首页/创伤/髌骨骨折的解剖、损伤机制与手术治疗,一次性讲明白!/
髌骨骨折的解剖、损伤机制与手术治疗,一次性讲明白!
2022-09-14 10:24:293889浏览
髌骨骨折占全身骨折的1%,其中9%-13%为开放性骨折。作为关节内骨折,髌骨骨折移位会导致较差的功能后遗症。1867年,Joseph Lister成功报道了第一例无菌操作下髌骨内固定手术。自此以后,越来越多的外科干预措施逐渐应用于髌骨骨折。

髌骨骨折占全身骨折的1%,其中9%-13%为开放性骨折。作为关节内骨折,髌骨骨折移位会导致较差的功能后遗症。1867年,Joseph Lister成功报道了第一例无菌操作下髌骨内固定手术。自此以后,越来越多的外科干预措施逐渐应用于髌骨骨折。

治疗上,尽管克氏针张力带技术一直是髌骨手术治疗的主流,但该技术存在0%-60%的再手术率,且有22%的患者复位丢失。由此可见,并非所有的髌骨骨折均适用于克氏针张力带技术。近年来,髌骨骨折钢板螺钉固定的应用逐渐增多,本文将髌骨骨折的诊断及现有的治疗理念作一总结。

解剖

髌骨是全身最大籽骨,3/4后关节面都有厚层关节软骨覆盖,纵向嵴将髌骨关节面分成内外侧两部分。髌骨可增加膝关节活动时力臂,在膝关节屈曲时,髌骨后方受股骨髁的反作用力,使得髌骨前方承受较大张力。

髌骨的血供由5条膝状动脉及胫前返动脉组成的动脉环供应,尸体研究表明100%的主要供血动脉来自髌骨下级,80%来自髌骨下内象限。尽管髌骨缺血性坏死少见,但髌骨内侧纵行切开会比外侧切开更大地损伤血管,同时髌骨下级切除,无疑也增加了骨折不愈合风险。

损伤机制

髌骨骨折可由直接暴力与间接暴力导致。间接暴力由股四头肌牵拉,通常为横行骨折,髌骨前方直接暴力通常导致粉碎性骨折。

关于髌骨横行骨折,尽管在X线上较多髌骨均可见横行骨折线,但CT检查可发现仅有16%的髌骨骨折为单纯的横行骨折。这提醒我们在复位过程中,不应只关注于横行骨折线的复位,周围的骨折线也应注意到,并精确复位。

CT扫描可见髌骨骨折粉碎,四周骨折线在X线上显示不清晰。

复位的评估

对于简单的横行骨折,听过术中暴露关节腔,手指探查关节面可以评估复位情况,对于粉碎性骨折,可从髌骨外侧切开暴露关节,将髌骨关节面内翻直视下评估。从内侧暴露髌骨关节面在骨折的复位评估中应用较少,虽然其常用于关节置换中。外侧股四头肌肌肉较内侧薄弱,血运影响较小,较内侧切开有优势。

影像上,髌骨内外侧关节面均为倾斜面,在正常侧位上无法有效评估。

在常规膝关节侧位上,髌骨内外侧关节面重叠,显示不清

有学者研究表明,在髌骨外旋24°可在侧位上评估外侧关节面复位情况,内旋34°可以评估内侧关节面情况。

通过膝关节外旋,可以观测外侧关节面,膝关节内旋后可以观测内侧关节面

治疗

作为关节内骨折,移位的髌骨骨折通常建议手术治疗,有学者研究发现对骨折移位小于3mm或关节面间隙小于4mm患者,保守治疗可取得较好结果。但现今的主流观点仍认为移位髌骨骨折首选为手术治疗。

1.髌骨全切除或部分

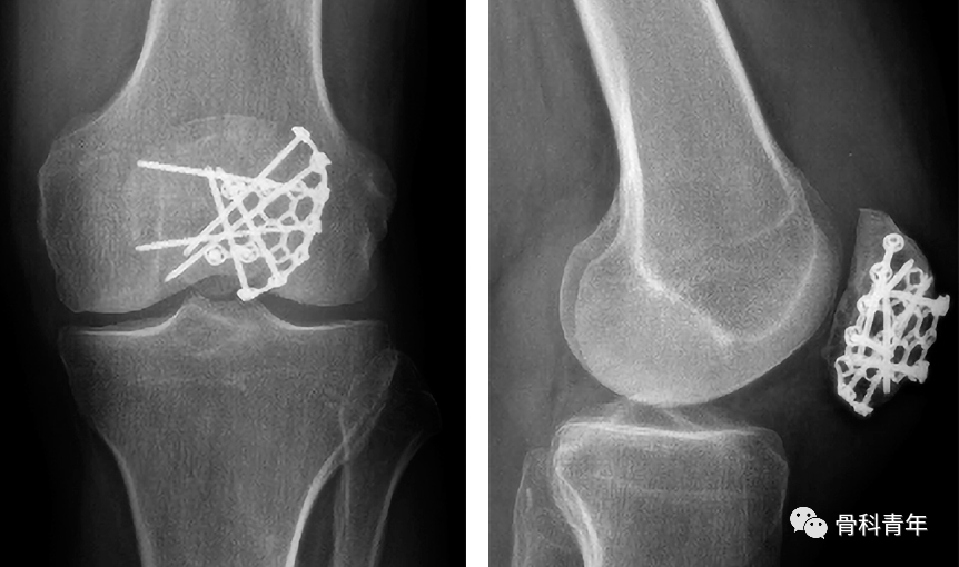
非必要情况下,不建议行髌骨部分或全部切除。髌骨部分切除通常用于髌骨下级严重粉碎,无法重建患者。但是有学者对下级粉碎骨折患者,行蓝式钢板或髌腱重建,均取得相对较好的临床结果,因此不建议行下级切除。

髌骨下级粉碎骨折蓝式钢板固定

2.张力带固定

张力带固定是髌骨骨折最主流的固定方法,通过将前方的张力转变为骨折块间压力。具体步骤如下图所示:

有学者进行生物力学发现,在膝关节屈曲时,关节面压力并未增加,但在膝关节屈曲时关节面会产生裂隙。因此把克氏针固定认为是“静态加压”,而非“动态加压”。克氏针的置入位置,在矢状面上应位于髌骨后1/3,才能达到良好的张力带作用。

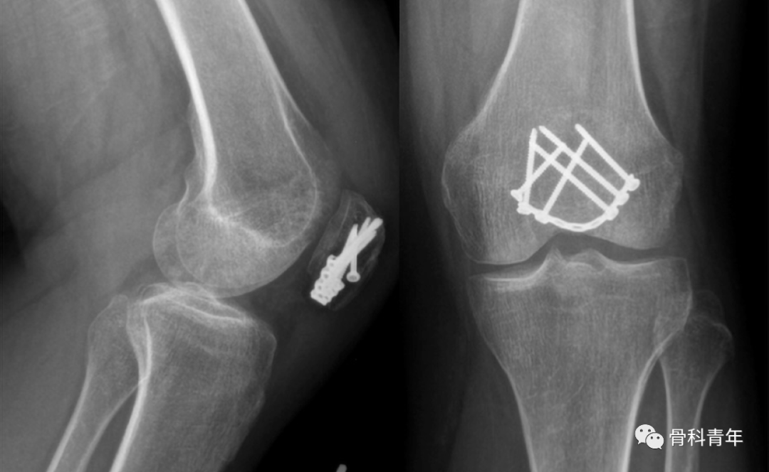
与克氏针张力带相比,采用空心螺钉替换克氏针,也可以取得良好的功能结果,甚至在文献中有报道空心螺钉张力带内固定强度优于克氏针张力带。

空心钉钛缆固定

但克氏针张力带导致的退针问题仍不可忽视。为了避免这个问题,有学者采用缝线替代钢丝,空心螺钉替代克氏针,取得了良好效果。在一项纳入949例患者的meta分析中发现,张力带固定的并发症发生率更高,采用替代固定方法治疗的患者具有更好的屈曲活动范围、疼痛评分(视觉模拟评分)和膝关节功能评分。

克氏针退出

总的来说,与克氏针固定相比,空心螺钉张力带固定有较低的再手术率和改善的功能评分,在生物力学测试中的初始强度和周期性负荷方面表现也更好。

3.钢板固定

钢板固定已经成为一种新技术来解决张力带钢丝的缺点。Moore等回顾了36例C2和C3髌骨骨折患者采用前路固定角度钢板治疗的病例,他们发现有17名需要螺钉辅助固定,2名患者需辅助钢丝环扎。

Lorich等描述了9名患者,他们通过外侧关节切开术和使用允许多平面螺钉固定的新型笼形钢板进行复位。所有患者在平均23周达到愈合。只有1名患者出现需要移除的有症状植入物。未发现骨坏死、感染或伤口并发症的病例。由同一作者进行的一项前瞻性队列研究比较了25例接受相似多平面笼式固定的患者和33例接受张力带固定的患者。他们注意到,在钢板组中,大腿肌肉萎缩和膝前方疼痛明显减少。

钢板植入物通常有多个螺钉孔和锁定螺钉选项,这可能使它们更适合于粉碎骨折的固定。此外,低切迹和/或预成形以匹配髌骨独特解剖结构的设计可减少植入物突出和随后的植入物移除需要。

总之,髌骨骨折钢板固定似乎是一种有前途的技术,可治疗具有挑战性的骨折类型。

4.髌骨爪

髌骨爪采用形状记忆合金,通常为2爪+3爪组配使用,尤其适用于粉碎性髌骨骨折的固定。髌骨爪在低温下变软舒展,温度升高后塑性变硬。

友情链接: