片。

术前计划

进行术前计划以确定截骨的倾斜度(是否希望通过平移缩短或延长跖骨)、远端跖骨的平移程度以及 DMAA 的矫正量

照片显示 (1) HVA、(2) IMA 和 (3) DMAA 的测量值。

DMAA,远端跖骨关节角;HVA,拇外翻角;IMA,跖骨间角。

术前计划 (AP) 足部 X 光片,

说明跖骨截骨的位置(白线)、计划的矫正(弯曲箭头)和预期的最终结果。

工具准备

止血带、小矢状锯、小骨刀、光滑的克氏针

应在术前评估大脚趾的柔韧性。这包括 MTP 关节的弯曲/伸展运动弧。拇趾僵硬的脚趾不适合微创手术拇囊炎矫正。神经血管检查应在术前确认远端感觉

仰卧

应使用膝关节楔形物、射线可透过的三角形或大的凸块来保持膝关节屈曲至 90° 和脚在手术台上的跖行位置·C 形臂和透视图像增强器应放置在患者手术肢体的同一侧(外科医生需要在手术床脚和脚内侧之间进行操作)

手术方法

位于跖骨颈上的中矢状纵切口,长约 1 至 2 cm

麻醉

该手术可以在全身麻醉下的患者进行,也可以在轻度镇静的踝部阻滞麻醉下进行。

在开始病例时伸展脚趾是手术的关键组成部分,不应忽视。由于侧向释放不是作为程序的一部分进行的,因此拉伸侧向使脚趾处于拇内翻位置的结构(拇内收肌、跖趾外侧关节囊)对于急性矫正和长期保持对位至关重要

术中定位,膝下有射线可透三角形以允许足跖屈。

大脚趾保持内翻位置,以拉伸外侧软组织。另一只手牢牢抓住脚趾,以稳定脚。脚趾被拉到内翻位置。

皮肤切口

利用透视确定截骨位置,截骨位置应靠近跖骨颈的内侧隆起

进行 1 cm 长的内侧正中矢状切口

解剖

用解剖剪刀对骨膜进行锐利的解剖(重要的是要保持在正中矢状面以避免神经血管结构)。骨膜纵向打开,使用更自由的提升器提升足底和背侧的骨膜。可放置小型牵开器以保护软组织

截骨术

使用小型摆动锯或骨切割毛刺进行截骨术。截骨在矢状面上垂直于跖骨干略微倾斜(<15°)。根据需要延长、缩短或保持跖骨的中性长度,修改横向平面中截骨的倾斜度。截骨应垂直于第二跖骨(足轴)以保持跖骨的中性长度,透视图像)。如果想要减压跖骨关节,可以稍微缩短跖骨,就像在轻度跖骨关节炎的情况下,通过从远端向近端稍微倾斜截骨。相反,如果希望延长跖骨,截骨术从近端向远端倾斜。检查截骨术以确保跖骨头的活动性。

克氏针插入

从正中矢状面的切口开始,将一根直径为 2 毫米的克氏针插入皮肤下方与骨骼相邻的软组织中。如果需要跖骨头的足底或背侧平移,可以调整线起始点的足底/背侧位置。金属丝在这个骨膜外位置从脚趾尖伸出,刚好从甲皱襞的近端和内侧退出。钢丝在摆动模式下前进,脚趾保持在一些内翻,以允许钢丝在所需位置退

透视图像显示了计划的截骨位置。

计划的切口位置。钢丝不应穿透骨骼,应保持在骨膜外平面。

校正和导线推进

跖骨头可以用横向力手动平移。有人建议在一些机构中使用专门设计的带凹槽的仪器。根据我们的经验,可以使用开槽套管或其他可以塑造适当形状的小凹槽器械来实现此目的。器械将跖骨头件横向“固定”到所需的矫正位置,凹槽将导丝引导到跖骨的髓内管中。在导线前移时将脚趾保持在内翻位置有助于矫正。

透视用于确认 HVA、IMA 和 DMAA 的矫正,并用驱动器或槌从远端到近端沿着第一跖骨的髓管驱动导丝。导线被驱动到跖骨的底部,并且可以在骨骼未成熟的患者中穿过骨骺推进

透视图像和照片,说明使用矢状锯进行跖骨截骨术。注意切口轨迹垂直于第二跖骨轴。

示意图说明了截骨的轨迹及其对跖骨长度的影响。远端至近端截骨将缩短跖骨,垂直于第二跖骨的截骨将保持中性长度,近端至远端截骨将延长跖骨。

克氏针应该刚好从指甲的近端和内侧穿出

针在拇趾软组织骨外位置的透视图像。

应获得额外的侧位图像以确保跖骨头在矢状面上的适当位置。如果头部已经向足底或背侧平移,则可以调整导线在截骨水平的位置以确保它在中线

如果近端跖骨干骨的内侧突出较大,可用矢状锯斜切

二次克氏针插入

额外的 2 毫米克氏针在截骨处倾斜添加,以提供旋转控制并防止术后跖骨头背侧平移。这是从跖骨干的近端到远端和内侧到外侧插入

关闭伤口

用可吸收缝线冲洗皮肤切口并缝合

克氏针被切割和弯曲

放置加压敷料,保持脚趾处于内翻位置

足底垫被纳入不包括第一跖骨头的敷料中,以便在术后初期减轻截骨的重量

术后护理

患者被放置在短腿步行石膏中,脚后跟堆积以促进脚后跟负重。他们被允许用拐杖支撑负重。患者在 4 周时返回,此时获得 X 光片并移除斜针。他们被转换为硬底鞋,并允许在允许的范围内负重,但应避免活动。根据患者的预期依从性,可以考虑在这次访问中使用 Aircast 靴子。在 6 周的访问中,纵向针被移除。患者可以换成普通鞋。开始物理治疗,重点是脚趾运动范围和步态训

最终透视图像,说明用于旋转和足底/背侧平移控制的第二个斜针。横向显示截骨的对齐。

一名女孩,右侧拇外翻疼痛。

A,术前站立前后位 (AP) 射线照片。

B,即刻术后 X 光片。C,斜线移除后 4 周的术后 X 光片。

D,术后 4 个月的 X 光片,截骨愈合,矫正良好。

EG,同只足术前、术中和术后 4 个月的临床照片。

友情链接: