临床工作中,我们常常会遇到足部外伤的病人,由于足部骨骼的变异较多,如果对足部X线的正常表现与变异认识不足,极易误诊,所以骨科医生充分认识足部X线的正常表现与变异至关重要
1.跟骨结节骨骺:形态多样,密度致密(箭),伴裂隙(箭头),为正常表现,勿误认为坏死。

2.Haglund外生骨疣与不典型骨刺:跟骨后上缘骨刺样突起(箭),属正常变异,称Haglund外生骨疣。穿高跟鞋时可损伤相邻的跟腱,形成Haglund综合征;跟骨结节下缘前突骨刺样突起(箭头),正常人可见,可无临床症状。
3.跟骨生理透亮区:正常人跟骨可见三角形的局限性透亮区,为生理性骨小梁稀疏区(箭头),透亮区内骨小梁仍清晰可见。与骨囊肿和脂肪瘤不同,两者因存在骨质破坏,骨小梁显示中断。

4.跟骨上副骨:呈跟骨上方、三角骨(白箭头)后方骨性结节(箭),为正常变异。腓骨副骨(黑箭头)与距骨重叠。

5.楔舟内侧骨:内侧楔骨与足舟骨之间的内侧,可见小的骨性结节(箭),为正常变异。需与撕脱骨折鉴别。另可见舟骨副骨(箭头)。

6.楔骨间骨:为内侧及中间楔骨间副骨,边缘光滑(箭),属正常变异。内侧楔骨前内缘致密影(双箭头)为胫骨前肌肌腱附着处后缘的切线位投影,非病变。内侧楔骨与舟骨间见楔舟内侧骨(箭头)。

7.跟骨副骨:位于距骨、跟骨、舟骨及骰骨所围成的间隙内,呈小的骨性突起(箭头),为正常变异。需与跟骨前缘的撕脱骨折鉴别。CT 矢状面重建图像清晰显示该副骨与各骨的关系。

8.腓小骨:骰骨外下缘、腓骨长肌肌腱附着沟内椭圆形骨性结节(箭),边缘光滑。由腓骨长肌肌腱内的骨化形成,多14岁后出现,可多发,随年龄增大发生率增高。

9.舟骨上骨:呈距舟关节背侧的骨性结节(箭头),为一副骨,又称距舟后小骨、距舟间骨,可与舟骨形成联合。需与关节面骨赘及撕脱骨折鉴别。

10舟骨下骨:舟骨下骨是位于舟骨与中间楔骨关节背侧的骨性结节(箭),为一副骨,需与关节面骨赘及撕脱骨折鉴别。另可见腓骨小骨(箭头)。

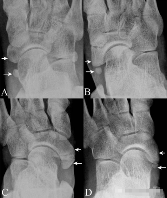
11.外胫骨:舟骨粗隆(短箭)的后内侧可见形态不一的外胫骨(长箭),A图为 I 型, B图为 II 型, C图为 III 型。D图示在明显突出的舟骨粗隆后见外胫骨( II 型),融合后即为 III 型。外胫骨需与舟骨撕脱骨折鉴别,临床表现和周围软组织改变可提供依据。
12.距骨鼻:距骨颈区可见局限性骨性突起(箭),形态多样,有尖角状、结节状、扁平状等。现认为是受巨大牵引力所致的成骨,勿误认为是退变或外生骨疣。

13.距骨喙:距骨颈缩短(箭头),头上缘隆起呈喙状(箭),为一种变异,需要与增生性骨赘鉴别,后者与距舟关节面相连,距骨头上缘多平直光整,不伴颈部缩短。

14.距骨上骨:距骨鼻区见一骨性结节(箭),也是一种副骨。其与距骨鼻区的撕脱性骨折鉴别点在于其与距骨对应处未见骨质缺损、邻近脂肪间隙(箭头)未见移位,且撕脱骨片多不规则或呈壳样。

15.距骨伴随骨:紧邻距骨腓骨突见骨片(箭),是一副骨,又称腓骨下骨,注意与撕脱骨折鉴别。鉴别点在于骨缘密度和邻近软组织肿胀与否。

16.第5跖骨粗隆骨化中心:第5跖骨粗隆骨化中心(箭),形态多样,A(女,10岁)为线样且不连续,B(男,13岁)为多发(箭与箭头),C(男,12岁)为边缘光整,D(男,11岁)为内缘粗糙伴裂隙。需与撕脱骨折鉴别,其与粗隆长轴近似平行,而撕脱骨折为腓骨短肌肌腱牵拉所致,骨折线多为横行。
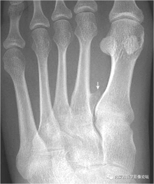
17.跖骨间骨:跖骨间可见边缘光整的小骨性结节(箭),为正常变异。跖骨间骨需与撕脱骨折鉴别,撕脱骨折时对应跖骨存在明确撕脱缺损区。

18.韦萨留斯骨:该副骨位于腓骨短肌肌腱与第5跖骨附着处,邻近骰骨与第5跖骨交角处。与第5跖骨副骨化中心鉴别困难,可引起临床症状。与腓小骨不同,后者位于腓骨长肌肌腱内,位置偏后。

19.拇趾多分籽骨:拇趾内外侧籽骨可表现为二分籽骨(箭)或三分籽骨(箭头),为正常变异,需与籽骨骨折、坏死鉴别。骨折边缘多不规则,坏死密度多不均。

20.拇趾远节趾骨隆起:成人拇趾远节趾骨内侧可见疣状突起(箭),为正常变异,并非外生骨疣。该例突起明显,与甲粗隆(箭头)形成骨桥,为一种特殊变异。

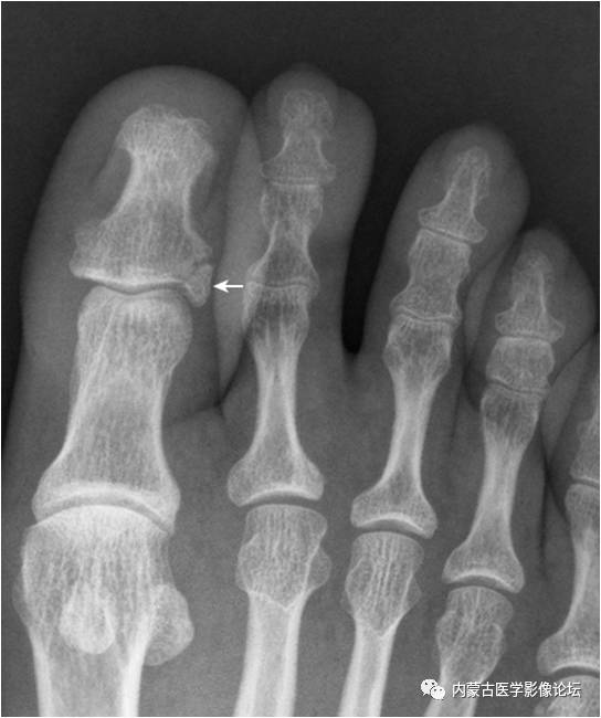
21.足趾副骨:趾跖关节内侧见点状骨性灶(箭),又称关节旁骨,一般无病理意义,但有时可引起邻近骨生长障碍和坏死。要与撕脱骨折鉴别。
22.趾骨骨骺:拇趾远节趾骨骨骺内侧较外侧宽(箭),其与趾骨干骺端间距离较宽(箭头),为正常表现,勿误认为是骺离骨折。近节趾骨骨骺可呈扁平状,并密度增高,亦为正常表现,勿误认为坏死。
23.锥状骨骺:第2~4近节趾骨骨骺呈锥状(箭),多由生长紊乱引起,是一种变异。同时可见拇趾近节趾骨骨骺密度增高(箭头)。
24.跟骨骨刺:正常跟骨结节上下缘见尖角状突起(箭),为骨质增生所致。
25.跟骨前缘撕脱骨折:跟骨前上缘见斜行骨折透亮线(箭),远侧见三角形骨片,注意与跟骨副骨鉴别。
26.距骨鼻区撕脱骨折:距骨鼻区见小片状骨性密度影,其与距骨对应处见骨质缺损(箭),邻近脂肪间隙密度明显增高,局部肿胀(箭头),提示为撕脱性骨折而非变异。
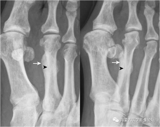
27.舟状骨粗隆撕脱骨折:舟状骨粗隆后见游离小骨片(箭),与外胫骨及腓小骨的鉴别点在于骨片前缘模糊,无硬化缘,且与粗隆有较好的对合关系,同时邻近软组织明显肿胀(箭头)。
28.内侧楔骨骨折:内侧楔骨外部见纵向透亮带(白箭),宽窄不等,其外侧可见内侧楔骨的外缘(黑箭),与Mach效应不同。第1、2跖骨间隙增宽,亦提示结构异常。另见跖骨间骨(正常变异,长箭)。
29.跖骨应力性骨折:该例足部疼痛,无外伤史。图示第2跖骨干内侧见斜行透亮线(箭头),邻近伴增厚骨痂(箭),无骨质破坏,提示为疲劳骨折。
30.跖骨外生骨疣:第2跖骨近端内侧见三角形骨突(箭),边缘光整,呈宽基与宿主骨相连,此点可与跖骨间骨相鉴别。
31.第5跖骨粗隆骨折:第5跖骨粗隆处见横行、纵向透亮线,横行透亮线(箭)为骨折线,纵向透亮线(箭头)为骨骺与骨间的软骨连接投影。撕脱骨折线为横行走向是与骨骺连接线的重要鉴别点。(右图,女,5岁;左图,男13岁)
32.拇趾撕脱骨折:该例为陈旧性撕脱骨折。拇趾外侧基底部部分撕脱,虽游离骨片(箭)边缘清晰,但与基底部有很好的对合,可与关节旁骨相鉴别。
33.籽骨骨折:拇趾外侧籽骨形态不完整,内侧见透亮线(箭),两部分骨对应缘不规整,无硬化缘,与二分籽骨的边缘骨质致密不同。内侧籽骨完整(箭头)。