首页/运动医学/关节镜下重建前交叉韧带术,建议收藏!/
关节镜下重建前交叉韧带术,建议收藏!
2022-10-08 11:20:553101浏览
关节镜下ACL重建并不是一个艰难的手术,如何能够快速完成ACL重建手术?手术经验当然有极大的帮助,但高度重视、认真计划、规范操作、减少干扰无疑是能够大大地缩短手术的时间。

ACL的解剖特点

1、ACL起于胫骨髁间棘前方稍偏内侧,斜向后上止于股骨外髁髁间侧面后部;长约15-20mm(胫骨后推)

2、胫骨端附着部较粗大,呈卵圆形,面积约3平方厘米。

3、股骨附着部相对细小,呈扇形,面积约2平方厘米。

ACL三束:前内束屈膝时紧张;后外束伸膝时紧张;中间束在膝关节屈伸运动中始终保持张力。

正常ACL与胫骨平台保持一定的角度,屈膝90度时约30度,伸直时为40~45度。

交叉韧带损伤症状

1.  受伤时感觉到关节内有断裂声,后即感关节内剧痛

2.  受伤后立即不能活动或继续参加运动

3.  受伤后膝关节很快肿胀, 伤后12小时以内膝关节肿胀达到最高峰。

多数运动创伤患者有典型的损伤体位:小腿外翻外旋半屈曲位,多在单腿落地时发生。

体格检查 

MRI

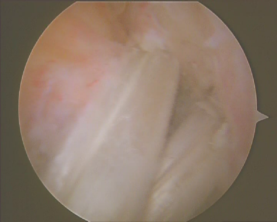
正常前交叉韧带

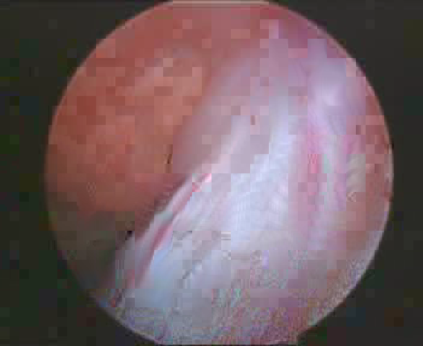
前交叉韧带损伤后形成的疤痕组织

关节镜下观

正常前交叉韧带

前交叉韧带损伤后形成的疤痕组织

重建材料

(1)自体组织  autograft 

骨-髌腱-骨复合体   B-P-B:      

腘绳肌腱    hamstring 

跟腱       Achilles's tendon

(2)同种异体材料  allograft:

(3)人工材料  Synthetic material:

有Leeds-Keio人工韧带,Kennedy LAD等

手术目的

重建膝关节的稳定性,改善功能,希望防止、延缓和 减轻继发损伤。

麻醉

连硬外麻醉

快速、安全、持续有效,能使肌肉充分松弛,保证止血带效果。

取材

髌腱中三分之一

最好使用摆锯,避免垂直于软骨面敲击,防止损伤髌骨软骨

也有使用环钻取腱的

髌腱修整

测量套管:

Ø=7,8,9,10,11,12 mm

套管内径=钻头直径=髌腱标本直径

修整 后骨—腱—骨复合体:

1.毫无阻碍地顺利通过所选用的测量套管

2.骨端应修整得稍圆滑,以利于进入骨隧道

3.两端穿线,用于引导牵引用

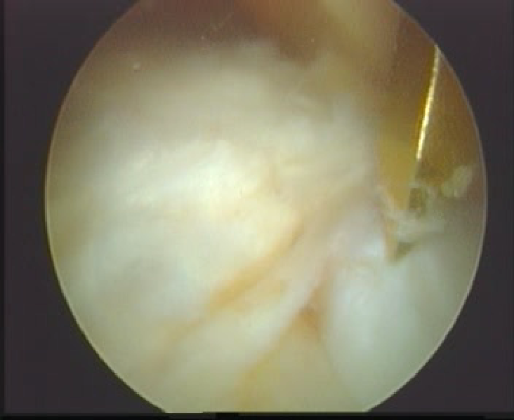
清理髁间窝

刨削切除ACL残端,以保证视野清晰以及准确定位

髁间窝狭窄者可行髁间窝成形术

ACL定位器

准确放置ACL定位器

股骨导针为直径1mm克氏针

钻胫骨导针


在导针引导下制作胫骨骨道

测量套管:

Ø=7,8,9,10,11,12 mm

套管内径=钻头直径=髌腱标本直径

出口打磨清理

股骨定位器与股骨导针


准确放置股骨定位器

按照左膝1点、右膝11点 (髁间窝后顶为12点)定位的基本方法定位,在能够保证骨道后壁完整的前提条件下,尽可能向后接近过顶处。



股骨引导器引导下,钻股骨导针

股骨导针为直径1mm克氏针



制作股骨隧道

股骨骨道深度一般为:2.2~2.7cm



清理骨道内残渣,检查骨道四壁的完整性



拉进移植物





界面螺钉固定移植物





上胫骨端界面螺钉

拉紧B-P-B,并行后抽屉试验,紧张重建韧带,上胫骨端的界面螺钉,必要时可用门型钉或普通螺丝钉加强固定。




用探钩检查,重建韧带张力良好,前抽屉试验阴性,膝关节屈伸正常。



缝合切口

放置关节内及皮下负压引流各一根,是减少术后肿胀的有效手段之一。可于术后48~72小时拔除。





术后康复训练

康复目的:

1、锻炼肌力

2、恢复膝关节完全活动范围

3、晚期进行膝关节灵巧性训练

4、防止早期重建韧带损伤、断裂




活动支架目的:

防止早期重建韧带损伤、断裂

伸直固定3周



手术中可能出现的问题

1.切取骨—腱—骨复合体时可出现骨折、髌腱损伤、髌腱附着部损伤;

2.术中要注意切取髌骨骨块的长度和深度;切取髌腱时要注意其走行方向,防止附着部的损伤;

3.修整骨块时要防止其破损或坠落到地上。


制作骨道注意问题

1.胫骨平台骨软骨骨折、髁软骨损伤、外髁骨道后壁穿破、后交叉韧带损伤;

2.胫骨骨道偏前将会引起撞击综合征;

3.股骨骨道偏前将会使重建的韧带受到异常的牵张力而逐渐松弛。


移植物固定注意问题

1.挤压螺钉损伤重建ACL的腱组织;

2.固定上方骨块的螺钉位置不正确固定不牢靠;螺钉误入软组织内、穿破骨道后壁;

3.镙钉将导针切断,断端残留。


术后可出现的并发症

1.关节肿胀或血性关节炎;

2.下肢深静脉血栓形成以及肺栓塞;

3.感染;

4.髌骨骨折、股骨髁骨折,髌腱断裂、髌腱挛缩、髌尖疼痛、髌骨关节症状;

5.膝关节粘连。


前交叉韧带双股重建

解剖基础

胎儿膝关节显示:两个功能束(AM,PL)

LFC为股骨外髁



关节镜显示AM,PL


尸体标本显示AM,PL



伸直时AM,PL的股骨点垂直排列,两束平行。


屈曲90°时,AM,PL的股骨点平行,两束交叉


膝关节屈曲90 °时PL松弛,而伸直时PL紧张状态



理论基础

双束重建能更好的解剖重建交叉韧带,使得重建的交叉韧带更加符合生物力学。

目前此观点占主流。

双束重建与单束重建相比,在关节稳定性和本体感觉的恢复上,并没有优势。

部分人也持这种观点。

外科技术采用三切口入路:前外,前内和内侧辅助入路。AM和PL的分界可见一个骨嵴



移植物来源

髌腱

股四头肌腱

腘绳肌腱

胫前肌腱

同种异体肌腱

人工肌腱

腱长80mm



辅助内侧入路钻PL股骨隧道

屈曲90 °,导针在前侧关节软骨边缘后方5-7MM,上方3MM进入,屈曲110 °钻隧道。用直径6或7MM的钻头。



胫骨隧道:PL在55 ° AM在45 °在胫骨皮质上,PL入点位于AM入点的远端后内侧。PCL,外侧半月板根部和AM的止点构成三角,PL位于距其后角大约3-5MM,探针是单束重建的位置。


AM股骨隧道:在PL后侧边缘后方大约2MM,可以由胫骨隧道建立,直径一般7-8MM。

穿胫骨隧道可能有半数患者不能得到正确的隧道位置,这是可以用辅助入路。



植入:先PL后AM



重建术后双束图



重建术后X片



友情链接: