首页/口腔正畸/隐形矫治附件分类、作用及制作!/
隐形矫治附件分类、作用及制作!
2022-09-05 10:55:283760浏览
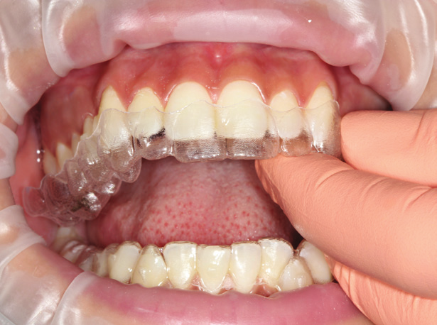
附件:是辅助矫治力施加到牙齿、实现精确控制牙齿移动的辅助装置。 组成:附件一般是由与牙齿颜色相近的牙体修复用光固化复合树脂制成。(由医生通过定位模板粘接在牙上)

附件是在隐形矫治的设计阶段就已经设置定位,并不是在矫治过程中临时添加的。对于初学者来讲,并不需要过多考虑附件的问题。熟练者或特殊要求者可自行设计附件。

附件的种类

附件可统分为功能型附件和非功能型附件。

(一)功能型附件

1、垂直附件:

①近远中向移动或者旋转移动时,增加牙齿的摩擦力。

②放置于拔牙区的邻牙上,分配支抗,辅助牙齿整体移动。

2、水平附件:

①压低牙齿:附件粘固于被压低牙的邻牙上,增加矫治器固位。

②升高牙齿:附件粘固于需要升高的牙齿上,增加摩擦力,辅助移动。

③放置在磨牙上,增加矫治器的固位。

3、不规则附件:辅助控根移动。

(二)非功能型附件

辅助矫治器固定,常用于临床冠短的牙列,辅助矫治器固位。

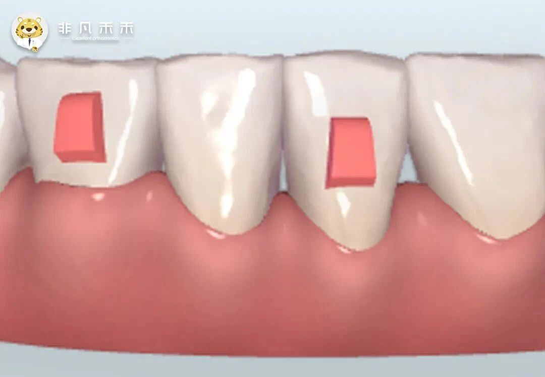
1、椭圆形附件

顾名思义, 附件正面观呈椭圆形 ,可根据临床冠高度选择不同长度的附件, 主要用于以下情况:

牙齿压低或伸长的辅助施力:附件粘接在被压低牙的支抗邻牙上或被伸长的矫治牙上。加强牙齿与隐形矫治器的固位, 实现所需的牙齿移动。

②扭转牙的辅助矫治:粘接在被扭转牙上, 增加牙齿与隐形矫治器的结合, 辅助扭转牙的矫治。必要时唇舌侧可同时粘接附件, 以增强扭转效果。

辅助矫治器固位:对于形态异常的牙齿,特别是锥形牙,难以被隐形矫治器“抓”住而施加矫治力,此时需要设计椭圆形附件以增加固位。

2、矩形附件

附件正面观呈矩形 , 主要用于以下情况:

对牙齿进行正轴:

由于附件呈矩形, 隐形矫治器与之作用可以产生力偶, 从而对需要正轴的牙齿进行矫治。

在拔牙区的邻牙上, 辅助牙齿整体移动:

由于隐形矫治器与之作用可以产生力偶, 因此使得隐形矫治器整体移动牙齿成为可能。

③辅助固位:

由于形态的关系, 矩形附件产生的固位效果好于椭圆形附件。对于对矫治器固位要求较高的病例, 可以设计矩形附件加强固位。

④需要较长距离整体移动的牙齿: 如远移磨牙等。


隐形附件矫治器的制作

1.准备附件定位模板

戴用 1~ 2 周患者适应后用它制作附件。在制作附件前, 临床医生应该在模板的附件部位打上小孔, 其作用是挤出多余的光固化树脂, 以免多余树脂粘贴到牙面上妨碍后续隐形矫治器的就位 。

根据附件定位模板确认附件形态及牙体上的粘接位置

试戴附件定位模板

磷酸酸蚀附件定位的牙面,冲洗吹干后可见牙面呈现白垩色

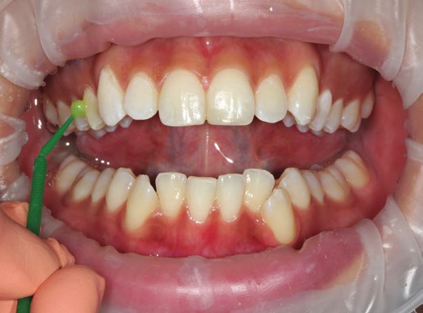
涂布第七代树脂粘接剂BeautiBond ,静置10秒

轻吹3秒,强吹7秒,彻底干燥

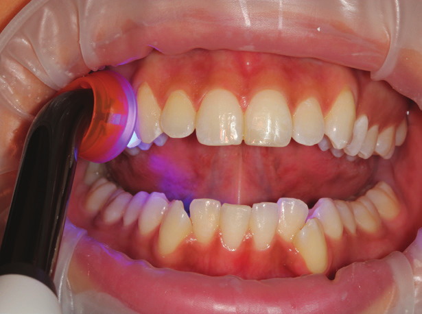
光照固化

将Beautifi l Flow Plus F00注入附件模板的空腔内,确保树脂内无气泡,树脂超充呈微微隆起状效果更佳

也可以使用 Beautifil II 纳美树脂填入模板的附件阴模中,确保树脂与模板之间密贴

将附件模板完全就位

用树脂塑型器轻轻按压附件区域,使空腔更密合饱满,多余的树脂材料溢出至酸蚀区域之外

按压模板使树脂与牙面密贴的同时进行充分的光照固化

轻柔的将模板取下

用矽粒子(10,000 rpm - 12,000 rpm)将附件周围溢出的树脂材料轻轻磨除;动作要仔细,避免碰触附件破坏其形态

如有必要,可在附件周围涂布氟保护漆等防护材料

注意:制作附件的牙位是由附件定位模板决定的。在附件定位模板相应牙位上已经预成了用于制作附件的阴模, 光固化树脂放入其中, 树脂固化后粘贴到牙面上形成附件。

附件注意事项

①如果一副隐形矫治器上设计的附件较多, 一次全部制作可能会带来隔湿的问题以及附件制作完毕后矫治器难以取下或者取下过程中施力过大造成附件的脱落。这时可将模板切成几段, 分区操作, 一次粘贴 1~ 3个附件。每段应至少包括与附件牙相邻的 2 颗牙齿, 以利于精确定位附件的位置。

②如果附件脱落, 可用前一个或正在戴用的矫治器作为模板, 重新粘接。

③在每个矫治阶段, 附件都要与矫治器完全贴合, 才能发挥其辅助牙齿移动、增强固位的作用。因此患者复诊时对附件的检查特别重要。

④如果隐形矫治器设计的附件较多 , 为了避免矫治器摘戴困难, 可以根据需要分期粘接相应附件, 而不必一次全部粘接到位。有些附件在相应牙齿移动到位后可以去除。

⑤附件可以粘接在舌侧, 但应注意:由于后牙舌侧面比较小, 前牙舌侧面不仅小, 而且呈凹面, 附件难以粘接和去除。舌侧附件容易与对 牙形成咬合干扰。因此, 选择在舌侧粘接附件时要慎重。若确定要在舌侧粘接附件 , 要选择与牙齿颜色相差较大的树脂, 便于矫治后磨除时不损害釉质。

友情链接: